2022-06-10 09:46:36
第一节 白细胞生理概要
本节要点:
(1)粒细胞
(2)单核细胞
(3)淋巴细胞
难点:
白细胞生理作用
白细胞(WBC、LEU)是外周血常见的有核细胞,根据形态特征,可分为粒细胞(GRA)、淋巴细胞(L)和单核细胞(M)三类。粒细胞胞质中含有特殊颗粒,根据颗粒特点分为中性粒细胞、嗜酸性粒细胞和嗜碱性粒细胞三个亚类。中性粒细胞又分为中性分叶核粒细胞、中性杆状核粒细胞两类。白细胞通过不同方式、不同机制消灭病原体、消除过敏、参加免疫反应,是机体抵抗病原微生物等异物的主要防线。
(一)粒细胞
粒细胞起源于造血干细胞,在高浓度集落刺激因子作用下粒系祖细胞分化为原粒细胞,经数次有丝分裂,依次发育为早幼粒、中幼粒、晚幼粒(丧失分裂能力)、杆状核和分叶核粒细胞。一个原粒细胞经过增殖发育,最终生成8~32个分叶核粒细胞。此过程在中约需10d,成熟粒细胞进入血液后仅存活6~10h,然后逸出血管进入组织或体腔内。
粒细胞在组织中可行使防御功能1~2d,衰老的粒细胞主要在单核巨噬细胞系统破坏,其余从口腔、气管、消化道、泌尿生殖道排出,同时,释放新生的粒细胞补充周围血而保持白细胞数量相对恒定。正常情况下,每小时进行更新的粒细胞约有10%。
目前,根据粒细胞群发育阶段,人为地分为分裂池、成熟池、贮备池、循环池和边缘池等。
①分裂池:包括原粒细胞、早幼粒细胞和中幼粒细胞,能合成DNA,具有分裂能力;
②成熟池:包括晚幼粒细胞和杆状核粒细胞,失去分裂能力;
③贮备池:包括杆状核粒细胞和分叶核粒细胞,成熟粒细胞贮存于,在贮备池中停留3~5d,数量为外周血5~20倍,贮备池中细胞,在机体受到感染和其他应激反应时,可释放入循环血液,通常只有杆状核或分叶核中性粒细胞能从贮备池进入血液,当病情严重时,少量晚幼粒细胞也能进入外周血;
④循环池:进入外周血的成熟粒细胞有一半随血液而循环,白细胞计数值就是循环池的粒细胞数;
⑤边缘池:进入外周血的另一半成熟粒细胞,粘附于微静脉血管壁,边缘池和循环池粒细胞保持动态平衡,由于多种因素的影响,边缘池和循环池中的粒细胞可一过性地从一方转向另一方,使白细胞计数显示大幅度甚至成倍波动。
中性粒细胞具有趋化、变形、粘附作用以及吞噬、杀菌等功能。在机体防御和抵抗病原菌侵袭过程中起着重要作用,这有助于解释病理性中性粒细胞增高的原因。
嗜酸性粒细胞(E)与红细胞、巨核细胞一样有独立的祖细胞,嗜酸性粒细胞集落形成因子主要由受抗原刺激的淋巴细胞产生,嗜酸性粒细胞增殖和成熟过程与中性粒细胞相似。嗜酸性粒细胞内的颗粒不含溶菌酶和吞噬细胞素,而含有较多的过氧化物酶和碱性蛋白,作用是对组胺、抗原抗体复合物、肥大细胞有趋化性,并分泌组胺酶灭活组胺,起到限制过敏反应的作用,并参与对蠕虫的免疫反应。
嗜酸性粒细胞趋化因子有6个来源:①肥大细胞、嗜碱性粒细胞的组胺。②补体的C3a、C5a、C567。③致敏淋巴细胞。④寄生虫。⑤某些细菌,如乙型溶血性链球菌。⑥肿瘤细胞。成熟的嗜酸性粒细胞在外周血中很少,约占总量的1%,大部分存在于和组织中。因此临床需要了解嗜酸性粒细胞变化时,应采用直接计数法。
嗜碱性粒细胞(B)也是由干细胞所产生。嗜碱性粒细胞内的颗粒含有组胺、肝素、过敏性慢反应物质、嗜酸性粒细胞趋化因子、血小板活化因子等,突出的作用是参与过敏反应,细胞表面有IgE和Fc受体,与IgE结合即被致敏,当再次受到相应抗原刺激时,引起颗粒释放反应,使平滑肌收缩、毛细血管扩张、腺体分泌增加,导致速发性变态反应。嗜碱性粒细胞对各种血清因子、细菌、补体和激肽释放酶等物质有趋化作用。嗜碱性粒细胞是一种少见粒细胞,在外周血中很少。
(二)单核细胞
多功能造血干细胞分化为髓系干细胞和粒-单系祖细胞,而后发育为原单核细胞,幼单核细胞及单核细胞,释放至外周血中单核细胞,大部分粘附于血管壁,少数随血液循环,在血中停留3~6d后即进入组织或体腔内,转变为幼吞噬细胞,再成熟为吞噬细胞,寿命可达2~3个月。单核-巨噬细胞具有吞噬病原体功能(如病毒、原虫、真菌、结核杆菌等)、吞噬和清理功能(如组织碎片、衰老血细胞、抗原抗体复合物、凝血因子等)、吞噬抗原传递免疫信息功能,还参与杀菌、免疫和抗肿瘤作用。
(三)淋巴细胞
淋巴细胞起源于造血干细胞/祖细胞,是人体主要免疫活性细胞,约占白细胞总数的1/4。分为:在、脾、淋巴结、其他淋巴组织生发中心发育成熟者的B淋巴细胞,占20%~30%,B淋巴细胞寿命较短,一般3~5d,经抗原激活后分化为浆细胞,产生特异性抗体,参与体液免疫;在胸腺、脾、淋巴结和其他淋巴组织,依赖胸腺素发育成熟者称为T淋巴细胞,占60%~70%,T淋巴细胞寿命较长,可达数月~数年,被抗原致敏后可产生多种免疫活性物质,参与细胞免疫。还有少数NK细胞(杀伤细胞)、N细胞(裸细胞)、D细胞(双标志细胞)。观察淋巴细胞数量变化,有助于了解机体免疫功能状态。
第二节 白细胞计数
本节要点:
(1)检测原理
(2)方法学评价
(3)质量控制
(4)参考值
(5)临床意义
(6)操作方法和注意事项
(一)检测原理
白细胞计数是测定单位体积血液中各种白细胞总数。包括显微镜计数法和血液分析仪计数法。
(二)方法学评价
1.显微镜计数法:
简便易行、不需昂贵仪器,但重复性和准确性较差,受微量吸管、血细胞计数板、细胞分布、人为因素等多种情况影响。
2.血液分析仪计数法:
计数细胞数量多、速度快、易于标准化、计数精确性较高,适合大规模人群健康筛查,但需特殊仪器。某些人为因素(如抗凝不充分)、病理情况(如出现有核红细胞、巨大血小板、血小板凝集等)可干扰白细胞计数。使用前须按NCCLS规定方法对仪器进行校准,且须认真坚持日常质控工作。
(三)质量控制
1.经验控制
(1)与红细胞数比较:正常情况下,红细胞数/白细胞数约为(500~1000):1。根据红细胞计数值,可估计白细胞计数是否正确。
2.计数误差
(1)技术误差:通过熟练操作、仪器校准而减小,甚至避免。
(2)固有误差:是计数室内每次血细胞分布不可能完全相同所致的误差,与计数细胞数量成反比,计数量越大,误差越小。若白细胞数太低(<3×10 9/L),可增加计数量(数8个大方格白细胞数)或减低稀释倍数,太高(>15×10 9/L),可增加稀释倍数。
(3)有核红细胞:正常情况下,外周血中不会出现有核红细胞。若出现大量有核红细胞,其不能被白细胞稀释液破坏,计数时与白细胞一同被计数,使白细胞计数值假性增高,此时,白细胞计数应进行校正,公式为:校正后白细胞数/L=校正前白细胞数×100/100+Y(Y为白细胞分类计数时,100个白细胞中有核红细胞的数量)。
(四)参考值
成人(4-10) ×10 9/L;
新生儿(15-20) ×10 9/L;
6个月-2岁(11-12) ×10 9/L;
儿童(5-12)×10 9/L。
(五)临床意义
中性粒细胞占白细胞总数的50-70%,其增高和降低直接影响白细胞总数的变化,临床意义同白细胞.
(六)操作方法和注意事项
1.显微镜计数法操作:
(1)加稀释液:吸取白细胞稀释液0.38ml于小试管中。
(2)吸取血液:吸取新鲜全血或末梢血20μl,擦去管尖外部余血。将吸管插入试管底部,轻轻放出血液,并吸取上层白细胞稀释液清洗吸管2~3次。
(3)混匀:将试管中血液与稀释液混匀,待细胞悬液完全变为棕褐色。
(4)充池:将试管中细胞悬液混匀。用滴棒蘸取细胞悬液1滴,充入改良Neubauer计数板的池中,室温静置2~3min,待白细胞完全下沉。
(5)计数:在低倍镜下计数四角4个大方格内的白细胞总数。镜下白细胞呈圆形、胞质透亮、胞核深染突出。
(6)计算:白细胞数:
n除以20乘以10的9次方
2.注意事项:
(1)稀释用吸管、微量吸管、血细胞计数板使用前须严格校正,否则直接影响计数结果准确性。
(2)充液不足、液体外溢、继续充液、产生气泡、充液后盖玻片移动等,均会造成计数结果不准确。
(3)各大方格间细胞计数结果相差不超过10%,否则应重新充池计数。
第三节 白细胞分类计数
本节要点:
(1)检测原理
(2)方法学评价
(3)质量控制
(4)参考值
(5)临床意义
(一)检测原理
白细胞分类计数(DC)是将血液制成涂片,经染色后在油镜下进行分类,求得各种类 型白细胞的比值(百分率),并可计算出各类白细胞的绝对值(各类白细胞绝对值=白细胞计数值×白细胞分类计数百分率)。方法包括显微镜分类法和血液分析仪分类法。
(二)方法学评价
1.显微镜分类法 能准确地根据细胞形态特征进行分类,并可发现细胞形态及染色有无异常,是白细胞分类计数参考方法,但耗时、精确性和重复性较差。
2.血液分析仪分类法 有三分群和五分类两法,速度快、准确性高、易于标准化、能提示异常结果、结果以数据、图形、文字等多种形式展示,是白细胞分类和筛检首选方法,但不能完全代替显微镜检查法对异常白细胞进行鉴别和分类。
(三)质量控制
1.影响分类计数准确性因素
(1)细胞分布不均:通常涂片尾部嗜中性粒细胞较多、淋巴细胞较少,单核细胞沿涂片长轴均匀分布。大细胞和幼稚细胞分布在涂片尾部和边缘,淋巴细胞、嗜碱性粒细胞分布在涂片头部和体部。采用“城墙”式移动进行涂片分类,有助于弥补涂片中细胞分布的差异。若离心后制片,准确性可提高10%。当白细胞有聚集现象时,细胞分布极不规则,以致无法准确地进行分类。
(2)形态识别差异:主要因素是:①杆状核和分叶核诊断标准差异;②单核细胞和大淋巴细胞鉴别能力差异;③染色较差的涂片,嗜碱性粒细胞和中性粒细胞难以区分。凡不能识别的细胞应归为“未能识别白细胞”。
2.影响分类计数精确性因素
精确度常用重复计数的S或CV来表示。人工计数准确性虽高,但精确性差,与分类计数细胞数量较少有关。计数细胞量越大,误差越小。(表1-3-2)。
3.白细胞分类计数参考方法
美国国家临床实验室标准化委员会(NCCLS)提供的参考方法是:使用EDTA-K3抗凝静脉血;每份样本制作3张血涂片(玻片要求清洁、干燥、无尘,大小为25mm×75mm,厚度为0.8~1.2mm。并有明确标记),用楔形技术制备血涂片(即在玻片近一端1/3处,加1滴血液,握住另一张较狭窄的、边缘光滑的推片,以30°~45°角使血滴沿推片迅速散开,然后快速、平稳地推动推片至玻片的另一端,使血液拖在后面);以Romanowsky类染液进行染色(表1-3-3);
显微镜检查时,首先在低倍镜下进行浏览,观察有无异常细胞和细胞分布情况,然后,在油镜下,观察细胞浆内的颗粒和核分叶情况,采用“城墙式”方法观察血涂片,需分类的细胞有中性分叶核粒细胞、中性杆状核粒细胞、淋巴细胞、异型淋巴细胞、单核细胞、嗜酸性粒细胞和嗜碱性粒细胞;每张血涂片应计数200个白细胞;白细胞分类结果以百分率和绝对值表示;有核红细胞,结果以每l00个白细胞计数中见到几个表示。
进行仪器性能评价时,参考方法应由两位具备资格的检验人员,按照参考方法步骤,每份患者样本分析400个细胞,每张血涂片分析200个细胞。仪器应对每份样本进行双份测定。
4.报告方式
白细胞分类计数结果以各种白细胞所占比值或百分率表示。发现幼稚或异常白细胞,应分类报告,并包括在白细胞分类比值或百分率中。见到有核红细胞,不应列入白细胞分类比值或百分率,而是报告分类计数l00个白细胞所见到的有核红细胞数。发现疟原虫等应报告。发现红细胞、血小板异常形态等也应报告。
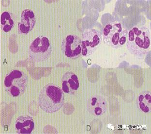
图3 嗜中性杆状核
分叶核
嗜酸性粒细胞
嗜碱性粒细胞
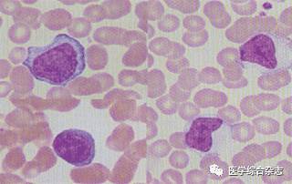
图4 小淋巴细胞
图5 大淋巴细胞 单核细胞
习题 哪种成熟白细胞胞质中含细小灰尘样颗粒( )
A.中性粒细胞
B.嗜酸性粒细胞
C.嗜碱性粒细胞
D.淋巴细胞
E.单核细胞
[答疑编号500725030201]
『正确答案』E |
(四)参考值 见表l-3-4。
(五)临床意义
1.中性粒细胞
(1)生理性增多
正常中性分叶核粒细胞中,2叶核占l0%~30%,3叶核占40%~50%,4叶核占10%~20%,5叶核占<5%。中性分叶核粒细胞>70%,绝对值>7×109/L称为增多。生理性中性粒细胞增多通常不伴有白细胞质量改变。通常原因为:
1)年龄变化:新生儿白细胞较高(可达(15~30)×109/L),3~4d后降至10× 109/L,约保持3个月,逐渐减至成人水平。新生儿中性粒细胞占绝对优势(6~28)×109/L,l周内降至5×109/L,第6~9d减至与淋巴细胞大致相等,随后淋巴细胞逐渐增多,婴儿期以淋巴细胞数为主(可达70%),2~3岁后,淋巴细胞逐渐减低,中性粒细胞逐渐增高,4~5岁两者基本相等,形成中性粒细胞和淋巴细胞2次交叉变化曲线,到青春期时与成人相同。
2)日间变化:在安静、休息时白细胞数较低,在活动、进食后白细胞数较高。早晨较低、下午较高。一日内最高值和最低值可相差1倍。
3)运动、疼痛、情绪变化:脑力和体力劳动、冷热水浴、日光或紫外线照射等使白细胞轻度增高。严寒、暴热使白细胞数高达l5×109/L或更高。剧烈运动、剧痛、情绪激动使白细胞显著增高,可达35×109/L,以中性粒细胞为主,是因循环池和边缘池粒细胞重新分配所致。
4)妊娠与分娩:妊娠超过5个月白细胞可达15×109/L以上,妊娠最后1个月波动于(12~17)×109/L,分娩时白细胞可达34×109/L,分娩后2~5d内恢复正常,但只有定时和反复观察才有意义。
5)其他:吸烟者白细胞计数高于非吸烟者30%(包括嗜中性粒细胞、淋巴细胞和单核细胞)。
(2)反应性增多
是机体的应激反应,动员贮备池中的粒细胞释放或边缘池粒细胞进入血循环,增多白细胞大多为分叶核粒细胞或杆状核粒细胞,疾病各期的血象变化见表1-3-5。
(字遮住的部分是:减少或消失)
1)急性感染或炎症:如化脓性球菌、某些杆菌(如大肠杆菌和绿脓杆菌等)、真菌、放线菌、病毒(如流行性出血热、流行性乙型脑炎和狂犬病等)、立克次体如斑疹伤寒、螺旋体(如钩端螺旋体和等)、寄生虫(如肺吸虫等)。
增高程度与病原体种类、感染部位、感染程度、机体反应性有关。如急性化脓性胆囊炎,WBC>20×109/L可作为诊断标准之一。如急性胰腺炎,WBC、中性粒细胞增高与炎症程度成正比,WBC>10×109/L时,水肿性急性胰腺炎占67.5%,坏死性急性胰腺炎达78.6%,中性粒细胞>85%时,水肿性急性胰腺炎占86.2%,坏死性急性胰腺炎占88.5%,死亡率高达100%。如肠缺血、坏死破裂,WBC>10×109/L可作为早期坏死指标之一。
如轻度感染,WBC可正常,但中性粒细胞百分率增高;中度感染,WBC可达(10~20)×109/L,中性粒细胞百分率增高,并伴有核左移;严重感染(如菌血症、败血症、脓毒血症),WBC明显增高可达(20~30)×109/L,中性粒细胞百分率明显增高,并伴明显核左移和中毒改变;上述情况说明机体反应良好。如感染过重,WBC不高,但核左移明显,患者可能处于中毒性休克状态,原因是白细胞再分布,聚集于内脏血管内;或白细胞大量逸出血管壁,趋向病患部位;或暂时不足。
2)广泛组织损伤或坏死:如严重外伤、手术创伤、大面积烧伤、冻伤、血管栓塞(如心肌梗死和肺梗死等)。在12~36h内WBC增高,达l0×109/L以上,中性分叶核粒细胞增高。
3)急性溶血:红细胞大量破坏、红细胞分解产物刺激贮备池中粒细胞释放。
4)急性失血:如急性大出血、消化道大量出血、内脏破裂(如脾破裂或输卵管妊娠破裂等)。急性大出血,WBC在1~2h内迅速增高,达(10~20)×109/L,中性分叶核粒细胞增多。消化道大出血、内脏破裂,WBC增高,PLT也增高,与贮备池中细胞释放有关,但此时RBC和Hb仍可正常,与体内血浆和血细胞比值尚未改变有关,所以,WBC增高可作为早期诊断内出血的指标之一。
5)急性中毒:外源性中毒(如化学物质、汞、铅、安眠药、昆虫毒、蛇毒、毒蕈等)、内源性中毒(如尿毒症、糖尿病酮症酸中毒、子痫、内分泌疾病危象等)。以中性分叶核粒细胞增高为主。
6)恶性肿瘤:如非造血系统恶性肿瘤,WBC持续增高,以中性分叶核粒细胞增多为主,主要机制为:肿瘤组织坏死分解产物刺激粒细胞释放;某些肿瘤细胞产生促粒细胞生成因子;肿瘤细胞转移,破坏对粒细胞释放的调控作用。
7)其他原因:如类风湿性关节炎、自身免疫性溶血性贫血、痛风、严重缺氧、应用皮质激素、肾上腺素、氯化锂等。
(3)异常增生性增多
为造血干细胞克隆性疾病,造血组织中粒细胞大量增生。见于白血病(如急性白血病、慢性白血病)、增殖性疾病(如真性红细胞增多症、原发性血小板增多症、纤维化症)。
1)白血病:急性白血病,以幼稚白血病细胞增多为主,如急性髓性白血病(AML)和急性淋巴细胞白血病(ALL),中,病理性原始粒细胞大量增生,外周血中,约50%患者的WBC为(10~50)×109/L,甚至超过100×109/L。慢性白血病,以成熟白血病细胞增高为主,如慢性粒细胞白血病,患者WBC高达(100~600)×109/L,粒细胞占90%以上,可见各阶段粒系细胞,以中幼、晚幼粒细胞为主,原粒、早幼粒细胞不超过10%。有时,须与类白血病反应鉴别(表1-3-6)。
2)增殖性疾病
包括真性红细胞增多症、原发性血小板增多症、纤维化症等。系多能干细胞病变所致,特点为有一种以上血细胞增生,WBC可达(10~30)×109/L,中性粒细胞增多。
(4)中性粒细胞减低:当中性粒细胞绝对值低于1.5×109/L,称为粒细胞减低症,低于0.5×109/L时,称为粒细胞缺乏症。
1)某些感染:如伤寒、副伤寒、流感等。如无并发症,WBC减低(<2×109/L),与细菌内毒素、病毒作用使边缘池粒细胞增多,循环池粒细胞减低,或抑制释放粒细胞等有关。
2)血液病;如典型的再生障碍性贫血、少数急性白血病。如典型再生障碍性贫血,呈“三少”(红细胞、白细胞和血小板均减低),WBC低于1×109/L,以淋巴细胞为主。当中性粒细胞绝对值<0.5×109/L时,感染危险性极高,<0.2×109/L时,预后很差。
3)慢性理化损伤:如电离辐射(X线等)、长期服用氯霉素后,可抑制细胞有丝分裂使WBC减低。临床上,药物性中性粒细胞减低症很常见,与免疫、细胞毒性、过敏体质有关,儿童和年轻人约占10%,老年人约占50%,有药物过敏史者更易受累,女性比男性易发病,在用药早期中性粒细胞就减低,停药4~7d后,中性粒细胞恢复正常。
4)自身免疫性疾病:如系统性红斑狼疮(SLE),约60%患者WBC为(2~5)×109/L,中性粒细胞绝对值减低。
5)脾功能亢进:如门脉性肝硬化、班替综合征。机制为脾脏单核-吞噬细胞系统破坏白细胞,或肿大脾脏能分泌过多脾素,灭活促粒细胞生成因子。
(5)中性粒细胞核象
①核象定义:是指外周血中中性粒细胞的分叶状况。
②正常核象:中性粒细胞以3叶核为主,杆状核与分叶核之比为1:13,无幼稚细胞。
1)核左移
外周血中杆状核粒细胞增多或(和)出现晚幼粒、中幼粒、早幼粒等细胞时称为核左移。包括:再生性左移:指核左移伴有白细胞总数增高者,表示机体反应性强、造血功能旺盛。见于感染(尤其急性化脓性感染)、急性中毒、急性溶血、急性失血等。分为:轻度左移,白细胞总数及中性粒细胞百分数略增高,仅杆状核粒细胞增多(>5%),表示感染程度较轻,机体抵抗力较强。中度左移,白细胞总数及中性粒细胞百分数均增高,杆状核粒细胞>10%并有少数晚幼粒细胞和中毒性改变,表示有严重感染。重度左移,白细胞总数及中性粒细胞百分数明显增高,杆状核粒细胞>25%,并出现幼稚的粒细胞。退行性左移:指核左移而白细胞总数不增高、甚至减低者。见于再生障碍性贫血、粒细胞减低症、严重感染(如伤寒、败血症等)。
2)核右移
中性粒细胞核分叶5叶以上者超过3%则称为核右移,常伴白细胞总数减低,为造血物质缺乏、脱氧核糖核酸减低、造血功能减退所致。见于营养性巨幼细胞性贫血、恶性贫血、应用抗代谢药物(如阿糖胞苷、6-巯基嘌呤等)、炎症恢复期。在炎症恢复期出现一过性核右移,属正常现象,但进行期突然出现核右移,表示预后不良。
2.嗜碱性粒细胞
(1)增多:外周血嗜碱性粒细胞绝对值超过参考上限(>0.05×10 9/L)。
1)过敏性或炎症性疾病:如荨麻疹、溃疡性结肠炎。荨麻疹因过敏体质对特异抗原过敏或物理因素(寒冷等)引发,血清IgE增高,寒冷性荨麻疹患者血清中还可出现冷球蛋白或冷纤维蛋白原等。溃疡性结肠炎可见RBC减低、缺铁性贫血、急性期WBC、中性粒细胞、嗜酸性粒细胞增多。
2)增生性疾病:如真性红细胞增多症、原发性纤维化、慢性粒细胞性白血病。嗜碱性粒细胞持续>0.1×10 9/L,是增生性疾病的共同特征。真性红细胞增多症,嗜碱性粒细胞轻度增高(1×10 9/L)。原发性纤维化,贫血、出现幼稚红细胞、幼稚粒细胞、WBC增高、以中性粒细胞为主、嗜碱性粒细胞、嗜酸性粒细胞轻度增多。慢性粒细胞性白血病,轻度贫血、WBC增多、嗜酸性粒细胞、嗜碱性粒细胞增多,达2%~3%,高达20%~90%者提示预后不良。
3)嗜碱性粒细胞白血病:罕见类型白血病,嗜碱性粒细胞异常增多,达20%以上,且多幼稚型。
(2)减少:见于甲状腺功能亢进、妊娠、放疗、化疗、糖皮质激素治疗、感染急性期。
3.淋巴细胞
(1)生理性增多:外周血淋巴细胞绝对值成人>4×10 9/L、儿童>7.2×10 9/L、4岁以下>9×109/L。见于儿童期淋巴细胞生理性增多。
(2)病理性增多:见于急性传染病(如风疹、流行性腮腺炎、传染性淋巴细胞增多症、传染性单核细胞增多症、百日咳等)、某些慢性感染(如结核病等)、肾移植术后(如发生排异反应)、白血病(如淋巴细胞性白血病、白血性淋巴肉瘤)、再生障碍性贫血、粒细胞缺乏症。
1)传染性单核细胞增多症:由EB病毒引起的急性或亚急性良性淋巴细胞增多性传染病,WBC正常或轻度增高,早期以中性粒细胞增多为主,随后淋巴细胞增多(>50%~97%),异型淋巴细胞在发病4~5d出现,7~10d达高峰,多数>10%~20%,1~2个月后消退。
2)百日咳:淋巴细胞达30×10 9/L,范围为(8~70)×10 9/L,以CD4阳性细胞为主。
3)肾移植术后:发生排异反应前,淋巴细胞绝对值增高。
4)白血病:慢性淋巴细胞性白血病,以白血病性成熟淋巴细胞为主。急性淋巴细胞性白血病和白血性淋巴肉瘤,以原、幼淋巴细胞为主。
(3)减低:见于接触放射线、应用肾上腺皮质激素、促肾上腺皮质激素、严重化脓性感染、、传染性非典型肺炎等。
4.单核细胞
(1)生理性增多:外周血单核细胞绝对值计数超过0.8×10 9/L。儿童外周血单核细胞较成人稍多,平均为9%,出生后2周婴儿可呈生理性单核细胞增多,可达15%或更多,妊娠时生理性增高与中性粒细胞变化相平行。
(2)病理性增多:见于某些感染(如亚急性感染性心内膜炎、疟疾、黑热病等)、急性感染恢复期、活动性肺结核(如严重的浸润性和粟粒性结核)、某些血液病(如粒细胞缺乏症恢复期、恶性组织细胞病、淋巴瘤、单核细胞白血病、增生异常综合征)。
1)某些感染:WBC达20×10 9/L以上,外周血单核细胞明显增多,达30%以上,以成熟单核细胞为主。
2)某些血液病:粒细胞缺乏症恢复期可见单核细胞一过性增多。
3)恶性组织细胞病、淋巴瘤、单核细胞性白血病:可见幼单核细胞增多。
表12 嗜酸性粒细胞数量变化的临床意义:
第四节 嗜酸性粒细胞计数
本节要点:
(1)检测原理
(2)方法学评价
(3)参考值
(4)临床意义
(5)操作方法和注意事项
(一)检测原理
用嗜酸性粒细胞稀释液将血液稀释一定倍数,同时破坏红细胞和大部分白细胞,并将嗜酸性粒细胞着色,然后滴入细胞计数盘中,计数一定范围内嗜酸性粒细胞数,即可求得每升血液中嗜酸性粒细胞数。
(二)方法学评价
1.显微镜计数法:重复性差、精确性较差。作白细胞分类时,嗜酸性粒细胞百分率准确性取决于血涂片质量,故而,嗜酸性粒细胞绝对值比百分率更有临床价值。
2.血液分析仪法:提供嗜酸性粒细胞百分率、绝对值、直方图和散点图,是目前最有效的嗜酸性粒细胞筛检方法,若仪器提示嗜酸性粒细胞增多、直方图或散点图异常时,应进一步用显微镜作嗜酸性粒细胞直接计数。
(三)参考值
成人:(0.05~0.5)×10 9/L。
(四)临床意义
1.生理变化
(1)年龄变化:5岁以下儿童嗜酸性粒细胞约为(0~0.8)×10 9/L,5~15岁约为(0~O.5)×10 9/L;
(2)日间变化:外周血嗜酸性粒细胞浓度在1d内有波动,白天低、夜间高、上午波动大、下午较恒定,变异可达30多倍,与糖皮质激素脉冲式分泌有关。糖皮质激素作用为:①抑制释放成熟嗜酸性粒细胞进入外周血;②使循环中嗜酸性粒细胞附着于小血管壁。
(3)劳动、寒冷、饥饿、精神刺激等使肾上腺皮质产生肾上腺皮质激素增高,导致嗜酸性粒细胞减低。
2.增多
成人外周血嗜酸性粒细胞>0.5×10 9/L。
(1)变态反应性疾病:嗜酸性粒细胞呈轻度或中等度增高,通常为(1~2)×10 9/L,支气管高反应性与嗜酸性粒细胞计数呈负相关,如支气管哮喘药物过敏反应、荨麻疹、血管神经性水肿、血清病、异体蛋白过敏、枯草热等,坏死性血管炎嗜酸性粒细胞可明显增高(>8×10 9/L),且伴有贫血。
(2)寄生虫病:寄生虫感染时血中嗜酸性粒细胞增多可达10%以上。如血吸虫、华支睾吸虫、肺吸虫、丝虫、包虫等、钩虫感染时,嗜酸性粒细胞显著增高,嗜酸性粒细胞分类可达90%以上,使用驱虫药后,可逐渐恢复正常。
(3)皮肤病:如湿疹、剥脱性皮炎、天疱疮、银屑病等嗜酸粒细胞呈轻度或中度增高。
(4)血液病:如慢性粒细胞白血病(嗜酸性粒细胞常达l0%以上)、真性红细胞增多症、多发性瘤、脾切除后等。嗜酸性粒细胞白血病时,嗜酸性粒细胞极度增高(达90%以上),以幼稚型居多,嗜酸性颗粒大小不均、着色不一、分布紊乱、胞质易见空泡等。霍奇金病,嗜酸性粒细胞可达l0%左右。
(5)某些恶性肿瘤:癌肿伴有嗜酸性粒细胞增高(如肺癌),是嗜酸性粒细胞对白细胞介素5(IL-5)和肿瘤细胞因子的反应。在实体瘤诊断前,嗜酸性粒细胞可中度增高,治疗有效时,嗜酸性粒细胞减低。
(6)某些传染病:传染病感染期时,嗜酸性粒细胞常减低,在恢复期时,嗜酸性粒细胞暂时性增高。但猩红热急性期,嗜酸性粒细胞增高。如乙型溶血性链球菌产生的酶能活化补体成分引起嗜酸性粒细胞增多。
(7)其他:风湿性疾病、脑垂体前叶功能减低症、肾上腺皮质功能减低症、过敏性间质性肾炎等。
(8)高嗜酸性粒细胞综合征:包括伴有肺浸润的嗜酸性粒细胞增多症、过敏性肉芽肿、嗜酸性粒细胞心内膜炎等。
3.减低
见于长期应用肾上腺皮质激素、某些急性传染病,如伤寒极期。
4.其他应用
(1)观察急性传染病的预后:肾上腺皮质有促进机体抗感染的能力,当急性感染(如伤寒)时,肾上腺皮质激素分泌增高,嗜酸性粒细胞减低,疾病恢复期时嗜酸性粒细胞又增多。如临床症状严重,嗜酸性粒细胞不减低,说明肾上腺皮质功能衰竭,预后不良。如嗜酸性粒细胞持续减低,甚至完全消失,说明病情严重。
(2)观察手术和烧伤患者的预后:手术后4h嗜酸性粒细胞显著减低,甚至消失,24~48h后逐渐增多。大面积烧伤患者,数小时后嗜酸性粒细胞完全消失,且持续时间较长 。
(3)测定肾上腺皮质功能;患者作嗜酸性粒细胞直接计数后,然后肌注或静脉滴注ACTH25mg,直接刺激肾上腺皮质,或注射0.1%肾上腺素0.5ml,刺激垂体前叶分泌ACTH,间接刺激肾上腺皮质。肌注后4h或静脉滴注后8h,再作嗜酸性粒细胞直接计数。结果判断:①在正常情况下,注射ACTH或肾上腺素后,嗜酸性粒细胞比注射前应减低50%以上。②肾上腺皮质功能正常,而垂体前叶功能不良者,则直接刺激时减低50%以上,间接刺激时不减低或减低很少。③垂体功能亢进时,直接和间接刺激均可减低80%~l00%。④垂体前叶功能正常,而肾上腺皮质功能不良者,直接和间接刺激减低均小于50%,如艾迪生(Addison)病。
(五)操作方法和注意事项
1.操作方法
取嗜酸性粒细胞稀释液0.38ml,加血20μl,混匀后充人计数板2个计数池中,静置3~5min,然后,在低倍镜下计数2个计数池共10个大方格内嗜酸性粒细胞数量,计算:
嗜酸性粒细胞/L=
2.试剂
嗜酸性粒细胞稀释液种类繁多,虽配方不同,但作用大同小异,分为:嗜酸性粒细胞保护剂(如乙醇、丙酮、乙二醇)、嗜酸性粒细胞着色剂(如溴甲酚紫、伊红、固绿等)、破坏其他细胞和增强嗜酸性粒细胞着色物质(如碳酸钾、草酸铵)、抗凝剂(如柠檬酸钠、EDTA)、防止乙醇和液体挥发剂(如甘油)。
3.注意事项
(1)时间:嗜酸性粒细胞直接计数最好固定时间,以排除日间生理变化。操作应在30~60min内完成,否则嗜酸性粒细胞逐渐破坏或不易辨认,使结果偏低。
(2)混匀:嗜酸性粒细胞在稀释液中易发生聚集,要及时混匀。嗜酸性粒细胞又易于破碎,振荡不宜太猛烈。
习题11 嗜酸性粒细胞的哪种变化提示伤寒患者肾上腺皮质功能衰竭( )。
A.直接计数减少
B.症状加重,直接计数减少
C.数量逐渐增加
D.症状加重,直接计数不减少
E.症状好转,直接计数增加
[答疑编号500725030301]
『正确答案』D |
第五节 白细胞形态检查
本节要点:
(1)检测原理
(2)方法学评价
(3)临床意义
(一)检测原理
血涂片经染色后,在普通光学显微镜下作白细胞形态学观察和分析。常用的染色方法有:瑞氏染色法、姬姆萨染色法、May-Grünwald法、Jenner法、Leishman染色法等。
(二)方法学评价
1.显微镜分析法:对血液细胞形态的识别,特别是异常形态,推荐采用人工方法。
2.血液分析仪法:不能直接提供血细胞质量(形态)改变的确切信息,需进一步用显微镜分析法进行核实。
(三)临床意义
1.正常白细胞形态
瑞氏染色正常白细胞的细胞大小、核和质的特征见表1-3-7。
(字遮住的部分是:分布于核质中)
2.异常白细胞形态
(1)中性粒细胞
1)毒性变化:在严重传染病、化脓性感染、中毒、恶性肿瘤、大面积烧伤等情况下,中性粒细胞有下列形态改变:大小不均(中性粒细胞大小相差悬殊),中毒颗粒(比正常中性颗粒粗大、大小不等、分布不均匀、染色较深、呈黑色或紫黑色),空泡(单个或多个、大小不等),体(是中性粒细胞胞质因毒性变而保留的嗜碱性区域,呈圆形、梨形或云雾状、界限不清、染成灰蓝色、直径约1~2μm、亦可见于单核细胞),退行性变(胞体肿大、结构模糊、边缘不清晰、核固缩、核肿胀、核溶解等)。上述变化反映细胞损伤的程度,可以单独出现,也可同时出现。
毒性指数:计算中毒颗粒所占中性粒细胞(100个或200个)的百分率。1为极度,0.75为重度,0.5为中度,<0.25为轻度。
中性粒细胞中毒性改变和其他异常形态
中性粒细胞中毒性改变
2)巨多分叶核中性粒细胞:细胞体积较大,直径16~25μm,核分叶常在5叶以上,甚至在10叶以上,核染色质疏松。见于巨幼细胞贫血、抗代谢药物治疗后。
3)棒状小体:细胞质中出现呈紫红色细杆状物质,长约1~6μm,1条或数条,见于急性白血病,尤其是颗粒增多型早幼粒细胞白血病(M3型)可见数条~数十条成束棒状小体,急性单核细胞白血病可见1条细长的棒状小体,而急性淋巴细胞白血病则不出现棒状小体。
4)Pelger-Huet畸形:细胞核为杆状或分2叶,呈肾形或哑铃形,染色质聚集成块或条索网状。为常染色体显性遗传性异常,也可继发于某些严重感染、白血病、增生异常综合征、肿瘤转移、某些药物(如秋水仙胺、磺基二甲基异噁唑)治疗后。
5)Chediak-Higashi畸形:细胞质内含有数个~数10个包涵体,直径约2~5μm,呈紫蓝、紫红色。见于Chediak-Higashi综合征(切-东综合征),为常染色体隐性遗传。
6)Alder-Reilly畸形:细胞质内含有巨大的、深染的、嗜天青颗粒,染深紫色。见于脂肪软骨营养不良、遗传性粘多糖代谢障碍。
7)May-Hegglin畸形:细胞质内含有淡蓝色包涵体。见于严重感染。
(2)淋巴细胞
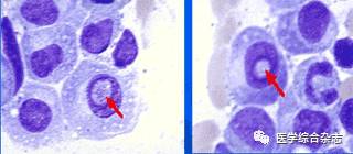
1)异型淋巴细胞,有三型:
空泡型;不规则型;幼稚型。多为T淋巴细胞。
主要见于传染性单核细胞增多症(10%以上)、病毒性肺炎、病毒性肝炎、肾综合征出血热等病毒性感染。
Ⅰ型(空泡型,浆细胞型):胞体比正常淋巴细胞稍大,多为圆形、椭圆形、不规则形。核圆形、肾形、分叶状,常偏位。染色质粗糙、呈粗网状或小块状、排列不规则。胞质丰富、染深蓝色、含空泡或呈泡沫状。
Ⅱ型(不规则型,单核细胞型):胞体较大,外形常不规则,可有多个伪足。核形状及结构与Ⅰ型相同或更不规则,染色质较粗糙致密。胞质丰富、染淡蓝或灰蓝色、有透明感、边缘处着色较深、一般无空泡、可有少数嗜天青颗粒。
Ⅲ型(幼稚型):胞体较大,核圆形、卵圆形。染色质细致呈网状排列、可见1~2个核仁。胞质深蓝色、可有少数空泡。
正常淋巴细胞
异型淋巴细胞
异型淋巴细胞
2)放射线损伤后淋巴细胞形态变化:淋巴细胞受电离辐射后出现形态学改变:核固缩、核破碎、双核、卫星核淋巴细胞(胞质中主核旁出现小核)。
3)淋巴细胞性白血病时形态学变化:在急、慢性淋巴细胞白血病,出现各阶段原幼细胞,并有形态学变化。
习题 中性粒细胞形态上哪种变化可继发于严重感染、白血病和MDS
A.巨多核中性粒细胞
B.Pelger-Huet畸形
C.Chediak-Higashi畸形
D.Alder-Reilly畸形
E.May-Hegglin畸形
[答疑编号500725030401]
『正确答案』B |
习题 射线造成的淋巴细胞损伤,不会出现
A.核固缩
B.核破碎
C.含有卫星核(即微核)
D.双核
E.有核仁
[答疑编号500725030402]
『正确答案』E |
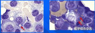
(3)浆细胞
正常浆细胞直径8~9μm,胞核圆、偏位,染色质粗块状、呈车轮状或龟背状排列;胞质灰蓝色、紫浆色、有泡沫状空泡,无颗粒。如外周血出现浆细胞,见于传染性单核细胞增多症、流行性出血热、弓形体病、、结核病等。异常形态浆细胞有:
1)Mott细胞:浆细胞内充满大小不等、直径2~3μm蓝紫色球体,呈桑椹样。见于反应性浆细胞增多症、疟疾、黑热病、多发性瘤。
2)火焰状浆细胞:浆细胞体积大,胞质红染、边缘呈火焰状。见于IgA型瘤。
3)Russell小体:浆细胞内有数目不等、大小不一、直径2~3μm红色小圆球。见于多发性瘤、伤寒、疟疾、黑热病等。
图:Russell小体是浆细胞浆内的一种数目不等,大小不一染成肉红色的球形小体,它是浆细胞中分泌免疫球蛋白的一种小体。如胞浆内充满此小体,核常被挤到一边,称为葡萄细胞(grape cell)或称Mott细胞 (桑椹状细胞)。Russell小体在染色中有时会溶解,以致染成淡黄色或形成空泡,成为泡沫样细胞,须与脂肪细胞区别。
图:火焰状细胞是指浆细胞内沉集了一些无定形沉淀物,并常染成红色,故名。现已知沉积物也是免疫球蛋白,且多见于IgA型多发性瘤。
图:Dutcher小体是一种含于核内的PAS阳性包涵体,经罗氏染色后,较核染色为淡,可在约7%的瘤患者中见到,以IgA型瘤较多见。
相关推荐
友情链接
Copyright © 2023 All Rights Reserved 版权所有 北京物流信息联盟
