2022-08-07 10:29:38
检验医学——中华检验医学网旗下微信公众平台。您的随身微杂志。
整理:李 婷 丽水市人民医院
审校:陈宏伟 秦皇岛市第一医院
2016年8月14日晚,贵阳中医学院第一附属医院曾强武老师和秦皇岛市第一医院的陈宏伟老师分别在一起聊聊,看图片微信群和全国形态学诊断学术交流群转载了丁香园论坛的一病例。由此拉开了群内成员和诸多大咖老师们对细胞化学染色MPO与流式MPO等相关话题讨论的帷幕。现将精彩讨论过程如实还原,整理成帖!
丁香园病史资料:患者,女,48岁,浅表淋巴结多发肿大,肝、脾不大。WBC:105×109/L,Hb:58g/L,PLT:36×109/L。骨髓细胞学检查:骨髓增生极度活跃,可见95%的原始细胞,形态像原、幼淋,但多数细胞胞浆中可见数个至几十个粗大颗粒状或珠状紫红色颗粒。细胞化学染色证实,这些颗粒状物MPO阳性、PAS阳性、CE阴性。流式结果:异常细胞群占有核细胞的94.7%。表达CD34、 CD19、CD38、HLA- DR、cCD79a;部分表达CD10、CD20;弱表达CD13、cIgM;不表达 CD3、CD4、CD56、CD2、CD5、CD7、CD14、CD33、CD15、CD11b、CD117、sIgM、cMPO;符合Pre B-ALL表型。染色体、融合基因结果:Ph+,BCR-ABL1+。最终诊断:Ph+ B-ALL。我想请教大家的是,细胞中的那些颗粒到底是什么物质:包涵体?嗜天青颗粒?还是其他物质?为什么细胞化学MPO是阳性的,那和ALL岂不矛盾?恳请大家不吝指教,多谢!
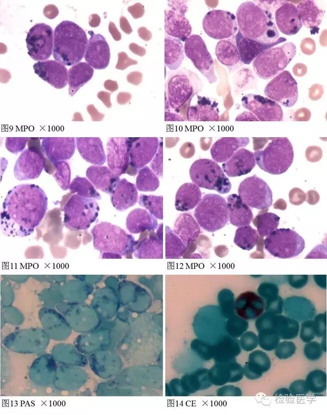
外周血涂片、骨髓涂片及细胞化学染色:
彭贤贵主任-重庆新桥医院:很精彩的病例!Ph+的急性白血病有混白,急淋,急髓和慢粒急变。这个病例有B细胞表型,髓系标志不够,但细胞化学MPO阳性,按标准应该考虑Ph+混白。这些颗粒就是含酶的A颗粒。
柏世玉-泰安中心医院:彭老师,是不是单克隆双表的混白?
彭贤贵主任-重庆新桥医院:有可能,有流式图可以研究一下。
曾强武-贵阳中医学院第一附属医院:这个楼主没有提供流式图,有点遗憾。
沈玉雷-美国威廉博蒙特医学院:首先排除是否有慢粒病史,要不就是慢粒急变了!MPO阳性超过3%就要考虑混白,当然表达单核细胞标记也要考虑混白,治疗和预后不同。
朱松山主任-广西省人民医院:这例细胞化学MPO阳性估计不止3%,双表型的混白细胞化学MPO阳性一般都是比较稀疏,有时候像单核一样会覆盖核上,但是阳性颗粒又像粒系比较粗。
窦心灵-酒泉市人民医院:双表型急性混合细胞白血病?
郑小江-茂名市人民医院:这个可能性大,但看流式结果似乎说服力不够。
刘艳奎-延边医院:这些颗粒是嗜天青颗粒?
刘敏-齐河人民医院:B-ALL的话,怎么细胞化学MPO阳性呢?
李彬彬-威海市立医院:ALL的确有胞浆是有颗粒的,但细胞化学MPO是阴性的。该例细胞化学MPO阳性率有多少?如果很低,是不是混杂有个别原粒?
岳保红主任-郑州大学一附院:流式最好有图或关键图展示,流式图比数字百分比重要,仅有数字信息不完整,本例是否有图?
冷梅-青岛市八院:从形态看有不少的原粒,大多数细胞为原、幼淋?
肖作淼-赣州市人民医院:细胞化学MPO应该是明显阳性,不像是混杂现象。
朱建锋-中山医院:ALL有部分是MPO阳性的。
武焕玲主任-山东省立医院:ALL原、幼淋巴细胞的细胞化学MPO是不可能阳性的,除非是夹杂少量早期髓系细胞。
徐慧英-浙二医院:记得学习的时候老师说过细胞化学MPO阳性可以排除淋系。这例阳性这么强,有可能是双表型吗?
卢兴国主任-浙大第二医院:我认为这个病例应诊断为混合表型急性白血病的特定类型,即混合表型急性白血病伴t(9;22)(q34.1;q11.2); BCR-ABL1。细胞化学MPO明显阳性是髓系的特异性标记。毫无疑问,免疫表型符合B系。反之,从遗传学和融合基因检查结果看,Ph阳性和(或)BCR-ABL1阳性的在ALL中就是B-ALL的。所以这个病人是原始细胞既有髓系又有淋系特征的混合性急性白血病!
李岩-北京友谊医院:原始细胞形态+细胞化学染色均支持AML特征,流式支持ALL特征,而且都达到各自诊断标准,故至少应充分考虑到混合细胞白血病的可能性,流式MPO表达弱或表达阳性率<10%,与细胞化学MPO弱阳性或阳性表达>3%并不矛盾,因此,两种方法都各自提供了各自角度的重要依据与信息,更说明了MIGM诊断的重要性,后面接下来则要考虑遗传学与分子生物学结果。
张义炜-上海仁济医院:遇到过几次细胞化学MPO阳性,流式证实是B细胞来源,最后都报了混合细胞白血病,不过治疗都是按照急淋的方案,疗效还行。
武焕玲主任-山东省立医院:这个病例,第一,要确定细胞化学染色中的MPO是否真的是髓过氧化物酶阳性反应,我看到图片中有些颗粒也带有紫红色,是否会是瑞氏染色胞浆颗粒的干扰,这个需要排除;第二,就是流式结果,为什么原始髓系细胞的标志都没有?解决好这两个问题再讨论,会更有成效!
王东侠-廊坊市中医医院:估计这个病例的首要问题,就是细胞化学MPO染色阳性的具体是髓系颗粒上的什么物质,粒系颗粒和单核系颗粒细胞化学MPO染色程度不同的物质基础是什么?然后才是淋系有没有可能阳性?还有个问题,PAS染色的又是什么分子?如果扩大一点,瑞姬染色的着色,其实也很含糊,染料最容易亲和的到底是什么分子,或者是具有什么性质的一组分子的集合,这个问题还不算太难,但是具体到不同细胞的染色深浅、平滑粗糙现象,以及表象背后的实质到底是什么原因导致的,就很复杂了。不同系列、不同阶段细胞分子表达谱系的变化规律,正常的就很复杂,再加上异常,觉得现有的关于血细胞生物学并没有这么细致的解读。
童华波-遵义市一医院:赞成卢老师的意见,考虑混合型白血病较恰当,否则教科书急淋细胞化学MPO阴性或阳性率<3%以后该怎么办?
陈朴-复旦大学中山医院:在很早之前就有报道称,伴有Ph+或是MLL基因的ALL可表达MPO,但往往是说通过FCM手段才能检测到的cMPO,而细胞化学染色往往是阴性的,所以以前讲的POX>3%除外急淋,都是指的细胞化学层面。有意思的是,该例细胞化学MPO染色这么多明显的阳性,但FCM中cMPO却是阴性的。
卢兴国主任-浙大第二医院:不同角度展开讨论有益于理解和认识。有一点需要明白,这个病例的原始细胞不是我们平时所见的AML原始细胞以及ALL的原始细胞。它是既有髓系又有淋系表达特征的原始细胞。至于诊断,也可以参考相关资料中的诊断信息:如本人在微信公众号(hemainte)上发布的AML类型及其诊断(WHO,2016)解读,以及浅作《白血病诊断学》第516页。
武焕玲主任-山东省立医院:一般化学染色中MPO是非常特异的髓系指标,一旦确定是阳性,归属髓系细胞无疑。只是该例流式结果没有髓系标志,的确值得关注。即使是双表型的白血病细胞,其免疫标志也要符合双表的标准才可以。所以,即使这个病例的诊断大家都有所统一,这样的结果不能互相解释,也是需要探讨的问题。
岳保红主任-郑州大学一附院:很需要流式细胞图,看各自分化抗原的分布情况,在同一类细胞上有异常表达、错表达、交叉表达,这样意义就大了。
朱建锋-中山医院:1、同意MPAL?但是需要排除是Ph阳性慢粒急变的可能,文献报道有ALL出现POX阳性,但是少部分患者为Ph阳性,是否CML急变需要鉴别;2、我们也是遇到过在少量ALL患者中存在细胞化学MPO弱阳性的情况。文献也有报道提到,在少量ALL中存在MPO的mRNA表达,尤其是婴幼儿ALL 原始细胞有MPO的mRNA的表达,尽管常规组化染色没有检测到MPO活性,可能是与原始细胞的发育成熟程度而不一。
卢兴国主任-浙大第二医院:朱老师提到的少量ALL存在MPO的mRNA表达,有这种情况,但与现在讨论的这个病例基本上没有关系(没有见到或尚无更可靠和灵敏的检测)。MPO的明显阳性可以代表髓系的标记,不一定需要在流式上完全反应。这个类型白血病的形态学和流式的特征就是这样的,形态与流式需要互补的理由也在于此,如果这个病人是CML来源的则另当别论。
武焕玲主任-山东省立医院:在MIGM 结合的平台中,每一种方法学都要尽自己最大可能保证结果的准确性和可靠性,这样在综合诊断的时候才能充分体现出其价值,得出的结果才更有说服力。
朱建锋-中山医院:我们遇到过一例BL样的ALL,其POX呈现阳性。
窦心灵-酒泉市人民医院:请教朱老师,如果是Ph+的CML急变的话,急变后的AL属于哪型?该如何命名?
朱建锋-中山医院:急变后属于MPAL。基本同意卢老师的观点,只是在这个病例出现细胞化学MPO阳性时要进行分析与思考。
王东侠-廊坊市中医医院:Ph+或MLL这种多数是伴有髓系抗原表达的急淋,细胞应该来源于髓淋共同前体阶段,然后需要根据胞內抗原确定系列,如果胞內仅有淋系,MPO阴性,就会归于急淋。但是临床见到的这种急淋,会有一点颗粒,细胞也确实有点像原粒,但往往不会有这么明显粗大的颗粒,细胞化学MPO也太强了!这例细胞没看到流式图,只看形态第一感觉就是原粒。
项喜喜主任-上海长征医院:基本支持卢兴国老师的观点,考虑混合表型急性白血病,但有一点需要明白,这个病例的原始细胞不是我们平时所见的AML原始细胞以及ALL的原始细胞。它是既有髓系又有淋系表达特征的原始细胞。但不解的是为什么流式一点也没有髓系标记的表达?
尹小武-港大深圳医院:流式MPO阴性,细胞化学MPO阳性,有些不可理解,按道理流式髓系积分MPO是最重要一项,特异性高。有没有化学染色阳性是颗粒中出现一些类过氧化酶物质导致的?
王东侠-廊坊市中医医院:我也有过这种怀疑,这个病例感觉就是一个诊断很明确的B-ALL,但是这种急淋会表达一种物质,导致细胞化学MPO阳性,所以颗粒很诡异。
卢兴国主任-浙大第二医院:白血病细胞的生物学有时是很紊乱的。
王亚秋-青岛妇儿医院:我在几年前也遇到过这样的病例,是个几岁的孩子,细胞化学MPO明显阳性,但是流式结果是急淋,按照急淋化疗,效果不好就放弃了。
刘敏-通江人民医院:有没有老师能从形态学层面分析一下,我们是基层的,没有流式,我怎么看形态象粒细胞?
卢兴国主任-浙大第二医院:对于基层工作者,各种检测技术相对缺乏,在诊断上就从细胞形态学层面上去仔细分析,POX明显阳性的考虑髓系,分类的类型适当往前,即适当宽松(基本类型诊断),不求细分。
王东侠-廊坊市中医医院:请问Ph+是染色体结果,还是融合基因结果?BCR/ABL1 210多见于慢粒,而BCR/ABL1 190多见ALL。
窦心灵-酒泉市人民医院:应该是染色体吧?
茹进伟-乐昌市人民医院:书中有提到,Ph+的ALL常会带有颗粒,猜想一下,会不会是这些颗粒影响细胞化学MPO染色结果?
陈佳宁-北京友谊医院:各位老师,我们也遇到过原始细胞细胞化学MPO和PAS双阳的,如果没有完善流式检查或流式只支持淋或髓中的某一系,而没有遗传等结果时,形态结论该怎么下合适呢?
陈朴-复旦大学中山医院:首先还是从形态上判断细胞特点,先有倾向性,同时注意有没有两种细胞群,是不是要考虑MPAL。接下来就是要借助细胞化学,我始终认为在所有的细胞化学染色中,MPO的价值是最大的,一般我是这个规则:明确阳性超过3%,那就是肯定有髓系存在,至少是个M5(但即便是细胞化学MPO阴性也不能除外分化不好的M5,这时要看形态和借助酯酶+NaF),阳性超过20%同时阴性和弱阳也超过20%在除外明显髓淋两群细胞的MPAL后,要考虑M4,阳性超过80%则考虑粒系。此患者的形态上看没有明确两群,假如是单克隆双表型就不是我们形态学能鉴别出的范畴,我们要承认我们形态的局限性,流式与细胞化学MPO有矛盾就报急性白血病建议结合MIGM。但我总觉得该例患者的细胞化学MPO阳性性状有些怪,而且流式里髓系标志不足,是否MPAL还是细胞化学MPO假阳性我打个问号。个人愚见,欢迎指正。
杨再林主任-第三军医大学西南医院:同意陈老师的看法,这个细胞化学MPO染色颗粒和我们平常看到的POX阳性颗粒是有点不大一样。
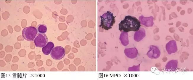
孟予城-廊坊市中医医院: 赞同陈老师的观点,如果细胞化学MPO染色与分型的实验结果本身都是可信的,倾向于混合表达的判断,同时是否也可以考虑由第二家实验室重复相关实验,以消除试剂、设备、操作等影响。我手里有一粒颗粒增多的急淋病例,传到群里,但是此病例细胞化学MPO染色阳性率<3%(图15-16)。
王东侠-廊坊市中医医院:换个思路看看,假设流式和组化实验都有良好质控,阴阳性对照正常,结果准确可靠的前提下,先要解决流式和细胞化学MPO的结果不一致问题,流式标记MPO采用的是抗原抗体结合方法,特异性不该怀疑,但是存在一个问题,不同实验室会采用不同的克隆号,会不会这个问题,导致流式MPO阴性,换个克隆号抗体也许就阳性了,建议送检胞內MPO到其他实验室检测(与实验室MPO克隆号不同的实验室)。
张义炜-上海仁济医院:血细胞中的过氧化物酶分解试剂中的底物H2O2,释出新生态氧,使无色联苯胺氧化为蓝色联苯胺,后者与亚硝基铁氰化钠结合形成蓝黑色的颗粒,沉着于细胞质中。这个细胞化学MPO与颗粒的类型及多少有直接关系吗?
王东侠-廊坊市中医医院:关于POX(现改称为MPO)阳性率小于3%的解释,许文荣主编的第四版《临床血液学与检验》提到:原始淋巴细胞及幼稚淋巴细胞均呈阴性,但实际上急性淋巴细胞白血病患者骨髓中可残留少许的原始粒细胞,而出现“原始淋巴细胞”呈阳性的现象,所以FAB分型规定急性淋巴细胞白血病患者POX(现改称为MPO)阳性率小于3%。另外,还提到POX(现改称为MPO)染色测定MPO的敏感度明显低于流式细胞术对MPO测定。
8月18日,陈宏伟老师几经周折,终于联系到病例提供者本人:河南省肿瘤医院刘冰老师。刘冰老师准备了详细的病史资料,尤其提供了流式原图及复发骨髓涂片等。
病史资料:
主诉:乏力、腰背部疼痛20天,加重伴发热2天。
现病史:患者于20天前无明显诱因下,突然出现乏力、腰背部疼痛,无发热、牙龈出血、便血等特殊不适,于当地医院予对症治疗,腰背部疼痛缓解,乏力较前无明显减轻。2天前乏力加重,伴发热,不伴畏寒、寒战、咳嗽咳痰、胸闷气促等不适,右膝关节疼痛难忍,影响日常生活,查血常规(2013.09.09)示:白细胞 110.08×109/L,血红蛋白84g/L,血小板53×109/L;生化检查示:LDH 2894 U/L;凝血功能正常。
体格检查:全身皮肤黏膜无黄染、皮疹、出血点,浅表淋巴结未触及肿大,胸骨无压痛,双肺呼吸音清,未闻及干湿啰音,心率88次/分,律齐,各瓣膜听诊区未闻及病理性杂音,腹软,无压痛反跳痛,肝脾肋缘下未触及,双下肢无水肿。
2013.09.11:白细胞120.79×109/L,血红蛋白96.0g/L,血小板57.0×109/L。
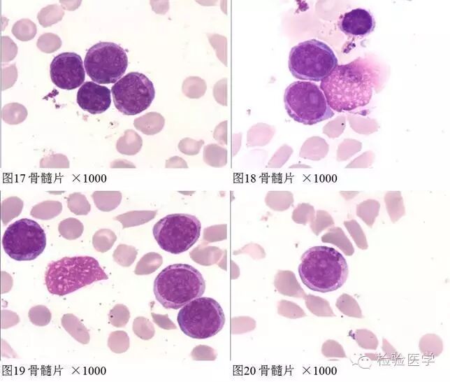
骨穿结果:骨髓增生极度活跃,原始细胞95.5%,POX(现改称为MPO):阳性率15%,呈颗粒状或点状;PAS阳性,呈颗粒状。流式结果:R2占有核细胞94.7%,表达CD34,CD19,CD38,HLA-DR,cCD79a;部分表达CD10,CD20,弱表达CD13,cIgM,不表达CD3,CD4,CD56,CD2,CD5,CD7,CD14,CD33,CD15,CD11b,CD117,sIgM,cMPO;符合Pre B-ALL表型。BCR-ABL1 190:0.39拷贝/有核细胞数;诊断为“急性淋巴细胞白血病,前B细胞性,Ph+,高危组”,于2013.09.14行VDCP方案化疗,化疗后骨髓象达完全缓解。2013.10.13行CAM巩固治疗。2013.10.17开始口服达沙替尼片100mg qd。2013.11.7骨穿结果:增生活跃,未见原、幼淋巴细胞。BCR-ABL1 190融合基因阴性。于2013.11.9予大剂量MTX方案化疗。2013.11.28复查骨穿示:增生减低,原幼淋0%,成熟淋53.5%。2013.12.2予VP方案化疗;2013.12.28给予CAM方案化疗1周期,过程顺利;2014.2.6 骨穿示:增生明显活跃,未见幼淋。2014.2.9予以达沙替尼联合VDCP方案,期间多次复查BCR-ABL1 190均阴性。2014.5.3骨穿示:增生明显活跃,幼淋21.2%,提示复发(图片17-20)。后患者放弃治疗,自行出院。(初发骨髓涂片及细胞化学染色结果见本文开头。)
补充初发流式细胞学结果:
复发骨髓涂片:
高标-开封市中心医院:像是未分化的M0。
刘冰-河南省肿瘤医院:BCR-ABL1 190阳性。
王哲主任-保定市第一医院:有病理提示吗?
刘冰-河南省肿瘤医院:没有病理,患者淋巴结不大。
庄顺红主任-浙大金华医院:流式pre B-ALL是明确的,流式MPO与细胞化学MPO对不上,不知为什么,细胞化学MPO看着挺强的,SB染色有没有?
刘冰-河南省肿瘤医院:SB染色没做,但细胞化学MPO我们做了3遍,都是这样的结果。
杜秀敏-济南军区总医院:大颗粒B-ALL,细胞化学MPO染色这么强?我们还未曾遇见过。
刘冰-河南省肿瘤医院:我觉得颗粒的形态和分布与髓系细胞不像。
庄顺红主任-浙大金华医院:那就符合双表型急性白血病,这些颗粒这么大,有嗜碱、嗜酸的感觉,正常粒细胞有无这种颗粒?
王哲主任-保定市第一医院:可以考虑伴有髓系表达的ALL。
刘冰-河南省肿瘤医院:我们以前遇到的伴髓系表达的ALL的细胞化学MPO也是阴性的,没见过阳性的。
沈亚文主任-四平市中心医院:搞形态的要相信自己,患病的本身有多克隆,这髓片有髓系表达是正确的。
高标-开封市中心医院:当时的流式做了cCD3和cMPO吗?因为pro B-ALL的早期细胞髓过氧化物酶染色会出现阴性,但是胞浆内的cMPO可以是阳性。
刘冰-河南省肿瘤医院:Ph+ ALL的细胞化学MPO也是阴性的。
茹进伟-乐昌市人民医院:Ph+的ALL细胞多带颗粒,该病例纠结的地方就在细胞化学MPO。
刘冰-河南省肿瘤医院:对,关键就是细胞化学MPO和流式MPO不符,流式是阴性的。
朱松山主任-广西省人民医院:这么强的细胞化学MPO肯定有髓系成份在里面,唯一要确定的是MPO的准确性,要不然计算积分的误差就大了,淋、髓双表的可能性很大。
沈亚文主任-四平市中心医院:髄系双表的说法正确,但双表的细胞也应有两系的形态特征。
陈宏伟-秦皇岛市第一医院:还是考虑MPAL。
王东侠-廊坊市中医医院:该例流式的CD22和MPO竟然做的胞膜抗体,应该做胞浆,但即使这样,MPO也是部分阳性的;而且流式CD45/SSC还是很像双表的,胞膜CD13强阳,CD33弱,也支持双表。
庄顺红主任-浙大金华医院:如果有SB就更好,细胞化学MPO与流式MPO不符,群里的老师碰到多例了,原因前面也分析过,流式做胞内本身难做,Cut-off要求低,MPO染不上或抗体克隆号不对等,组化、病理MPO意义等同,CD13、CD33阳,符合双表,颗粒粗大的确难得一见!
郑芳-东莞市人民医院:急淋也可以表达髓系抗原。
孟予城-廊坊市中医医院:现有的证据做出双表的诊断,应该是充分的了。临床治疗给了成人急淋的方案,看来临床医生还是作为急淋处理了!
沈亚文主任-四平市中心医院:因为流式主要就是淋系为主,髓系为辅助,髓系还是要以我们形态为主,特别是双表型的、低增生的。
王霄霞教授-温医大附属一院:临床上POX阳性,而流式却为ALL偶尔可见到。该患者POX染色阳性率15%,说明肯定有髓系,根据WHO标准可以确诊为急性混合表型白血病。这个患者的POX染色阳性是可靠的,至于流式为何呈阴性有待探讨。如果因此认为个别ALL的POX可呈阳性的话,那WHO对POX染色的临床意义要重新定义了。
刘冰-河南省肿瘤医院:参照标准,单以流式结果好像不够MPAL,是不是得加上POX结果。
王霄霞教授-温医大附属一院:POX阳性就说明有髓系。
陈宏伟-秦皇岛市第一医院:刘老师,通常大家所说的细胞化学染色POX实际上是错误的概念,真正的叫法应该叫MPO。MPAL的诊断标准表中也是髓系MPO阳性(流式免疫表型,免疫组化或细胞化学检查)。 换言之,您细胞化学染色做的POX其实应该叫MPO更为合适!
刘冰-河南省肿瘤医院:对,我的意思是对这个病例来说流式MPO阴性,只能以组化来代替。
王霄霞教授-温医大附属一院:新的本科教材已经改为MPO染色,只是大家习惯称POX染色。
陈宏伟-秦皇岛市第一医院:是的,只是大家习惯了。过氧化物酶POX可以存在于好多细胞和组织中,而我们细胞化学染色做的其实是髓过氧化物酶MPO,这才是最准确的叫法!也希望我们的同行们今后能够保持叫法一致,才能有助于沟通交流!
庄顺红主任-浙大金华医院: POX( peroxidase)只是通常说法,而细胞自然是指髓细胞,区别这个没有什么意义。另外赞同王老师,如果只说急淋那么POX肯定是阴性的,不容挑战;如果POX阳,那么只能称MPAL,不能称为ALL。
陈宏伟-秦皇岛市第一医院:髓过氧化物酶(myeloperoxidase,MPO)与过氧化物酶(peroxidase,POX)是完全不同的两个概念,完全有必要区分开来。正如王霄霞教授所言,新的本科教材已经改为MPO染色。大家习惯的叫法既然是错误的,就需要改正,尤其是在实习带教、进修生带教过程中,有必要把正确的观点和概念传下去!
高标-开封市人民医院:胞浆内的MPO早于膜上的MPO表达,所以像这种情况还是做个cMPO看一下。庄老师,POX染色染的是哪一部分?
庄顺红主任-浙大金华医院:MPO没有做胞膜的,只是流式图没有标识而已。POX指的是胞浆,不是胞膜。细胞化学的POX只有膜阳性,而胞浆阴性,有谁见过?
刘冰-河南省肿瘤医院:跟临床确认了,是胞浆MPO,另外请教一下,为何细胞化学MPO阳性这么强,流式MPO却是阴性。POX染色阳性,而流式MPO阴性,哪位老师能解释一下,谢谢!
王东侠-廊坊市中医医院:零星阳性信号,但是阳性程度很强,看粒细胞的MPO阳性,应该操作也没有问题,那就只能查找克隆号问题。SSC做线性坐标时候,习惯这样纵坐标放置,对数坐标一般是CD45做纵坐标。
庄顺红主任-浙大金华医院:1、可能没成功;2、剂破坏了MPO酶结构?3、MPO酶与流式抗体克隆号不对;4、Cut-off值设不对,阴性对照门太宽了,可能还有其它情况。
郑妮-胜利油田中心医院:我觉得这是可能与Cut-off值也有关系,流式更灵敏特异,但是如果的确没有阳性也做不出来,而组化染色大于3%我们就认为是弱阳,工作中经常会遇到组化有弱阳但是流式为阴性,尤其是M5很常见。但是如果组化强阳性的时候流式也都能做出来。
张宏-苏大附二院:这个病例我最大的收获就是理解叶向军老师和卢兴国主任《AML与相关肿瘤类型及其诊断(WHO,2016)解读》表6(请见下图)中的那段描述,MPO是髓系特异型标志,这阳性可以是流式结果也可以是细胞化学染色结果,是并列的,并不是哪个更有意义(当然前提是检测结果要可靠),至于两者有时不符合,前面各位老师已经讲了很多原因。还有就是单核细胞白血病,MPO可以阴性(包括流式及细胞化学染色),但如有其他指标可以证明是单核细胞(如CD14,CD64,NSE等)也可以认为是髓系。血液病诊断是综合分析,形态学包括细胞化学染色是很重要的基础。
金鑫-浙江省立同德医院:个人浅见MPO强表达就是双表,WHO就是这样描述的,如果有MPO阳性的ALL那也需要更多的病例总结和分子机制研究来证明。
岳保红主任-郑州大学一附院:MPO(或通常称的POX)只见于细胞浆(质)中,所以抗体标记时需要,没有胞膜MPO之说。这个病例细胞化学的MPO阳性是存在的,具备髓系的特异性特征(MPO阳性指流式、免疫组化、细胞化学任一阳性均有意义),另外细胞体积较大(FSC值高)、特别SSC值较高、CD45表达强度较高,这些在纯B-ALL中不多见,但这一点也不绝对!总体来说,髓系细胞特征具备。流式细胞学分析尽管图形并不是非常完美,但B细胞早期标志确实存在并能相互支撑,所以该例髓-B的双表型特征存在,应为MPAL。在WHO血液肿瘤分型中本身也有一型是MPAL-伴t(9:22)(q34;q11.2);BCR-ABL1,应该与资料提到的Ph+(P190)相一致,这种MPAL类型中,髓-B混合较多见,髓-T较少。至于细胞化学MPO阳性,而FCM的MPO不阳性,这种情况是存在的。毕竟它们是性质和原理不一样的,要达到一一吻合很难,这是方法学的限制。临床实践中也是,很多单核白血病病例细胞化学MPO弱的阳性,而FCM的MPO阳性不明显。FCM方法是抗原抗体标记,不同厂家的克隆号不一样、选择的抗原位点也不一样、荧光素发光效率也会影响阳性表现。
:Ph染色体阳性的白血病常表现为两种形式:一种是在22号染色体的M-BCR位点发生断裂,产生P210蛋白,认为与CML急变相关(可伴有脾大);另一类癌基因产物为P190蛋白,这种认为是原发病,常常是粒系与淋系杂合体。刘老师的病例倾向后者。
陈宏伟-秦皇岛市第一医院:感谢岳主任的精彩点评:出现细胞化学染色MPO弱阳性或阳性而流式MPO阴性,就彻底能解释清楚了;FCM方法是抗原抗体标记,不同厂家的克隆号不一样、选择的抗原位点也不一样、荧光素发光效率也会影响阳性表现。抗体和荧光素的搭配组合也很重要,强表达的抗体搭配弱的荧光,弱表达的抗体搭配强的荧光。如果搭配不好,对结果的影响非常大,大家可能都忽略了这一点,而只是关注细胞化学染色MPO与流式MPO结果对不上。
杨军军主任-温医大附二院:细胞化学的MPO与流式的MPO不相符,其中还有一个原因,流式加的试剂量(大部分存在不规范减量操作)的问题,我们也遇见过细胞化学MPO阳性,流式阴性,后来我们用原倍操作就阳性了。
陈宏伟-秦皇岛市第一医院:杨主任补充完美!这个话题完美终结,非常有意义的讨论,对临床实践很有指导意义!
小结
刘冰老师提供的这例诊断为Ph+ ALL病例,引起群内诸多大咖老师们和群友的积极讨论,现在大多数老师的观点倾向于MPAL。讨论中陈宏伟老师指出,通常大家说的细胞化学染色的POX实际上是错误的概念,正确的叫法应该是MPO,新版教科书也是这样描述的。所以在实习带教、进修生带教时,我们有必要把正确的观点和概念传下去!
该病例最让人迷惑不解的是细胞化学MPO是强阳性,而流式细胞学cMPO结果是阴性的。通过庄顺红主任、岳保红主任、杨军军主任等诸多大咖老师们的深入探讨,我们总结原因主要有以下三方面:第一,MPO(或通常称的POX)只见于细胞浆(质)中,所以抗体标记时需要,没有胞膜MPO之说。所以没成功,或者剂破坏了MPO酶结构都会导致细胞化学与FCM的MPO不相符;第二,至于细胞化学MPO与FCM的MPO性质和原理不一样,这是方法学的限制,要达到一一吻合很难。FCM方法是抗原抗体标记,不同厂家的克隆号不一样、选择的抗原位点也不一样、荧光素发光效率也会影响阳性表现。此外抗体和荧光素的搭配组合也很重要,强表达的抗体搭配弱的荧光,弱表达的抗体搭配强的荧光。搭配不好,对结果的影响非常大;第三,流式实验过程添加的试剂量(大部分存在不规范减量操作)的问题,也会影响MPO阳性表达结果。
病例提供者:
刘冰,河南省肿瘤医院检验科细胞形态室,副主任技师,毕业于郑州大学医学检验系,郑州大学基础医学院免疫学专业硕士研究生,曾在中国医学科学院天津血液学研究所进修骨髓形态、组化染色。
科研及成果:河南省科技成果二等奖第三完成人;以第一作者发表核心期刊论文6篇(中文核心2篇,科技类核心4篇)。
专业方向:主要从事骨髓形态学诊断。
社会任职:河南省血液免疫专业委员会委员;河南省血液病理实验诊断学组委员。
说明:本文为中华检验医学网、检验医学微信公众平台全网首发,转载时请注明来源及原创作者姓名和单位。
检验医学•中华检验医学网
全国最具影响力的检验医学新媒体平台
因为专业所以权威丨投稿联系:12557057@qq.com
相关推荐
友情链接
Copyright © 2023 All Rights Reserved 版权所有 北京物流信息联盟
