北京物流信息联盟

综述更新:膝关节内侧副韧带损伤的查体技巧与影像学评估

2022-07-07 09:35:42

本文为作者原创翻译,未经授权禁止转载。


原文标题:Medial collateral ligament injury of the knee

原文作者:William W Dexter, MD  Karl B Fields, MD Jonathan Grayzel, MD,FAAEM

原文出处:www.uptodate.com, last updated: May 10, 2016


膝关节内侧副韧带损伤治疗的最新进展(中)


上节回顾:膝关节内侧副韧带损伤的流行病学与解剖基础


体格检查


整体原则

膝关节损伤后最好在伤后半小时内完成相关的检查,因为之后会因疼痛、肿胀及肌肉痉挛为检查与损伤评估带来困难。不过,大多数此类损伤在半小时内完成检查也是不现实的,最好是能够先进行对症治疗,待患者情况缓解后进行检查。


检查时使膝关节充分放松,嘱患者放松臀部肌肉,患肢下适当支持,注意观察腘绳肌腱的紧张程度同时轻柔地进行相应检查。


应对膝关节进行系统性的检查,首先从伤侧膝关节开始检查,继而对比检查健侧膝关节。


注意检查是否存在其他并发伤,尤其是在严重损伤时更应注意:半月板损伤、股骨远端或胫骨近端损伤、前交叉韧带损伤、后斜韧带损伤、肌肉损伤及腓神经损伤(鉴别诊断)。

 

视诊

观察患者的姿势与步态,负重时不稳定表明损伤确切存在,应及时进行影像学检查。Ottawa膝关节法则为微小创伤后是否进行影像学检查提供了详细的指南。


仔细观察膝关节是否存在肿胀、淤血及畸形。局部肿胀可能会继续发展,不过单纯的内侧副韧带损伤,尤其是低能量损伤时关节积液较为少见。严重的内侧副韧带损伤多伴发其他损伤,如半月板及前交叉韧带的撕裂,这些损伤多会引起关节积液。

 

触诊

触诊对于内侧副韧带的诊断及排除其他相关损伤(撕脱骨折、胫骨平台骨折、肌肉、肌腱或韧带损伤)极为重要。触诊检查骨组织及软组织时,注意有无触痛、发热及劈啪声或捻发音。骨性标志的触诊包括关节线(内侧、后内侧角、后侧及外侧)、股骨髁、胫骨平台、髌骨及髌骨面、胫骨结节,胫骨干骺端以及鹅足区。软组织的触诊包括整个内侧副韧带全长、髌骨支持带、髌腱及股四头肌肌腱、伸肌系统以及相连的肌肉(股薄肌,缝匠肌、半膜肌、半腱肌、腓肠肌内侧头和股四头肌)。

 

有研究指出,在诊断内侧副韧带撕裂位置时,通过触痛部位判断的准确性可达到78%(存疑,相应的研究非常少)。但是,通常来讲触痛位置是无法区分究竟是内侧副韧带中下部分损伤还是内侧半月板损伤。

 

活动度检查

通过以下顺序进行活动度的相关检查:主动活动、被动活动及抗阻力活动。膝关节的基本活动为屈伸,一般膝关节可从不同角度的反屈(完全伸展,过伸)至屈曲140°,但人与人之间存在很大的差异,因而检查时与健侧相对比非常重要。在评估膝关节活动度时应注意是否存在限制其完全活动的因素,同时注意是否有疼痛及疼痛在何时发生。

 

如果膝关节主动活动度完全且无任何限制时,可不进行被动活动检查;活动受限时,必须进行被动活动检查。被动活动检查时,注意动作轻柔,检查是否存在活动障碍。活动障碍的存在表明有关节内紊乱,例如关节内游离体或半月板的撕裂及移位。单纯内侧副韧带损伤时可因疼痛限制主动活动,尤其是在过伸及屈曲超过100°时疼痛更加明显,因而患者可能不能主动完全屈伸,但单纯的内侧副韧带损伤并不限制患者膝关节的被动活动。

 

最后进行抗阻力活动检查,患者坐立位使膝关节中立位(屈曲90°),注意记录患者的肌肉力量及肌肉等长收缩时的疼痛情况。

 

特殊检查及损伤级别评估

分别于膝关节屈曲30°及0°下进行外翻应力试验(或外展应力试验)进行关节松紧度的检查,关节的基础松紧度差异较大,因而需与健侧对比进行检查。

 

外翻应力试验:患者仰卧位,髋关节稍微向前屈曲外展,膝关节微屈(图3)。推荐试验顺序:握住患者踝关节或足部,将其置于检查者身体与肘关节之间;接下来另一只手手指握于膝关节内侧或外侧关节线上;握住大腿远端,另一只上臂的肘关节对施加患者膝关节的外翻应力进行检查,感受内侧关节线的宽度。



图3,外翻应力试验(A);内翻应力试验(B)。

 

若在患者膝关节屈曲30°时外翻应力试验为阳性,则考虑内侧副韧带浅层损伤;若在患者膝关节屈曲0°时外翻应力试验阳性,则考虑内侧副韧带深层结构的损伤,同时也有可能存在交叉韧带的损伤(前交叉韧带与后交叉韧带是限制膝关节外翻的第二级结构)。当内侧副韧带与前交叉韧带损伤同时存在时,应同时考虑存在后内侧角及后斜韧带的损伤。

 

Lachman试验与轴移试验:

内侧副韧带损伤时,Lachman试验与轴移主要用于评价前交叉韧带的完整性。当内侧副韧带完全撕裂时,轴移试验检查前交叉韧带完整性的效果可能并不如Lachman试验精确。

 

内侧副韧带损伤级别(通过外翻应力试验时的体征判断):

  • Grade I — 膝关节内侧间隙打开小于5 mm,止点固定,稳定性良好为I级(轻度)损伤。此类患者有少量韧带纤维断裂,但内侧副韧带仍然完整。

  • Grade II —膝关节内侧间隙打开5~9mm,为II级(中度)损伤。通常止点固定或可感觉到,表明内侧副韧带不完全撕裂,仍有部分韧带纤维相连。

  • Grade III — 膝关节内侧间隙打开超过10mm,无固定止点,为III级(重度)损伤。内侧副韧带完全撕裂,这种松弛程度表明同时存在其他膝关节韧带的损伤。

 

胫骨的旋转稳定性:

可通过一手握住患者足部,另一手握住关节线进行检查。当与健侧相比患肢旋转增加时,表明因内侧副韧带深层损伤引起膝关节前内侧不稳定,同时可能存在后内侧角损伤。对于体型较大的患者,进行旋转稳定性检查时可将其大腿固定于病床,小腿自然垂于床边,然后检查者对比检查健侧与患侧的旋转稳定性。


影像学检查


X线检查

单纯内侧副韧带损伤时一般不使用平片检查进行评估,但是,某些情况下平片还是非常有帮助的,尤其是在严重创伤时。对于儿童或骨骼发育不成熟的患者,平片可帮助评价骨的发育情况。患者无法负重或局灶性骨压痛、严重畸形或关节积液存在时应进行平片检查。


若必须进行平片检查,则应进行以下角度的摄片:前后位;侧位;髌骨位(膝关节屈曲45°)。

 

有些患者进行膝关节通道位摄片(Tunnel Radiograph of Knee)也有一定帮助。应力下摄片可帮助确定关节间隙的开放程度,尤其是内侧副韧带III级损伤患者或膝关节多韧带损伤的患者(图4)。



图4,应力下摄片显示内侧副韧带、前交叉韧带与后交叉韧带完全断裂

 

Pellegrini-Stieda征为内侧副韧带在股骨内侧髁的钙化表现(通常为新月形),与内侧副韧带的慢性损伤或力量不足相关,内侧副韧带钙化可能引起膝关节的局部疼痛,但通常无明显的临床症状。

 

核磁共振检查

MRI极少用于单纯(或轻度)内侧副韧带损伤的检查,多用于严重内侧副韧带损伤时,体格检查有困难或怀疑其他损伤存在时的内侧副韧带损伤范围的评估及判断其他相关损伤是否存在(前交叉韧带撕裂)。根据MRI表现也可对内侧副韧带损伤按严重程度分为三级,但与临床严重性相关性并不大,由于借助MRI可区分内侧副韧带深层与浅层,因而MRI可能更有益于上述III级损伤的评估。根据MRI的表现决定是否进行手术修复,尤其是当存在内侧副韧带深层的挤压性改变时。

 

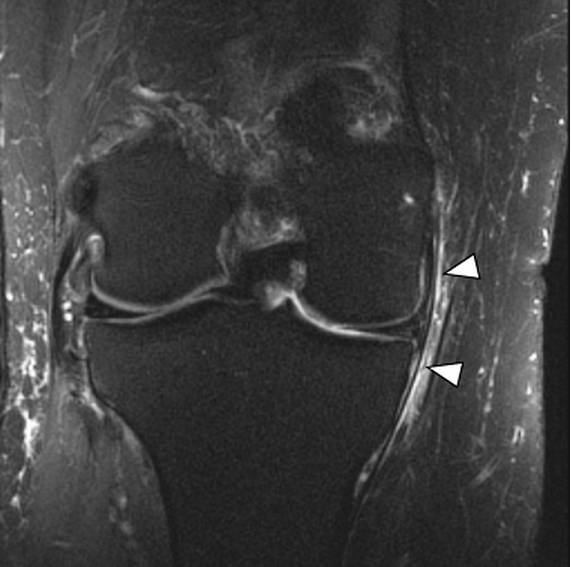
内侧副韧带损伤时MRI的典型表现包括韧带深浅两层间的滑膜囊肿胀、皮下软组织肿胀、内侧副韧带撕裂与周围血肿。韧带纤维的损伤可从单纯的排列紊乱到完全撕裂(图5~图8)。其他MRI表现有关节腔积血、股骨外侧髁或胫骨平台挫伤、半月板损伤、其他韧带损伤、以及股骨内侧髁的部分撕脱骨折(极为少见)。MRI的冠状位图像可很好地观察内侧副韧带及后内侧角。



图5,正常内侧副韧带的MRI图像。各序列低信号“条带”影,“条带”从股骨内侧髁延伸至胫骨平台下约7cm处。



图6,内侧副韧带I级损伤。肉眼观内侧副韧带完整,但仍可见高亮信号覆盖(箭头区域),此为撕裂的韧带纤维所导致的水肿。I级损伤中,水肿只在浅层可见,内侧副韧带粗细正常,紧贴骨皮质。



图7,内侧副韧带II级损伤。韧带部分撕裂,内侧副韧带深层浅层纤维均可见高信号水肿影(箭头所示)。



图8,内侧副韧带III级损伤。内侧副韧带完全横行撕裂,箭头所示位置为正常黑色韧带纤维局部断裂区域,此区域血肿水肿包绕内侧副韧带。韧带纤维撕裂部位不平整。需注意区分高等级的II级撕裂与III级撕裂。

 

滑囊炎、骨关节炎、支持带损伤和内侧半月板囊肿的MRI表现与内侧副韧带损伤类似,注意鉴别。

 

超声检查

一些观察性研究及个案报道认为床旁超声可很好地评估内侧副韧带撕裂,他们根据超声的异常表现及关节间隙打开程度的量化评估确定内侧副韧带的病变区域(图9)。不过关于超声对于内侧副韧带损伤的诊断意义仍需要大量的高证据等级的研究进行论证。



图9,内侧副韧带损伤时的超声影像,内侧副韧带损伤使得膝关节内侧间隙增大。


诊断

根据患者的病史、临床表现、各项检查所见即可做出内侧副韧带损伤的临床诊断。受伤机制多为外力直接作用于膝关节(通常为膝外侧)或运动员在快速变向时鞋子抓地的瞬间;检查表现为内侧副韧带区域的局部压痛及外翻应力试验阳性。可使用超声检查进一步确认诊断,MRI可对内侧副韧带损伤进行明确诊断,但较少使用,一般在严重损伤或怀疑多发伤时考虑进行MRI检查。


鉴别诊断

内侧副韧带损伤的诊断相对比较简单,但是检查者在检查时也应注意其他的潜在损伤,尤其是前交叉韧带的损伤,内侧副韧带严重损伤时伴发前交叉韧带的损伤。膝关节在多韧带损伤时表现为非常严重的肿胀与不稳,若患者就诊的时间较晚(伤后几天或几周),很可能会漏诊其他韧带的损伤。

 

回顾内侧副韧带损伤的机制,同样可引起膝关节后内侧角静态结构、内侧半月板、内侧肌肉及肌肉肌腱相连部位的损伤(股内侧肌、鹅足及半腱肌)。

 

膝关节脱位可引起严重的韧带损伤,这其中就包括内侧副韧带。受伤机制通常为严重创伤(车祸伤或高速运动伤),最后导致关节内出血及膝关节对线异常。需要注意的一点是,膝关节脱位可在体格检查前自发复位,继而影响临床医生的诊断。

 

其他需要与内侧副韧带损伤相鉴别的疾病包括骨关节炎或类风湿性关节炎、膝内侧间室关节炎(外翻应力试验时可表现为“假性松弛”)、髌骨脱位或半脱位、股骨内侧髁或胫骨近端内侧的骨性损伤、软骨剥脱、伸肌系统损伤、腓肠肌近端内侧劳损及腘绳肌远端内侧劳损。

 

在儿童患者中,要考虑其韧带具有相对较大的抗拉强度和骨骺损伤。骨骼系统发育不成熟的患者若表现为膝内侧损伤,在诊断内侧副韧带损伤前要排除骨骺损伤。


未完待续


本文仅代表作者个人观点,不代表骨今中外官方立场。希望大家理性判断,有针对性地应用。


推荐阅读:


觉得不错,请点赞!

友情链接

Copyright © 2023 All Rights Reserved 版权所有 北京物流信息联盟