北京物流信息联盟

染色体疾病的产前诊断

2022-05-01 09:07:18

染色体病是指由染色体异常引起的疾病。据估计染色体异常占出生儿的1/150~1/120。产前诊断中最常见的染色体异常有:染色体数目异常、染色体结构异常和微结构异常染色体疾病。据文献报道我国每年出生染色体异常的新生儿约10万人,在活婴儿中染色体异常者占0.3%。因此,普及染色体疾病的产前筛查和产前诊断,对降低出生缺陷的发生有着非常重要的意义。


下面就常见的染色体疾病及染色体病的产前筛查和产前诊断作简单的阐述。


一、染色体数目异常疾病


染色体数目异常是临床上最主要的染色体病,其中以13号、21号、18号,X、Y染色体异常最为常见,占染色体非整倍体畸变95%以上。这些染色体异常占全部染色体病的80%~90%。常见的可以进行产前诊断的染色体病有以下几种。


(一)21三体综合征


21三体综合征(trisomy 21 syndrome)又称先天愚型综合征和唐氏综合征(Down syndrome),是胎儿和新生儿中最常见的非整倍体染色体异常。在新生儿中的发病率为1/600,在受精卵中为1/150。主要的临床特征为:智力低下,特殊面容,眼裂上斜,鼻梁扁平,舌大、外伸和流涎。约40%患者伴有先天性心脏病。

患者核型绝大多数(92.5%)为单纯型21三体,即47,XX,(xy),+21;4.8%为易位型(如14/21、21/22易位);少数为嵌合型。单纯型21三体几乎都是新突变,与父母核型无关,它是减数分裂染色体不分离所致。单纯型21三体的发生率与母亲的生育年龄密切相关,高龄孕妇生育21三体患儿的比例明显升高。


(二)18三体综合征


18三体综合征又称为Edward综合征,是一种严重的畸形,出生后不久死亡。患儿临床表现为头面、手足有严重畸形,头长而枕部凸出,犹如冬瓜样,称冬瓜头。眼距宽,眼球小,手紧握拳,足突出,向背部翘起,呈帆船状脚,95%的病例有先天性心脏病。

细胞遗体学检查80%患者核型为47,XY(或XX),+18;另外10%患者为嵌合体,即46,XY(或XX)/47,XY(或XX),+18;其余为各种易位,主要是18号与D组染色体的易位。


(三)13三体综合征


13三体综合征又称Patau综合征。新生儿中的发病率为1∶25 000。临床表现为智力发育障碍、小头、眼球小、前脑发育缺陷,常伴有腭裂。

细胞遗传学检查80%的病例为游离型13三体,核型为47,XX(或XY),+13。其余的为嵌合型或易位型。易位型通常以13号和14号染色体罗泊逊易位居多。


(四)性染色体异常综合征


1.klinefelter syndrome综合征:

又称先天性发育不全综合征。临床表现主要是小睪丸、无精子产生,97%患者不育。患者男性第二性征发育差,身材高,四肢长,可有智商低,精神异常及精神分裂症倾向。细胞遗传学检查绝大多数患者核型为47,XXY。

大约有15%患者为嵌合体,其中常见的为46,XX/47,XXY;46,XY/48XXXY。额外的X是由于亲代减数分裂时X染色体不分离的结果。



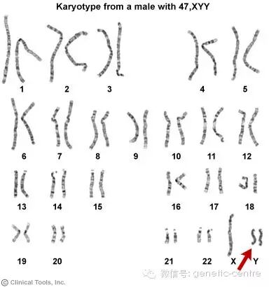
2. XYY综合征:在男婴中发生率为1∶900。患者男性表型正常,身材高大,易兴奋,常有攻击行为。睪丸发育不全,生精过程障碍。

XYY核型是父亲精子形成过程中第二次减数分裂时发生Y染色体不分离的结果。


3. Turner综合征:又称为45,X,女性先天性性腺发育不全综合征。染色体为X单体。在新生儿女婴中的发病率为0.2%~0.4%,患者表型为女性,身材矮小,智力一般,颈部发际低,女性第二性征发育不全。细胞遗传单方面Turner综合征的核型典型的是45,X;约占55%。其他核型常见有嵌合体46,XX和46,X和X等臂染色体X,i(xq)。本病发病机制是双亲配子形成过程中的不分离,其中75%的染色体丢失发生在男方,绝大部分是由于精卵细胞的染色体不分离所致[1]。


4.47,XXY和多X女性综合征:本病又称多雌综合征,其外形、性功能与生育能力都是正常,有少数患者有继发闭经。约2/3的患者有智力低下。多X综合征是由于细胞的减数分裂时染色体的不分离所致。X染色体数目愈多,智力损害和发育畸形愈严重。


其他染色体三体综合征能活到出生的非常难见。大部分的7-三体、8-三体、10-三体和14-三体综合征都在早孕期流产,除非是嵌合体。


二、染色体结构异常


(一)常染色体结构异常


包括染色体部分缺失、环状染色体、等臂染色体、倒位、易位、重复、插入等染色体结构的改变。

(二)性染色体结构异常


X染色体结构畸变包括X短臂缺失(XXP-);X染色体长臂缺失(XXq-);X等臂染色体、X环形染色体;易位染色体和X脆性综合征。Y染色体结构异常包括Y的长臂或短臂缺失;等臂染色体i(yq)和i(yp);环形染色体和双着丝粒染色体等。


(三)染色体微结构异常综合征


染色微结构异常疾病是由于染色体微小片段缺失或重复,使正常基因组剂量发生改变而导致临床可识别的一组疾病。染色体微结构异常是用常规的染色体显带方法不能或不容易被发现的染色体结构异常。随着分子细胞遗传技术的发展,特别是最近两年CGH微阵列方法的引进,被发现的染色体微结构引起的疾病将会越来越多。下面简单介绍几种常见的染色体微缺失综合征[1]。


1.22q11.2微缺失综合征:22q11.2微缺失综合征是由于22号染色体长臂近着丝粒端微片段22q11.21缺失引起的遗传综合征,其遗传病理基础是22q11.2片段的微缺失。主要临床表现为心脏畸形、面容异常、胸腺发育不良、腭裂及低钙血症5个症状。

又称DiGeorge综合征(DiGeorge syndrome,DGS)和腭心面综合征(velocardiofacial syndrome,VCFS)。近年研究认为22q11.2微缺失综合征与学习认知障碍、精砷异常、发育迟缓等有关。其发病率为活产新生儿的1/4000~1/3000。是人类最常见的染色体微缺失综合征[1-2]。


2.22q11微重复综合征:22q11微重复综合征是由22q11.2区域所含的DNA微重复所致。临床表现与22q11.13缺失综合征相似,但有其特殊表型,其中包括上位眉毛,眼眶下斜、轻度小颌、脸部细长等。


3. Prader-Willi综合征:Prader-Willi综合征(PWS)又称张力减退-智力减退-性腺功能减退与肥胖综合征,是Angelman综合征同系15q11~q13的缺失所致。


4. Williams综合征:

Williams综合征是指因7号染色体长臂近着丝端片段7q11.23微缺失引起,主要临床表现有动脉狭窄,精神发育不良和认知缺陷。发病率为1/10 000。


5. 其他常见已知的染色体微缺失综合征:1P36单体综合征,1q部分单体综合征,1q部分三体综合征,4P部分单体综合征,5P部分单体综合征,18q24.1~q24.13缺失和16号、7号染色体短臂部分缺失综合征。


染色体微缺失是不能通过核型分析检测出来的,需用高分辨染色体核型分析,现可用特异探针进行FISH探测和QF-PCR通过扩增短串联重复序列检测和CGH微阵列方法检测。


三、染色体病的产前筛查及产前诊断方法


(一)产前唐氏综合征筛查


目前唐氏综合征的筛查方法主要有:(1)孕中期二联筛查:指以中孕期(15~20周)血清甲胎蛋白(AFP)和游离B-HCG为指标,结合孕妇年龄等参数计算胎儿患唐氏综合征风险的方法。(2)三联筛查:以中孕(15~20周)血清AFP、游离B-HCG、非结合雌三醇(μE3)为指标,结合孕妇年龄等参数计算胎儿患唐氏综合征风险的联合筛查方法。(3)联合筛查:早孕(11~13周)超声测定胎儿颈后透明层(nuchal translcenc,NT)厚度,结合孕妇血清游离B-HCG和妊娠相关血浆蛋白A(pregnancy associated plasma protein-A,PAPP-A)水平以及孕妇年龄以计算胎儿患唐氏综合征的风险。据报道,单用年龄(≥35岁)Down综合征的检出率仅为49%;中孕二联筛查检出率为73%;中孕三联筛查检出率为78%;早孕NT+B-HCG+PAPP-A检出率为86%。用NT+NB(鼻骨)+B-HCG+PAPP-A+AFP+μE3的方案则Down综合征的检出率可>95%[3]。


在我国目前广泛开展的是中孕二联筛查,其方法简单,价格低廉。有条件的地区已开展早孕NT+PAPP-A+B-HCG的方案。唐氏筛查只是一种筛查方法,不能作为诊断,筛查高风险患者还须进一步做染色体检查才能确诊。


(二)细胞遗传学技术


细胞遗传学技术主要从染色体的数目、形态、结构和行为来研究人类的遗传现象,主要应用常规G显带技术。每个单倍体都可以显示150~550条带,每条带大约代表(5~10)×106 bP的DNA。高分辨显带是采用细胞同步化等方法,获得大量优质的有丝分裂晚前期或早中期的显带核型。高分辨显带染色体的优点是染色体细长,显出的带纹多可达500~1000条带,从而极大地提高了识别染色体细胞微结构改变的能力。可以检出常规G显带技术难以发现的染色体缺陷,提高了染色体病的检出率。


利用染色体显带技术可对经过培养的绒毛、羊水、脐血中的胎儿细胞进行核型鉴定,以发现染色体数目及结构的改变。目前该技术仍是诊断13,18,21三体等染色体病的金标准。应用胎儿细胞培养作核型鉴定细胞遗传学检测的适应证有:(1)年龄≥35岁的孕妇;(2)有染色体病的孕妇;(3)家族中有遗传病的孕妇;(4)出生过先天畸形儿和宫内死胎的孕妇,有习惯性流产史的孕妇;(5)接触过放射线的孕妇;(6)出生过染色体病儿的孕妇;(7)Down筛查阳性的孕妇;(8)超声检查胎儿NT≥3 mm的孕妇;(9)早、中孕超声检查有胎儿结构异常和胎儿宫内发育不良的孕妇等。

(三)荧光原位杂交技术(fluorescence in situ hybridization,FISH)


FISH是分子遗传学和免疫学相结合,采用已知核酸序列作为探针,用荧光素直接标记或非放射性物质标记后与靶DNA进行杂交,在荧光显微镜下对标本中待测核酸进行定性、定位分析。FISH具有快速、准确的优点。可用于外周血细胞、脐血、未经培养的间期细胞染色检查;快速的性染色体检查;快速的染色体产前诊断;染色体微缺失综合征(需制备特定的探针);胚胎植入前诊断;孕妇外周血分离胎儿细胞进行产前诊断时具有优越性[4-6]。


FISH探针种类有:(1)α-卫星DNA序列探针,位于毎条染色体的着丝粒区域;(2)β-卫星DNA序列探针位于近端着丝粒染色体(即13、14、15、21和22号染色体)的短臂;(3)端粒DNA探针位于染色体端粒;(4)染色体全涂染探针;(5)具有特异性的一些染色体微缺失探针,如染色体22q11.2微缺失综合征;7q11.23微缺失综合征;15q11~q13微缺失综合征等。目前国产的已用于临床的染色体诊断的FISH探针有:21、18、13/21、13/18号和X、Y等探针[7-8]。


(四)定量荧光多聚酶链反应染色体技术(quantitative fluorescence polymerase chain reaction,QF-PCR)和多重连接探针扩增(multiplex ligation-dependent probe amplification,MLPA)等方法它们对常见21、18、13号常染色体和性染色体X、Y的非整倍体异常检测的灵敏度和特异性已为许多大样本的研究所证实。它通过扩增短串联重复序列(short tanden repeat,STR),然后通过分析这些STR的拷贝数来判断检测样品的染色体数目是否正常。这些方法检出常见非整倍体的敏感性很高。


1993年,Mansfield等首先将STR作为遗传标记,用QF-PCR对唐氏综合征患者进行基因诊断。STR位点是QF-PCR中检测染色体数目异常最适合的标记,其数量多、稳定,具有高度的多态性,可提供较多的信息量,而且在上下代的传递过程中遵循孟德尓共显性遗传定律。Lee等用QF-PCR扩增21号染色体上的4个STR位点,结果显示诊断的敏感性、特异性和有效率在95.4%~99.5%。但QF-PCR不能对嵌合体或易位型唐氏综合征作出正确的诊断[9]。

QF-PCR对常见非整倍体检出的准确性已在大量研究中被证实与FISH相似,而QF-PCR和MLPA的检测需要DNA测序仪,设备昂贵,但自动化程度高,易于操作[10]。


FISH和QF-PCR是两种比较成熟的检测技术,对常见非整倍体的研究准确率相似,不论FISH方法还是QF-PCR方法得出错误的诊断结果的概率都相当小。目前在西方先进国家已较广泛使用,这仅用于快速非整倍体的检测,随后仍需常规染色体G显带检测,以进一步确定染色体核型。


(五)快速染色体异常检测(rapid aneuploidy detection,RAD)


RAD能在1~3 d内诊断包括唐氏综合征在内的常见染色体数目异常,显著缩短了报告时间,对常见21、18、13号常染色体和性染色体X、Y的非整体异常探测的敏感度和特异度已为许多大规模的研究证实。但是RAD无法对所有染色体进行探测。对于核型分析检测到的所有染色体异常,RAD只能检出70%~85%。但是在诊断常见的染色体异常方面,他们可与传统的核型分析技术相媲美,且方法简单,容易操作。美国遗传学会认为RAD是“相对成熟的技术”;英国国家筛查委员会建议对于唐氏筛查高风险孕妇可以不采用核型分析的方法,直接通过FISH或QF-PCR的快速产前诊断确诊胎儿是否有唐氏综合征。


(六)染色体异常的产前超声诊断


随着超声技术的提高,能发现染色体异常的结构畸形。很多胎儿结构畸形都伴有染色体异常。目前发现不少的胎儿结构异常伴有染色体微缺失;21、18、13号染色体三体等异常有早期超声改变。因此,超声检测可以作为胎儿染色体异常的软指标,在筛查胎儿染色体异常中起到一定的作用,常用的胎儿染色体畸形产前超声有以下的指标。


1. NT:在孕11~14周NT增厚与很多染色体异常有关。通常标准为≥2.5~3.0 mm。美国FMF报道:NT对21三体综合征胎儿检出率为82%,其他染色体异常的检出率为78%。目前在西方国家NT已作为常规超声检查[11]。


2. 胎儿鼻骨:在孕11~14周胎儿鼻骨缺失与21三体综合征及其他染色体异常有很高的相关性。在21三体胎儿中鼻骨缺失比率可达60%~70%。而在染色体正常儿中,鼻骨缺失只有1.4%[11]。


3. 单脐动脉:18三体综合征中,75%有单脐动脉,在有单脐动脉的胎儿中,18三体的风险增加7倍。

4. 心搏过速:在13三体中约有70%心搏过速。在特纳综合征中约有50%的个案有心搏过速。


5. 孕中期常见染色体异常的相关超声改变:脑室扩大、全前脑、脉络膜囊肿、Dandy-Walker复合体(小脑蚓部发育不全及后窝脑增大等一系列小脑蚓部病变)、颜面裂、下颌过小、颈水肿、水囊瘤、膈疝、心脏畸形、脐膨出、十二指肠闭锁、食管闭锁、肠回声增强、肾脏畸形、肢体短小、手指内弯、手指交选、多指、并指、马蹄足内翻、胎儿生长迟缓等。不管单独存在或合并其他畸形,其染色体异常在15%~40%[12]。


6. 轻微畸形或软性标记:轻微胎儿畸形或软性标记很常见,如肾盂扩张,心室灶状强回声等在10%~15%的染色体正常胎儿中可见,通常不伴明显的畸形,除非合并有其他畸形,或在有染色体异常疾病中合并存在。有学者提出以流行病学为基础的逻辑,根据似然比推算出风险率[12]。软性标记与染色体异常的相关性有待进一步探讨。


四、结语


染色体病是出生缺陷的重要组成部分之一。随着医学遗传学、分子生物学及影像医学的发展为产前染色体病的筛查和诊断提供了不少快速、准确、有效、可行的先进方法。在各种方法中胎儿细胞染色体核型分析目前仍是染色体病产前诊断的金标准。临床医师应加深对染色体病的认识,综合各种筛查、诊断方法,提高染色体病的产前诊断水平,对降低出生缺陷很有必要,亦是社会的需求。

(图片来源于网络,文字部分摘自--黄艳仪 染色体疾病的产前诊断.中华临床医生杂志,2012,6(11)


友情链接

Copyright © 2023 All Rights Reserved 版权所有 北京物流信息联盟