北京物流信息联盟

以CT为基础的婴幼儿上气道形态的分析

2021-08-12 13:29:33




复旦大学附属儿科医院麻醉科


背 景


最近的一些研究发现儿童气道是椭圆形的而非之前所认为的漏斗形,并且气道最狭窄的部位是声门下而非环状软骨水平。对于新生儿和婴儿而言其气道形态是否也是如此尚不明确。近期发表在Pediatric Anesthesia的一篇论著对此进行了研究,作者通过CT影像对新生儿和婴儿的上气道形态进行了观察,并对婴儿和年长儿童的气道形态进行了比较。


研究方法


本研究是一项回顾性研究,评估了1岁以内患儿的颈部CT影像。从2010到2016年共有273名患儿,排除了临床上存在喉部或气道疾病的患儿后,共有40名患儿纳入研究。患儿均为仰卧位,处于自然睡眠状态或七氟烷吸入诱导后的镇静状态。8%的七氟烷仅用于吸入诱导,一旦达到镇静状态即停止吸入七氟烷。由于CT检查时间很短,不需要给予额外的药物来镇静。整个CT检查过程患儿维持自主呼吸,不使用任何辅助通气设备。为了统一测量的水平,定义声门下水平为声带下方的首个层面,而定义环状软骨水平为具有椭圆形轮廓的层面,且为具有扁平后壁层面的上一层面。

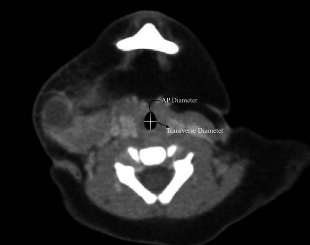
作者在两个水平(声门下和环状软骨环,图1和图2)测量喉部的横径和前后径。由2位作者分别对影像进行测量,并由第3名作者对测量结果进行验证。所有作者在测量时均不知道患儿的年龄。测量结果包括声门下和环状软骨水平气道的横径和前后径。椭圆形或圆形横截面的计算使用公式Area =π (½T × ½AP)。

Figure 1 Computed tomography image in the transverse plane of the airway at the subglottis in a 3-month-old girl showing that the anteroposterior diameter is greater than the transverse diameterthereby resulting in an elliptical shape to the airway.

Figure 2 Computed image in the transverse plane of the airway at cricoid in a 3-month-old girl. Note that the elliptical shape is maintained although there is less difference between the anteroposterior and the transverse dimensions.


研究结果


本研究共包括40名患儿,年龄都小于1岁,其中有22(55%)名男孩,平均年龄6.3 ± 3.3月,有18(45%)名女孩,平均年龄5.5 ± 3.6月。

不同性别或不同年龄(小于6月和大于6月)患者的测量结果没有差异。总体而言,从声门下水平到环状软骨水平其横径的大小是增加的(5.3 ± 0.84 mm vs 6.1 ± 0.86 mm),而前后径却是减少的(7.2 ± 0.87 mm vs 6.7 mm ± 0.75 mm),其差异均具有统计学意义。声门下横径和前后径的比值是0.74,而环状软骨处横径和前后径的比值是0.89。两个水平的横截面积相似,分别是声门下29.9 ± 7.5 mm2和环状软骨水平32.1 ± 7.8 mm2。声门下和环状软骨的测量结果显示前后径均大于横径,因此气道在这两个水平均呈椭圆形(表1)。


讨 论


本研究描述了新生儿和婴儿上气道的形态。由于声门下和环状软骨水平的前后径均大于横径,所以这两处的形态均呈椭圆形。这些结果表明声门下和环状软骨的横径是喉部的最窄部分,并且可能是临床上气管内插管产生阻力的原因。之前的假设认为婴儿的气道呈漏斗状。而本研究结果和该假设相反,因此在到达环状软骨水平之前,声门下水平就可能影响气管内导管。气道的形状从声门下到环状软骨区均为椭圆形,进一步推翻了原先认为的婴幼儿的气道呈漏斗形的认识。

气道横径和前后径的比值(T/AP)根据年龄不同而有所不同。Wani等人【1】发现1-10岁的儿童声门下水平的T/AP为0.84,而本研究中新生儿和婴儿的T/AP为0.74。在环状软骨水平,T/AP为0.98(1-10岁)和 0.95(1-13岁儿童),本研究中婴幼儿的比值为0.89【1,2】。本研究中新生儿和婴儿的环状软骨腔的大小与以前研究中发表的数据一致。Sellars等【4】观察了21个从出生到2月大的尸体标本后发现,其前后径大于横径(5.4 ± 0.7 mm vs 4.9 ± 0.8 mm),而34个从2个月到1岁尸体的前后径与横径分别是6.48 vs 5.59 mm。Too-Chung等人【3】观察了67个尸体标本,发现环状软骨是椭圆形的,其中38%为小于1岁的患儿, 他们的前后径大于横径。然而,对尸体喉部的分析可能会受到福尔马林产生的组织收缩的影响【5】

本研究具有一些局限性。首先是样本量较小,对CT检查时的患儿状态(自然睡眠 vs 镇静)缺乏统一的标准。另外,CT检查获得的影像并未对呼吸的时像进行统一。同时,尽管本研究中患儿暴露于七氟烷的时间非常短(小于3分钟),七氟烷仍有可能对气道直径产生影响。

总之,新生儿和婴儿的气道从声门下到环状软骨水平的横径比前后径要小,而年长儿童(≥1岁)的气道在环状软骨水平上呈圆形。这个椭圆形的结构可以解释不带套囊的气管导管可以在对侧壁产生压力的同时在气道的前后端发生漏气。因此,婴幼儿使用带套囊的气管导管可能是一个较好的选择。但是需注意套囊必须穿过声门和声门下结构,并且在套囊打气之前就应该出现漏气。此外,套囊应该缓慢充气,并且必须测量套囊内压,以确保它在一个可接受的范围内。


 

小 爱 说

本研究发现,新生儿和婴儿的气道从声门下到环状软骨水平之间是椭圆形的,其前后径较宽,横径较窄。而年长儿童的环状软骨是圆形的。这些知识增加了我们对于婴幼儿气道的认知,有助于改进对于这类患儿气道的管理。


编译何志伟   审校庄培钧




参考文献

【1】 Wani TM, Bissonnette B, Malik MR et al. Age-based analysis of pediatric upper airway dimensions using computed tomography imaging. Pediatr Pulmonol 2016; 51:267–271.

【2】 Dalal PG, Murray D, Messner AH et al. Pediatric laryngeal dimensions: an age-based analysis. Anesth Analg 2009; 108: 1475–1479.

【3】 Too-Chung MA, Green JR. The rate of growth of the cricoid cartilage.Laryngol Otol 1974; 88: 65–70.

【4】 Sellars I, Keen EN. Laryngeal growth in infancy. J Laryngol Otol 1990; 104: 622–625.

【5】 Friedrich G, Lichtenegger R. Surgical anatomy of the larynx. J Voice 1997; 11: 345–355.




爱儿小醉”系列回顾


点击标题,温故知新



  1. 爱儿小醉 ——开篇辞

  2. 减轻小儿全麻诱导前焦虑的非药物措施

  3. 如何评估小儿门诊麻醉围术期呼吸系统不良事件的危险因素研究背景

  4. 小儿麻醉诱导时的非药物性干预措施有用吗?

  5.  漫画宣教册减轻小儿术前焦虑的研究

  6.上呼吸道感染儿童的围术期管理近识

  7.小儿尿道下裂修补术的麻醉选择——骶管阻滞一定更好吗?

  8.小儿右美托咪定镇静与遗忘

  9.术前贫血会增加非心脏手术儿童术后死亡率吗?

 10.患儿可以在麻醉复苏室中饮水吗?

 11.父母教养与儿童清醒镇静期间行为表现

12.基于清醒状态下血压实测值研究麻醉所致的婴幼儿低血压

13.肌松剂改善小儿腔镜的手术条件吗?

14.褪黑素,小儿术前用药的新选择?

15.超声估计小儿气管导管大小及其与身体指标公式的比较:一项前瞻性研究

16.测量骶管腔深度预防儿童骶管阻滞中刺破硬膜囊

17.舒适行为量表用于幼儿择期小手术期间镇静、镇痛及抑郁的评估

18.超声评估学龄前儿童胃排空情况—指导禁食策略

19.术前吸入沙丁胺醇能否降低围术期呼吸道不良事件的发生率?

20.全身麻醉对发育大脑的神经毒性研究进展

21.婴幼儿压力控制通气模式下呼吸回路顺应性与潮气量准确性的关系

22.如何预测儿童腹腔镜手术放气时引起的低血压

23.麻醉与发育中的大脑系列之二 先天性心脏病患儿认知功能障碍——麻醉和镇静的影响

24.欧美专家针对小儿区域麻醉中有争议的问题发布的操作指南I和II告诉了我们什么?

25.超声引导下胫后动脉可替代桡动脉行动脉置管术

26.麻醉与发育中的大脑系列之三  3岁前行单次全身麻醉与儿童后期神经认知功能结果变化的相关性分析

27.右美:儿科麻醉中的新型全能药物?




,关注围术期最有价值的平台




声明:本平台刊载文章不代表个人观点,不承担任何法律责任,文章来源于网络,欢迎投稿。如涉及文章版权问题,请及时联系我们,我们及时删除。

投稿邮箱:gmjzdjt@qq.com,期待您来稿!


友情链接

Copyright © 2023 All Rights Reserved 版权所有 北京物流信息联盟