2022-07-13 08:26:42
请您认真填写调查表,协助医生了解您的见习和实习前学习需求等。
国籍:
学校:
班级 :
专业:
学号 :
照片:
骨科见习还是实习?:
骨科学习时间:
1 您的姓名?
2 您到骨科最想学会什么?
3 您的爱好?
4 有考研或其他打算吗?
5 您希望老师怎么教学好?
6 您希望以后做医生吗?为什么?
7 您的座右铭?
8 通过骨科实习您希望在哪些方面(如知识、能力、价值观态度
等)有所收获?达到什么程度?
9 您一般从哪些方面了解骨科知识?经典教科书、国外论著、杂志
期刊、学科研究领域新动向、社会热点?
10 您对您的教材有什么看法?
11 以前有老师征询过您课程问题吗?
12 您的平时兴趣是什么?对骨科有兴趣吗?
13 您希望通过什么方式来学习骨科相关内容?
14 您希望通过什么方式来学习骨科相关内容?
15 目前您能准确判断椎间盘突出症是L4/L5还是L5/S1节段椎间
盘突出吗?您怎么判断?把它准确写下面看看
16 哪件事最让你有强烈的使命感。这一生,只让你做一件事,你
做哪件事呢?
17 您认为您是乐观的看问题时候多还是悲观的看问题时候多?
18 有其他问题问的或者咨询的吗?请写下面
骨科要求掌握:
1 脊髓损伤、腰椎间盘突出症、颈椎病神经定位
2 脊柱、四肢、关节检查,主要肩关节和膝关节
3 脊柱损伤怎样搬运、开放性骨折怎样清创
4 肩袖损伤、半月板损伤、脊髓损伤、腰椎间盘突出症、颈椎病核
磁共振读片;
5 腰腿疼痛,关节疼痛病史采集问诊体检如腰椎间盘突出症和类
风湿关节炎问诊
6 其他
浙江大学医学院临床医学专业五年制临床见习
影像学方面:影像科要求掌握
1、骨骼与关节:
(1)掌握骨骼和关节的正常影像学表现(包括x线、CT,以X线为重点)
(2)熟悉骨骼及关节各种常见疾病的影像学表现(以X线为重点)。包括外伤、椎间盘突出、化脓性炎症、结核、肿瘤(包括骨巨细胞瘤、骨肉瘤、转移性骨肿瘤)、关节退行性变等。
骨科操作:了解
骨科操作
椎间盘切除术(包括颈、胸、腰椎)
胸腰椎骨折切开复位内固定术
椎管狭窄减压术
骨折切开内固定术(包括骨盆骨折、四肢骨折等)骨肿瘤切除术(包括恶性骨肿瘤保肢术)四肢关节脱位的闭合及切开复位术
膝关节十字韧带重建术(包括关节镜下十字韧带重建术)半月板成形术(包括关节镜术)
人工关节置换术(人工全髋及全膝关节置换)关节融合术(踝关节、肘关节)
截肢术(上、下肢)
断肢再植术
颅骨骨钉牵引术
闭合复位石膏固定术(包括四肢骨折)关节松解术
骨科讲课:上大课内容要求掌握
1.骨折概论
2·上肢骨折
3,手外伤
4.下肢骨折、关节损伤
5.骨肿瘤
6.骨与关节结核
7.骨与关节化脓性感染
8颈、腰退行性疾病
9、脊柱及脊髓损伤
10.运动系统慢性损伤
11,半月板损伤
12,非化脓性关节炎
13.先天性髋关节发育不良
骨科检查:临床教学要求掌握
脊柱、四肢、关节检查
骨科基本操作:临床教学要求掌握
换药、拆线
脊柱损伤搬运
开放性骨折的止血包扎
临床病例分析(诊断、鉴别诊断、辅助检查、治疗):临床教学要求掌握
骨折、关节损伤
颈、腰椎退行性疾病
骨肿瘤
非化脓性关节炎
浙江大学医学院临床医学专业五年制临床实习
操作部分要求掌握
运动系统力学检查
骨科急救的处理技术
其他临床操作
实习内容与要求
(一)掌握骨外科常见病、多发病的诊断、治疗原则及特殊检查方法,重点对创伤的急救处理方法及骨关节化脓感染、常见骨肿瘤(骨软骨瘤、骨巨细胞瘤、骨肉瘤)腰腿痛等的诊断及治疗原则。骨科的检查(脊柱、四肢、髋、膝、肩等关节检查)。
(二)熟悉常用诊疗操作的适应症、禁忌症、操作方法及可能发生的并发症。
(三)熟悉常见骨折及骨疾患的X线征。要求能阅读骨科x线片,分辨正常表现及常见异常表现
(四)了解骨折手法复位,了解小夹板固定、石膏固定及各种牵引的方法。
浙江大学医学院临床医学八年制通科实习大纲
骨科
掌握
颈椎病;下颈椎骨折、胸腰椎骨折;胸腰椎椎管狭窄;腰椎间盘突出;股骨干、股骨转子间、髌骨、胫腓骨骨折;肩关节脱位;髋关节脱位;股骨颈骨折;髋关节骨性关节炎;膝关节半月板损伤;膝关节交叉韧带损伤;骨软骨瘤;骨巨细胞瘤;骨肉瘤;狭窄性腱鞘炎;腱鞘囊肿
熟悉
特发性脊柱侧弯;脊柱结核、肘关节脱位;急慢性骨髓炎;髋关节发育不良;膝关节类风湿性关节炎;血管瘤;内生软骨瘤;骨样骨瘤(;色素沉着绒毛结节性滑膜炎;拇外翻
了解
上颈椎骨折;骨盆骨折;化脓性关节炎;先天性髋关节脱位;韧带样纤维瘤;纤维结构不良腱鞘巨细胞瘤;坐骨结节囊肿;Ewing's肉瘤;脊索瘤
骨科
体格检查要求掌握
(l)脊检查(2)四肢检查(3)关节查
掌握
(1)換药.拆线、拨除引流管
(2冫膝关节关节腔穿刺;石膏固定
(4)脊柱损伤的搬运(5)开放性骨折的止血包扎
基本操作
熟悉
(l)清创术
局部封闭术;骨折手法复位(4)四肢骨牵引(5)四肢骨折切开内固定术
了解
(l)椎间盘切除术(包颈、腰椎)
胸腰椎骨折切开复位内固定术
(3)胸腰椎管狹窄减压术
椎体成形术
(5)骨盆骨折切开内固定术
(6)骨肿瘤切除术(包括恶性骨肿瘤保肢术)
(7)四肢关节脱位的闭合及切开复位术
膝关节关节十字韧带重建术
半月板成形术
(10)人工关节置换术(人工全髋关节及全膝关节置换)
(1l)关节融合术(踝关节)
(12)截肢术(上、下肢)
(13)断肢再植术
(14)颅骨骨钉牵引术
关节松解术
辅助检查结果判读
掌握
(l)四肢骨折,髋、膝关节骨性关节炎;常见骨瘤(骨软骨瘤、骨巨细胞瘤,骨肉瘤)的X线表现
(1)HLA-B27的判读;碱性性磷酸的的判读(3)ESR,CRP的判读(4)ASO.RF的判读.变化规律及临床意义
熟悉
1椎间盘突出的MRI表现结果分析
2脊的造影检检查及读片
3骨软骨瘤,骨巨细饱瘤、骨肉瘤的CT表现
4 CT引导下穿刺检查
(l)穿刺液常规、生化检查的判读
(2)常用肿瘤标志物的判读(3)细菌培养及药敏试验的判读
了解
(l)常见骨肿瘤(骨软骨瘤、骨巨细胞瘤、骨肉瘤)MRI的表现
骨科出科考1
考生姓名:
一、 选择题(单选题,每题5分)
1. 骨折时患肢肿胀的常见原因不包括:
A. 骨髓内出血
B. 骨膜出血
C. 周围组织血管破裂出血
D. 静脉回流受阻
E. 软组织水肿
2. 最常造成肱动脉损伤的骨折是:
A. 肱骨干骨折
B. 伸直型肱骨髁上骨折
C. 屈曲型肱骨髁上骨折
D. 肱骨外科颈骨折
E. 肱骨内上髁骨折
3. 骨折后下肢深静脉血栓形成的高危因素不包括:
A. 下肢骨折
B. 高血脂
C. 下肢制动
D. 静脉回流缓慢
E. 血液高凝状态
4. 骨化性肌炎最常见的诱发因素是:
A. 外固定时间过长
B. 石膏包扎过紧
C. 暴力牵拉、复位
D. 骨折为粉碎性,累及关节面
E. 骨折固定不牢固
5. 患者女性,55岁,外伤致颈5骨折伴脱位,颈髓损伤,其褥疮的好发部位不包括:
A. 骶尾部
B. 髋部
C. 内外踝
D. 足跟
E. 胫骨内髁
6. 男性,29岁,右肱骨干骨折内固定术后4月,复查x片时,骨折对线、对位良好,内固定未见松动,骨折线清晰可见,无明显骨痂形成,影响骨折愈合最可能的原因是:
A. 损伤大血管,引起骨坏死
B. 内固定不牢固
C. 未辅助外固定
D. 剥离骨膜过多,影响骨折段血供
E. 肱骨骨髓炎
7. 关于肱骨外科颈的叙述,错误的是:
A. 为肱骨大、小结节与肱骨干交界部位
B. 位于解剖颈下2-3cm
C. 臂丛神经在其后方经过
D. 腋动脉在其内侧经过
E. 可合并神经血管损伤
8. Colles骨折的常用固定方法不包括:
A. 石膏固定
B. 小夹板固定
C. 髓内钉固定
D. 钢针固定
E. 外固定支架固定
9. 最易出现股骨头坏死的骨折类型是:
A. 股骨颈头下型骨折
B. 股骨颈经颈型骨折
C. 股骨颈基底型骨折
D. 股骨转子间骨折
E. 股骨转子下骨折
10. Jefferson骨折指:
A. 寰椎双侧前后弓骨折
B. 枢椎椎弓骨折
C. 枢椎齿状突骨折
D. 下颈椎椎体粉碎性骨折
E. 下颈椎楔形压缩性骨折
11. 符合良性骨肿瘤的X线表现特点的是:
A. 边缘清楚,无骨膜反应
B. 骨质破坏
C. 可见日光射线现象
D. 可见Codman三角
E. 有明显的骨膜反应
12. 急性血源性骨髓炎的致病菌是:
A. 绿脓杆菌
B. 金黄色葡萄球菌
C. 表皮葡萄球菌
D. 大肠杆菌
E. 甲型链球菌
二、 阅片题(10分)
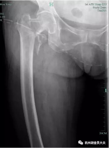
患者外伤后右髋部疼痛,摄片如下:
请给出诊断:
三、 操作题(30分)
题干:请行膝关节麦氏征检查。
骨科出科考2
考生姓名:
一、 选择题(单选题,每题5分)
1. 下列哪项属于不稳定性骨折
A. 嵌插骨折 B.青枝骨折 C.胸椎压缩性骨折(1/5) D.螺旋形骨折
2. 导致骨筋膜室综合症的主要原因是
A. 主要血管损伤 B.主要神经损伤 C.肌肉挛缩 D.筋膜室内压力过高
3. 下列哪项不是骨折功能复位的标准
A. 儿童下肢缩短移位<2cm B.侧方成角移位完全矫正
B. 长骨干横性骨折,骨折端对位至少达1/2 D.干骺端骨折对位至少3/4
4. 肘关节脱位和肱骨髁上骨折的临床鉴别要点
A.局部肿胀 B.肘关节反常活动 C.肘部畸形 D.肘后三角关系改变
5. 关于桡骨下端骨折下列哪项是错误的
A.骨折发生在距桡骨下端关节面3CM以内 B.屈曲型骨折远折端向掌、尺侧移位 C.伸直型骨折远折端向桡、背侧移位 D.Barton骨折易误诊为腕关节脱位
6. 关于手的功能位
A.是手可以随时发挥最大功能的位置 B.腕关节背伸20度~30度 C.轻度尺偏 D.拇指对掌位,远端指间关节半屈位
7. 患者。男,68岁。不慎跌倒,感左髋部疼痛。体检:左下肢短缩2CM、极度外旋畸形。常常提示
A.股骨颈骨折 B.股骨转子间骨折 C.髋关节前脱位 D.髋关节后脱位
8. 骨折的最严重的并发症是:
A、正中神经损伤 B、畸形愈合形成肘内翻畸形 C.肌肉缺血性挛缩 D、骨化性肌炎
9. 处理时,妥善固定的目的,哪一项是错误的?
A、为了试行复位 B、避免搬动时骨折端刺伤重要血管神经 C、防止搬动时疼痛 D、有利于防休克
10.3岁小儿,右肘部被牵拉后即出现哭闹,肘略屈,不敢拿东西,其诊断最大可能是:
A.关节脱位 B、右肘关节软组织损伤 C、右桡骨小头半脱位 D、右肱骨髁上骨折
11.胫骨中下1/3交界处最易发生骨折的原因是
A.此处肌肉附着少 B.血液丰富 C.此处骨质疏松 D.骨质形态变化
12.脊柱骨折的常见部位是
A.C1-3 B.C3-5 C.T10-12 D.T10-L2
二、 阅片题(10分)
患者颈部疼痛伴右手麻木,MR摄片如下:
请给出诊断:
三、 操作题(30分)
题干:请行直腿抬高试验及加强试验。
骨科出科考3
考生姓名:
一、 选择题(单选题,每题5分)
1. 3岁小儿,右肘部被牵拉后即出现哭闹,肘略屈,不敢拿东西,其诊断最大可能是:
A.关节脱位 B、右肘关节软组织损伤 C、右桡骨小头半脱位 D、右肱骨髁上骨折
2. 胫骨中下1/3交界处最易发生骨折的原因是
A.此处肌肉附着少 B.血液丰富 C.此处骨质疏松 D.骨质形态变化
3. 脊柱骨折的常见部位是
A.C1-3 B.C3-5 C.T10-12 D.T10-L2
4. 骨盆骨折后尿道口滴鲜血,导尿管难以插入,应考虑合并
A.肾损伤 B.膀胱损伤 C.前尿道损伤 D.后尿道损伤
5. 最适合做自体神经移植的神经是
A.腓总神经 B.胫神经 C.腓肠神经 D.胸长神经
6. 下列哪项是腓总神经损伤的临床表现?
A.足不能主动外翻 B.足不能主动内翻C.不能主动屈关节D.不能主动屈踝关节
7. 诊断颈椎病下述哪项是最可靠的依据?
A、颈肩部疼痛 B、X 线照片显示有骨刺 C、臂丛神经牵拉试验阳性 D、手指麻术
8. 急性化脓性骨髓炎的常见致病菌是
A.溶血性金黄色葡萄球菌 B.乙型溶血性链球菌 C.嗜血流感杆菌 D.大肠杆菌
9. 急性血源性骨髓炎好部位是
A.肱骨、髂骨 B.尺桡骨 C.胫骨、股骨 D.胫腓骨
10. 关于骨与关节结核的临床表现,错误的是
A.低热、盗汗、乏力 B.病灶常为多发 C.可有局部剧烈疼痛 D.髋关节结核患儿诉膝部疼痛
11. 生长迅速的骨肿瘤最显著的症状
A.局部肿块 B.局部肿胀 C.疼痛 D.病理性骨折
12. 男。40岁,反复发作腰痛伴右下肢放射痛,与劳累有关,咳嗽、用力排便时可加重疼痛。查体右直腿抬高试验40度阳性,加强实验阳性。X线片示L4-5椎间隙变窄,其右下肢麻木的区域可能为
A.小腿前外侧和足内侧 B.股前侧 C.小腿前内侧 D.小腿后侧及足底
二、 阅片题
试题:患者腰痛2年,加重3天,摄片如下:
请给出诊断:
三、 操作题
患者男性,65 岁,因“腰痛伴右下肢疼痛5天”来院就诊。请为该患者行重点部位体格检查。
骨科出科考参考答案
卷1
选择题:1.D 2.B 3.B 4.C 5.E 6.D 7.C 8.C 9.C 10.B 11.A 12.B
阅片题:
项目 | 评分标准(请酌情打√) | √ | 分值 |
读片 | 右侧 | 2 | |
股骨粗隆间骨折(或写转子间骨折) | 8 | ||
总分 10 | |||
操作题:
具体内容 | 标准分 | ||
膝关节半月板旋转试验---McMurray试验 | 50 | 检查手法:病人仰,患侧髋膝完全屈曲,检查者一手放在关节外间隙处作触诊,另一手握住足跟后作小腿大幅度环转运动。 | 5 |
内旋环转试验外侧半月板,外旋环转试验内侧半月板。(检查时口述) | 5 | ||
在维持旋转位置下将膝关节逐渐伸直到90°。注意发生响声时是的关节角度(McMurray试验)。 | 5 | ||
若在关节完全屈曲位下触得响声,表示半月板后脚损伤,(只能口述完成)。 | 5 | ||
关节伸到90°左右时才发生响声,表示为体部损伤(只能口述完成)。 | 5 | ||
再在维持旋转位置下逐渐伸直直至微曲位(Fouche试验),此时触得响声,表示可能有半月板前脚损伤(只能口述完成)。 | 5 | ||
总分 | 30 | 30 | |
· 半月板损伤
1、 在第八版外科学里面,外旋外翻检查外侧半月板,内旋内翻检查内侧半月板,但是第七版的外旋外翻检查内侧半月板,内旋内翻检查外侧半月板,请问,这个试验到底该怎么做?
2、McMurray试验中通过旋转挤压力(外旋外翻检查外侧半月板,内旋内翻检查内侧半月板)诱发损伤半月板产生疼痛、弹响阳性体征。Apley试验中也是挤压旋转力,却变成外旋查内侧半月板损伤,内旋查外侧半月板?
3、“研磨力量是产生半月板破裂的主要原因”(八版 外科学)。半月板试验的基本原理是通过旋转和挤压使对半月板产生研磨力量,重现损伤机制,诱发阳性体征。个人理解,不知对否。那么,McMurray试验和Apley试验就相互矛盾?
对这个半月板试验检查问题,从学生是就迷糊。这些年好歹明白点了,也能把我的学生讲得直点头了。可今年教材一改,真不明白如何给学生解析了!**高人指点!
半月板损伤分挤压和撕裂伤。麦氏试验是想重演半月板撕裂受伤的机制,而改良麦氏是想挤压诱发症状,并不是麦氏的本意。Apley也是挤压诱发。 所以扯和压都能诱发症状 。不能只局限于压 。扯一撕裂诱发症状更符合受伤机制,这是麦氏的本意。挤压诱发症状类似于压痛。二者岀发点,思路不同。
挤压是同侧痛,撕裂-扯是对侧痛。这样就能搞清动作和症状的关系 。
(原文 经典)麦氏试验:外展外旋一内侧半月板,内收内旋一外侧半月板。
改良的版本比较多:大多与原文相反,是挤压的思路。原文是撕裂一扯的思路。
一点拙见,仅供参考
半月板挤压试验:由McMurray首先创立,现在有很多改变。患者仰卧位,膝完全屈曲,检查者一手按膝关节同时手指置于关节间隙,另一手握住足使膝关节在内收或外展以及内旋或外旋应力下被动缓慢伸直,出现疼痛和弹响为阳性。按检查者对膝关节施加的应力,该试验共在四种方式下进行,即内收内旋内收外旋,外展外旋和外展内旋。依据发生疼痛和弹响的关节角度和施加的应力方式分析判断半月板损伤的部位。半月板损伤时该试验仅30%阳性。
Appley试验:病人俯卧,膝关节屈曲90°,助手将大腿固定,检查者双手握患足沿小腿纵轴向下压并旋转小腿,使股骨与胫骨关节面之间发生摩擦,半月板撕裂者可引起疼痛,此为Appley研磨试验。如在提拉小腿状态旋转诱发疼痛,则提示韧带损伤,称Appley牵拉试验。”
蹲墙角,坐等专家解答,还有个问题,既然楼主说了“研磨力量是产生半月板破裂的主要原因”那么做上述两个检查会加重半月板的损伤吗?
这个没有深究过,记得看过本书,膝关节镜手术学吧,麦氏征阳性不是看怎么旋转应力,而是看引发哪一侧的关节间隙疼痛,这才是判断的主要依据,我做麦氏试验一般是外翻配合内外旋,内翻配合内外旋都做,研磨试验也做。最近看一本国外翻译来的书,名字叫半月板,提到了关节间隙压痛,研磨试验,但是没提麦氏征。膝关节镜手术学有很详细的膝关节查体描述,可以看看
半月板损伤分挤压和撕裂伤。麦氏试验是想重演半月板撕裂受伤的机制,而改良麦氏是想挤压诱发症状,并不是麦氏的本意。Apley也是挤压诱发。 所以扯和压都能诱发症状 。不能只局限于压 。扯一撕裂诱发症状更符合受伤机制,这是麦氏的本意。挤压诱发症状类似于压痛。二者岀发点,思路不同。
挤压是同侧痛,撕裂-扯是对侧痛。这样就能搞清动作和症状的关系 。
(原文 经典)麦氏试验:外展外旋一内侧半月板,内收内旋一外侧半月板。
改良的版本比较多:大多与原文相反,是挤压的思路。原文是撕裂一扯的思路。
一点拙见,仅供参考
临床实践中,检查诱发的疼痛在外侧,一般代表外侧半月板损伤,反之亦然。正确率有限。更为简单可靠的是病人用一个手指自己指:指着内侧关节间隙,一般内侧半月板损伤;反之亦然。准确率很高,与关节镜检查比较。简单称为手指征!
“半月板挤压试验:由McMurray首先创立,现在有很多改变。患者仰卧位,膝完全屈曲,检查者一手按膝关节同时手指置于关节间隙,另一手握住足使膝关节在内收或外展以及内旋或外旋应力下被动缓慢伸直,出现疼痛和弹响为阳性。按检查者对膝关节施加的应力,该试验共在四种方式下进行,即内收内旋内收外旋,外展外旋和外展内旋。依据发生疼痛和弹响的关节角度和施加的应力方式分析判断半月板损伤的部位。半月板损伤时该试验仅30%阳性。
Appley试验:病人俯卧,膝关节屈曲90°,助手将大腿固定,检查者双手握患足沿小腿纵轴向下压并旋转小腿,使股骨与胫骨关节面之间发生摩擦,半月板撕裂者可引起疼痛,此为Appley研磨试验。如在提拉小腿状态旋转诱发疼痛,则提示韧带损伤,称Appley牵拉试验。”
我个人认为八版外科学是正确的,可能大部分人领会错了,在McMurray试验时,教材强调对“膝关节”联合施加外旋和外翻应力等等等等,而在Apley试验中强调将“小腿”往下压并且做内旋和外旋运动等等等。所以两个试验作用的对象是不同的,但是有些人会以为膝关节的内旋外旋就是小腿的内旋外旋,所以觉得教材自相矛盾。但膝关节和小腿的运动其实是一个相对的概念,即小腿的内翻内旋就是膝关节的外翻外旋,它们两是相对的。从这一点上我们就容易理解了,八版教材McMurray试验作用原理并不是挤压患侧半月板产生疼痛而判断,恰恰相反是因为牵拉(撕扯)患侧半月板产生症状而判断,这样一来McMurry试验与Apley试验实际上是高度一致的。
半月板旋转试验(McMurray-Fouche试验):病人仰卧,患侧髋膝完全屈曲检查者一手放在关节外间隙处作触诊,另一手握住足跟后作小腿大幅度环转运动,内旋环转试验外侧半月板,外旋环转试验内侧半月板,在维持旋转位置下将膝关节逐渐伸到90°(McMurray试验)。注意发生响声时的关节角度。若在关节完全屈曲位下触得响声,表示半月板后角损伤;关节伸到90°左右时才发生响声,表示为体部损伤。再在维持旋转位置下逐渐伸直至微屈位(Fouche试验),此时触得响声,表示可能有半月板前角损伤。
我想问一下,为什么外旋环转试验检查的是内侧半月板啊?
楼上的兄弟看来查体较少,回旋挤压试验要求边挤压边伸膝,所以挤压内侧半月板时只能顺时针(检查右膝,从检查者的视角),外侧半月板则是逆时针,所以按照约定俗成的说法,分别将其描述成外旋和内旋,这不同于膝关节的外旋和内旋。
发病机制与病理
研磨力量是产生半月板破裂的主要原因。膝关节伸直时,两侧副韧带紧张状态,关节稳定,无旋转动作。当膝关节半屈曲时,股骨髁与半月板的接触面缩小,由于重力的影响,半月板的下面与胫骨平台的接触比较固定,这时膝关节猛烈的旋转所产生的研磨力量会使半月板发生破裂。半蹲或蹲位工作最容易发生半月板损伤。足球运动员射门时,一足着地,膝关节半屈曲,另一足起脚射门,如果射门方向不在正前方,势必要扭转躯干,此时股骨内髁急骤内旋,内侧半月板便会挤在股骨内髁与胫骨平台之间而发生破裂。膝关节屈曲时股骨下端会有2°~3°外旋,煤矿工人长期蹲位工作,双腿分开,使股骨外髁与半月板的接触更为明显,由于半月板的下面比较固定,铲煤和抛煤所致的膝关节旋转动作使外侧半月板受股骨外髁的研磨力量而破裂。如原有外侧半月板盘状畸形,则更易破裂。因此产生半月板损伤必须有四个因素:膝半屈、内收或外展、重力挤压和旋转力量。
七、研磨试验——McMurray试验:一手握住患侧足,另一手置于关节间线,如果要检查内侧半月板,则先极度屈曲膝关节,外旋患侧足并同时施以内翻应力,如果此时出现内侧关节间隙的疼痛及弹响,则说明内侧半月板后1/3的损伤,然后逐渐伸直膝关节,如果在屈膝90°时出现膝关节内侧的疼痛和弹响,则说明内侧半月板中1/3的损伤。如果要检查外侧半月板,则先极度屈曲膝关节,内旋患侧足并同时施以外翻应力,如果此时出现外侧关节间隙的疼痛及弹响,则说明外侧半月板后1/3的损伤,然后逐渐伸直膝关节,如果在屈膝90°时出现膝关节外侧的疼痛和弹响,则说明外侧半月板中1/3的损伤。
McMurray试验实际上是对半月板损伤机制的一种重复,其中有几点需要注意:一、该试验对急性损伤敏感性高,但是特异性低;对陈旧性损伤,常常难以诱发出典型症状体征。二、该试验对内侧半月板敏感性高,对外侧半月板敏感性低。三、在内外侧半月板损伤的鉴别上,该试验的准确率为85%。四、该试验不能检查半月板前角损伤。研磨试验还有其他一些方式,但从敏感性和准确性方面讲,还是以McMurray试验占优。
病因与病理
本病多由外力所致。引起膝关节半月板损伤的外力因素有撕裂性外力、研磨
性外力、嵌顿性外力和扭转外力四种。
1.撕裂性外力 常发生于内侧半月板。在膝关节半屈曲状态的旋转动作时,股骨牵动侧副韧带,韧带又牵拉内侧半月板的边缘部,而使之产生撕裂。
2.研磨性外力 多发生于外侧半月板。因正常的膝关节稍有外翻,故外侧半月板负重较大,若为先天性盘状软骨板,因长期受到关节面的研磨,即使无明显外伤,也可产生半月板分层破裂。
3.嵌顿性外力 亦常发生于外侧半月板。在膝关节半屈位时内收着地,身体旋转,迫使小腿突然外旋伸直时,外侧半月板未能及时回到原位,被挤压在股骨外侧髁与胫骨上端外髁关节面之间,而产生嵌顿。
4.扭转外力 当一腿承重,小腿固定在半屈曲,外展位时,身体及股部猛然内旋,内侧半月板在股骨髁与胫骨之间,受到旋转压力,而致半月板撕裂。如扭伤时膝关节屈曲程度愈大,撕裂部位愈靠后,外侧半月板损伤的机制相同,但作用力的方向相反,破裂的半月板如部分滑入关节之间,使关节活动发生机械障碍,妨碍关节伸屈活动,形成“交锁”。
麦克马瑞(McMurray)试验:又称半月板弹响试验、回旋研磨试验。利用膝关节面的旋转和研磨动作来检查半月板有无损伤。本法有两个动作,每个动作包括三种力量。
操作方法:嘱患者仰卧,先使膝关节最大屈曲,右手固定膝关节,左手握足,尽力使胫骨长轴外旋,左手在腓侧推挤使膝关节外翻,在此外旋外翻的力量继续作用的同时,慢慢伸直膝关节。如果内侧有弹响和疼痛,则证明内侧半月板有破裂。按上述原理做反方向的动作,即在膝关节内旋内翻的同时伸直 膝关节,如外侧有弹响和疼痛,则证明外侧半月板有破裂。以 上是麦克马瑞试验的基本检查方法,但实际操作时疼痛和弹响的位置与此相反,否则内翻再加伸直往往是内侧半月板疼痛, 反之则使外侧半月板疼痛。但也有时不管向内或向外,只要关节面有研磨和旋转,其疼痛始终固定于一侧膝关节间隙。
其他方法是:患者仰卧,检查者一手握膝,放在关节间隙 内侧或外侧触诊,另一手握足或小腿下端,将膝关节尽量屈 曲,然后使小腿内收外旋,同时伸直膝关节,如有弹响,说明 内侧半月板有破裂。反之,小腿外展内旋同时伸膝,如有弹响, 说明外侧半月板可能有破裂。膝关节极度屈曲时发生弹响,可 考虑破裂。至于前角破裂,原则上应在膝关节伸直位时发生弹 响,,对前角不能测定。应注意鉴别骸骨摩擦或肌腱弹拨所发出的响声。在外伤早期,至少3周内作此试验没有意义,因为膝关节伤后3周内软骨内缘薄条撕裂。
研磨试验:又称阿波来(Apley)试验、膝关节旋转提拉或旋转挤压试验。患者俯卧,检查者将膝部放于病人大腿的后侧,两手握持患肢足部,向上提拉膝关节,并向内侧或外侧旋转,如发生疼痛,表示韧带损伤。反之,双手握持患肢足部向下挤压膝关节,再向外侧或内侧旋转,同时屈到最大限度再伸直膝关节,发生疼痛,则表示内侧或外侧半月板有破裂,并依疼痛发生时膝关节角度来判定半月板破裂的部位。屈曲最大限度时疼痛,应疑为后角破裂;屈曲呈90度,伸直是为前角破裂。
卷2
选择题:DACDB DBCDC DD
阅片题:
项目 | 评分标准(请酌情打√) | √ | 分值 |
读片 | C3/4、C4/5、C5/6椎间盘突出(少写一个节段水平扣1分,只答颈椎间盘突出给6分) | 9 | |
颈4/5水平髓内高信号(或写颈髓损伤) | 1 | ||
总分 10 | |||
操作题:
具体内容 | 标准分 | ||
直腿抬高试验及加强试验 | 50 | 检查手法:病人仰卧(5),患侧下肢完全伸直(5), | 2 |
检查者一手置于患者大腿,一手置于小腿或踝部 | 3 | ||
在维持膝关节伸直位逐渐抬高患肢。 | 5 | ||
抬至某一角度时诱发患者疼痛,记录诱发疼痛的与水平位最小交角(只能口述完成)。 | 10 | ||
将患肢逐渐放下至患者无疼痛角度,背伸踝关节,诱发疼痛出现者为加强试验阳性(只能口述完成)。 | 5 | ||
行健侧直腿抬高试验 | 5 | ||
总分 | 30 | 30 | |
卷3
选择题:CDDDC ABACB CD
阅片题:
参考答案
项目 | 评分标准(请酌情打√) | √ | 分值 |
读片 | 腰5骶1 | 2 | |
腰椎间盘突出 | 8 | ||
总分 10 | |||
操作题:
项目 | 评分标准(请酌情打√) | √ | 分值 |
体位 | 被检查者宜取卧位,检查者位于患者右侧 | 2 | |
暴露 | 充分暴露患者腰背部及右下肢 | 2 | |
视诊 | 观察双下肢有无粗细(肌肉萎缩或肥大增生) | 2 | |
观察脊柱有无畸形 | 2 | ||
触诊
| 触诊检查腰部及下肢皮温是否正常 | 2 | |
腰背部压痛点检查 | 2 | ||
右侧臀部及下肢压痛点检查(坐骨神经出口及沿其走形) | 2 | ||
直腿抬高试验 | 维持下肢膝关节伸直位,逐渐抬高患肢,记录诱发疼痛的角度。 | 3 | |
健侧直腿抬高。 | 3 | ||
加强试验 | 将患肢稍微放下至不痛的角度,背伸踝关节,观察是否诱发疼痛。 | 4 | |
股神经牵拉试验 | 俯卧位,膝关节屈曲90度,背伸髋关节,观察是否诱发疼痛。 | 2 | |
下肢肌力 | 双下肢股四头肌,腘绳肌,胫前胫后肌,腓肠肌,足母背伸肌,足母曲肌等肌力检查 | 4 | |
下肢感觉 | 感觉平面,两侧对比 | 4 | |
腱反射 | 膝腱反射 | 2 | |
踝反射 | 2 | ||
病理征 | 巴氏征检查 | 2 | |
总体 评价 | 操作过程中与患者不断沟通,取得配合 | 2 | |
操作过程体现人文关怀 | 2 |
总分:
整体评价(请酌情打√)
附:神经定位相关知识:要求掌握
马尾损伤与脊髓圆锥损伤
区别与联系
脊髓圆锥下极位于T12一L1之间,其中大多数在L1平面,其周围有马尾神经将其包围。此解剖学特征决定了圆锥周围损伤为马尾及脊髓圆锥混合伤为主。但马尾神经与脊髓圆锥的组织性质不同,前者属于周围神经,对外力的缓冲力强,后者属于中枢神经较固定,对外力的缓冲力差。故虽然同样受到创伤,可仅出现脊髓圆锥损害。脊髓圆锥部有膀胱中枢(s2-4),肛门直肠中枢(s3 ),故单纯脊髓圆锥的临床特点为膀胱过度膨胀与麻痹性失禁、大小便失禁、性功能障碍、会阴部感觉障碍。因为运动节段在 以上,故未受到影响。
反射痛、放射痛、牵涉痛区别与联系
相关推荐
友情链接
Copyright © 2023 All Rights Reserved 版权所有 北京物流信息联盟
