北京物流信息联盟

健康检查之七剑下天山

2022-05-03 16:06:26


随着人民生活水平的不断提高,人们越来越注重身体健康。一提起检查身体,人们就想到CT、核磁等检查。而很多人不知道身体不适时究竟该做哪些检查,既经济简便,又能够精准诊断。“合理检查、合理用药、合理治疗”是老百姓一直关注的热点。小编将医院常用的几项检查向各位做一简要介绍,戏称为“七剑”下天山,“七剑”基本上包括了医技系统的主要的检查,希望通过对这“七剑”的作用和意义形象地解释,帮助各位做到合理检查的同时做到精准诊断。


第一剑 检验



医学检验的“精武门”:医学检验即通俗讲的“抽血化验”,是运用物理学、化学、生物学、免疫学、自动化检验等技术,对人体的血液、体液、排泄物、分泌物等标本进行实验室检查,为疾病诊断、治疗、病情观察、预后判断提供依据。



健康小贴士:抽血化验--有五门

第一门  血液检验与体液检验

主要项目包括血常规、血涂片形态学、血沉、血气、凝血四项、骨髓涂片检查、尿常规、粪便常规、脑脊液常规、胸腹水常规等。


当有发热、感染的表现时,检查血常规可以知道是不是有白细胞的升高、贫血、血小板减少等身体指标的改变。


当有尿急、尿频、尿痛的表现时,检查尿常规可以知道尿里面是不是有了红细胞、白细胞、蛋白等这些不该有的成分。


第二门  化学检验

主要项目包括肝功能、肾功能、血糖、血脂、电解质等。

当有饮水多、吃饭多、消瘦等表现时,检查血糖、糖化血红蛋白可以知道您是不是患上了糖尿病如果您体型肥胖,建议您检查血脂,是否有高脂血症。


第三门  免疫检验。

主要项目包括感染四项、甲状腺功能、心肌标志物、肿瘤标志物、性腺激素、自身抗体等。乙肝、丙肝、、,这个项目已经成为健康体检的必检项目之一了说自身抗体您可能不了解,如果类风湿病、红斑狼疮您可能就听说过了,这类项目就是检查这一类自身免疫性疾病的。


第四门  微生物检验

主要项目包括痰液、尿液、血液、分泌物的细菌培养、鉴定、药敏实验,结核斑点实验等。有尿路感染感染的患者用上抗生素却不见好转,这时候您应该做尿液的细菌分离、培养、鉴定与药敏实验,可以帮助您找到尿路感染的“元凶”,有针对性的用药,效果会事半功倍。


第五门  核酸和基因检验

主要项目包括乙肝、丙肝病毒的核酸定量检测、HLA-B27、淋巴细胞亚群等。乙肝的诊断我们知道要做乙肝五项,但乙肝的治疗就要用到乙肝病毒的核酸定量检测了HLA-B27的检测大部分人搞不懂,其实是强直性脊柱炎的一个特异性的检查,


第二剑 超声检查

....




B超检查原理是用超声波穿透人体,当声波遇到人体组织时会产生反射波,通过计算反射波成像。就像挑西瓜一样,边敲边看显示病灶情况。


TCD即经颅多普勒超声,是颅底动脉的“管道检查工”。是利用多普勒原理,探测颅底大动脉内血液的流动情况,从而反推出血管腔本身是否存在病变。就好比流水管道,如果管道狭窄或闭塞,造成水流的变化,根据管道不同部位水流的情况,推断管道问题所在及严重程度。



超声检查看胎儿发育


TCD检查看脑血管狭窄


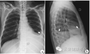
第三剑  X光

....



X光像把面包压扁了看,X光会穿过人体,遇到被遮挡的部位,底片上不会曝光,洗片后这个部位就是白色的。就像一片面包或一块棉花,看不到里面的纤维纹理,但用手压瘪了会清晰一些。X光最大缺点是受制于深浅组织的影像相互重叠和隐藏,有时需要多次多角度拍摄X光片。



第四剑 CT

....



CT像把土豆切片看,检查原理是X光会分层穿过人体,之后通过电脑计算后二次成像,就像把土豆切成片来看。优点是可以分层看,可以显示出更多的组织信息。



CT看肺部:胸部断层像切面包片观看内部结构


CT之剑中剑“倚天剑”:超炫速利剑之开源CT是CT中的剑中剑——“倚天剑”,天下武功唯快不破,开源CT好似超单反相机,0.13秒的扫描速度,可以“冻结”心脏,捕捉快速运动物体的图像,辐射剂量相当于一张胸片的辐射剂量,可以用来做心脑血管疾病健康体检及肿瘤早期筛查。


 

开源CT低辐射剂量心脑血管一站式成像


CT之剑中刀“屠龙刀”:宝石能谱CT是CT之剑中刀“屠龙刀”,能谱分析可对肿瘤病变的性质进行鉴别诊断,对于小病灶的敏感性可与PET/CT相媲美。能谱CT凭借其单光子成像与物质分离技术,突破了传统形态学的观察,通过能谱变化来辨别内部物质成分,对于鉴别肿瘤良恶性以及肿瘤的同源性有重要意义。



宝石能谱CT鉴别肿瘤良恶性以及肿瘤的同源性


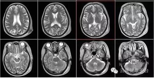
第五剑 核磁

....



核磁共振:核磁共振机使用较强大的磁场,使人体中所有氢质子磁场的磁力线方向一致,这时磁共振机的磁场突然变化,身体中水分子的磁力线方向,突然恢复到原来的状态。简单说就相当于用手摇一摇,让氢质子振动起来,再平静下来,感受一下里面的振动。所以,核磁共振也被戏说为是摇摇看的检查。



第六剑 PET-CT

....



PET中文名字叫“正电子发射型计算机断层扫描”,其作为核医学科的新锐检查手段,是医学影像界的又一次革命,其已经成为现代核医学科的新宠。为了客观有效地使PET/CT这种好装备更好地为适合的患者服务,我们将为你掀开PET/CT的神秘面纱,瞧瞧它的庐山真面目。PET/CT是如何发现疾病的呢?, (示踪剂-示踪剂上所携带的是短寿命的核素),其发出“电报”(γ光子),由专业设备(PET/CT)接收并读取,敌人内部情况我们就可及时清晰地掌握。  

     

PET/CT是如何诊断疾病的呢?PET/CT一体机,是将PET和CT有机整合,合二为一,通过快速全身扫描一次性获得CT解剖图像和PET功能代谢图像,两种图像有机结合、优势互补,产生1+1>2的完美效果。呈现在医生面前是病灶的生物代谢信息及精准的解剖定位和结构。从而让医生对疾病的判断更早、更快、更全、更准。



第七剑 介入诊疗

....



介入诊疗就是用微创的导管技术打通堵塞或狭窄的血管(冠状动脉或脑动脉),使组织恢复正常的血液供应,具有成功率高,创伤小,恢复快的特点。


介入治疗


健康小贴士

1、外伤骨头——粗看X光片、细看CT

各种外伤,如果怀疑伤到了骨头,优先选择X光照片,检查结果快速易得。若要进一步观察,可以选择CT。超声、核磁对于骨皮质等看不大清,一般不选择。


2、颈椎腰椎——最佳选核磁、次选CT

颈椎病、腰椎间盘突出等椎间盘疾病需要观察椎间盘与相应的神经根,要想更好观察这些软组织,最优选择就是核磁。同样,对于关节、肌肉、脂肪组织检查,核磁也是首选。


3、胸部——粗看X光片,细看CT

X光胸片可粗略检查心脏、主动脉、肺、胸膜、肋骨等,可以检查有无肺纹理增多、肺部钙化点、主动脉结钙化等。胸部CT检查显示出的结构更清晰,对胸部病变检出敏感性和显示病变的准确性均优于常规X光胸片,特别是对于早期肺癌确诊有决定性意义。但是常规CT检查的辐射剂量高于X光(开源超炫速CT除外)。核磁对于肺部疾病的诊断,应用非常有限。


4、腹部盆腔——除肠道外,一般超声都能查

腹腔器官受呼吸影响较大,进而影响到CT、核磁成像,而超声不会因此受影响。同时,超声对肝脏、脾脏、胰腺、肾脏、盆腔脏器等诊断准确率较高。但是超声受气体干扰很大,对于肠道等含气较多的器官,超声诊断准确率会降低。


5、心脏——排除冠心病用CT,看心功能用超声

常规的心脏结构与功能检查,心脏彩超所提供的信息已经较为充分,又简单易行,用CT可检查冠状动脉,常规冠脉CT检查辐射量较大,超炫速开源CT冠状动脉成像检查辐射剂量低(相当于一张胸片辐射剂量)。核磁虽无电离辐射,但对冠状动脉的观察不及CT。


包头市中心医院


友情链接

Copyright © 2023 All Rights Reserved 版权所有 北京物流信息联盟