![]()
![]()
胫骨干骨折是最为常见的骨干骨折,约占全身骨折的13.7%,髓内钉技术是目前治疗不稳定胫骨骨干骨折的首选方案。具有微创,固定牢固,骨折愈合率高,术后可早期功能锻炼等优势。
传统髓内钉技术包括髌韧带切开和髌韧带旁两种(统称髌下入路)通常需要极度屈曲膝关节(120-130度),对胫骨近端四分之一的骨折及同一肢体的多段骨折,在置钉时膝关节极度屈曲,手术过程中很难维持骨折的复位并保持较好的胫骨对线角度,往往不能很好地完成手术。另外术后膝关节疼痛也为其一常见并发症,国外文献报道其发生率为34.6%,考虑与髌韧带损伤有关。
膝关节半伸直位髌上入路胫骨髓内钉由Tornetta等人首先应用于胫骨近端1/4骨折,随后其应用逐渐广泛。较多作者认为,髌上入路髓内钉术不但具有髌下入路所有的优势,如:微创、方法简单、骨折愈合快、愈合率高、术后可早期功能锻炼等。还对于某些特殊类型的骨折具有其独特的优势:
①髌骨稍下方的软组织条件较差,如果待软组织条件完全好转,再进行手术,会错过最佳的手术时机;若采用髌下入路会增加术后切口的感染、切口皮肤坏死、内固定外露的机会,甚至会导致内固定失败,需进行翻修手术。胫骨骨折大多不涉及到髌骨上方的软组织,适于选择髌上入路髓内钉术。
②胫骨近端骨折,如采用髌下入路需要极度屈曲膝关节体位,增加了髌腱对近端骨折块的牵拉,导致向前成角更大,严重影响术中骨折的复位髓内钉插入,甚至有髓内钉从后侧皮质穿出的风险。Tornetta等发现当膝关节屈曲至80°~90°时,相应的骨折端向前成角会增加10°~20°。采用髌上入路髓内钉术只需半伸直位膝关节,减少术后髌腱的牵拉作用力,明显减少手术操作难度。
③同一侧肢体合并股骨骨折。如采取髌下入路髓内钉术可能导致股骨骨折损伤进一步加重,甚至损伤神经血管的危险。而髌上入路完全避免上述弊端,可取得满意的结果。
④胫骨远1 ∕4骨折:髌上入路髓内钉能更好的控制远折段的力线及复位。
⑤髌下入路髓内钉术后常引起膝关节前方疼痛,据文献报道其发生率为34.7%。髌上入路由于不损伤髌韧带,可有效缓解此问题。
由于髌上入路的适应证相对更广,越来越多骨科医生倾向于选择髌上手术入路。
适应证:
1、胫骨干粉碎性或节段性骨折;
2、胫骨近端干骺端骨折;
3、原已存在屈曲受限的髋关节或膝关节发生骨折(如髋关节退行性变或融合、膝关节骨关节炎)或不能屈膝或屈髋(如髋关节后脱位、同侧股骨骨折);
4、胫骨骨折合并髌下肌腱处皮肤损伤;
5、胫骨远端骨折。
6、移位不著的SchatzkerⅥ型胫骨平台骨折?
体位:
患者仰卧位在可透X线的手术床上。患侧肢体下方垫长垫子,抬高患肢,保持髌骨朝向正前方,胫骨轴线和地面平行,大腿可自由移动。C臂机置于对侧,球管透视方向和胫骨垂直或平行。
![]()
膝关节半伸直位入路
目前该手术方法有3个手术入路。
髌旁入路:在内侧髌骨旁做手术切口,切开髌骨支持带,进入关节腔内,此手术入路需要进行髌骨半脱位;
髌上入路:也进入关节间隙内进行操作,手术切口位于髌上靠近髌骨的部位,髓内钉从髌骨和结节间沟之间进入;
第三种手术入路,和第一种类似,切口可以在髌骨的内侧或外侧,唯一不同的是不进入关节腔内。
![]()
不同手术切口示意:P,髌旁;EP,关节外髌旁;SP,髌上;LP,外侧髌旁。
髌上入路:
髌骨上极约2cm处正中长3cm纵行手术切口,从股四头肌表面开始分离,直至关节腔内,沿结节间沟向关节腔内置入特制的带保护套筒的圆锥形套管针,至胫骨表面。确定进针位置处于胫骨平台中线位置,后采用标准髓内钉技术置入髓内钉,根据骨折类型,在近端和远端选择锁定方式。
该手术技术要求置钉时膝关节处于完全伸直位,以提供进入关节腔内的空间。注意在置钉时要调整好进钉的角度,不要过前或过后。
膝关节半伸直位胫骨髓内钉技术的优势:在半伸直位中,患肢处于髋关节屈曲30度,膝关节屈曲30度位置,胫骨平行与地面,此时进行胫骨的正侧位透视时更为方便和实用。
![]()
致畸作用力:
胫骨近端四分之一骨折髓内钉术后出现最常见的畸形是尖端前内翻畸形(apex anterior varus deformity),主要是伸膝装置,腓肠肌,腘绳肌等共同作用。有文献报道研究发现,和胫骨中段,胫骨远端骨折相比,胫骨近端骨折发生术后移位的概率显著增高。
因此在手术时需要充分考虑到上述各个肌肉对胫骨近端骨折的影响。手术时将胫骨极度屈曲可以显著增加畸形的发生,而采用伸膝位进行置钉可以有效避免上述问题。
膝关节伸直位胫骨髓内钉技术是一个相对较新的手术方式,没有经过较多的文献资料证明其有效性和实用性,因此临床医生对其应用存在一定的疑问。对髌骨上手术入路,有临床医生担心对股四头肌肉的医源性损伤可能导致后续的股四头肌肌力减弱;髌骨后方入路可以导致髌股关节面潜在损伤,并较难以找到准确的进针点。
![]()
Eastman等人一项对髌骨后入路置钉进针点准确性的尸体研究发现,采用和早先Cole等人报道的髌上髓内钉置入类似的技术,尽管置钉准确性在不同膝关节屈伸度时有所差异,但只有膝关节屈曲0度和屈曲50度比较时置钉准确性才有显著性差异,当屈膝角度由 10°逐渐递增到50°时,股骨滑车对器械的经皮打入的影响也将减少。因此,屈膝角度更大有助于选择正确的髓内钉进针位置和纠正矢状面的成角畸形。而在膝关节屈曲50度时,置钉准确性可以接近75%。
Celbke等人对髌骨下和髌骨上膝关节置钉技术对髌股关节面的接触力进行了尸体学研究。发现髌骨上入路时关节面的平均接触力,平均压力,峰值压力均显著高于髌骨下入路;髌骨峰值压力,髌骨上入路3.83MPa,髌骨下入路,1.26MPa,而关节面软骨细胞损伤所需要的压力则为4.5MPa,因此认为该手术入路对软骨损伤作用有限。
近期报道的一项18例患者的研究发现,膝关节外半伸膝位置髓内钉治疗胫骨骨折术后患肢的功能效果和正常人群类似。因此有理由相信:大部分胫骨骨折均可以通过半伸膝位置置入胫骨髓内钉进行治疗。
总之,半伸直位胫骨髓内钉技术较屈膝胫骨髓内钉技术有较多技术上的优势:术中可以更好的控制膝关节轴线;对同侧患者的合并损伤处置更方便;术中透视的时间更少等,值得推广。而关于半伸直位胫骨髓内钉技术的优点和缺点还需要更多的统计学临床证据。
病例介绍
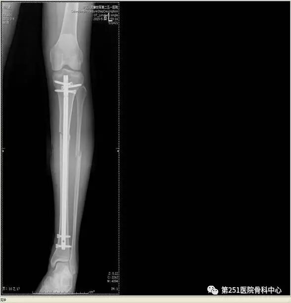
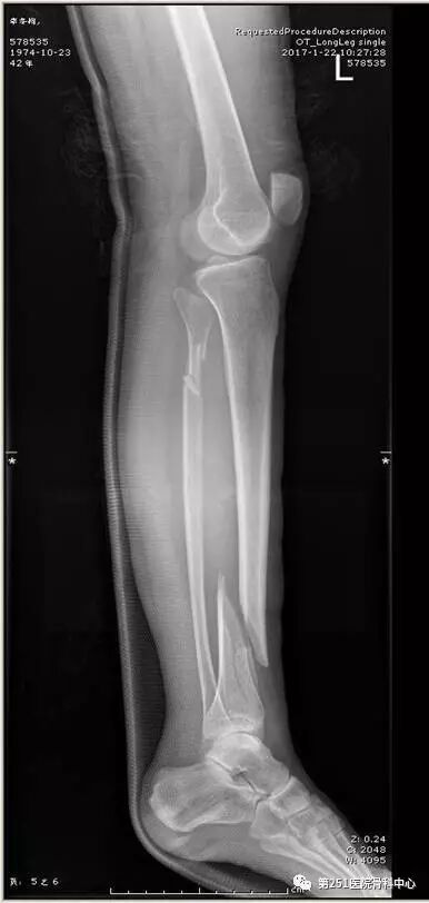
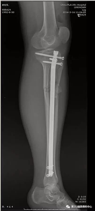
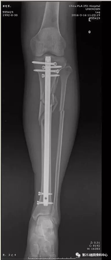
病例1:男性,40岁,车祸伤,胫腓骨多段骨折。
![]()
![]()
![]()
![]()
![]()
![]()
![]()
![]()
![]()
![]()
![]()
![]()
![]()
![]()
![]()
![]()
![]()
![]()
![]()
![]()
![]()
![]()
![]()
![]()
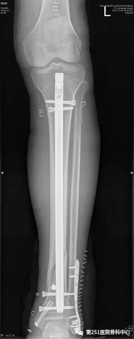
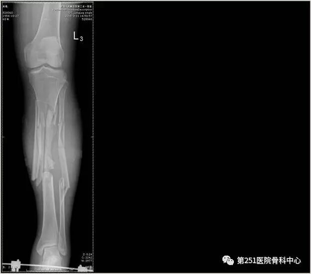
病例2:男性,44岁,车祸伤,双侧胫腓骨骨折(左侧)。
![]()
![]()
![]()
![]()
![]()
![]()
![]()
![]()
![]()
![]()
![]()
![]()
![]()
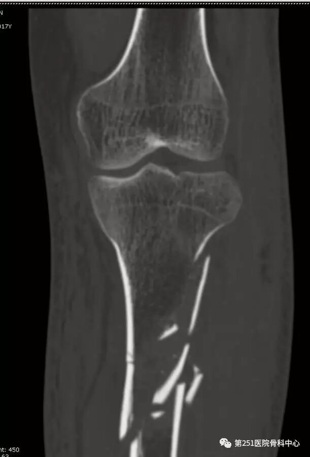
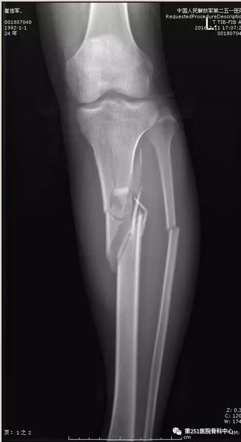
病例3:男性,43岁,车祸伤胫骨上段骨折。
![]()
![]()
![]()
![]()
![]()
病例4:女性,车祸伤,同侧股骨、股骨颈合并胫腓骨骨折。
![]()
![]()
![]()
![]()
![]()
![]()
![]()
![]()
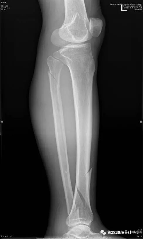
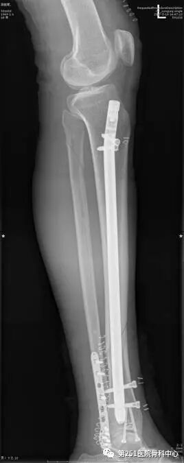
病例5:男性,64岁,车祸伤,胫腓骨中上段粉碎性骨折 。
![]()
![]()
![]()
![]()
![]()
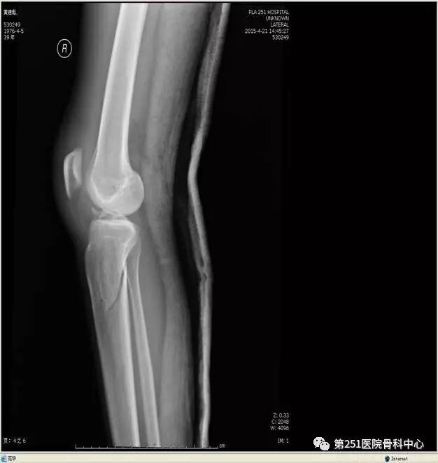
病例6:男性,39岁,车祸伤SchatzkerⅥ型胫骨平台骨折。
![]()
![]()
![]()
![]()
![]()
![]()
![]()
![]()
病例7:女性,43岁,车祸伤,胫腓骨远端骨折。
![]()
![]()
![]()
![]()
![]()
![]()
![]()
![]()
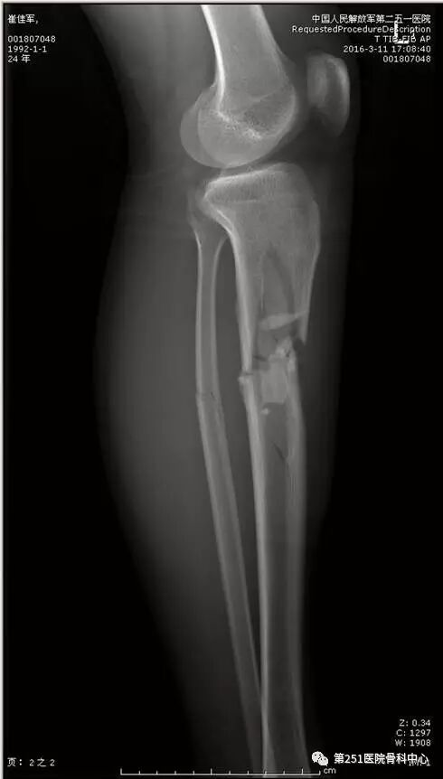
病例8:男性,24岁,车祸伤,胫腓骨近段粉碎性骨折。
![]()
![]()
![]()
![]()
![]()
![]()
![]()
![]()
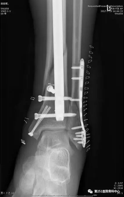
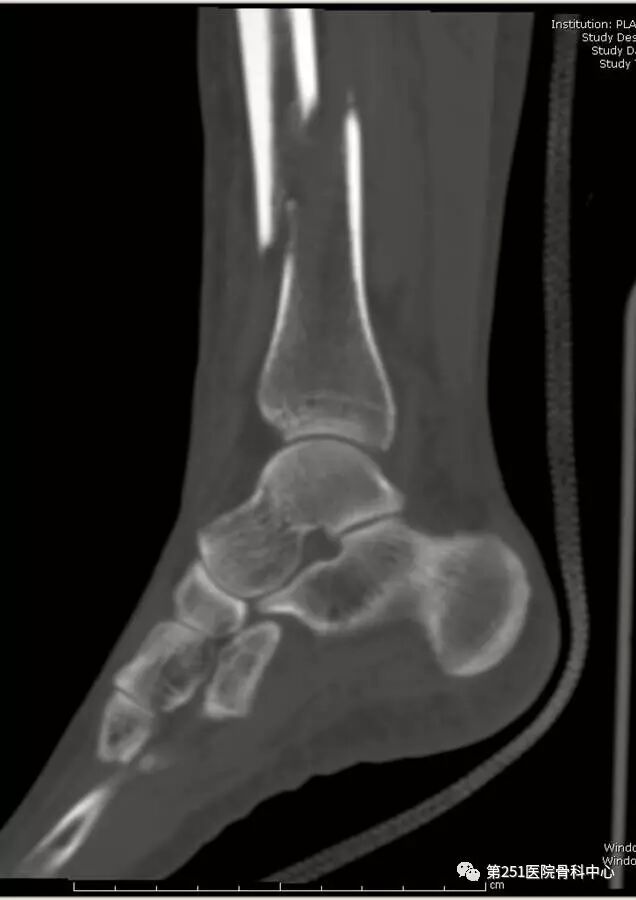
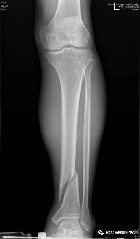
病例9:男性、68岁、车祸伤,胫腓骨远端骨折。
![]()
![]()
![]()
![]()
![]()
![]()
![]()
![]()
![]()