2022-02-07 16:57:05
《更多资讯》敬请关注公众平台,点击右上角查看历史记录
原作者:Carsten Englert,1,* Johannes Zellner,1 Michael Koller,2 Michael Nerlich,1 and Andreas Lenich 3
本篇文章,试着翻译,感觉好多东西不是很能理解,骨科东西太多,如果你是要求比较高,请自行查看文章后面的原文,谢谢
关于肘关节脱位的综述描述了韧带和骨损伤以及典型的损伤机制和肘关节脱位的主要分类。 通过病例报告概述了简单的,即稳定的或复杂的不稳定肘关节脱位的当前治疗概念。 特别强调内侧尺骨副韧带(MUCL)的损伤和外伤后的肘关节僵硬。
即使简单的肘关节脱位也不一定代表良性损伤。 Anakwe在一项回顾性试验中发现,在接近180例患者中,62%和56%的患者发生简单肘关节脱位引起相当大的残余疼痛和僵硬[1]。 据Anakwe认为,如果重新复位后,通过肘关节的全套动作,除去外力后,肘关节稳定,这样的肘关节脱位可以定义为简单型的。一般情况下,一个人落到伸出的手上时,发生肘关节简单错位。肘部的轴向压缩结合仰卧和外翻应力主要导致外侧尺骨副韧带(LUCL)的破裂,这可能导致后外侧半脱位(图1(a))。扩大的肘位错常常涉及严重的破裂,前和后囊收缩,随后是肌肉损伤,最后,通过肘位错与前MUCL破裂(图1(b))。该韧带倾向于在两个阶段破裂;即后MUCL的断裂(图1(a))之后是韧带复合体的前内侧束的破裂[2,3](图1(b))。这种创伤机制已由O'Driscoll描述,O'Driscoll也根据以下五个标准将创伤后肘不稳定性分类:所涉及的关节,位移的方向,位移的程度,定时,以及存在或不存在相关骨折[3]。具有支撑功能的骨结构的骨折立即导致肘关节不稳定。内侧尺骨副韧带复合体的功能,特别是其在复杂肘关节脱臼中的作用已被深入研究。然而,MUCL的单一损伤似乎是罕见的。
(a)解剖肘部准备的背视图。 后外侧尺骨副韧带(LUCL)和后内侧尺骨副韧带(MUCL)是可见的。 韧带的后部环抱其插入到尺骨,并且可以看到LCL的上面躺的远端部分。
(b)解剖肘部准备的腹侧视图,示出前内侧尺骨副韧带(aMUCL)。 可以看到分子的前内侧面的平面接合面,其在内翻和外翻应力中具有支撑功能。
(c)解剖肘部准备的侧视图,其中示出由运行到桡骨上髁的环形环形成的侧副韧带复合体(LCL)。
总的来说,伤害分类有助于了解创伤的病理,并有助于做出最佳治疗形式的决策。 然而,并不是所有可用的治疗方案都符合循证医学的标准[4]。 因此,我们提出一种治疗算法,其基于我们的优选的肘位错分类的临床证据。 在治疗肘位错期间的缺点和并发症是特别感兴趣的,并且特别强调肘的刚度。 我们还讨论了这种并发症的治疗的新的基本科学方面,并提出第一个临床结果。
肘部代表人体中最稳定的关节之一。紧密连接的尺肱关节及桡侧关节的导致肘关于伸展和屈曲以及前臂的旋前和旋后的高范围的运动。骨结构,关节囊,以及外侧和内侧尺骨副韧带允许直接运动控制和高稳定性。 桡侧关节间室还包含韧带结构。 径向头被环形韧带包围,该环形韧带将径向头保持在适当位置并且使得旋转运动成为可能。 环形韧带包围桡骨头,并将尺骨插入背和掌方向(图1(c))。
位于LUCL上方的环形韧带的一部分进入外肱骨上髁并形成侧副韧带(LCL)。 骨骼和韧带被认为是静态和主要稳定因素。 次要稳定因素是交叉肌肉,另外有助于肘稳定性[3]。
肱骨滑车沟的骨结构和连接的乙状弓的切口具有支撑功能,是内外翻和外翻应力和旋转运动期间的主要稳定因素(图1(b))。 由肱骨和肱骨的半月面引起的运动范围在伸展和屈曲方面受到限制。 生物力学试验显示骨结构是肘的主要稳定剂。55%的内翻应力被完全伸展的骨隔室吸收,甚至在90°屈曲时被吸收75%。 在内翻应力,只有较小的支持由荚膜和韧带结构[5]。 外翻肘的稳定性取决于韧带以及骨结构[6]。 模拟冠状骨折而没有任何损伤的实验,如Morrey所分类的,显示桡骨头的切除主要影响外翻和外旋,而冠状动脉缺损导致内翻松弛和后翻译(图2(a))。 总体上,径向头部包括大约40%的稳定表面。
(a)MUCL的组合机械功能,拇外翻和径向头的内侧面,外翻和外部旋转稳定性。 (b)解剖学准备上的黄点说明I型和II型冠状骨折。 鹰嘴骨的III型骨折(绿斑)涉及前MUCL,其导致30°和60°之间的肘的突然的角度和平移不稳定性。
如果囊性结构保持完整,即使桡骨头已经被移除,内侧 - 斜侧,侧 - 斜,甚至II型冠状骨折都不会引起肘稳定性的任何显着变化。 III型骨折显示肘屈曲30°和60°之间突然的角度和平移变化,无论是否存在桡骨头(图2(b))。 径向头是外翻和外旋期间的重要稳定器(图2(a)),特别是在II型或III型冠状骨折,而外翻和外旋转稳定性取决于桡骨头的剩余的总关节面。 后和近端的翻译受冠状动脉的孤立的关节面参与影响[7]。
MUCL由三个分支组成,即前,后和斜束,这也通常称为“横向韧带”。大体解剖试验已经显示前束很容易与下面的关节囊区分开。 前束由两个单独的组织学层组成:较深层由包含在胶囊内的胶原束组成,较浅层是在胶囊上方的不同的韧带结构。 前束源于内侧肱骨上髁的前下缘,并插入到尺骨的隆起结节上。后束起源于内侧肱骨上髁的后下方,并且在鹰嘴的内侧边缘上具有宽的插入。 因为它是由胶原束的胶囊的后内侧方面内的单个层的后束是不容易辨认。 横向韧带在尺寸和总体外观上都不同,因为它从冠状突过程的下髁边缘延伸到鹰嘴中间边缘[6]。 生物力学试验已经表明,MUCL主要有助于肘的外翻稳定性。 前束和后束的张力根据肘屈曲的程度而变化。 与前和后束相反,横向韧带对肘关节稳定性不重要,因为它不跨越骶骨关节[8]。MUCL的前束作为主要静态稳定剂,用于从20°到120°的肘屈曲的外翻应力[9]。 MUCl的的的前束是外翻过载比分机或在低屈曲角度的后束更为敏感。 后肘在肘的较大弯曲角度更易受影响。 然而,其他作者报道,后束作为高度屈曲的次要稳定器[10]。 Pollock等人 表明,后束切片导致最大内翻和外翻松弛增加了30%和旋前活性弯曲期间增加最大内旋转的29%。 这些研究结果表明后束可能在投掷的后期准备阶段很重要[11]。
桡骨头对于肘部的径向柱的稳定性是必要的,特别是在涉及内侧副韧带损伤的肘关节脱位骨折中[3,12]。 在肘的旋转和伸展期间,最大载荷通过径向柱传递高达60%的载荷。 即使是单一的径向头骨折与完整的内侧副韧带复杂导致高达30%的阻力损失[13-15]。 后外侧旋转稳定性取决于外侧尺骨韧带,环韧带,以及肌肉结构[16]。
从LUCK到MUSCLE的简单肘关节脱位
O'Driscoll假定肘关节从外侧到内侧分3个阶段脱位[3]。 在简单的后部位错中,损伤的机制可以被认为是从外侧开始并进展到内侧的软组织破坏的圆圈。
阶段1的特征在于侧面尺骨副韧带的完全破坏和剩余的侧面副韧带复合物的部分或完全破坏,导致肘的后侧旋转半脱位,其可自发地减少。 当将内翻应力施加到肘时,患者遭受疼痛。
阶段2包括前囊的破裂,其导致在后外侧方向上的不完全肘关节脱位。 X射线可以显示在肱骨滑车上栖息的冠状突。 减少是非常容易的,并且经常在患者弯曲肘时不知不觉地引发。
阶段3分为两个亚组:
1、描述围绕和包括除了前束之外的内侧副韧带的后部的所有软组织的破坏。 该束形成枢轴,肘部通过后侧旋转机构在后向方向上围绕该枢轴脱位;/2、是肘关节内侧副韧带复合体的完全破坏[3]。
Ring and Jupiter [17]描述的另一个模型将稳定因子分成前,后,内侧和外侧列。 慢性不稳定的风险随着柱损伤的数量而增加。 在该模型中,单个MUCL破裂被视为轻微损伤。 对于MUCL的损伤,与O'Driscoll分类的LUCL的损伤相比,没有不同的分级。
桡骨头骨折
Mason根据变形度量标准将径向头部骨折分为三种类型[18]。 这种分类由Johanson扩展,他另外描述了肘关节脱位:
型I:2-部桡骨头骨折而不片段脱位任何或小于2毫米,
型II:2部分桡骨头骨折与超过2mm片段错位,
型III:多个片段桡骨头部骨折,可手术重建,
型IV:桡骨头骨折伴有额外的韧带损伤和脱位。
冠突骨折
冠突骨折已分类的里根UND Morrey的[19]以及由O'Driscoll先生等。 [2]。 Regan和Morrey通过将矢状面中的冠状骨折分为两组来简化问题,即从尖端到基线测量的高度的50%或低于50%。 O'Driscoll的分类考虑到冠状突受伤是涉及韧带插入内侧尺骨副韧带复合体的剪应力性骨折(图2(b))。 尺骨应力导致由内侧尺骨副韧带(MUCL)的前内侧束的冠状突的撕脱性骨折。
恐怖三联征损伤
与压缩力桡骨小头和桡骨颈骨折线损伤的机制应提请注意外侧尺侧副韧带(LUCL)。 Hotchkiss [20]首次描述了冠状和桡骨头骨折与(LUCL)破裂的组合,并被称为“可怕的三联伤”。根据Ring and Jupiter建立的稳定性标准和柱理论[17] 在这种损伤中损失至少两个稳定柱(前部和侧部)。 由于冠突骨折,内侧柱也可累及。 如果骨折线穿过冠状基部,其中(MUCL)插入的前内侧束,内侧柱也丢失。 切断的径向头部的切除可能使肘部不稳定,这增加了进一步脱位和创伤后不稳定的风险。
肘关节骨折脱位
肘关节位错不仅根据桡骨头和冠突的形态学标准进行表征,而且主要根据位错的方向,即前,后和发散。前臂的位置被描述为上臂。后错位是最常见的,前错位是最不常见的形式。 前肘错位总是涉及鹰嘴的骨折。 分离半径和尺骨的发散性肘位错发生在高冲击创伤中,并且包括膜间,韧带环的破裂,以及远端放射管关节的破裂。
前路或鹰嘴骨折脱位
这种复杂的损伤发生在直接高能量吹到前臂的后部,肘部在90°屈曲[21]。 与前面的Monteggia脱臼相反,前臂相对于椎弓根滑车向前方向错位。 尺骨断裂线的远端,膜间隙和远端放射性尺骨关节保持完整。
后孟氏骨折脱位
这种损伤发生在高能量创伤之后,并且包括近端尺骨的多发性骨折。 三角形或四边形片段是频繁的并且通常涉及冠状突过程。 通常,桡骨头变得断裂并且背离远端尺骨片段脱位。 外侧韧带复合体可以撕裂,但内侧韧带保持完整。
在肘关节脱位骨折中,最重要的是重建踝关节,特别是冠状基底的碎片。 内侧副韧带的前内侧束插入冠状基部,在外翻应力期间稳定关节,其代表稳定性内侧柱的重要部分。 在断裂冠状的上下文内侧尺侧副韧带的损失进行手术治疗,例如,通过分割屈肌[23]。 复杂性骨折包括内部骨缝合和韧带重建后的不稳定可以治疗铰链固定器的附加应用,可以应用有限范围的运动在非常困难的情况[24-27]。
诊断
关于肘关节脱位的患者问卷应包括主题,如创伤机制,影响和创伤后神经感觉。 临床检查应从受伤关节远端开始,包括检查血管,感觉和肌肉功能。 应该在重新定位操作之前和之后拍摄二维X射线图像,并且应该包括桡骨头和鹰嘴。 在不确定的X射线结果或需要手术的情况下可以指示CT扫描。韧带肘损伤在X射线图像上难以检测。 因此,MRI应该在不确定的病例中或在临床症状持续超过10天的患者中进行。
我们建议测试肘韧带不稳定性的以下程序。 患者的手臂应该放置在电视透视下面,如图3所示。在外翻和内翻应力测试期间,应在电视透视下查看(0°-30°-60°-90°)的屈曲角度检查肱骨远端关节 (图3)。 不稳定性通过可以通过打印输出记录的加宽的关节间隙变得可见。 标准化文件可能允许受伤韧带的规范(表1)。
Classification of elbow instability and labeling of injured ligaments.
| Direction of instability | ||
|---|---|---|
| Varus | Valgus | |
| LCL + LUCL | 0° | aMUCL |
| LCL > LUCL | 30° | aMUCL > pMUCL |
| LCL ≥ LUCL | 60° | aMUCL < MUCL (pMUCL) |
| LUCL | 90° | MUCL (PMCL) |
| Overextension | Ventral capsule + aMUCL + LCL | |
治疗肘关节脱位的策略取决于损伤分类
治疗肘部损伤的主要目标是在创伤后的前三个星期内动员。遗憾的是,在这方面几乎没有任何基于证据的数据[4]。大多数相关文献报告指出,临床结果随着时间的增加而减少,直到创伤后肘的固定。基于O'Driscoll [29]建立的分类,Bell [30]提出了简单肘关节脱位的算法,将运动员和非运动员之间的三个不稳定阶段分类。由于缺乏足够的基于证据的数据,我们开发了我们自己的简单肘关节后创伤概念,这是基于生物力学的发现和我们自己的经验。治疗的选择,即手术或保守治疗,取决于存在的个体不稳定性标准。具有持续不稳定性的严重关节和韧带重建需要肘部桥接,其中铰接固定器具有或不具有肘部的有限延伸以保持稳定性和关节运动[27],这将在下面解释。
单囊性和韧带损伤
在肘关节脱位,单一韧带或囊性损伤是罕见的[31]。 肘关节脱位的1期和2期患者可以通过牵引和屈曲进行治疗,而在3期严重脱位肘的患者应该仅在麻醉下进行治疗。 对于所有患者,应立即进行稳定性试验。 患有疼痛的患者还应该在麻醉下和通过透视引导的技术支持下治疗(图3)。
一旦肘部在复位后稳定,则施用石膏模型3至5天以保持前臂处于仰卧位并且肘部弯曲成90°。应使用淋巴引流和肌肉泵。根据德国循证医学协会(Arbeitsgemeinschaft der Wissenschaftlichen Medizinischen Fachgesellschaften e.V.,AWMF)开发的指南,不需要预防血栓形成[32]。然而,强制性的是,患者在创伤后7天内临床重新评估。为了减轻损伤的韧带复合物(部分或完全撕裂的LUCL和MUCL),应用具有有限的伸展或屈曲的夹板支具6周。运动范围需要根据受伤的韧带进行调整。例如,撕裂的LUCL可以设置为0-30-110°用于在第1周和第2周的延伸和屈曲,在第3周和第4周在0-20-120°,在第5周在0-10-130°在第6周后,应该可以实现轻量化的自由运动范围。然后根据患者的疼痛症状,每周将运动范围扩大10°。生理治疗师可以用其炎症反应监测愈合过程。然而,肘部损伤可能导致僵硬以及不稳定性。在手术和保守治疗期间都必须鉴定两种情况,并且必须根据愈合过程中可能的并发症来调整治疗策略。
如果桡骨头在伸展方面不稳定,很难通过90°屈曲的石膏稳定。在这种情况下,铸件必须在110屈曲度下施加,因为这样的角度将减少甚至大多数复杂的肘位错(阶段3)。三头肌腱的张力和肱骨沟到近端尺骨的骨形成将减少并稳定在解剖位置的肘。有时,在胶囊,韧带或肌肉或甚至软骨碎片中插入可能阻止肘部的重新定位;这些患者需要在24小时内立即手术。由于撕裂的胶囊和韧带结构引起的不稳定肘部需要通过韧带结构的开放重建和/或通过应用铰接固定器来稳定。有很多关于哪种干预最好的讨论,单独的韧带重建或没有或有韧带增大的铰接固定器。一些作者喜欢韧带重建[3,33],其他韧带重建与铰接固定器[31],还有一些单独铰接固定器[34]。
肘位错从径向柱开始
应小心处理桡骨头损伤,并应排除可能对外侧韧带复合体的损伤。一些作者建议,对单个桡骨头部损伤的治疗选择应取决于片段脱位的程度[35,36]。在简单肘位错中,径向柱常与径向头部损伤型Mason II和侧面尺骨副韧带(LUCL)破裂组合。这种常见的并发症常常导致持久性的不稳定性,应通过重建桡骨头和增加破裂的韧带复合物来解决[12](图4)。生物力学研究表明,与完整肘关节相比,不存在桡骨头诱导旋转松弛度为145%。缺乏径向头和冠状突过程导致关节的偏离和脱位,不管其副韧带状态如何[37]。生物力学试验表明,侧副韧带是外旋和后外侧稳定的主要稳定剂(图2(a))。单独的LUCL的重建,即使没有桡骨头,也是有益的。
由于位错引起的剪切力,应当检查肱骨头的骨软骨缺陷,即使在MRI上没有检测到骨缺损。
在一个病人尺侧副韧带(LUCL)持续性后外侧旋转不稳定(PLRI)的隔离破裂。 她在创伤后不能回缩。 图片说明了近端撕裂LUCL的术中重建。
恐怖三联征损伤
可用数据的不足和肘关节损伤的多种创伤后并发症已导致关于如何治疗恐怖三联征的争议[38,39]。虽然一些作者建议保守治疗,恐怖三联征总是导致肘关节不稳定,因此在我们看来总是需要手术。
可怕的恐怖三联征损伤中的径向柱
50%的恐怖三联征肘损伤的标志是径向囊肿复合物的完全破裂与骨和关节切除的损伤[21]。由于再分配,慢性不稳定性和创伤后关节炎的高风险,手术是合理的。应该恢复破裂的径向头部和撕裂的韧带以重建径向柱。肘部喜欢弯曲到外翻的位置。在尺骨复合体上没有任何张力的情况下,径向头部由于肘部的偏离而更多地负载。因此,径向头的重建是必要的,这在一些情况下可能是非常困难的。甚至提出了在台上重建径向头部,然后原位再插入的选择,以避免径向头部假体。然而,如果没有替代方案,径向头假体是恢复径向骨柱的适当方法。为了解决由于径向肱骨韧带破裂引起的后外侧不稳定性,韧带复合体应当通过缝合或用缝合锚固件重新附接。韧带主要在近端三分之一处破裂,并且可以容易地通过骨转移缝合线重新附接。
冠突骨折和尺骨韧带复合体
Morrey和Regan的冠突断裂的分类可以通过O'Driscoll分类来扩展,其提供了关于内侧柱和韧带复合体的参与的信息(图2(b))。 在ulnohumeral关节(类型III)的冠状面的骨折中,内侧上的骨稳定柱丢失并且必须恢复。 这种恢复可以通过前内侧方法,即通过分裂屈肌来完成[40]。
小冠突剪切骨折破裂前囊和肌肉肱(类型I-II)可以通过从径向的方式缝合通过钻孔前囊向近端尺骨进行复位。 通过这种方法,破裂的侧面韧带复合物可以通过骨转子缝合容易地稳定。 冠突可以通过后路方法通过释放屈肌群或通过分裂屈肌群与前内侧囊和内侧尺骨副韧带复合物(MUCL的前桡骨束)的前内侧方法解决[3]。 如果必须解决外侧尺骨副韧带(LUCL),冠状顶端可以通过侧向方法(Kochers方法)固定。
很少有必要对没有冠状突过程的内侧尺骨副韧带(MUCL)进行再狭窄。 在通过LUCL的桡骨头和缝合线的骨接合术重建径向柱之后,恢复侧柱的支撑功能。 只有当径向柱的恢复是脆弱的或不稳定的,对于肘部的持续外翻应力,如果尺骨韧带复合体恢复或者3周三周左右铰接的外固定器应用有限范围的运动至0-40-140°[ 27]。
肘关节脱位影响内侧柱
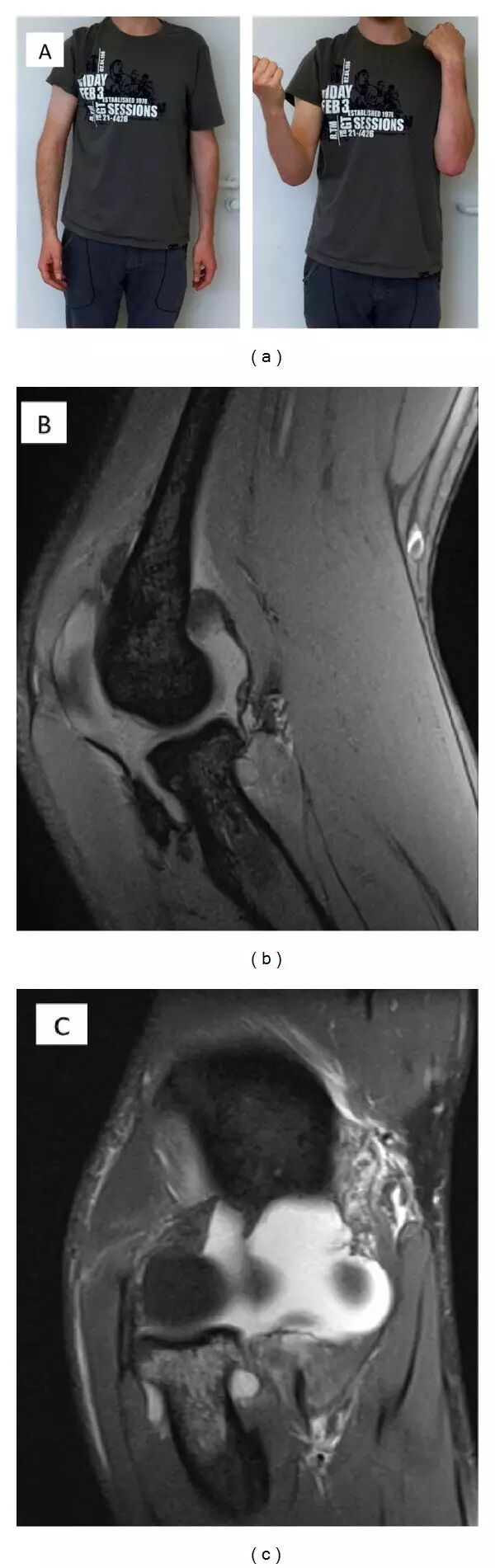
大多数关于单个MUCL病变的知识已经从检查运动员例如标枪投掷者或手球运动员获得[41]。 慢性不稳定性需要手术包括韧带增大[42]。 在我们的经验中,具有外翻应力损伤和连续单个MUCL病变的急性创伤患者受到有限的运动范围的困扰(图5(a))。 肘的二维X射线图像通常不显示具有规则对准的骨折。 MRI在这种情况下说明单个MUCL损伤(图5(b)-5(c))。 然而,如果他们试图这样做,则不能弯曲他们的肘的患者通常是疼痛的。 患者倾向于伸展其肘,并排斥高于80°的任何屈曲,这是MUCL变形或破裂的强临床标志。 在屈曲运动的有限范围内支撑肘部将在2至4周内或在严重情况下至多8周导致无疼痛的稳定肘部。
(a)通过外翻应力创伤的前内侧尺骨副韧带(aMUCL)的分离的破裂。 患者通常在屈曲时受到有限范围的运动。 创伤后10周,用保守治疗恢复具有稳定肘的全范围运动。 (b)MRI检查分离的aMUCL断裂的拍照患者。 矢状面示出炎症反应。 (c)额状面显示MUCL复合体从其在内髁上肱骨近端插入的破裂。
在肘关节脱位和骨折脱位并发症
长期不稳定
必须观察到疼痛和持续不稳定性,并且在个别情况下,通过韧带复合物增大来稳定[43,44]。 有时,被分类为阶段1和阶段2的肘关节置换被低估。 不充分的临床和放射性检查可能将损伤分类为扭曲,并且患者在没有任何进一步治疗的情况下出院。 破裂的副韧带导致肘关节的超活动性; 这种情况导致伸肌组的非常痛苦的过度补偿[45]。 破裂的LUCL复合物的瘢痕组织的伸长需要韧带塑料。 这种方法已经描述了几种方法,例如通过冠状动脉过程移植二头肌腱或通过自体移植三头肌腱重建侧副韧带[46]或重建副韧带复合体[44,47]或由股薄肌移植[48]。48]。
在肘骨骨折脱位中,外科医生的目的是实现肘关节的解剖复位和稳定[49]。 冠状突到肱骨滑车的内侧面被认为是肘部的内侧稳定性的关键因素,并且如果冠状动脉冠状突的内侧面丢失,强化重建操作被指示重新获得肘关节的稳定性[50,51 ]。 Milch和Wainwright提出了一种骨块程序,其对冠状突过程具有机械作用,以防止其通过前方法在滑车下脱离[46]。 此外,骨软骨自体移植已被尝试重建失去的内侧冠状面,但只有很小的成功[52]。
肘部僵硬和物理治疗
在创伤后护理中,肘关节纤维化和异位骨化是常见的并发症,取决于损伤的严重程度[1,53]。 关节纤维化经常发生在肘关节脱位后,导致一年后中位伸长损失8°[54]。 在Protzman等人的一项试验中,几乎50%的患者发生撕裂韧带的异位骨化。 其他作者报道创伤后异位骨化发生率在1.6%和56%之间。 在肘骨骨折位错中,肘关节僵硬和异位骨化影响高达20%的患者[55,56]。并发肘和桡骨头损伤将这一发病率提高到几乎90%,即使是孤立损伤桡骨头受伤的患者受到5〜10%的肘关节僵硬[57,58]。 Duerig报道,肘位错在没有关节性关节骨折的情况下很少不稳定。 大多数后肘位错是稳定的,因此,受伤后2周内主动练习和手臂功能使用受益[59]。 Mehlhoff et al。 提示早期动员对于避免肘关节脱位的关节纤维化至关重要,因此是创伤后护理的关键因素。然而,在52名患者的随访中,同一作者报告了24名患有持续性疼痛的患者和34名具有有限运动范围的患者,这是一个相当可疑的结果[60]。 然而,早期活动已建议由AAOS简单和复杂肘关节脱位[61]。 这种肘动员程序允许受控运动,而不会对受伤的结构施加压力。 然而,很少有关于早期运动治疗的数据。
从基本的研究看,愈合过程的炎症反应导致了SMA肌成纤维细胞的囊膜炎和囊膜的收缩[62]。 撕裂的胶囊将在愈合过程中发炎并形成一种胶囊粘合剂。 由纤维细胞和肌细胞形成的瘢痕组织可能阻碍所需的愈合过程,特别是如果肘部在创伤后固定3周时。 根据我们的经验,肘部也将僵硬,当固定在创伤后超过3周。 然而,通过口服给予皮质醇和螺内酯可以停止甚至减少囊性纤维化[63-65](表2,图6(a)-6(c))。 临时肘关节僵硬是正常的发生,应该在很长一段时间内进行无疼痛的持久屈曲和伸展运动。 在严重的情况下,可另外施用皮质醇和螺内酯。
(a)示出桡骨头部多碎片断裂的X射线。 CT扫描的一个切片证明一个年轻的运动学生患有肘关节脱臼的三头肌的骨腱撕裂。 (b)术后X射线显示桡骨头重建和稳定。 将三头肌腱的骨撕裂缝合到鹰嘴尖。 (c)创伤后48周,年轻运动员不能伸直左肘。 通过应用口服可的松治疗,使用如表2所述的降低剂量的泼尼松龙5m剂,在6周内恢复全范围的运动。
Oral cortisone drug medication in stiff shoulder or stiff elbow therapy.
| Period of therapy | Dosage of oral cortisone therapy |
|---|---|
| 1–5 | 40 |
| 6–10 | 30 |
| 11–15 | 20 |
| 16–20 | 10 |
肘关节异位骨化
肘的异位骨化(HO)是常见的创伤后发生,导致有限的运动范围[66]。 HO在肘关节僵硬的作用必须通过CT扫描与三维体积渲染,这有助于分析骨的冲击区域。 关节镜检查是一种常见的方法,用于释放HO并恢复更好的运动范围[67-69]。 HO的危险因素是创伤和手术之间经过的时间以及手术后固定的天数[70]。 抗炎药物,如吲哚美辛和放射治疗,已被建议作为手术治疗HO的一部分[69]。
结论
1、肘关节脱位是导致残疾的严重损伤。初始诊断应包括在透视引导下的不稳定性测试。
2。严重肘关节不稳定的患者需要进行MRI或CT扫描。
3。在重新定位后的不稳定性的情况下,应当在110°屈曲应用石膏模型,并且需要在5天内实现二次手术稳定。
4。已被荧光透视证明是侧向不稳定或中间稳定的肘部必须进一步研究后外侧不稳定性,这需要LUCL复合物的外科重建。
5。透视检查的内侧不稳定性和侧向稳定的带复合体可以保守地用石膏模型在60°屈曲和前臂的轻微后仰治疗。
6。导致持续疼痛的弯头扭曲应该用MRI检查以检查可能的带或软骨损伤。
7。肘关节脱位后的僵硬和异位骨化是常见的情况,应该通过受控的早期动员在有限范围的运动的括号中治疗,在严重的情况下,通过口服类固醇药物治疗。
参考文献:
1. Anakwe RE, Middleton SD, Jenkins PJ, McQueen MM, Court-Brown CM. Patient-reported outcomes after simple dislocation of the elbow. Journal of Bone and Joint Surgery A. 2011;93(13):1220–1226. [PubMed]
2. O’Driscoll SW, Morrey BF, Korinek S, An KN. Elbow subluxation and dislocation: a spectrum of instability. Clinical Orthopaedics and Related Research. 1992;(280):186–197. [PubMed]
3. O’Driscoll SW, Jupiter JB, King GJ, Hotchkiss RN, Morrey BF. The unstable elbow. Instructional Course Lectures. 2001;50:89–102. [PubMed]
4. Harding P, Rasekaba T, Smirneos L, Holland AE. Early mobilisation for elbow fractures in adults. Cochrane Database of Systematic Reviews. 2011;(6)CD008130 [PubMed]
5. Morrey BF, An K-N. Stability of the elbow: osseous constraints. Journal of Shoulder and Elbow Surgery. 2005;14(1, supplement):S174–S178. [PubMed]
6. Callaway GH, Field LD, Deng XH, et al. Biomechanical evaluation of the medial collateral ligament of the elbow. Journal of Bone and Joint Surgery A. 1997;79(8):1223–1231. [PubMed]
7. Jeon IH, Sanchez-Sotelo J, Zhao K, An KN, Morrey BM. The contribution of the coronoid and radial head to the stability of the elbow.Journal of Bone and Joint Surgery B. 2012;94(1):86–92. [PubMed]
8. Alcid JG, Ahmad CS, Lee TQ. Elbow anatomy and structural biomechanics. Clinics in Sports Medicine. 2004;23(4):503–517.[PubMed]
9. Hotchkiss RN, Weiland AJ. Valgus stability of the elbow. Journal of Orthopaedic Research. 1987;5(3):372–377. [PubMed]
10. Pribyl CR, Hurley DK, Wascher DC, McNally TP, Firoozbakhsh K, Weiser MW. Elbow ligament strain under valgus load: a biomechanical study. Orthopedics. 1999;22(6):607–612. [PubMed]
11. Pollock JW, Brownhill J, Ferreira L, McDonald CP, Johnson J, King G. The effect of anteromedial facet fractures of the coronoid and lateral collateral ligament injury on elbow stability and kinematics. Journal of Bone and Joint Surgery A. 2009;91(6):1448–1458.[PubMed]
12. Schneeberger AG, Sadowski MM, Jacob HAC. Coronoid process and radial head as posterolateral rotatory stabilizers of the elbow.Journal of Bone and Joint Surgery A. 2004;86(5):975–982. [PubMed]
13. Rohrbough JT, Altchek DW, Hyman J, Williams RJ, III, Botts JD. Medial collateral ligament reconstruction of the elbow using the docking technique. American Journal of Sports Medicine. 2002;30(4):541–548. [PubMed]
14. Duggan JP, Jr., Osadebe UC, Alexander JW, Noble PC, Lintner DM. The impact of ulnar collateral ligament tear and reconstruction on contact pressures in the lateral compartment of the elbow. Journal of Shoulder and Elbow Surgery. 2011;20(2):226–233. [PubMed]
15. Takigawa N, Ryu J, Kish VL, Kinoshita M, Abe M. Functional anatomy of the lateral collateral ligament complex of the elbow: morphology and strain. Journal of Hand Surgery. 2005;30(2):143–147. [PubMed]
16. Cohen MS, Hastings H., II Rotatory instability of the elbow: the anatomy and role of the lateral stabilizers. Journal of Bone and Joint Surgery A. 1997;79(2):225–233. [PubMed]
17. Ring D, Jupiter JB. Current concepts review: fracture-dislocation of the elbow. Journal of Bone and Joint Surgery A.1998;80(4):566–580. [PubMed]
18. Iannuzzi NP, Leopold SS. In brief: the Mason classification of radial head fractures. Clinical Orthopaedics and Related Research.2012;470(6):1799–1802. [PMC free article] [PubMed]
19. Regan W, Morrey B. Fractures of the coronoid process of the ulna. Journal of Bone and Joint Surgery A. 1989;71(9):1348–1354.[PubMed]
20. Hotchkiss RN. Fracture and dislocation of the elbow. In: Rockwood CA, Bucholz RW, Court-Brown CSM, Heckman JD, Tornetta P, editors. Rockwood and Green'S Fractures in Adults. Vol. 1. Philadelphia, Pa, USA: Lippincott-Raven; 1996. pp. 929–1024.
21. Quintero J, Varecka T. Complex elbow injuries. In: Ruedi TP, Buckley R, Moran C, editors. AO Principles of Fracture Management. 1st edition. Stuttgart, Germany: Thieme Medical; 2008. pp. 626–642.
22. Siebenlist S, Schmidt-Horlohé K, Hoffmann R, et al. Proximal ulna fractures. Zeitschrift Für Orthopädie Und Unfallchirurgie.2011;149(3):e1–e19. [PubMed]
23. Ring D, Doornberg JN. Fracture of the anteromedial facet of the coronoid process: surgical technique. Journal of Bone and Joint Surgery A. 2007;89(2) supplement 2:267–283. [PubMed]
24. Ring D, Hotchkiss RN, Guss D, Jupiter JB. Hinged elbow external fixation for severe elbow contracture. Journal of Bone and Joint Surgery A. 2005;87(6):1293–1296. [PubMed]
25. Schep NWL, De Haan J, Iordens GIT, et al. A hinged external fixator for complex elbow dislocations: a multicenter prospective cohort study. BMC Musculoskeletal Disorders. 2011;12, article 130 [PMC free article] [PubMed]
26. Sørensen AKB, Søjbjerg JO. Treatment of persistent instability after posterior fracture-dislocation of the elbow: restoring stability and mobility by internal fixation and hinged external fixation. Journal of Shoulder and Elbow Surgery. 2011;20(8):1300–1309. [PubMed]
27. Heck S, Gick S, Dargel J, Pennig D. External fixation with motion capacity in acute dislocations and fracture dislocations of the elbow: fixation with motion capacity. Unfallchirurg. 2011;114(2):114–122. [PubMed]
28. Chamseddine A, Zein H, Obeid B, Khodari F, Saleh A. Posterolateral rotatory instability of the elbow secondary to sprain. Chirurgie de la Main. 2011;30(1):52–55. [PubMed]
29. O'Driscoll SW. Classification and spectrum of elbow instability: recurrent instability. In: Morrey BF, editor. The Elbow and Its Disorders. 2nd edition. Philadelphia, Pa, USA: 1993. pp. 453–4563.
30. Bell S. (iii) Elbow instability, mechanism and management. Current Orthopaedics. 2008;22(2):90–103.
31. Duckworth AD, Ring D, Kulijdian A, McKee MD. Unstable elbow dislocations. Journal of Shoulder and Elbow Surgery.2008;17(2):281–286. [PubMed]
32. Awmf AA. AWMF-003-001, S3-leitlinie prophylaxe der venِosen thromboembolie (VTE)http://www.awmf.org/uploads/tx_szleitlinien/003-001_S3_AWMF-Leitlinie_Prophylaxe_der_venoesen_Thromboembolie__VTE__Kurz_04-2009_12-2013.pdf.
33. Mittlmeier T, Beck M. Luxation des ellenbogengelenks des erwachsenen. Der Unfallchirurg. 2009;112(5):487–505. [PubMed]
34. Koslowsky TC, Mader K, Siedek M, Pennig D. Treatment of bilateral elbow dislocation using external fixation with motion capacity: a report of 2 cases. Journal of Orthopaedic Trauma. 2006;20(7):499–502. [PubMed]
35. Kaas L, Struijs PAA, Ring D, van Dijk CN, Eygendaal D. Treatment of Mason type II radial head fractures without associated fractures or elbow dislocation: a systematic review. The Journal of Hand Surgery. 2012;37(7):1416–1421. [PubMed]
36. Duckworth AD, Watson BS, Will EM, et al. Radial head and neck fractures: functional results and predictors of outcome. Journal of Trauma, Injury, Infection and Critical Care. 2011;71(3):643–648. [PubMed]
37. Deutch SR, Jensen SL, Tyrdal S, Olsen BS, Sneppen O. Elbow joint stability following experimental osteoligamentous injury and reconstruction. Journal of Shoulder and Elbow Surgery. 2003;12(5):466–471. [PubMed]
38. Giannicola G, Sacchetti FM, Greco A, Cinotti G, Postacchini F. Management of complex elbow instability. Musculoskeletal Surgery.2010;94(supplement 1):S25–S36. [PubMed]
39. Guitton TG, Ring D. Nonsurgically treated terrible triad injuries of the elbow: report of four cases. Journal of Hand Surgery.2010;35(3):464–467. [PubMed]
40. Heim U. Combined fractures of the radius and the ulna at the elbow level in the adult. analysis of 120 cases after more than 1 year.Revue de Chirurgie Orthopédique et Réparatrice de L'appareil Moteur. 1998;84(2):142–153. [PubMed]
41. O’Holleran JD, Altchek DW. The Thrower’s elbow: arthroscopic treatment of valgus extension overload syndrome. HSS Journal.2006;2(1):83–93. [PMC free article] [PubMed]
42. Jones KJ, Osbahr DC, Schrumpf MA, Dines JS, Altchek DW. Ulnar collateral ligament reconstruction in throwing athletes: a review of current concepts. AAOS exhibit selection. The Journal of Bone and Joint Surgery. 2012;94(8):p. e49. [PubMed]
43. Geyer M, Stöhr H. Arthroskopische abklärung und therapie des humeroradialen impingements. Arthroskopie. 2001;14(3):171–176.
44. Geyer M. Ligament reconstruction with a single strand trizeps tendon graft in posterolateral rotational instability of the elbow. The Bone & Joint Journal. 2010;92(Orthopaedic Proceedings, supplement 4):p. 571.
。。。。。。。。。。。。。。。。。
| 免责声明:部分内容源自互联网和其他公众平台,仅供阅者浏览或参考,不确保准确性。如有侵犯版权请告知,我们将及时删除。如果您自行使用本账号发布的信息发生了损失或损害,本账号不负任何法律责任。您浏览本站发布的内容,您的浏览行为将被视为对本声明全部内容的认可。 |
相关推荐
友情链接
Copyright © 2023 All Rights Reserved 版权所有 北京物流信息联盟
