北京物流信息联盟

当「平板运动负荷」遇上「心脏超声造影」(心超时间第25期)

2021-11-25 08:17:18

作者:邱银汝 刘玲肖 张源祥 

单位:东莞康华医院

前言

超人们,在开始今天的「心超时间」前,我们会给出三个问题,大家带着问题去阅读,带着思考去阅读:

1)冠心病是最常用的诊断方法有什么?

2)心脏超声能做些什么呢?

3)「平板运动负荷」如何结合「心肌造影」诊断冠心病?



我们先来看看今天的病例:


病例回顾

患者男性,45岁,临床以“反复胸痛3月余”为主诉收住院。

入院相关检查:血压145/110 mmHg

心电图:1、窦性心律;2、侧壁ST段压低。

心肌酶:CKMB同工酶质量测定(CKMB Mass):2.13 ng/ml;超敏肌钙蛋白T(TNT-HSST):8.54 pg/ml ;肌红蛋白(MYO-STAT):26.45 ng/ml。

拟诊断:

1)冠状动脉粥样硬化性心脏病劳力型心绞痛 

2)高血压病


看到这里,你的拟诊断是什么?

让我们接着往下看:

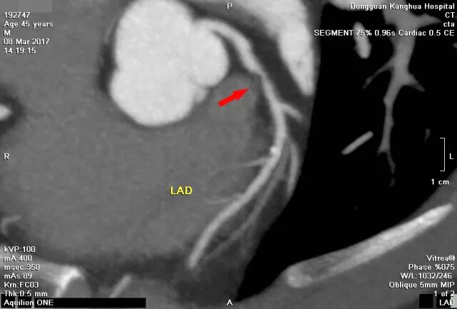
图(1)

图(2)

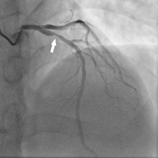
冠脉CTA:左前降支近端多发软硬斑块形成,管腔狭窄约80%。

TET:

图(3)

图(4)

图(5)

运动平板试验阳性:运动中第4阶段窦性心率157次/分时,出现短阵室性心动过速。前间壁ST段抬高,下壁及前侧壁ST段压低,休息后恢复。

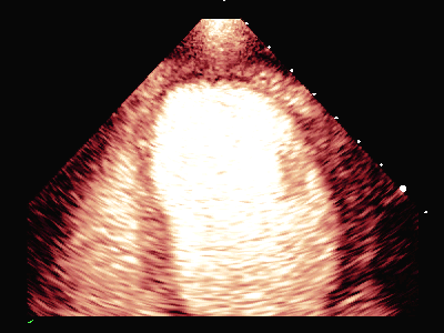
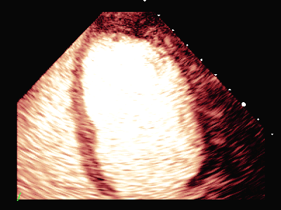
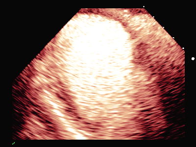
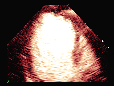
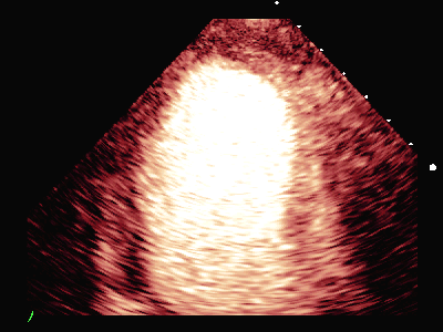
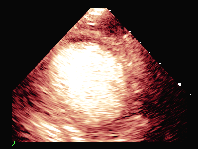
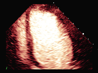
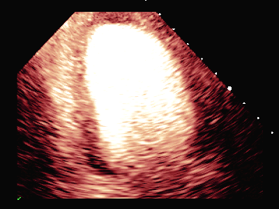
MCE:

动态图(1)静息状态四腔心二维图


动态图(2)静息状态双平面LVO

动态图(3)静息状态左室长轴图

动态图(4)负荷状态左室长轴

动态图(5)静息状态左室短轴

动态图(6)负荷状态左室短轴

动态图(7)静息状态心尖四腔心

动态图(8)负荷状态心尖四腔心

动态图(9)静息状态心尖两腔心

动态图(10)负荷状态心尖两腔心

动态图(11)静息状态心尖三腔心动态图

动态图(12)负荷状态心尖三腔心

超声负荷造影提示:

   负荷前左室壁未见明确节段性运动异常,左室各节段心肌灌注充盈良好。

   平板负荷量达89%时,该时患者心率157次/分,出现短阵性室性心动过速,即刻超声造影检查显示:负荷后左室前间隔中段、室间隔心尖段、侧壁中段、心尖段、下壁心尖段、前壁心尖段及心尖帽运动减弱。室间隔心尖段及心尖帽心肌灌注稀疏。

   患者休息后检查:左室壁未见明确节段性运动异常,左室各节段心肌灌注充盈良好。

DSA、PCI:

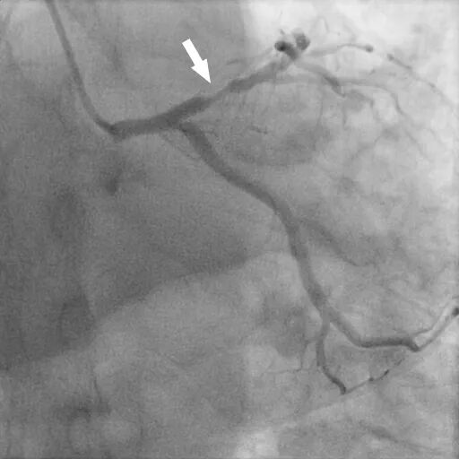
图(6)

图(7)

DSA:前降支(LAD):近段可见85%狭窄,血流TIMI 3级。PCI:于狭窄段置入支架1枚。

提示:

1)冠心病 劳力型心绞痛

 2)前降支成功支架术


相关知识

一、负荷超声心动图

   负荷超声心动图是指应用超声心动图对比观察负荷状态与静息状态超声所见,以了解受检者心血管系统对负荷的反应状况。通常分为运动、起搏、药物负荷三部分,临床应用较为广泛的是运动与药物负荷,由于能很好预测运动能力,运动超声心动图在很多情况下是首选。按照ESC2013年公布的稳定冠心病指南,负荷超声试验是唯一一个在敏感性和特异性方面均超过80%的项目(分别为80-85%,80-88%),而且,这个统计是在未行超声左室造影前的数据;如同时应用超声左室造影,将使室壁运动分析更为准确。在观察室璧运动的同时,还可同步观察心肌灌注,并在出现局部室壁运动异常之前通过使用声学造影剂评估相应冠脉支配区域的灌注不足来识别心肌缺血

   负荷试验的基本原理是使心肌耗氧量增大到冠状动脉血流储备不足以满足其需要,而诱发心肌缺血、心肌收缩力出现异常,此时行超声心动图检查,即可检出室壁节段性或整体运动异常。

   平板运动负荷试验(treadmill exercise test, TET)可获得更高的工作负荷和最大心率,可提供运动耐量、血压反应和心律失常等对临床诊断或预后评估有价值的信息。

 二、心脏超声造影

   心脏超声造影利用经静脉注射造影剂从而使心脏显影。主要用于诊断心内结构及心内分流、反流。包括右心造影和左心造影。右心造影是诊断或排除肺内或心内是否存在右向左分流相关疾病的有效方法。左心造影包括左心腔造影(LVO)和心肌造影(MCE)。

   LVO提高了在静息、运动或药物负荷状态下超声心动图定性和定量评价左心室结构和功能的可行性、准确性、重复性。清晰地显示左心室心内膜边界,明显提高诊断图像的解剖结构分辨率;准确评价左心室容量和LVEF;精确观测心脏病理解剖结构功能。

   MCE可观察到心肌毛细血管水平检测到造影剂微泡,并以此来反映心肌的灌注情况及心肌缺血的部位和范围,可半定量和定量观测心肌血流灌注、心肌微循环、冠脉血流储备(负荷状态心肌血流量/静息状态心肌血流量)及心肌血流速率储备。MCE可用于评估不同程度冠脉狭窄对心肌灌注的影响,对心肌梗死患者的梗死区存活心肌的检测,可用于评估在血管化治疗的效果。

看到这里,我们再回过头看看前面的三个问题:

1)冠心病是最常用的诊断方法有什么?

   答:症状+心电图+冠脉CT或冠脉造影,

2)心脏超声能做些什么呢?

   答:常规的经胸超声心动图可以观察室壁运动有无异常,继发的改变如心腔大小、心脏功能等。

3)「平板运动负荷」如何结合「心肌造影」诊断冠心病?

   答:非心梗病例往往静息情况下,室壁运动异常不明显,本例通过平板运动负荷的方法可诱发出室壁运动异常,结合心脏造影可以更好地观察心内膜,还可以评价心肌灌注。

   下面通过病例的小结及上述相关知识,看看「平板运动负荷」,「心肌造影」两者擦出什么火花:

   小结:此病例中,患者具备典型心绞痛症状,冠脉CTA显示LAD近段管腔狭窄80%,可明确诊断冠心病。然而,CTA检查仅能提供冠脉狭窄情况判断,对显示心肌缺血程度、心肌活性判断等信息有所不足。TET可以增加心肌耗氧量,诱发心肌缺血,辅助临床对心肌缺血做出诊断;而心脏超声造影可显著提高心内膜边缘清晰度,使室壁运动异常的判断得到有效提升,同时,心肌造影可评价心肌灌注情况,对心肌活性预判提供有力支持。这两种技术的有机结合,使心肌缺血从心电图改变到心肌灌注异常,为临床诊治冠心病,治疗前方案选择,治疗后疗效判断及远期预后。

超人们,这期心超时间,你get到了吗?

参考文献:

Wu J, Barton D, Xie F, et al. Comparison of Fractional Flow Reserve Assessment With Demand Stress Myocardial Contrast Echocardiography in Angiographically Intermediate Coronary Stenoses[J]. Circulation Cardiovascular Imaging, 2016, 9(8):e004129.

宋明轩. 超声心动图运动负荷试验在冠心病早期诊断中的应用价值[J]. 中国继续医学教育, 2016, 8(32):54-55.

中华医学会超声医学分会超声心动图学组.负荷超声心动图规范化操作指南[J].中国医学影像技术,2017,33(4):632-638.

中华医学会超声医学分会超声心动图学组. 中国心血管超声造影增强检查专家共识[J]. 中华医学超声杂志:电子版, 2015, 12(9):667-680.

往期精彩回顾

室间隔增厚之“双城记”(心超时间第24期)

“雪上加霜”——室间隔缺损并感染性心内膜炎(心超时间第23期)

生死时速--暴发性心肌炎(心超时间第22期)

左室对称性肥厚原因探析之心肌淀粉样变(心超时间第21期)

当心包填塞邂逅超声造影。。(心超时间第20期)

更多精彩内容,点击阅读原文!

友情链接

Copyright © 2023 All Rights Reserved 版权所有 北京物流信息联盟