2023-05-25 17:04:50
神外资讯【中华神外】专栏,每周二发布一篇精选文章,每期首篇还将公布当期《中华神经外科杂志》目录,读者如对相关文章感兴趣,可点击链接进入神外资讯微商城,购买单期或订阅全年纸质杂志(原价18元/本,优惠价12元/本)。《中华神经外科杂志》编辑部将于每周五以挂号信的形式把杂志寄给读者朋友。
今天刊登的是中华医学会神经外科学分会肿瘤学组和脑干胶质瘤综合诊疗中国专家共识编写委员会在《中华神经外科杂志》2017年第三期上发表的《脑干胶质瘤综合诊疗中国专家共识》,欢迎阅读。
长按并识别二维码进入购买页面
脑干胶质瘤(brainstem gliomas,BSG)是一组起源于中脑、脑桥和延髓的胶质瘤总称。20世纪80年代之前BSG曾被认为是一组均质性疾病,由于当时脑干仍然是手术禁区,无法进行手术,导致对BSG的病理学特性缺乏足够的认识,加之肿瘤本身对放疗和化疗不敏感,所以BSG的整体预后极差[1]。近30年来,随着神经影像技术、分子生物学、肿瘤基因组学的不断发展,人们逐渐认识到BSG是一组具有高度异质性的疾病。首先,BSG作为一个整体,与大脑半球胶质瘤具有不同的分子遗传学特性;其次,在BSG中,不同年龄组和不同部位的肿瘤具有不同的发病机制、生长特点以及预后[2-12]。从手术的角度考虑,尽管近30年来随着显微神经外科手术技术、神经影像技术、神经导航技术和神经电生理技术的发展,BSG的手术安全性和切除程度已取得了显著进步,但是脑干仍然是中枢神经系统中手术风险最高的部位。而且脑干内不同部位、不同生长方式的肿瘤在手术方案的选择、手术并发症及围手术期护理方面具有各自的特点。BSG本身的异质性、复杂性决定了它需要多学科参与的综合治疗。目前,国内各医疗单位尚无围绕BSG的多学科研究与治疗团队。另外,医疗技术的地域差异导致了对BSG仍缺乏统一的认识。所以,有必要制订BSG规范诊疗的专家共识,供广大医疗机构和医务人员在临床工作中参考应用。
流行病学
一、发病年龄和性别
BSG的发病高峰年龄呈双峰分布,儿童为5~10岁,成人为30~50岁;BSG约占儿童颅内肿瘤的10%~20%,约占成人颅内肿瘤的2%~4%[13-15]。男女两性发病率之间的差异无统计学意义。
二、发病率
目前,国内尚缺乏BSG的大规模、系统性流行病学调查。王忠诚等[16]曾统计1980年至2001年首都医科大学附属北京天坛医院手术治疗的311例BSG患者,占同期手术治疗脑干占位性病变的50.8%,占同期颅内胶质瘤的3.6%。儿童BSG的发病率为每年0.60/10万人[17],其中80%为弥散内生型[18]。英国每年新发儿童弥散内生型脑桥胶质瘤(diffuse intrinsic pontine gliomas, DIPGs)约20~30例;美国每年新发儿童BSG约300~400例,其中DIPGs 200~300例[19]。成人BSG的发病率尚无统计数据可供参考。
病因学
BSG的病因尚不清楚,近几年的相关研究显示,H3F3A、HIST1H3B/C、IDH1、TP53、PPM1D、ACVR1、BRAF等基因突变与BSG发病相关[2-4,7,20-21]。除此之外,部分BSG患者与1型神经纤维瘤病(neurofibromatosis type 1,NF1)相关[22-24]
临床表现
BSG的常见临床表现包括:脑神经功能障碍、长束征和共济失调。脑神经功能障碍是脑神经纤维或核团损伤所导致,可反映肿瘤的部位和累及范围,具有定位诊断价值。长束征是指脑干内长的纵行纤维束受累所表现出的临床征象,主要包括皮质脊髓束损伤导致的对侧肢体痉挛性瘫痪、肌张力增高、腱反射亢进、病理征阳性;脊髓丘脑束损伤导致的对侧肢体粗略触压觉和痛温觉异常;内侧丘系损伤导致的对侧肢体意识性本体感觉和精细触觉异常。共济失调主要为小脑脚损伤所致,内侧丘系损伤可导致感觉性共济失调。BSG常见的临床综合征见表1。肿瘤阻塞脑脊液循环通路后可形成幕上脑积水,出现头痛、呕吐、视盘水肿或视神经萎缩等颅内压增高的表现。
表1. 脑干胶质瘤常见的临床综合征。
此外,儿童BSG患者常有非典型临床表现,可于患者就诊前数月出现,表现为脾气暴躁、攻击行为(攻击对象主要为父母)、睡梦中大哭或大笑、多汗、大小便困难等。
影像学表现
一、计算机断层成像(CT)
1. CT平扫:缺乏特异性表现。①DIPGs:肿瘤起源于脑桥,至少占据脑桥的2/3,脑干呈弥散性肿胀,肿瘤呈等低密度影,通常向上累及中脑,向下累及延髓的比较少见,可累及小脑脚,可向腹侧生长包绕基底动脉,可向小脑脑桥角(CPA)生长,也可向后生长进入第四脑室造成脑积水;可出现瘤内坏死,瘤内囊变极少见[25]。②顶盖胶质瘤:等低密度,导水管受压出现幕上梗阻性脑积水。③部分局灶型BSG:可有囊性低密度区,多为毛细胞型星形细胞瘤(pilocytic astrocytomas, PAs)。
2. 增强CT:①DIPGs首诊时多不强化,疾病进展时可出现不同程度的强化。②顶盖胶质瘤:多不强化;若出现显著强化提示恶性程度较高。③PAs多数显著强化,可伴有囊性低密度区。
二、磁共振成像(MRI):是BSG影像学诊断的主要依据。①T1加权像(T1WI):肿瘤通常表现为低或等信号,囊实性肿瘤可呈混杂信号;PAs边界清楚、锐利;WHOⅡ~Ⅳ级的肿瘤往往呈浸润性生长,肿瘤和正常脑干之间的边界不清。②T2加权像(T2WI):多为高信号或混杂信号;PAs边界清楚、锐利,无瘤周水肿;WHOⅡ~Ⅳ级的肿瘤边界不清,往往有不同程度的瘤周水肿。③液体衰减反转恢复序列(FLAIR):呈高信号;肿瘤内出现囊变、坏死时可表现为混杂信号。④增强扫描(CE T1WI):PAs多数明显强化;DIPGs初诊时一般无强化,病情进展时局部出现强化并逐渐扩展到整个肿瘤。强化与病理级别以及预后之间无相关性,因为PAs和高级别(WHO Ⅲ~Ⅳ)肿瘤均有强化[26]。⑤磁共振波谱成像(MRS):N-乙酰天门冬氨酸(NAA)峰降低,胆碱(Cho)峰升高,Cho/肌酸(Cr)和Cho/NAA比值明显升高。Cho/Cr和Cho/NAA比值越高提示肿瘤生长越快,预后越差。乳酸峰和脂质峰的出现提示恶性程度高、生长快、预后差。乳酸峰的出现提示肿瘤生长过快,内部存在无氧代谢;脂质峰的出现表示肿瘤内部存在坏死[27-29]。⑥弥散加权成像(DWI):反应细胞内和细胞外水分子的弥散能力。表观弥散系数(ADC)和各向异性分数(FA)是常用的测量指标。除囊性PAs外,ADC与肿瘤级别及预后呈负相关,可能与高级别肿瘤核/浆比较大、细胞密度较高限制水分子弥散有关。FA可反映组织的结构信息,FA与肿瘤级别及预后的关系仍有待于进一步研究。⑦弥散张量成像(DTI):可在体显示肿瘤和脑干内白质纤维束的位置关系,详见影像学分型部分[30-31]。⑧灌注加权成像(PWI):可无创测量相对脑血容量(rCBV)和相对脑血流量(rCBF),rCBV值<2.9表示低级别胶质瘤,而rCBV值>2.9则表示更高级别的肿瘤[32]。
三、正电子发射断层成像(PET-CT/MRI)
PET可显示肿瘤的高代谢区,不同的探针反映不同的代谢活动,且具有不同的敏感性和特异性。18F-脱氧葡萄糖(18F-FDG)PET-CT/MRI 和11C-蛋氨酸(11C-MET) PET-CT/MRI分别反映肿瘤内部葡萄糖和氨基酸的代谢水平。肿瘤内出现代谢增高灶提示肿瘤进展,恶性程度升高。
影像学分型
目前BSG尚无统一的影像学分型标准。从1985 年至2000年,有关BSG先后有7~8 种分型标准[33-34] 。影像学分型的目的是判断肿瘤是否适合外科治疗,预估手术风险及判断预后。在众多分型方法中,最重要的参考依据是肿瘤的生长方式(外生/内生、局灶/弥散),其次是肿瘤的起源部位。本共识在总结临床实践经验的基础上结合既往的分型标准,提出了中国BSG影像学分型标准,该分型在影像学特点的基础上加入了特定部位、特定类型肿瘤的生物学特性,目的是指导临床治疗方案的选择。
一、根据MRI将BSG分为3型
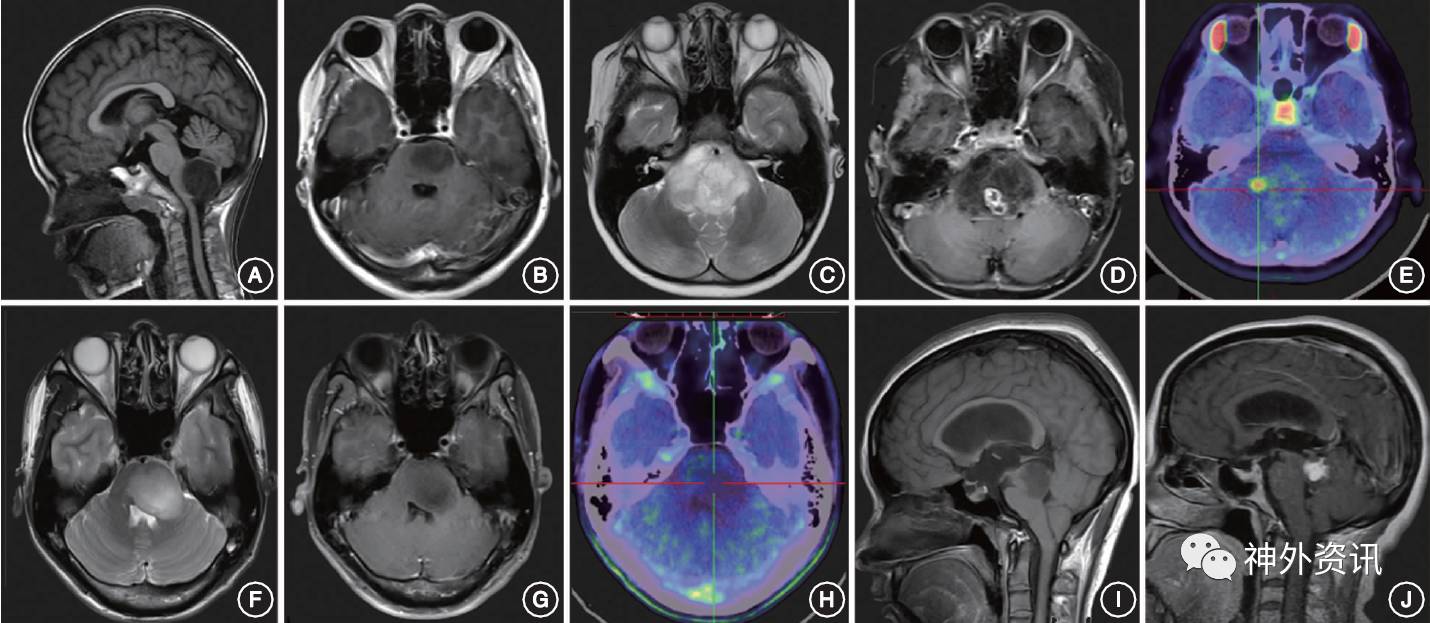
Ⅰ型:外生型BSG,肿瘤向外生长,主体位于脑干外部(图1A) 。
Ⅱ型:内生型BSG,可分为Ⅱa型即局灶内生型(图1B)和Ⅱb型即弥散内生型。对Ⅱb型BSG建议行11C-MET PET检查,综合MRI增强扫描的特点和 MET摄取情况,可将Ⅱb型肿瘤分为伴有局灶性强化或高代谢的Ⅱb1型(图1 C~E)和无局灶性强化或高代谢的Ⅱb2型(图1F~H)。
Ⅲ型:为特殊类型的BSG,Ⅲa型为顶盖胶质瘤(图1I);Ⅲb型为导水管胶质瘤,其发生率较低,以梗阻性脑积水为首发症状,病理类型以低级别胶质瘤为主(图1J);Ⅲc型为NF1相关的BSG,可分布在脑干内任何部位,可表现出各种生长方式和影像学特点。
图1. 基于MRI的脑干胶质瘤分型 A.外生型;B.局灶内生型;C-E.弥散内生型脑干胶质瘤伴有局灶强化和高代谢;F-H.弥散内生型脑干胶质瘤无局灶强化和高代谢(C、H为11C-MET PET-CT影像);I.顶盖胶质瘤;J.导水管胶质瘤。
二、根据DTI成像中皮质脊髓束(corticospinal tract, CST)和肿瘤的位置关系将BSG分为3型
A型:为推挤型,CST受到肿瘤推挤发生移位,患者四肢肌力为Ⅳ~Ⅴ级(图2)。
B型:为推挤+破坏型,CST同时受到肿瘤的推挤和破坏,患者受累肢体肌力为Ⅱ~Ⅲ级(图3)。
C型:为穿过型,CST从肿瘤内部穿过,患者受累肢体肌力为Ⅲ~Ⅴ级(图4)。
图2. DTI分型A型:肿瘤单纯推挤CST(推挤型)A.纤维束和肿瘤的三维重建结果,绿色为右侧的CST,肿瘤将CST推向左侧,患者的左侧肢体肌力为V-级;B-D.分别为磁共振T1WI轴位、矢状位以及冠状位与纤维束的融合图像,绿色为右侧的CST,红色为左侧的CST。
图3. DTI分型B型:肿瘤推挤并破坏CST(推挤-破坏型)A.纤维束和肿瘤的三维重建结果,粉红色为右侧的CST,可见CST明显受到肿瘤推挤发生移位,同时患者左侧肢体肌力为III级;B-D.分别为磁共振T1WI轴位、矢状位和冠状位与纤维束的融合图像,粉红色为右侧的CST。
图4. DTI分型C型:DTI穿过肿瘤(穿过型),红色和绿色分别表示左侧和右侧CST A,B.分别为磁共振T1WI轴位和冠状位,显示双侧CST均从肿瘤内部穿过;C,D.磁共振T1WI矢状位,分别显示在肿瘤内部穿行的左侧和右侧的CST(DTI为弥散张量成像,CST为皮质脊髓束)。
DTI成像所显示的纤维束是在数学模型基础上后期重建所获得的,纤维束形态和数量受图像采集和重建参数的影响较大。由于目前尚缺乏统一的技术标准,所以建议DTI作为制定手术入路的辅助性参考依据,术中应用可与电生理监测相结合。推荐应用3.0 T MRI进行数据采集,采集图像时患者应保持头部静止,儿童患者无法配合时,建议在采集图像前30 min给予水合氯醛诱导睡眠。
病理学分类
一、组织病理学分类
目前,BSG的组织病理分类采用的是WHO(2007版)中枢神经系统肿瘤病理分类中胶质瘤的分类标准。BSG常见的组织病理类型包括:PAs、星形细胞瘤、少突星形细胞瘤、间变性星形细胞瘤、间变性少突星形细胞瘤和胶质母细胞瘤。肿瘤的病理类型和病理级别对指导后续治疗具有重要的参考价值(图5)。
图5. 脑干胶质瘤的诊疗流程图。(注:手术前应常规行DTI检查,明确肿瘤和纤维束的位置关系)(NF1为I型神经纤维瘤病)
二、分子病理学分型
2016过渡版WHO中枢神经系统肿瘤病理分类中提出了“伴有H3 K27M突变的弥散型中线胶质瘤”,该类肿瘤主要见于儿童患者,病理以高级别胶质瘤为主。此外,本共识综合BSG的发病年龄和预后特点及目前分子遗传学方面的研究结果,建议将BSG分为4种分子亚型[4-5,35]。
1. H3F3A K27M(编码组蛋白H3.3)突变型:H3F3A K27M为目前BSG中所发现的最高频突变,该类型BSG对放疗不敏感,易转移复发,预后较差。
2. HIST1H3B/C K27M(编码组蛋白H3.1)突变型:常见于年龄<5岁的DIPGs患者,相比于H3F3A K27M突变型预后较好,常伴有ACVR1突变。
3. IDH1突变型:仅见于成人,主要为非DIPGs,中位诊断年龄为43岁,预后较好。
4.其他类型:少部分患者并无IDH1/2、H3.3/3.1突变,为双阴型。对于该类患者的发病机制尚需进一步研究。
有条件的单位建议常规检测BRAF V600E、BRAFKIAA1549融合突变和IDH1/2、H3 K27M、PPM1D、TP53、ACVR1突变及MGMT启动子甲基化[2,4,7,21]。以上分子病理结果可以判断预后。
治疗
BSG的治疗以综合治疗为主,包括手术、放疗、化疗、基因靶向治疗以及免疫治疗等新疗法。放疗是DIPGs的标准治疗方案,但只能短暂的改善症状,无法延长其总生存期。化疗对部分复发或术后残余的PAs有效,但各种化疗方案均未能显著改善DIPGs的预后[19,36-38]。手术可显著改善外生型及局灶型低级别肿瘤的预后[39-40]。
一、手术
手术原则是在保护功能的前提下最大程度地切除肿瘤,以延长患者的生存期;部分有脑积水或颅高压症状但不适宜肿瘤切除的患者可选择减压术、分流术缓解症状。除以下所列的适应证外,最终是否采取手术治疗需结合病情的轻重、进展速度、患者的一般情况及意愿进行综合考虑。
1. 手术适应证:①外生型BSG。②局灶内生型BSG。③伴有局灶性强化或11C-MET PET-CT显示伴有局灶高代谢的弥散内生型BSG。④不伴有局灶性强化或11C-MET PET-CT成像显示不伴有局灶性高代谢的DIPGs可选择开放活检术或立体定向活检术。⑤观察期间表现出恶变倾向的胶质瘤(体积变大、MRI增强扫描出现强化、侵及周围结构)。
2. 手术禁忌证:①弥散型BSG累及整个脑干(中脑、脑桥、延髓)。②伴有软脑膜播散或种植的BSG。③Karnofsky功能状态评分(KPS)<50分,脑干功能严重衰竭的患者。④合并多脏器功能异常,无法耐受手术者。
3. 手术方案的制定:不同部位的BSG常用的手术入路见表2。脑干安全进入点的选择至关重要,建议在纤维束导航及术中神经电生理监测的引导下避开脑干内重要的传导束和核团,选择脑干表面离肿瘤最近的区域进入,应沿纤维束走形方向切开脑干,避免对纤维束过多的损伤。术中尽可能减少对脑干的机械牵拉,尽可能避免对脑干正常供血动脉和引流静脉的损伤。
表2. 不同部位脑干胶质瘤采用的手术入路。
4. 术前辅助检查:①常规术前检查排除手术禁忌证。②影像学检查:常规检查项目包括:MRI平扫+增强+FLAIR、MRS、DTI、PWI。③神经电生理检查:主要包括脑干听觉诱发电位(BAEP)、脑干体感诱发电位(SEP)、脑干运动诱发电位(MEP)等评估脑干功能。④推荐行11C-MET PET-CT/MRI检查,明确肿瘤内代谢最为活跃的区域。
5. 术中电生理监测:①脑神经监测:应根据肿瘤的位置监测术中可能损伤的脑神经。脑神经监测的意义在于定位神经走行;提示术中操作对神经的刺激和损害。通常的脑神经监测内容包括动眼神经 (上睑提肌或下斜肌)、三叉神经(咬肌) 、面神经(眼轮匝肌、口轮匝肌、颏肌)、迷走神经(环甲肌)、副神经(斜方肌) 、舌下神经(舌肌)、舌咽神经(茎突咽肌)。脑神经监测方式包括自发肌电和电刺激诱发肌电。监测过程中应注意避免肌松剂对结果的干扰。②脑干BAEP:是反应听神经和脑干功能状态的指标之一,即使手术同侧的耳蜗神经术前已受损害或在术中受到损伤,仍可根据对侧脑干BAEP的变化了解脑干功能状态。术中听觉脑干通路的损伤与脑干BAEP变化关系密切。BAEP的Ⅲ、Ⅴ峰潜伏期和Ⅰ~Ⅲ、Ⅲ~Ⅴ、Ⅰ~Ⅴ峰间潜伏期均是术中监护的关键性参数。同侧的反应潜伏期突然延长为0.5~1.5 ms,应积极寻找原因。③脑干SEP:脑干病变累及内侧丘系者均可表现出相应的SEP改变,主要表现为N13~N20峰间潜伏期延长、N20波幅和潜伏期改变;对于脑干及毗邻部位手术,SEP要求监测双侧上肢SEP和外周监护电位,SEP报警标准一般以诱发电位波幅下降50%或潜伏期延长10%为报警标准。④脑干MEP:能够反映CST的功能状况。建议有条件的单位综合应用经颅MEP技术和皮质下刺激定位技术。皮质下白质的刺激可用双极刺激器或单极刺激器,皮质下刺激的关键是定位运动传导束的距离。术中明确CST的位置,需结合DTI导航(指示纤维束的宏观位置),经颅MEP(确保整个运动通路的完整性)和皮质下电刺激(确定CST的精确位置)。对于脑干背侧、第四脑室底附近的手术,建议用神经核团定位技术,目的是确定面神经和展神经核及其神经的位置,避免其损伤。
6. 术后常见的并发症及处理:(1)脑干水肿:是脑干手术后的常见并发症,严重者有意识障碍、肢体瘫痪(肌力Ⅰ~Ⅱ级)、肌张力低、腱反射无法引出等类似脊髓休克的表现。建议术后早期予以甘露醇、甲基强的松龙控制脑干水肿(应用甲基强的松龙建议≤1周)。严密观察患者的意识状态、生命体征、脑干反射,根据病情变化及时复查头颅CT。脑干水肿多在数日内消退,临床表现也随之缓解。(2)呼吸功能障碍:为延髓肿瘤的常见术后并发症,根据损伤的结构及严重程度不同可分为完全丧失自主呼吸功能和呼吸缓慢或浅快通气量不足导致的CO2潴留和低氧血症。前者为损伤延髓闩部所致,后者为损伤迷走神经三角所致。应予以呼吸机人工通气或辅助呼吸,呼吸机模式应根据动脉血气分析结果以及患者的呼吸功能恢复情况而定。调节呼吸机模式、参数以及试脱机时应严密观察患者的血氧饱和度和动脉血气分析结果。(3)后组脑神经功能障碍:为延髓肿瘤的常见术后并发症,主要表现为咳嗽反射变弱、咳痰障碍、声音嘶哑、饮水呛咳、伸舌及吞咽困难。单侧后组脑神经麻痹、症状较轻者,可首先保留气管插管,观察神经功能的代偿或恢复情况。如果症状较重、短时间内无法恢复、对侧无法代偿,应尽早行气管切开、鼻饲饮食。气管切开指征:①患者昏迷或估计短时间内难以清醒;②患者呼吸功能受损,短期内无法恢复;③后组脑神经功能障碍表现为主动、被动咳嗽无力、伸舌困难、吞咽困难。拔除气管插管的标准:患者意识清醒;主动咳嗽有力;被动咳嗽有力;吞咽功能正常。(4)夜间睡眠呼吸暂停:为累及呼吸中枢的延髓肿瘤术后的常见并发症,患者清醒状态下可维持正常的呼吸频率和节律,但夜间睡眠时可出现中枢性呼吸暂停,建议对于术后出现呼吸节律、频率改变的患者加强夜间护理,常规行夜间呼吸睡眠监测。对于存在夜间睡眠呼吸暂停的患者建议夜间予以呼吸机辅助呼吸。出院恢复期间建议睡眠时应用家用呼吸机。(5)肺部并发症:主要包括肺部感染和神经源性肺水肿。①肺部感染:是脑干肿瘤术后常见的并发症,与后组脑神经功能障碍导致的咳痰不畅、微误吸以及长期卧床有关。气道护理至关重要,避免误吸、清除肺内淤痰是治疗的关键。此外应常规进行痰培养和药敏试验,根据结果选择抗生素;②神经源性肺水肿:为脑干肿瘤术后早期的常见并发症,其原因不清,可能与儿茶酚胺的大量释放有关,胸部X线显示肺实变,严重者主要表现为呼吸窘迫,病情发展较迅速,可导致患者死亡,一旦出现应予呼吸机正压通气。(6)消化道应激性溃疡或出血:为延髓肿瘤的常见并发症,术后应用抑酸、保护消化道黏膜等予以预防。程度较轻者除了采用抑酸、保护胃黏膜外,还应予以胃肠减压、静脉营养。如果出现急性〖JP+1〗溃疡穿孔或消化道大出血应紧急行外科处理。(7)脑积水:为中脑、脑桥肿瘤术后的常见并发症,多表现为术后数日突然出现头痛、意识障碍。术后应密切观察患者意识及生命体征的变化,术后定期复查头颅CT,观察脑室变化,必要时及时进行脑室-腹腔分流术。(8)术后出血:应密切观察患者的意识状态及生命体征的变化,同时复查头颅CT,在无手术禁忌证的情况下,建议早期行手术治疗清除血肿。(9)下肢深静脉血栓:为术后长期卧床患者的常见并发症。肢体肌力Ⅲ级以下的患者应每日给予床上被动运动,对于肢体肌力Ⅲ级以上的患者术后应鼓励尽早下床活动,以防止下肢深静脉血栓的发生。建议术后进行D-二聚体或血栓弹力图检查,可使用抗血栓压力带预防下肢深静脉血栓的形成。血栓形成后可采用抗凝、溶栓、下腔静脉滤网植入等治疗手段。(10)肺动脉栓塞:密切观察肺动脉栓塞发生的可能性、高危因素,多数由下肢深静脉血栓脱落造成,患者可表现为呼吸急促、缺氧,应行肺CT检查,有条件时行肺动脉造影检查,明确诊断。对于小的栓子建议抗凝、溶栓、下腔静脉滤网植入等保守治疗。
7. 术后护理注意事项:BSG患者的术后护理极其重要,是决定患者预后转归的重要因素。(1)心理干预:BSG患者术后通常需要保留气管插管导致患者无法用语言进行交流,部分患者因为肢体感觉和(或)运动功能障碍而出现恐慌,需要尽早建立畅通的交流渠道进行动态心理评估,早期给予心理干预,加强心理疏导,完善健康宣教。(2)意识管理:中脑胶质瘤患者术后易出现意识障碍、睡眠觉醒周期紊乱及Parinaud综合征,应注意三者之间的相互鉴别。意识障碍表现为不同程度的昏迷;睡眠觉醒周期紊乱表现为睡眠时间增多,睡眠加深,对一般刺激无反应,但瞳孔较小,有光反射;Parinaud综合征表现为双眼上视不能,双上睑下垂,但患者意识清楚。中脑胶质瘤术后保留脑室引流管的患者,应密切观察引流管是否通畅、引流量、引流液的颜色;准确记录引流管打开和关闭的时间,及时观察患者意识状态的变化,避免闭管期间急性脑积水造成脑疝。(3)呼吸功能及气道管理:意识障碍患者、延髓肿瘤术后自主呼吸功能障碍者、后组脑神经功能障碍者需要气管插管或气管切开,应密切观察患者的呼吸频率、节律、深度的变化,动态监测动脉血氧饱和度,同时加强气道护理及基础护理,确保气道湿化及吸痰的有效性和及时性;防止吸入性肺炎、神经源性肺水肿、窒息、夜间呼吸睡眠暂停等情况发生。备好抢救仪器及各型号气管插管,以备抢救时使用,气管插管型号应符合患者的气道条件,插入深度适宜,固定牢固,并应监测气囊压力。(4)饮食管理:鼻饲患者注意鼻饲安全,鼻饲前后严禁翻身、吸痰等操作,鼻饲时注意抬高床头。经口进食的患者应从健侧进食,并注意进食速度及量,对于需要长期鼻饲饮食的患者建议留置鼻肠管,防止误吸的发生。观察患者有无顽固性呃逆、胃液是否呈咖啡色等,应警惕消化道出血的发生,及时留取胃液标本检查,并遵医嘱给予相应处理。
二、放疗
1. 放疗的适应证:DIPGs;高级别BSG;低级别BSG:(1)外生型(Ⅰ型)和局灶内生型(Ⅱa型):肿瘤全切除术后应密切观察,出现肿瘤进展可行放疗;部分切除或活检者视分子病理结果,选择放疗和(或)化疗,或定期观察,肿瘤进展时应治疗。(2)顶盖型(Ⅲa型)、导水管型(Ⅲb型)和NF-1相关(Ⅲc型)BSG:可以首选观察, 肿瘤进展时选择手术切除或立体定向活检术,明确组织病理及分子病理类型,指导后续治疗。
2. 放疗的相对禁忌证:年龄<3岁者;一般情况差或脑干功能严重衰竭无法耐受放疗者;存在严重脑积水未处理者;伤口未愈合或局部存在感染者。建议尽可能明确病理诊断后选择放疗,避免误诊误治。
3. 放疗方案:放疗无法延长多数患者的总生存期,只能在短时间内缓解症状,症状缓解期因病理级别而异。(1)靶区的制定:强烈推荐具备条件的单位采用CT和(或)MRI模拟定位,并行CT/MR/PET-CT图像融合,以便准确地勾画靶区,确定靶区时应参照术前、术后和最近的MRI资料及PET-CT结果。(2)治疗计划:以95%的靶体积定义处方剂量,依据照射体积大小的不同,推荐使用54~60 Gy的剂量并分割为每次1.8~2 Gy。多数研究表明,常规放疗总剂量>60 Gy并未使临床获益[41]。推荐采用三维适形放疗或调强放疗技术。精确放疗可较好地保护正常脑组织,减少放射性损伤。①高级别BSG:放疗应在诊断明确后尽快开始,常规分割剂量为1.8~2.0 Gy/次,5次/周,标准剂量为54~60 Gy/30~33次。推荐肿瘤局部照射,临床靶体积(clinical target volume,CTV)为实体瘤体积(gross target volume,GTV)即 FLAIR/T2WI上的异常区域,加外放1.5~2.0 cm。CTV外放0.3~0.5 cm的边界为计划靶体积(planning organ riskvolume,PTV);②低级别BSG:根据术前和术后MRI确定肿瘤体积,通常采用FLAIR像或T2WI上异常信号为GTV,CTV为GTV外放1~2 cm间距,低级别胶质瘤接受总剂量为45~54 Gy/25~30次,1.8 Gy/次。(3)放疗反应:放疗的不良反应依据发生的时间和临床表现划分为3种不同类型:急性(放疗后6周内发生)、亚急性(放疗后6周至6个月发生)和晚期(放疗后数月至数年)。急性和亚急性放射性损伤可能为血管扩张、血脑屏障受损和水肿所致。脑干放疗的急性反应表现为既往神经功能障碍症状加重或出现新的脑神经功能障碍;MRI表现为脑干变粗、弥漫性水肿,应用糖皮质激素可缓解症状。延髓肿瘤放疗后如出现呼吸、心跳频率和节律的变化,则放疗死亡风险显著增加。放疗期间或之后难以控制的脑干水肿可用靶向抗血管生成药物治疗减轻症状。假性进展(pseudoprogression)多发生于替莫唑胺同步放化疗后2~3个月内,属于亚急性放射反应,病理改变是早期放射性坏死,多数可自愈。晚期放射反应常常是进行性和不可逆的放射性坏死,表现为神经功能障碍的持续恶化,应尽可能避免。
三、立体定向放射外科(stereotactic radiosurgery,SRS)
SRS是放射治疗的一种特殊形式,在立体定向头架的引导下,一次性高剂量射线或大分割剂量(≤5次)精准聚焦照射在靶区,可有效杀死肿瘤细胞,其机械误差在毫米级内,最常见的设备包括伽玛刀、赛博刀、改变的直线加速器和质子束设备。这种单次或高分割剂量的SRS治疗,一般要求肿瘤体积较小、边界较清晰。从循证医学角度而言,目前只有Ⅳ级和Ⅴ级的循证医学证据支持伽玛刀治疗某些BSG。
1. 适应证:SRS适合治疗手术后和(或)放疗后残留或复发的局限性胶质瘤,特别是PAs等低级别、边界相对清楚的胶质瘤。
2. 禁忌证:DIPGs不宜行立体定向放射治疗。
3. 治疗计划:(1)定位:MRI增强薄扫扰相梯度回波序列及T2序列为最常见的定位序列,目前可实现CT、MRI和PET等多模态影像融合定位。(2)剂量学:通常选用50% 的等剂量曲线覆盖病灶的周边,根据病变性质、病灶大小以及病灶周围结构制订中心剂量和周边剂量。单次照射治疗正常脑干承受剂量不超过15 Gy。周边处方剂量视病灶大小而定,剂量范围为12~16 Gy。如果患者术前接受过其他放疗,应根据放疗史调整治疗剂量。(3)术后处理:建议治疗开始前或结束后给予静脉注射甲基强的松龙40 mg或地塞米松10 mg。头钉穿行局部消毒和抗炎处理,必要时给予抗生素治疗。
4. 不良反应:(1)放射性脑水肿:可予甘露醇、糖皮质激素、贝伐珠单抗、高压氧等减轻脑水肿。(2)梗阻性脑积水:建议及时行脑室-腹腔分流手术。(3)神经功能受损或局灶性神经功能损伤:一般神经营养和支持治疗,包括药物治疗和高压氧等。
四、化疗
目前为止,各种化疗方案均未能改善BSG的预后[19,38,42-43] 。由于此前药物临床试验的入组标准不包括病理诊断,所以在分组设计中存在一定的缺陷,影响试验结果。建议对BSG患者在获取组织病理及分子病理的基础上,选择性应用化疗药物。
1. 脑干低级别胶质瘤的化疗:15%~20%的儿童BSG是低级别星形细胞瘤,具有低级别胶质瘤的特征,呈现慢性发展过程,化疗对部分病例有效,低龄儿童(通常<10岁)可以推迟或避免放疗。(1)适应证:临床诊断、活检或手术未全切除的脑干低级别胶质瘤;复发的脑干低级别胶质瘤。(2)化疗方案:①细胞毒药物化疗:卡铂联合长春新碱方案或硫鸟嘌呤、甲基苄肼、洛莫司汀、长春新碱联合方案;②分子靶向药物化疗:对有BRAF-MEK-ERK通路及PI3K-AKT-mTOR通路相关分子改变的脑干低级别胶质瘤,可行相应分子靶向药物治疗,如索拉菲尼、威罗菲尼、依维莫司等;③贝伐珠单抗化疗:以贝伐珠单抗为基础的化疗方案对缓解幕上儿童低级别胶质瘤的神经功能衰退有利,但停药后几乎所有肿瘤再次进展,并需注意蛋白尿、关节炎、嗜睡等3级以上不良反应及警惕远期毒性。该方案对儿童脑干低级别胶质瘤需要进一步研究,可不作为一线化疗方案,需谨慎用药;④化疗方案的优化:化疗过程中肿瘤进展者,需根据此前化疗药物的特点、进展时肿瘤的影像学特点、患者状况、肿瘤的分子病理检测结果等对化疗方案进行优化,个体化的化疗方案仍可能对肿瘤进展者有效。
2. DIPGs的化疗:目前尚无有效的化疗药物,放疗是其标准治疗。迄今为止,无论是传统细胞毒药物,还是替莫唑胺、贝伐珠单抗等多种化疗方案均未能改善DIPGs的预后[19,38,42-43] 。
3. 儿童脑干非DIPGs高级别胶质瘤的化疗:儿童脑干非DIPGs高级别胶质瘤发病率较低,目前对这类疾病的分子特征知之甚少,预后较差,尚无统一的化疗方案。
4. 成人BSG的化疗:针对成人BSG化疗的研究较少,传统细胞毒药物、替莫唑胺、贝伐珠单抗等化疗方案的治疗效果仍有待评估。
五、放化疗的疗效评估
推荐采用2010版神经肿瘤评价标准(response assessment in neuro-oncology,RANO)评估肿瘤对放化疗的反应(表3)。
表3. 评估肿瘤放化疗反应的RANO标准。
注:完全缓解和部分缓解均需要在4周后行影像学检查加以证实,在未获得证实时应视为疾病稳定(RANO为2010版神经肿瘤评价标准,FLAIR为液体衰减反转恢复序列)
1. 磁共振增强扫描:肿瘤放化疗后MRI增强扫描常见的反应包括:假性进展(pseudoprogression)、假性缓解(pseudeoresponse)、放射性坏死(radiation necrosis)和肿瘤进展或复发(tumor progression/recurrence)。(1)假性进展:20%~30%的幕上胶质母细胞瘤患者接受替莫唑胺同步放化疗后会出现假性进展,表现为T1增强扫描强化范围扩大,伴有或不伴有临床表现的恶化。假性进展可能与放疗导致肿瘤血管通透性一过性增加有关,增强范围通常会在数周内自发缩小[44]。目前,BSG假性进展的发生率尚不清楚,放化疗结束后3个月之内MRI上强化范围扩大(伴或不伴有临床症状恶化),需要与假性进展相鉴别。DWI、MRS和18F-FDG/11C-MET PET-CT具有一定的鉴别诊断价值,但是目前没有单一的影像学检查手段可确切地鉴别肿瘤复发和假性进展。影像学怀疑假性进展但患者的临床表现稳定可密切观察,定期复查MRI;鉴别困难且临床症状进展时,可考虑立体定向活检或开放活检明确诊断,以决定是否继续使用目前的治疗方案。(2)假性缓解:应用抗血管生成药物(如血管内皮生长因子抑制剂贝伐珠单抗)可迅速(用药后1~2 d)缩小MRI强化范围,这种影像缓解率高达25%~60%,通常伴有临床症状的改善,但是总生存期无显著延长。原因可能与药物降低肿瘤血管的通透性相关,并不代表肿瘤体积的缩小。(3)放射性坏死:接受射线剂量最大的靶区,在放疗完成后3~12个月内可能发生放射性坏死,发生率为3%~24%,可伴或不伴有临床症状的恶化[45]。可采用贝伐珠单抗控制脑水肿,必要时可选择立体定向活检明确诊断或手术切除坏死组织。
2. 不强化的肿瘤:建议用T2/FLAIR序列评价不强化的肿瘤对放化疗的反应。目前,T2/FLAIR序列上鉴别肿瘤和其他原因(如放疗、缺血、脱髓鞘等)造成的高信号仍然有一定的难度,因此在实际操作中仍需慎重。
六、肿瘤进展或复发的治疗方案
1. PAs复发或进展:建议多学科会诊讨论决定首选治疗方案。
2. WHOⅡ~Ⅳ级肿瘤放化疗后出现进展或复发:如患者一般情况良好,肿瘤呈局限性或外生性生长,可考虑再次手术。如肿瘤弥散性生长,患者一般情况难以耐受手术,予以对症支持治疗。
活检
一、立体定向活检
1. 适应证:脑干内病变弥散内生性生长,侵犯范围广泛;病灶多发、多灶侵犯者;高危患者或年老者,一般状况较差,不能耐受开颅手术者;不能除外非手术性疾病时,如炎性反应、淋巴瘤和神经变性疾病等。
2. 禁忌证:有严重的出凝血功能障碍者;怀疑细菌性炎性反应、脓肿或寄生虫,病变可能通过穿刺扩散者;定向手术局部头皮严重感染者;高度怀疑血管相关性疾病者。
3. 立体定向活检的注意事项:(1)脑桥以上中脑病变位于小脑幕切迹水平,活检一般取平卧位,采取同侧经额前穿刺路径,入颅点的选择在额前内侧中线旁开的安全区域,穿刺轨迹尽量平行于矢状面,与脑干纵轴平行,沿皮质至中脑分布的神经纤维走行方向,冠状面上沿小脑幕缘内侧进入,穿刺轨迹完全走行在基底节或丘脑内,避免经过脑池和脉络裂,避免小脑幕缘的阻挡。手术计划软件的三维可视化图像重建功能,能够辅助建立病灶三维空间构型,设计“完全走行于脑实质内”的路径,避开小脑幕的遮挡或经过脑池,并在每个图像断层上验证穿刺路径映射点所经过的结构,调整虚拟穿刺路径,确保手术安全。(2)对于小脑中脚平面以下脑桥、桥臂和延髓上部的病灶,患者可取俯卧或坐位,多采取枕下横窦下方经小脑半球至桥臂路径活检,穿刺轨迹偏向外侧,避开第四脑室底部。(3)脑干病变体积较小,活检标本采集不能太多,可应用细针吸引的方法采取标本。
二、开放活检
1. DIPGs患者一般情况良好,可以耐受手术者。
2. MRS、11C-MET PET-CT显示肿瘤内部具有高度异质性。
3. 立体定向活检未获得明确病理者。
随访
一、基线
建议术后72 h内行头颅MRI检查,检查项目包括MRI平扫+FLAIR+增强;出院时评估患者的Karnofsky功能状态评分(KPS)及脑干功能恢复情况。
二、随访周期
1. WHOⅠ级肿瘤:建议术后第1年每3个月复查一次,术后第2年每6个月复查一次,此后每年复查1次;期间如有病情变化随时复查或由主诊医生决定下次复查的时间。
2. WHOⅡ~Ⅳ级肿瘤:建议术后1个月首次门诊复查。需要进行放疗者,在放疗结束后1个月再次复查。未行放疗者或治疗后2年内每3个月复查一次,2年后每6个月复查一次,5年后每年复查一次。如病情有变化随时复查。
3. 复查的项目:包括神经系统查体、KPS评分、MRI平扫+FLAIR+增强、DTI、有条件的可行11C-MET PET-CT检查。
4. 随访:除定期来院复查外,应定期通过电话、邮件等进行随访。
目前存在的问题
一、手术切除程度的评判标准
手术切除程度是决定后续治疗方案及判断预后的重要参考因素,其计算公式为手术切除程度=[(术前体积-术后体积)/术前体积 ] ×100%[46]。精确计算手术前后肿瘤的体积是判断切除程度的关键。肿瘤体积的计算方法很多,目前常用的是椭球体模型体积公式:V=1/2 ×(a×b×c),其中a、b、c分别代表肿瘤在矢状位、冠状位、轴位断面上的最大径。但是最大径的数值受扫描角度的影响比较大,另外也难以精确计算形状欠规则肿瘤的体积。近年来在医学图像处理软件发展的基础上出现了新的体积计算方法,其核心是逐层计算肿瘤在每个层面上的体积,然后将各层体积进行叠加。精确界定肿瘤边界是这种计算方法的关键。对于非强化的肿瘤,FLAIR像是目前得到公认的参考序列,然而研究显示术区周边组织缺血性改变等会影响对残余肿瘤的判断[47-48]。对于强化的肿瘤,尤其是呈斑片状不规则强化者,目前尚无公认的参考序列。由于脑干体积较小,术后水肿会对切除程度的评估产生较大的影响。部分患者,尤其是延髓肿瘤患者,无法在术后72 h内进行MRI检查。肿瘤分割方法又分为人工分割和自动分割,不同操作者的分割结果往往具有很大的差异。以上均是影响手术切除范围准确性的重要因素,目前尚无系统的方案可以减小和量化以上因素对准确评估手术切除程度的影响[49-52]。因为影像学检查仍然是监测肿瘤变化的主要手段,因此提高计算肿瘤切除程度和肿瘤体积的精确性将是亟待解决的重要问题。
二、治疗效果的评判标准
总生存期和无进展生存期是目前评价治疗效果的金标准。然而总生存期和无进展生存期的内在缺点是患者永远无法和自身进行对比,表现为部分患者治疗后生命质量明显改善,但是总生存期和无进展生存期与人群平均值相比并无明显延长。因此,如何客观而系统地评价患者的治疗效果也是未来需要解决的关键问题。
展望
一、基因靶向治疗和免疫治疗
1. 基因靶向治疗:近几年肿瘤基因组学研究初步揭示了BSG相关的致病基因主要包括:H3F3A、HIST1H3B/C、IDH1、PPM1D、ACVR1、BRAF、PIK3CA等。针对这些基因的靶向药物研发有望在未来改善BSG的预后[53-60]。
2. 免疫治疗:免疫治疗是近年来肿瘤治疗领域的重大突破,目前尚无关于BSG免疫治疗的临床试验数据可供参考。开展BSG的免疫治疗是今后的一个发展方向。部分DIPGs表达EGFRvⅢ,DIPGs患者中针对EGFRvⅢ的多肽疫苗正处于临床试验阶段[60-61] 。
二、其他立体定向外科治疗手段
主要包括质子刀、赛博刀、速锋刀、内放疗等,目前治疗BSG的效果仍然有待进一步研究[62]。
【中华神外】往期回顾
2016年第五期“颅内肿瘤”| 组织芯片技术研究FSCN 1蛋白在垂体腺瘤中的表达及意义
2016年第五期“颅内肿瘤”| 北京天坛医院神经外科人脑肿瘤生物样本库中组织样本RNA的质量评价
长按并识别二维码或点击“阅读原文”进入杂志购买页面
相关推荐
友情链接
Copyright © 2023 All Rights Reserved 版权所有 北京物流信息联盟
