北京物流信息联盟

【病例分享】胎儿心功能异常(三)

2021-10-04 07:14:22

上期病例分析:

病例4

孕妇,28岁,G37W,G1P0。既往健康,妊娠早期曾患感冒,未服用药物。

胎儿超声心动图阳性所见:心脏位置正常,心胸比例缩小:心脏横径30mm,胸廓横径76.5mm。左心内径偏小,右心内径增大:左室横径6.6mm,右室横径13.8mm,左房横径6.4mm,右房横径12.2mm。左房内未见明确卵圆瓣活动,CDFI:卵圆孔处仅见宽约0.8mm的左向右分流信号。十字交叉结构存在,房室瓣未见异常,CDFI:房室瓣口未见异常血流信号。大动脉起源正常,肺动脉内径较主动脉内径增宽:肺动脉内径7.0mm,主动脉内径4.8mm。动脉导管未见异常。大脑中动脉收缩期流速1030cm/s,舒张期492.5cm/s,RI:0.54。胎儿心脏收缩功能未见明显异常。双侧胸腔内见大量液性无回声区,左侧深24.5mm,右侧深51.9mm。腹腔内探及少量液性无回声区,深约10mm。

超声提示:胎儿宫内卵圆孔提前闭合;右心增大;右心功能减低;肺动脉增宽;大脑中脉舒张期流速增快(低阻);胸、腹腔积液。

病例5

孕妇,24岁,G31W,G1P0,双胎。既往健康,妊娠期家中饲养宠物狗,常有接触。

胎儿超声心动图阳性所见:左侧胎儿未见明显异常。位于右侧胎儿超声阳性所见:心脏位置正常,心脏增大,心胸面积比为0.43。左室横径18.3mm,左房横径16.3mm,右室横径17.2mm,右房横径22mm。房、室及大动脉连接关系正常。左、右室壁厚度未见异常,运动幅度明显减低。CDFI:左冠状动脉内血流信号显示清晰,流速1000cm/s,但各心腔内未见明确异常分流信号。心脏十字交叉结构存在,二尖瓣、三尖瓣瓣叶增厚,开放幅度减低。CDFI:收缩期二尖瓣房侧见少量反流信号,三尖瓣房侧见大量反流信号,TRVmax:7500cm/s,PGmax:36mmHg。肺动脉瓣增厚,回声增强,未见明显瓣膜启闭活动。CDFI:肺动脉内为源自动脉导管逆灌注血流信号。静脉导管频谱A波深凹,部分心动周期呈单向波。检查过程中未见胎儿心律失常。

超声提示:胎儿心脏增大、心功能减低、三尖瓣反流(重度)、二尖瓣反流(轻度)、肺动脉瓣近闭锁(不除外功能性闭锁)、动脉导管逆灌注。



胎儿心功能异常(三)

胎儿心脏舒张功能评价主要通过频谱多普勒超声检测房室瓣口、静脉系统的频谱形态和组织多普勒技术评价心肌运动进行分析。

胎儿期房室瓣口舒张期血流频谱呈双相波:心室舒张早期E峰和心室舒张晚期(心房收缩)A峰。由于胎儿的心肌僵硬度较高,心房的收缩功能对心室充盈具有更加重要意义,整个孕期表现为E/A比值<1。随着孕周的增长,E/A比值随之增加,由妊娠早期的0.53±0.05增加至妊娠晚期0.70±0.02。随着孕周增长E/A比值增加表明心肌顺应性不断完善,胎盘血管阻力降低。正常二尖瓣口血流频谱为双峰,三尖瓣血流频谱可为双峰也可表现为单峰。当双侧房室瓣口血流频谱均为单相波改变时,表明心脏舒张明显受限。另外胎儿心动过速时表现为E、A峰融合,呈单峰。

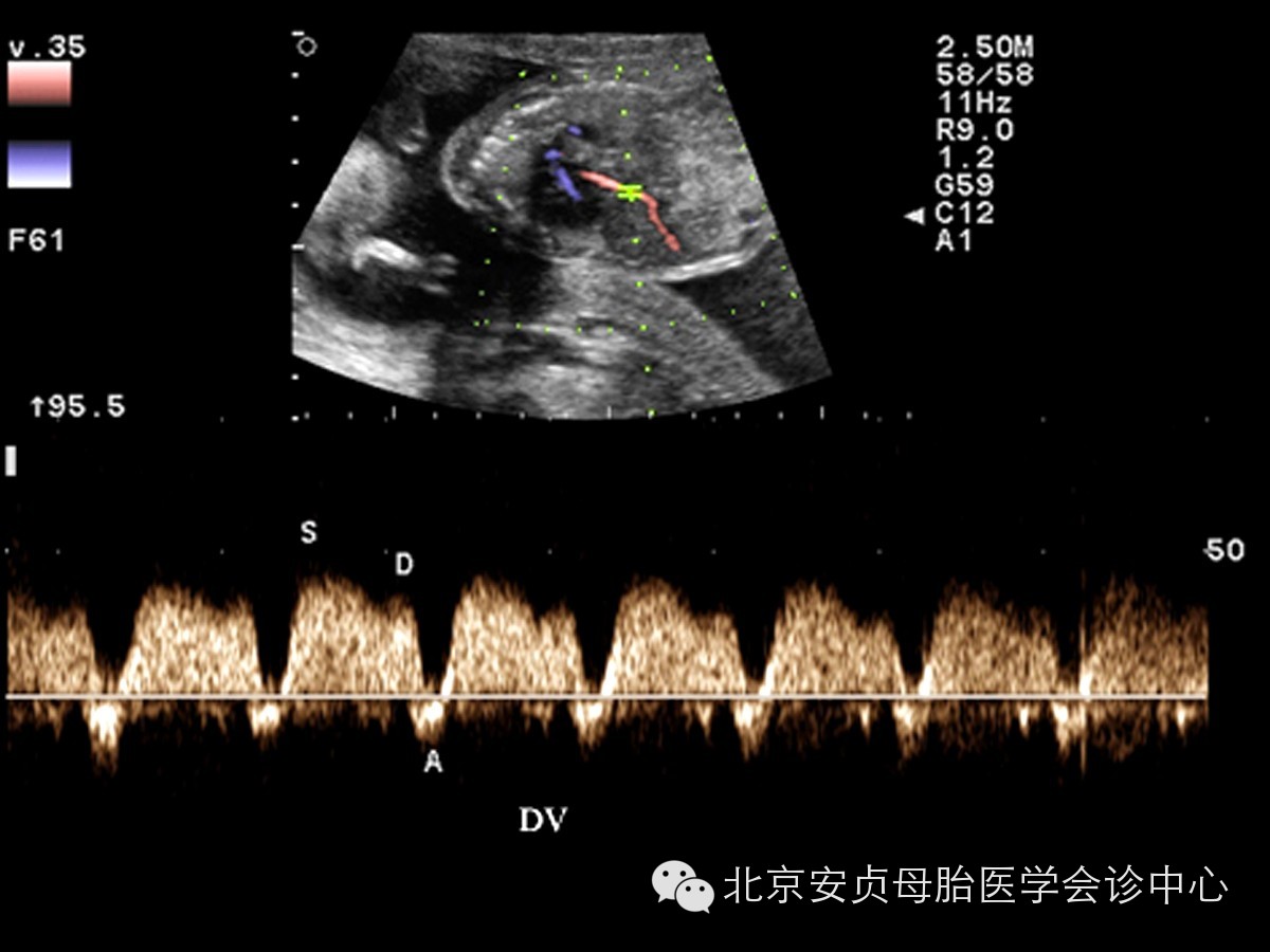
胎儿静脉血流能够客观、非特异性的用于评价心脏功能。对静脉系统频谱波形的分析主要包括:近心水平的静脉导管、下腔静脉、肝静脉、肺静脉;远心水平的腹内段脐静脉。与心房紧密相关的近心端静脉血流频谱正常均表现为多相血流波形。远心端脐静脉表现为无波动性的、低阻力连续静脉频谱波形。当上述静脉系统波形异常时,表明胎儿心脏舒张或收缩功能异常、心脏后负荷增加。

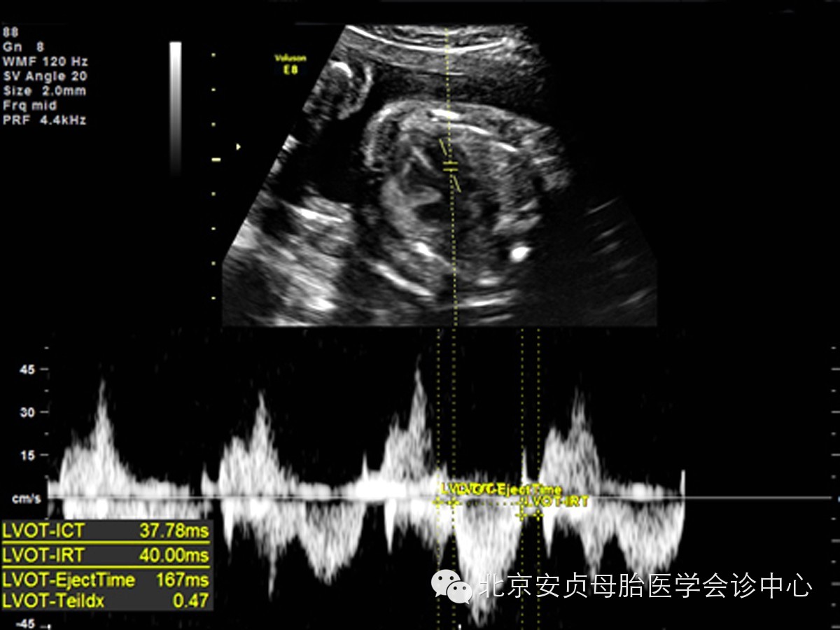
Tei指数不受心腔几何形态改变和心率的影响,是一项检测心功能异常的敏感指标。胎儿心脏收缩和舒张功能处于一个动态发展、相互关联的过程,心功能异常时二者相互影响,因此综合评价二者比较合理。Tei指数= ( ICT + IRT) /ET (注:ICT:心室等容收缩时间,IRT:心室等容舒张时间,ET:心室射血时间)。以频谱多普勒取二尖瓣、三尖瓣、主动脉、肺动脉的血流频谱代入公式进行计算。Tei指数在整个孕周中保持相对稳定范围内,各孕期间无明显差别,正常Tei指数<0.50,Tei指数>0.60为异常。

胎儿心功能不全是组织灌注不足或高充盈压下维持排出量的状态。早期识别胎儿心功能不全对及时进行宫内干预、采取合理分娩方案等至关重要。目前可用于评价胎儿心功能的方法较多,虽然在二维和彩色多普勒超声表现正常时,我们并不对每个胎儿都进行心功能评价,但当胎儿出现病理结构或血流动力学异常时,应选择性的采用相关评价方法对胎儿心脏功能进行评估。每种心功能的评价方法均有各自优点和局限性,互相间不能完全取代。

胎儿心功能可受心脏以外因素或本身结构异常的影响。如心脏前、后负荷的增加,心肌病变,心律失常等。心脏前负荷增加时见于产生高输出量性心力衰竭的动-静脉畸形、静脉导管缺如、双胎反向动脉灌注综合征(TRAP)、双胎输血综合征(TTTS);也可见于Ebsteins畸形和三尖瓣发育异常产生的三尖瓣反流。后负荷增加主要见于腹主动脉狭窄和尿路梗阻、动脉导管提前闭合、主动脉缩窄、肺动脉狭窄或闭锁以及胎儿宫内发育迟缓(IUGR)等。在上述因素存在时,应对胎儿心功能进行详细评价。

胎儿心功能不全除包括心室收缩或舒张功能减低,以下征象的出现也表明胎儿心力衰竭:心脏扩大、房室瓣反流、静脉血流频谱异常、心脏输出量重新分配(大脑中动脉舒张期血流速度增快和搏动指数减低、脐动脉舒张期血流消失或呈反向波)、胎儿水肿,如病例4,胎儿收缩功能常规测量值方面显示正常,但综合和表现提示胎儿右心功能减低。

测定胎儿心功能的准确性受很多因素的影响,如:超声诊断仪器的因素、对胎儿心脏较成人心脏测量距离的增加、无心电图引导、胎儿活动、较快的心率等。另外检查者自身经验和技术也是不可忽视的因素。尽管胎儿超声心动图在评价心功能方面存在以上的局限性,但随着超声分辨率的提高和我们对评价方法的不断探索,对胎儿心功能评价的认识将会更加深入。


本内容节选自人民卫生出版社出版的《胎儿超声心动图学》,版权所有,仅用于学术讨论

若您对本内容有兴趣,请购买正版图书。


版权所有,转载请注明出处!

查看更多文章,请点击“查看历史消息”

更多精彩内容,请关注微信公众号“北京安贞母胎医学会诊中心”


友情链接

Copyright © 2023 All Rights Reserved 版权所有 北京物流信息联盟