北京物流信息联盟

都是坑啊!D-二聚体阴性真的能除外肺栓塞吗?

2021-06-22 15:47:08

点击上方医脉通心血管关注我们

医脉通导读

D-dimer(D-二聚体)阴性真的可以完全除外肺栓塞吗?什么情况下会出现肺栓塞合并D-dimer阴性呢?


作者:何金山(北京大学人民医院)

本文系作者投稿(tougao@medlive.cn),转载需经授权,请务必标明作者及来源。


肺栓塞是临床中的常见病,发病率大概每年1/1000左右,是除冠心病、卒中外的第三大心血管死亡原因,肺栓塞临床症状不典型,可有胸痛、呼吸困难和咯血的典型三联征,也有少见的晕厥及休克,甚至部分病人无任何症状行肺栓塞CT时偶然发现肺栓塞,这给肺栓塞的临床诊断带来了巨大困难。


D-dimer是纤溶酶降解交联纤维蛋白的产物,其升高具有非特异性,可由血栓形成、感染、免疫疾病及肿瘤等多种情况引起,而D-dimer阴性对于除外肺栓塞,尤其临床可能性低-中危的肺栓塞,具有较高的特异性。


那么问题来了,D-dimer阴性真的可以完全除外肺栓塞吗?什么情况下会出现肺栓塞合并D-dimer阴性呢?我们首先从两个病例说起。


病例介绍

病例1:患者为26岁年轻女性,因“间断呼吸困难伴胸痛3天”于急诊就诊,胸痛表现为右侧季肋区锐痛,深吸气加重。


患者否认既往深静脉血栓栓塞病史,否认近期外伤、手术及长期制动史。患者无其他既往病史,无长期服药史,否认不良药物应用史,无药物过敏史。吸烟1-2支/天,偶尔社交性饮酒。


入急诊时患者意识清楚,T 36.3℃,Bp 119/73mmHg,P 112次/分,R 18次/分,未吸氧SPO2 99%。其他体格检查无阳性发现,未见双下肢肿胀。


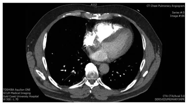
急查心电图提示窦速,其余未见明显异常。胸片未见明显异常。D-dimer回报495.1ng/ml(ELISA法)。考虑患者典型呼吸性胸痛及不能用其他原因解释的窦性心动过速,行肺栓塞CT扫描,提示右肺下叶动脉分支充盈缺损(图1),确诊为右肺下叶亚段肺栓塞。

 

图1 肺栓塞CT提示右肺下叶动脉分支充盈缺损,箭头所示,明确肺栓塞诊断


病例2患者57岁男性,因“突发右侧胸痛12小时”于急诊就诊,患者胸痛表现为右侧季肋区锐痛,和呼吸相关,无其他部位放射痛,和活动无明显关系。


患者否认咳嗽、呼吸困难、咯血病史,诊断为癫痫30年,口服苯妥英钠100mgQd、卡马西平早400mg、晚200mg控制,近10年癫痫未再发作,5年前体检发现完全性右束支传导阻滞,患者否认其他药物长期应用史,否认不良药物应用史,否认药物过敏史,否认既往血栓、栓塞病史,否认近期外伤、手术史,曾吸烟3年,3-5支/天,已戒烟20年,间断社交性饮酒。症状发作1天前患者曾乘坐飞机5小时(经济舱),外出游玩中患者饮水为平日1/2,口渴明显。


急诊就诊时患者神志清楚,T 36.5℃,Bp 114/69mmHg,P 73次/分,R 18次/分,未吸氧SPO2 95%。


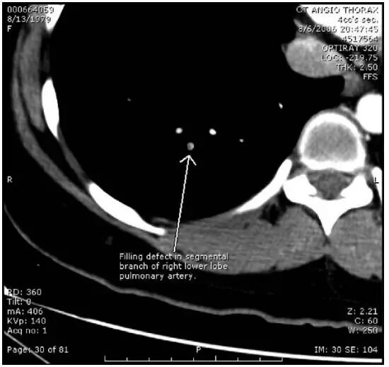
于急诊完善心电图提示完全性右束支传导阻滞,胸片大致正常,TNI回报0.017ng/ml(参考值<0.04ng/ml),考虑患者肺栓塞临床可能性低,未再进一步行D-D及肺栓塞CT检查。1周后患者再次因胸痛于急诊就诊,性质同前,查TNI 0.011ng/ml,D-dimer 290ng/ml(免疫比浊法),因患者胸痛原因未能明确,连续心电图及心肌酶变化除外心源性原因,行肺栓塞CT检查明确有无肺栓塞可能,发现右肺亚段肺动脉栓塞(图2)。


 图2 肺栓塞CT扫描明确右肺亚段水平肺栓塞


什么情况下可以用D-dimer阴性除外肺栓塞?

所有的临床诊疗均需考虑一个风险/获益的问题,肺栓塞的诊断也是如此,如对于所有怀疑肺栓塞的病人均行肺栓塞CT扫描,自然可以提高肺栓塞诊断的准确率,但会有大批的病人接受了不必要的射线暴露和花费了不必要的检查费用。


我们一直在试图寻找一个办法,首先能够将肯定不是肺栓塞的病人筛查出去,对于可能性大的病人再进行肺栓塞CT扫描等进一步的检查。临床倾向性评分和D-dimer的组合便应运而生,对于临床可能性低-中度(三分法)或临床不可能(二分法)的肺栓塞,D-dimer阴性可以除外肺栓塞。

如何进行临床倾向性评分?

当前常用肺栓塞临床倾向性评分方法包括Geneva评分法和Wells评分法(表1、表2)。

Geneva评分法和Wells评分法均通过对肺栓塞的危险因素、临床症状、体征等进行综合评估,衍生出相应的评分系统,最初的版本比较复杂,对不同的危险因素、体征和临床症状等赋分的权重不同,简化版本更为贴近临床,每个条目积1或2分,方面使用。


以本文中的患者1为例说明临床倾向性评分的使用,患者1应用Geneva评分法,仅心率大于95次/分一项可积分,原始版本积5分,简化版本积2分,其肺栓塞临床倾向性为中度(三分法)或不可能(二分法);患者1应用Wells评分法,同样是仅心率>100次/分一项可积分,原始版本积1.5分,简化版本积1分,其肺栓塞临床倾向性为低-中度(三分法)或不可能(二分法)。


表1 肺栓塞临床倾向性评分Geneva评分法


表2 肺栓塞临床倾向性评分Wells评分法


什么是D-dimer阴性,有什么标准?D-dimer阴性除外低-中度可能肺栓塞的准确性有多高?

D-dimer阴性指D-dimer的检测值小于正常上限,正常上限的界定包括两种,年龄校正和非年龄校正。对于非年龄校正者常以500ng/ml为临界值,高于此值为异常,低于此指为阴性,不同实验室对临界值的界定略有差异。而年龄校正者,对于小于50岁者,正常上限仍设定为500ng/ml;年龄大于50岁者,正常上限设定为年龄×10ng/ml。通过年龄校正后的D-dimer,可以提高其对肺栓塞的阳性预测值。


D-dimer阴性者,除外肺栓塞的准确性最高可达95.7%,当然这也和D-dimer的检测方法有关,ELISA方法检测灵敏度最高,阴性预测者也最高;而全血凝集法和乳胶凝集法测定D-dimer阴性的预测者较差,除外肺栓塞的准确率在85-90%。


D-dimer阴性可以完全除外肺栓塞吗?什么情况下会出现肺栓塞而D-dimer阴性?

以上分析显然可以看出,D-dimer阴性不能完全除外肺栓塞。那么什么情况下会出现肺栓塞合并阴性D-dimer呢?


1.栓塞范围小:两例患者均为亚段水平的肺栓塞,栓塞范围小,血栓负荷少,则可能出现D-dimer阴性的情况;


2.就诊时间延迟;如患者2,由于首次评估后未行D-dimer检测,再次复查时和首次出现症状相差1周左右,可出现D-dimer阴性;


3.就诊前已行抗凝治疗,既往研究发现,抗凝治疗24小时后即可出现D-dimer的下降;


4.D-dimer检测方法影响,ELISA方法最为敏感,而全血凝集法和乳胶凝集法敏感性相对较差,易出现“假阴性”;


5.个体差异:个体间纤溶酶降解交联纤维蛋白能力不同,D-dimer水平自然不同;


6.有研究分析了29例肺栓塞伴D-dimer阴性患者的临床特征,发现这些患者多为既往肺栓塞患者,症状轻微,常于症状发生后2-3天就诊,不易合并呼吸频促、心动过速等情况,且29例患者全部为肺栓塞临床可能性低-中度者。


小结

肺栓塞临床表现不具有特异性,没有一个症状是肺栓塞特有的,也没有一个症状可以除外肺栓塞,D-dimer受很多因素影响,但其阴性预测值高,应用ELISA检测法,除外肺栓塞的准确率可达95%左右,但D-dimer阴性,不能完全除外肺栓塞,肺栓塞可以合并D-dimer正常,这样的情况包括:栓塞范围小、就诊时间延迟、就诊前已行抗凝治疗、D-dimer检测方法不同、个体间纤溶酶降解交联纤维蛋白能力差异等。肺栓塞归根结底为临床诊断,D-dimer可以很好地辅助临床诊断,但不能完全代替临床判断,因而在临床可能性为高度时,不可应用D-dimer阴性除外肺栓塞,必须完善肺栓塞CT扫描。


参考文献


1.Sam Babak, et al. Misinterpreting risk and test results delays diagnosis in a patient with pulmonary embolism. BMJ Case Rep 2014. doi:10.1136/bcr-2014-204172. 

2.Marc E. Breen, et al. Pulmonary embolism despite negative ELISA D-dimer: A case report. The Journal of Emergency Medicine, Vol. 37, No. 3, pp. 290-292, 2009.

3.Stein PD, Yaekoub AY, Matta F, et al. resolution of pulmonary embolism on CT pulmonary angiography. Am J Roentgenol 2010;194:1263-8.

4.Dunn KL, Wolf JP, Dorfman DM, et al. Normal D-dimer levels in emergency department patients suspected of acute pulmonary embolism. J Am Coll Cardiol 2002;40:1475-8.

5.Zhiguo G, Qingbian M, Yaan Z, et al. Normal blood D-dimer concentrations: do they exclude pulmonary embolism? Chin Med J 2014;127:18-22.

6.Stavros V. Konstantinides, et al. Management of Pulmonary Embolism.JACC 2016: 976-9 0.

专栏文章回顾

前路凶险,当未雨绸缪——左主干闭塞早知道

De Winter综合征,不是STEMI胜似STEMI

无症状性预激综合征,真的安全吗

前路凶险,当未雨绸缪——左主干闭塞早知道

这个不怪我,胸痛的坑太多——aVR的ST抬高多导联ST压低却不是左主干!

投稿吧


医脉通投稿邮箱:tougao@medlive.cn

期待您的来稿!


关注医脉通心血管|学术新闻随时看

微信ID:medlive-Cardiology
长按识别二维码,即可关注


点击下方“阅读原文”进入医脉通官网,查看更多学术内容!也可添加小编微信(ilovecardio),进行投稿和学术交流!

友情链接

Copyright © 2023 All Rights Reserved 版权所有 北京物流信息联盟