北京物流信息联盟

【微课堂】腹主动脉瘤的诊疗及术后康复

2022-01-13 10:22:41

主动脉疾病诊疗系列课程5
通过上次课程,我们已经对主动脉缩窄的诊疗有了初步的了解。本次课程,北京安贞医院郭曦教授,将对腹主动脉瘤的诊疗及术后康复进行讲解,具体如下。






一、概述


腹主动脉瘤是腹主动脉局部扩张,超过正常管径50%,临界直径为3.0 cm。腹主动脉瘤是全身脉管系统疾病的局部表现,常伴其他循环系统或周围血管的动脉硬化性疾病,瘤体破裂死亡率为80%,严重威胁患者生命。



二、高危人群


60岁以上,有吸烟史、高血压、高血脂、家族史、肥胖的男性是腹主动脉瘤的高发人群,与感染、外伤、马凡综合征、先天性结缔组织发育不全综合征等有关。瘤体破裂的因素与瘤体大小、瘤体扩张率相关。


三、症状与体征


腹主动脉瘤患者多数无明显症状,部分出现压迫症状,炎性腹主动脉瘤可能出现背痛、体重下降、血沉加快等症状;体检可探及搏动性肿块;破裂腹主动脉瘤可出现突发性腹痛、搏动性肿块、低血压"三联症"。


四、瘤体破裂风险


瘤体的扩张速度直接影响是否需要手术治疗,扩张速率受吸烟状况、血压和瘤体大小的影响。瘤体直径≥5.5 cm且未进行治疗的患者5年内破裂率为40%,平均生存时间17月。瘤体破裂部位主要在腹膜后(80%)、腹腔(20%)、腔静脉(3%~4%)。下图为腹主动脉瘤向腔静脉破裂。


五、诊断与筛查


1.诊断


临床上通过体检探及腹部搏动性肿块进行初步诊断,进而通过腹部X线、超声、CT血管造影(CTA)、MRI、血管造影等影像学检查进一步确认。


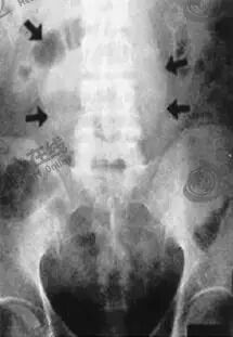
(1)腹部X线


腹主动脉瘤行腹部X线检查时,瘤壁呈蛋壳样钙化,部分可见瘤体轮廓(如下图);当X线检查呈阴性时不能排除诊断。


(2)腹部超声


腹部超声是一种无创检查方法,费用较低,但不能显示肾动脉以上结构,且易受肠气影响,准确性稍差。


(3)CTA


常用于术前检查,以明确瘤体大小、近端瘤颈长度、成角、钙化及附壁血栓等解剖学形态。


(4)MRI


MRI成像准确度次于CTA,常用于腹主动脉瘤伴肾功能不全或造影剂过敏者。


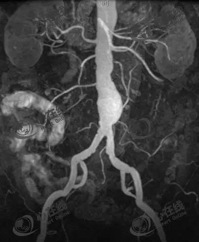
(5)血管造影


血管造影为诊断金标准,血管腔内腹主动脉瘤修复(EVAR)术中常规显示主动脉腔及分支血管病变,可指导治疗策略选择。


上图可见瘤体巨大(>10cm),瘤颈扭曲


2.筛查


(1)筛查指征


美国预防工作服务组(USPSTF)2005年发布的腹主动脉瘤筛查建议,推荐65~75岁有吸烟史的男性进行常规筛查,不推荐同年龄段无吸烟史的男性及女性筛查。


美国心脏病学会/心脏病协会(ACC/AHA)2006年发布的腹主动脉瘤筛查声明,推荐年龄大于65岁有吸烟史的男性进行常规筛查,年龄大于60岁有家族史的男性进行筛查,但不推荐女性筛查。


(2)筛查方法


①超声:花费低,但成像清晰度及准确度较差。


②多普勒血流超声:可对血流动力学进行监测,但临床推广较少。


③腹部触诊:对体重正常或偏小患者检出率较高。


④CTA:准确度相对较高,但存在放射性和造影剂肾毒性问题。


(3)干预指征


无论瘤体大小,扩张速率大于0.5cm/半年及瘤体直径>5.5cm的男性、>5.0cm的女性无症状患者需直接干预;有症状的腹主动脉瘤,无论瘤体大小均应采取干预措施。


六、治疗方法


腹主动脉瘤可行保守治疗或腹主动脉瘤修复术治疗,后者包括开放性手术和腔内修复术。保守治疗包括药物治疗(β受体阻滞剂、他汀类降脂药)和改变生活习惯(戒烟等)。


1.腔内修复术VS开放手术


腔内修复术手术时间短,失血少、恢复快,重症监护少,围手术期死亡率低,是高龄患者的首选,但术后需长期随访,且手术费用较高;开放手术恢复期和住院周期较长,但远期成功率高,是年轻患者首选治疗方案。


2.EVAR的瘤体解剖条件


传统EVAR需满足:近端瘤颈长度≥1.5cm、夹角≤600、髂股动脉直径≥7.5mm、瘤颈无严重钙化或附壁血栓等条件。


3.EVAR进展


EVAR适应证不断扩大,目前可使用开窗支架、烟囱支架、带分支支架、多层裸支架、柔顺性支架等。


七、康复


1.应对腹主动脉瘤患者进行密切随访,经CTA或腹部超声观察患者术后状况,确保患者术后3月、6月、1年及以后每年进行一次复查。


2.通过药物治疗控制高血压、高血糖、高脂血症。


3.调整生活方式,健康饮食,多食新鲜果蔬,低盐、低脂、高纤维饮食,戒烟;进行规律训练,术后1年避免剧烈运动,可在医生指导下适量进行有氧运动;减轻压力,保持心情舒畅。


八、知识点小结


腹主动脉瘤多发于60岁以上、吸烟男性,可通过腹部超声、腹部触诊、CTA行早期筛查。外科治疗包括开放手术和腔内修复术,术后需坚持药物治疗和健康的生活方式,并长期随访、复查。


下期预告:创伤性主动脉损伤


点击观看往期课程:

 

第一讲:【微课堂】主动脉夹层的影像诊断

第二讲:【微课堂】急性主动脉夹层的鉴别诊断

第三讲:【微课堂】主动脉穿通性溃疡和主动脉壁间血肿的影像诊断

第四讲:【微课堂】细说主动脉缩窄诊疗


心在线原创,欢迎转发,谢绝转载,保护版权,违者必究。


心在线 专业平台专家打造
策划 岑聪┆编辑 田新芳 郭雪梅┆视频后期 陈静┆美编 柴明霞┆制版 王柳

↓↓↓ 点击下方"阅读原文" ,进入官网


友情链接

Copyright © 2023 All Rights Reserved 版权所有 北京物流信息联盟