北京物流信息联盟

JBJS概念回顾:踝关节下胫腓联合韧带损伤

2022-03-06 14:38:11

要点:


1.尽管踝关节下胫腓联合韧带损伤在临床中较为常见,但其诊断和治疗仍颇具挑战。


2.解剖复位下胫腓联合韧带对踝关节良好的功能预后非常重要。


3.围手术期的三维CT检查和术中直视下踝关节下胫腓联合韧带修复可以提高韧带解剖复位的准确率。


4.随着新的复位技术发展,下胫腓螺钉作为下胫腓联合韧带损伤标准治疗方法正受到越来越多的质疑。


5.胫腓联合螺钉是否需要取出目前仍存在较大争议,但下胫腓联合螺钉的存在可以对胫腓联合复位不良进行自发的纠正。


踝关节损伤在骨科日常门诊中较为常见。接近5-10%的踝关节扭伤和23%的踝关节骨折可以累及胫腓骨远端的下胫腓联合韧带。踝关节周围的骨性或韧带结构损伤可以使得踝关节失稳。


尽管踝关节损伤的发病率较高,但最近一项调查对目前临床上实行的胫腓联合损伤治疗策略提出了不同意见。


作者报道可以通过多种不同的方法达到胫腓联合的解剖复位,如手法复位,持骨钳复位,拉力螺钉或者克氏针复位等。与此类似,移除胫腓联合螺钉的指征包括踝关节运动受限,螺钉存在断裂可能。


目前临床上使用下胫腓联合螺钉治疗胫腓联合损伤的主要问题在于:1.螺钉的使用数量;2.螺钉固定皮质骨的层数;3.螺钉置入的位置;4.术后开始负重锻炼的时间;5.拆除螺钉时麻醉方式的选择;6.拆除螺钉的时间。


有鉴于上述问题的重要性,骨科医生在治疗下胫腓联合损伤时需要对胫腓骨远处关节面的组成结构有充分的了解,并熟悉下胫腓联合治疗过程可能存在的各种陷阱,本文就此内容进行详细的分析,并希望借此回答上述六个问题。


解剖


胫腓骨远侧关节面由腓骨远端的凸面和胫骨远端的凹面组成,由胫腓韧带链接,关节内无软骨结构。踝关节的构象对称重分布,预防继发性关节退变等有非常重要的意义,而腓骨部分在踝关节组成过程的轻度运动对维持踝关节构象非常重要。


踝关节正常的运动功能包括:旋转,平移及腓骨的边缘运动,上述运动与踝穴内梯形的距骨顶结构相适应。在踝关节跖屈时,腓骨朝远侧移位,向前内侧横移并内旋;当踝关节背屈时,腓骨向近侧移位,向后外侧横移并外旋;外旋足部可以导致腓骨向内横移,向后移位并外旋。


远端胫腓联合韧带由四部分韧带组成(图1),包括骨间韧带,下胫腓前韧带,下胫腓后韧带,下横韧带。骨间韧带由骨间膜远端增厚形成。下胫腓前韧带起于胫骨结节的前外侧,止于腓骨脊的前侧。下胫腓后韧带起于胫骨脊后侧,止于外踝后缘。下横韧带组成下胫腓后韧带的下半部分,可视为下胫腓后韧带的一部分。下胫腓前韧带(35%),下胫腓后韧带深层(33%)对踝关节稳定性作用最大,其次是骨间膜(22%)和下胫腓后韧带浅层(9%)。



图1:下胫腓联合远端韧带结结构,包括骨间韧带(IOL),下胫腓前韧带(AITFL),下胫腓后韧带(PITFL),下横韧带(ITL)


Mckeon等人对尸体踝关节的血运组成进行了研究(图2)。在86%的尸体中,前侧下胫腓联合韧带主要由腓动脉的前支供应,其中63%的尸体中前侧胫腓联合韧带仅由腓动脉前支供应;所有尸体的后胫腓联合韧带均由腓动脉后支供应。腓动脉前支在踝关节近侧3cm穿过骨间膜。因此,前胫腓联合韧带极易损伤。



图2:胫腓联合远端血供,A,腓动脉,B,腓动脉前支。箭头示腓动脉后支。


近期的一项研究发现,踝关节神经末梢支配的数量和血管供应的数量呈现正相关性。前下胫腓联合韧带由Ruffini终末支支配,该神经终末支是慢适应性机械感受器,可以感应踝关节压力变化。


损伤机制


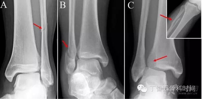
下胫腓联合韧带损伤的机制通常是踝关节外旋和过度背屈。可以导致下胫腓联合损伤的运动包括运动(足球等),低能量创伤等。外旋损伤通常发生于踝关节旋前或旋后位。胫腓联合韧带损伤可以单发或者合并骨折。典型的骨折类型包括旋前外旋型,旋后外旋型及腓骨近端骨折合并胫腓联合损伤(图3)。



图3:胫腓联合损伤合并踝关节损伤的典型X片表现。A,旋前外旋型或者Weber C型骨折,B,旋后外旋型或者Weber B型骨折,C,Maisonneuve骨折,小图示腓骨近端骨折


诊断


单独的胫腓联合损伤


单发的胫腓联合损伤或者高位踝关节扭伤通常表现为急性踝关节不稳,疼痛,功能障碍。询问此类患者病史时需包括损伤机制,既往损伤或手术史,踝关节不稳定症状。其中损伤机制对临床判断非常重要。


踝关节应力检查对诊断非常重要(表1)。外旋位应力试验:膝关节屈曲90度,外旋足部。挤压试验:向胫骨侧挤压腓骨近端,若存在下胫腓韧带损伤,则远端胫腓骨间距变大。交叉腿试验:患者坐位,将损伤脚交叉放置于健侧患肢上,在损伤侧膝关节向下施加轻度压力。背伸试验:挤压胫腓骨远端,踝关节背伸。上述试验诱发疼痛,则提示韧带损伤。



在应用RICE原则和NSAIDs类药物处置踝关节损伤后的3-5天内可以对患者进行体格检查,此时并不会影响体格检查的准确性。但是,在临床上约20%的踝关节韧带损伤会出现漏诊。


3个影像学检测指标可用于诊断踝关节下胫腓联合损伤(图4):胫腓骨重叠距离,胫腓间隙(tibiofibular clear space),内侧关节间隙等。胫骨穹窿上方1cm处测量前后位片上胫腓骨重叠大于6mm,或者踝穴位X片重叠大于1mm时提示正常,若前后位X片上重叠小于6mm则提示下胫腓联合损伤。踝关节内侧间隙的宽度应和胫骨穹窿/距骨顶间隙相等或略小。


在负重位或非负重位X片上胫腓骨重叠距离减小,胫腓骨间隙或者踝穴内侧间隙增大均提示下胫腓联合损伤。胫腓骨间隙是影像学上测量最为可靠的指标,因其很少受到下肢和射线成像的角度的影响。



图4:胫腓联合损伤诊断测量线:A,胫腓骨重叠,B,胫腓骨间隙,C,内踝间隙。其中胫腓骨重叠和胫腓骨间隙测量距离胫骨穹窿顶1CM。


重力位或者外旋应力位片可以鉴别显性或隐形脱位。腓骨通常向后脱位,在侧位片上显示较清楚。若对诊断下胫腓联合脱位有疑问,则可行健侧X片进行比较。


影像学检查通常可以发现中-重度的损伤,但对轻微损伤的鉴别能力较弱。其他的影像学设备,如CT,可以发现X片上不明显的骨折;而MRI对诊断下胫腓联合韧带损伤具有极高的敏感性和特异性。


韧带损伤合并踝关节骨折


踝关节骨折合并下胫腓联合韧带损伤需引起临床医生的注意。一项研究发现39%的Weber B型,旋后外旋型4型骨折通常提示胫腓联合不稳定。但是,目前诊断踝关节骨折合并下胫腓联合韧带损伤的诊断标准和影像学表现目前并没有统一的标准,其判断往往需要术中固定踝关节骨折后进行踝关节应力试验。


对所有的踝关节骨折的患者,进行踝关节固定后均应行术中应力试验检查,因对部分胫腓韧带损伤患者可能并不一定有典型的踝关节骨折表现。


TOrnetta等人发现,旋后外旋4型踝关节骨折患者有45%在术中行应力试验时可发现下胫腓联合不稳定。术中下胫腓联合损伤应力试验可以包括以下两种方式:hook测试法和外旋试验。Hook 测试法,固定患肢胫骨,使用骨勾向外牵拉外踝,若外侧腓骨移动超过2mm,则提示阳性。外旋试验,固定胫骨,足部外旋,在C臂机透视下观察内踝间隙,若间隙增宽则提示阳性。


Rpakarinen等人前瞻性的比较了hook法和外旋法诊断胫腓联合损伤的有效性。发现,两种方法组间一致性较好,而两种方法敏感性均较差,提示临床上胫腓联合损伤误诊的较多。在使用hook法和外旋应力法进行测试时制定统一的标准有利于提高一致性。Jenkinson等人使用线性拉力测量器和骨折复位F-工具进行hook法和外旋应力法的标准应用。


与此相似,一项尸体研究发现,腓骨外侧应用大于100N的力量并不会显著增加踝关节内侧间隙。也有研究发现,可以通过在矢状位上增加应力来提高hook检测法的准确性。结合健侧踝关节的应力试验可以对发现解剖变异有所帮助。


治疗


1.保守治疗


对大部分单发的胫腓联合韧带损伤可以通过保守治疗获得治愈。William等人建议采取三阶段治疗方法。


阶段I,踝关节制动以保护踝关节,并行止痛,消肿等对症治疗,此时踝关节可以进行有限负重(POLICE原则);


阶段II,患者疼痛和肿胀好转,可以在控制疼痛基础上进行行走,包括力量和本体感觉的锻炼,从低强度重复锻炼逐渐进展为高强度重复锻炼,若患者无需恢复原先的体育运动水平,可在该阶段锻炼至无症状期;


阶段III,需恢复原先体育运动水平的患者需进入第三阶段锻炼,包括严格的力量训练,和从事运动相关的特异性动作锻炼。若存在胫腓骨脱位或者存在持续症状,则进行手术治疗可以获得较保守治疗更好的效果。


2.手术治疗


2.1指征


通常,所有旋后外旋型踝关节骨折合并有下胫腓韧带损伤均需要手术治疗。但是,有研究证据表明,旋后外旋4度的踝关节骨折可以无需进行胫腓联合固定。Pakarinen等人对旋后外旋4型踝关节骨折在骨折固定后进行应力测试。若应力测试阳性,则将患者随机分配进入胫腓联合固定组或不固定组,术后1年随访时并没有发现两者间存在显著功能差异。


2.2复位


一项尸体学研究表明,使用复位钳复位时如果有成角在置入胫腓联合螺钉可以造成医源性胫腓联合复位不良。复位钳偏离下肢中轴线15-30度时可以造成腓骨的外旋,导致胫腓联合的过度压缩,但是移位幅度较小。另外一项尸体研究表明,复位钳平行胫骨轴面放置可以准确的复位踝关节胫腓联合,而若斜行,则胫腓联合有潜在复位不良可能。


术中透视或者标准的X片对评价复位治疗的可靠性较差。尸体研究表明腓骨固定后外旋角度小于30度时并不能通过术中的透视发现。一项对253胫腓联合损伤患者治疗后行CT检查发现其复位不良的概率高达33%。复位不佳最多的原因是腓骨的位置不正确,其次是骨折的复位不佳。腓骨复位不佳通常表现为向前移位腓骨远端内旋。


2.3固定方法


2.3.1胫腓联合螺钉


胫腓联合螺钉是目前治疗胫腓联合损伤的金标准。其从腓骨外侧横穿胫腓联合进入胫骨。可以使用单枚或双枚螺钉,金属或可吸收螺钉,3.5mm或4.5mm,经胫腓联合或胫腓联合上方,3皮质或4皮质固定。


双螺钉和4.5mm螺钉固定可以提供更好的力学强度。在治疗Maisonneuve骨折时,两孔锁定钢板(3.2mm螺钉)可以较四皮质固定提供更好的抗旋稳定性。坚强固定后胫骨和腓骨间的微动减小。


2.3.2纽扣缝合法


纽扣缝合法可以作为固定的替代措施。复位后,通过胫腓骨平行与踝关节水平钻孔,在骨孔内穿过尼龙线,两头用扣子固定。尽管该固定方法并不能提供和胫腓螺钉固定相当的固定强度,但是可以允许胫腓骨远端踝关节有适度的微动。


2.3.3后踝固定


近期的研究证据表明,后踝骨折块上若有完整的后下胫腓联合韧带,则对后踝进行复位固定后足以维持踝关节的胫腓联合的稳定性。若后踝骨折块移位较小,可以通过经皮前后位螺钉固定;对较大后踝骨折块或者骨折移位较明显的患者,可通过后外侧入路进行会啊关节骨折块复位并行钢板固定。


功能预后和并发症


1.保守治疗


一项由Jones等人完成的系统分析对6个涉及胫腓联合损伤的保守治疗结果进行了总结。所有研究均发现胫腓联合拉伤后的恢复时间要较踝关节拉伤恢复时间更长(表2),这些研究并没有提及功能恢复情况。Nussbaum等人也得出了相类似的结论。Taylor等人报道足球运动员胫腓联合损伤保守治疗后恢复完全运动的平均时长为31天。


表2:单独胫腓联合损伤保守治疗功能预后



2.手术固定


2.1胫腓联合螺钉


单螺钉或双螺钉固定,三皮质和四皮质螺钉,经胫腓联合或胫胫腓联合上,不锈钢螺钉或钛螺钉,金属或可吸收螺钉等在治疗效果上无显著差异(表3)。


表3:胫腓联合螺钉固定和纽扣缝合法固定功能预后



2.2纽扣缝合法


一项最近发表的系统评价发现,纽扣缝合法治疗胫腓联合损伤后的AOFAS评分在术后12及28月和螺钉治疗相似。行纽扣缝合法治疗的患者恢复工作的时间更早,需要移除下胫腓联合固定的概率更小。但是,和胫腓联合螺钉固定相比,纽扣缝合法的治疗费用更高,并且没有特别决定性的优势,考虑到其后期无需拆除,该方法的效用比可能更好(表3)。


2.3后踝固定


Gardner等人发现旋前外旋4型踝关节骨折患者MRI检查上未发现后下胫腓联合韧带损伤的15例病例。他们将10例尸体制造出类似骨折类型的患者进行随机的后踝或胫腓联合固定,发现后踝固定可以恢复70%的强度,而胫腓联合螺钉固定可以恢复40%的强度。


Miller等人前瞻性的分析了31例不稳定踝关节骨折术前确诊合并有胫腓联合损伤,而后下胫腓联合韧带完整的患者行1.无论后踝骨折块大小,行后踝固定;2.若无后踝骨折,行胫腓骨螺钉固定;3.骨折脱位或有严重软组织,韧带损伤者行联合固定。术后和随访的FAOS评分,三组间无显著差异,提示胫腓联合损伤而有完整后下胫腓联合韧带的患者行单独后踝固定可以取得和胫腓联合固定相类似的功能。


3.并发症


3.1复位不良


胫腓联合的解剖复位对提供良好的踝关节功能,避免后期的创伤性骨关节炎发生有非常重要的作用。有Sagi等人完成的一项前瞻性研究发现,在术后随访2年时,胫腓联合复位不良的患者踝关节功能预后更差,而另外一项比较纽扣缝合法和胫腓联合螺钉固定的研究发现,复位不良是影响功能预后的唯一变量。


一项尸体学研究表明,使用螺钉固定胫腓联合后并不会明显限制踝关节最大背伸角度,提示胫腓联合损伤解剖复位的重要性要高于胫腓联合是否过度加压的重要性。


胫腓联合复位不良发生率较高,最近的研究提示其发生率在25.5%-52%之间。传统的X片和术中透视不能准确的评估胫腓联合损伤的复位情况,特别是对腓骨是否外旋判断并不准确。


临床上可通过多种措施提高解剖复位的几率。直视下胫腓联合关节复位可以将胫腓联合复位不量的概率由50%下降为15%。术中三维 CT也可以准确的发现复位不良。尽管术中使用三维CT会增加患者的射线暴露,但是其和其他方法比仍是一个较为微创的方法。术后CT扫描也可发现胫腓联合复位不良,但是其对患者最终的功能预后是否有利仍存在较大争议。


不同患者的踝关节结构形态存在差异,但同一患者的踝关节结构差异则比较小。使用健侧踝关节可以帮助评估伤侧踝关节胫腓联合复位情况。


Song等人试图阐明踝关节胫腓联合螺钉移除后对胫腓骨远端排列可能的影响。15例患者纳入研究。早期术后的CT检查发现,6例患者出现胫腓联合的复位不良,随着患者的负重和活动度增加,踝关节的剪切应力引起踝关节螺钉断裂。螺钉断裂依据移除螺钉的时间不同,其发生率约在7-29%之间。Stuart等人发现3.5mm螺钉较4.5mm螺钉更容易断裂。


在胫腓联合完全愈合前螺钉断裂可导致复位丢失,从而需要后期翻修。胫腓联合螺钉通常放置6-12周以利韧带愈合,胫腓联合螺钉在6周时取出可以减少螺钉断裂的几率,但是会使腓骨移位概率增加。较多研究发现,螺钉移除患者和螺钉留置患者在临床功能上并没有显著差异。


但是,也有一些研究发现,螺钉断裂患者的踝关节功能预后要显著好于螺钉完整患者的功能预后。Hamid等人发现螺钉断裂而未取出的患者AOFAS评分为92.4,而螺钉完整的患者其评分仅为83.07.


近期的一项研究发现移除螺钉后可以改善踝关节功能预后。Miller等人评估了25例踝关节骨折合并胫腓联合韧带损伤而进行胫腓联合螺钉固定+钢板内固定的患者的踝关节功能,发现踝关节运动度和功能预后分数在螺钉移除术后2周显著改善。但是在术后12周时,症状改善进入平台期。


上述研究结论提示恢复胫腓联合正常的腓骨运动和踝关节胫腓联合排列对关节功能预后有显著影响,与踝关节内固定是否拆除,松动,断裂等无明显关系。这些研究结论也提示我们,临床上移除踝关节胫腓联合螺钉是较等待胫腓联合螺钉松动或断裂更为明智的选择。但是,值得注意的是,胫腓骨联合螺钉的拆除也有一定的风险。Schepers等人研究发现,胫腓螺钉拆除的并发症概率可高达22.4%,其中包括9.2%的感染,6.6%的脱位复发。


3.2肥胖和神经病患者


肥胖和具有神经病变的患者,如糖尿病等,具有极高的内固定并发症风险。Mendelsohn等人发现肥胖和胫腓联合螺钉复位丢失有显著相关性。他们在研究中将213例患者分为两个组别:肥胖组(102例)和非肥胖组(111例),肥胖组内固定失败的概率为15%,而非肥胖组仅为1.8%。


对损伤的严重程度进行加权后发现,肥胖患者胫腓联合复位松动的概率较非肥胖患者高14倍,此外,Cukich等人发现合并有糖尿病的患者,其复位不良,骨折不愈合,Charcot关节病的发生率较正常患者高3.4倍;而后期需要翻修的概率则高出5倍。Perry等人研究提示对腓骨内固定失败患者,腓骨钢板固定联合多枚大的胫腓联合螺钉固定。对胫腓联合固定失败率较高的患者,推荐使用3枚或4枚四皮质胫腓联合螺钉固定。


3.3异位骨化


较多研究发现,在胫腓联合损伤后会出现异位骨化。Taylor等人报道50例胫腓联合扭伤患者,发现50%的患者出现影像学上可见的异位骨化。Bostman等人报道使用生物可吸收螺钉固定后的异位骨化发生率更高。


异位骨化可以至踝关节骨性链接,从而导致踝关节运动时疼痛和关节力线功能异常。踝关节骨折后骨性链接的发生概率在1.7-18.2%之间。异位骨化和骨性链接具体的发病机制目前仍不清楚。此外,目前关于异位骨化和踝关节功能预后的相关研究也较少。


总结


尽管目前研究胫腓联合损伤的文献较多,但是目前临床上存在的较多问题并没有得到一个确定的解答。胫腓联合损伤非常难以诊断和治疗,腓骨复位不良的发生率仍十分高。胫腓联合螺钉是目前治疗胫腓联合损失的金标准方法,但其临床应用中仍有较多问题。治疗时获得胫腓联合的解剖复位对踝关节功能良好预后非常重要。


术中三维CT和直视下复位可以提高解剖复位的几率。目前对胫腓联合螺钉取出仍存在较大争议。尽管螺钉取出可以恢复腓骨正常的运动功能,同时可以使得复位不良的腓骨自动复位,但目前仍缺乏强力证据支持。表4示目前胫腓联合螺钉治疗相关的推荐措施。



本文来自丁香园骨科时间


更多资讯请点击左下角“阅读原文”,下载安装“医学时间”手机应用。

友情链接

Copyright © 2023 All Rights Reserved 版权所有 北京物流信息联盟