北京物流信息联盟

喵-三维重建为宠物保驾护航

2022-07-13 08:15:42


随着社会经济的发展和城市化进程的加速,人们的精神生活与物质生活不断改善,经济学界通过调查发现,越是经济发达的国家或地区,人们的精神越需要一种寄托,而养宠物是富裕国家和地区人们最好的精神寄托方式之一。



把“汪星人”、“喵星人”当儿子女儿来养的爱宠达人们已然是不计其数。宠物生病了需要动手术了也是非常着急上心的。期待宠物得到规范合理的治疗,是广大铲屎官们的美好心愿。



微博认证兽医张旭也算是在行内赫赫有名。关于猫猫狗狗的微博非常受宠物达人们的密切关注,很多人会留言提问喵喵汪汪的健康问题,也会得到比较专业的回答。现在择选三维科技在宠物医疗领域的应用,一起来见识一下 CT 三维重建是如何为宠物的健康保驾护航的吧~


  

三维重建是多排螺旋CT应用的最大优点,也是影像工作多年来从横断层到多层面乃至立体的飞跃,让抽象变得形象,大大提高诊断的准确性,为临床工作的开展注入了无限生机,从而解决许多以往临床上无法开展的难题。


  常用三维重建方式及其作用


1、MinMIP(最低密度投影)将三维数据向某方向进行投影,取投影线经过的所有体素中最小的一个体素值,作为结果图像的像素值。适用于含气体组织结构和病灶的显示,如气管及支气管显示、消化道充气检查等。它体现了密度信息,但不能测量CT值。


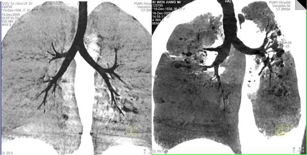
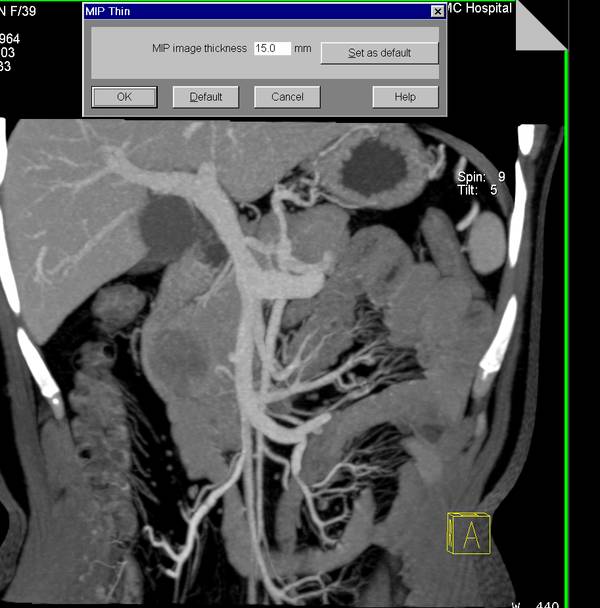
2、MIP(最大密度投影)将三维数据向某方向进行投影,取投影线经过的所有体素中最大的一个体素值,作为结果图像的像素值。适用于高密度组织结构和病灶的显示,如CTA、血管壁钙化、气管通畅情况等。它体现了密度信息,但不能测量CT值。


3、VRT(容积成像)不需要重建物体的表面几何信息,通过计算体素的阻光度、颜色、梯度等,然后直接把三维灰度数据投影到二维屏幕上,在投影时累计半透明体素对光线的透射吸收作用。它是目前的常用方法。它保持原图像所有信息,同时显示空间结构和密度信息。


4、VE(仿真内窥镜)以CT三维重建技术对空腔脏器内表面进行重建,再通过计算机模拟导航技术赋予不同的色彩和光照强度,操作者在选择了视点(观察角度)后,可进行腔内观察,对保存的图像进行连续回放,即可达到类似纤维内窥镜的观察效果。•它适用于胃肠道、呼吸道和血管等器官的内表面及其腔内异物、新生物、钙化、狭窄等病变。


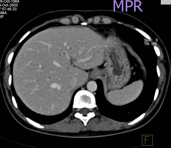
5、MPR(多平面成像):把体素重新排列,在二维屏幕上显示任意方向上的断面。它补偿了CT只提供横断面图像的缺憾,适用于任何需要从多角度、多方位观察的病灶和器官。它有显示快捷、任意断面、CT值可测的好处。


6、CPR(曲面成像):把体素重新排列,在三维空间内通过绘制出同一平面上二维的断面。它补偿了MPR只提供单纯断面图像的缺憾,适用于显示形状多变的器官及其组织结构。



了解了那么多关于三维重建的医疗常识,相信爱宠达人们也能对三维科技在宠物医疗的应用更加安心。相信三维技术会不断渗透医疗服务,满足生病看病治疗的刚需,更加实在地实现科技价值。






友情链接

Copyright © 2023 All Rights Reserved 版权所有 北京物流信息联盟