![undefined]()
关注我们,每天都能收到这种好文章!
微信号:kqjy--2000
![]()
![]()
![]()
![]()
![]()
![]()
![]()
![]()
![]()
![]()
![]()
![]()
![]()
![]()
![]()
病例1:
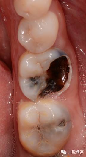
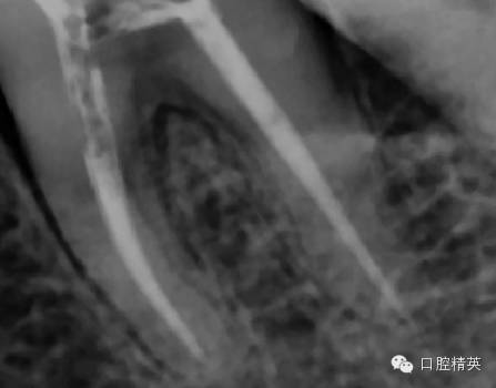
病例是36一次性根充,患者女性,68岁,半年前因冷热不适36外院有充填史,但无好转,近日加重,夜间痛自发痛,疼痛放散至头面部,查:36冷测(++)扣痛阳性,不松,牙髓电活力测试17,龈正常,诊断:不可逆性牙髓炎
![]()
处:36碧蓝阻滞麻醉,上橡皮障
这是个严重钙化的牙齿
![]()
严重钙化,打开根本找不到根管口![今天的病例,36一次性根充]()
超声去除钙化物,测量根管长度,逐级预备到9号先锋锉,并配合大量次氯酸钠和edta冲洗,冲洗后髓底非常干净清楚,特别利于你找到根管
![]()
建立直线通道,我最喜欢的,直线通道车针
![]()
非常好用,而且比gg钻和p钻既方便,又省事,成本还低
由于近中舌根过于弯曲,所以采用tf镍钛锉预备到30#06锥度,edta,次氯酸钠超声荡洗后,干燥
![]()
![]()
iroot根充
![]()
![]()
iroot是生物陶瓷类材料,类似mta,我最喜欢它的固化膨胀效果,根尖封闭效果更好。
病例2:
患者女性,自诉左下后牙冷热不适两年多,昨夜疼痛加重,冷热水加重,疼痛累及头部及耳部,影响睡眠,今来诊,求治。
查:36颊he面及远中大面积龋坏,色黑质硬,探敏感,未探及穿髓孔,冷测持续性疼痛,扣无不适,不松,龈正常,对侧同名牙电活力测试值38,36电测牙髓活力值11。37颊侧龋,探敏感,未探及穿髓口,冷测一过性疼痛,扣无不适,不松,龈正常。
诊断:36慢性牙髓炎急性发作,37深龋
处:必兰阻滞麻醉下,36一次性根充,37树脂嵌体修复
![36的一次性根充]()
36,37均有龋坏,且冷测敏感,很多时候我会使用牙髓电活力测试仪来判断牙髓状态,尽可能减少出现误诊,因为这种不可逆的操作,一旦出现误诊,对患者,对医生都是极大的痛苦。所以尽可能多种方法反复测试,如果实在找不到原因,时间也是一种方法。
![36的一次性根充]()
颊侧龋坏较大,已经接近齐龈,于是树脂临时假壁修补,帮助橡皮障固定,也增加冲洗液容纳量
先清理干净准备做假壁区域的腐质,避免树脂沾接不牢在上橡皮障的时候假壁脱落,也避免漏液。
然后试夹子,又特意买了把好用的钳子,康特的实在是烂![36的一次性根充]()
![36的一次性根充]()
常规酸蚀,冲洗,涂布粘结剂,
![36的一次性根充]()
流体树脂树脂粘接,我用的是kerr的流体树脂,流动性非常好,使用很方便,邻接部分要放成行片,避免与临牙粘到一起,给橡皮障留出空隙,不然你就杯具了![36的一次性根充]()
![36的一次性根充]()
上橡皮障之前先用牙线过一下,检查一下邻接的松紧度,然后上好橡皮障,近中放置楔线
![36的一次性根充]()
然后开始去腐,我习惯用金刚砂球钻先从边缘去腐,最后开髓,最好不要用裂钻直接开髓,第一可以避免底穿,第二避免腐质飞沫污染髓腔,给rct带来麻烦。
![36的一次性根充]()
开髓,揭净髓顶,直线通道车针逐步建立直线通路,大量次氯酸钠冲洗,探查根管长度,次氯酸钠和edta交替冲洗根管
![36的一次性根充]()
tf镍钛锉预备至30#06锥度(虽然根尖区域的预备应该在35#~40#)但我认为这不是根尖周炎,所以仅仅预备到30#,大量次氯酸钠荡洗根管,根充还是用的iroot糊剂和热牙胶,我用的是思博安的热牙胶,很多同行和我说,相比韩国的产品思博安的成本太高了,但思博安的牙胶是 β象限的,低温时的流动性更好,更容易进入狭窄部位和侧支根管,所以我认为,相对与更好的治疗效果,成本并不重要。
近中根管的侧枝清晰可见
![36的一次性根充]()
![]()
【免责声明】本平台部份内容来自网络,我们对文中观点保持中立,对所包含内容的准确性、可靠性或者完整性不提供任何明示或暗示的保证,请仅作参考。如有侵权,请联系删除。
商务合作微信:361687558
![]()
↓↓快速抢购↓↓