北京物流信息联盟

下颌骨骨折的非手术治疗——崔念晖主任医师

2021-10-29 16:12:49



test
  颌骨骨折是口腔外科常见外伤类疾病,骨折的治疗可以采用切开复位内固定技术,其优势在于可以在直视下拼对骨折断端,然后再做坚强内固定,治疗过程较为复杂,创伤较大;与其他部位骨折不同,由于有牙齿的存在,颌骨骨折对功能性复位有着更高的要求,单发骨折没有移位,以及无需手术的髁突骨折可以采取保守治疗的方法。


颌间结扎牵引固定



颌间结扎固定


  与肢体长骨骨折治疗一样,颌骨骨折也是从外固定开始。借助牙齿,口腔科医师可以参与到颌骨骨折的治疗中来。自18世纪开始,口腔医师就设计和制作了一些口内外固定装置,先是借助简单牙齿夹板以螺钉等固定在牙齿上,夹板材质有金属、橡胶等,此后包括粘接剂在内,各种材料、技术不断改进逐步提高了固定准确性和稳定性,而直到颌间结扎固定概念的提出,才真正把牙齿作为颌骨骨折功能复位的借力点和参照物。
  临床上的颌间结扎是借助钢丝和牙弓夹板等装置,依据咬合关系,将上下颌牙弓结扎在一起。对于未移位的骨折可采取直接固定的方法;若骨折发生移位,可借助橡皮圈等装置逐步牵引骨折断端复位,再通过结扎丝给予固定(图1)。


不借助牙弓夹板结扎


  常用的不借助牙弓夹板的结扎方法有:单个牙齿的栓结,适用于牙齿情况较好,骨折断端无移位的情况,尤其是牙槽突骨折。小环式栓结,可以将邻近的两颗牙齿栓结在一起,共同负担牵引力,比单个牙齿的栓结适应证广泛,可以适用于轻度移位的颌骨骨折。在此基础上出现的连续水平栓结和连续小环栓结法,进一步增大了受力面积,可以承担更大的牵引力,同时对牙齿也有固定作用,可用在牙齿情况不够好,或者有牙脱位/半脱位的病例。

借助牙弓夹板结扎


  借助牙弓夹板的颌间结扎在临床上应用更为广泛,夹板可以是预成的,也可以是临时弯制的,条件许可时还可以采用个体化牙弓夹板,进一步提高了牵引复位的精确性和舒适度。
  如果骨折发生移位,可以将牙弓夹板从骨折断端处截断,经过牵引后再做固定。

牙齿附属装置固定颌骨骨折


概述


  口腔颌面部外伤时,伴随颌骨骨折常会发生牙齿外伤,比如牙齿的脱位和半脱位等,往往需要对相应的牙齿进行复位和固定,这些方法也同样适用于颌骨骨折,尤其是像牙槽突骨折一类的简单颌骨骨折。


釉质粘合剂固定


  如果骨折周围的牙齿情况较好,可以直接采用釉质粘合剂固定的方法,牙齿复位后,通过酸蚀、树脂粘接将松动的牙齿/骨段予以固定,经过4周左右可以拆除,并根据牙齿的活力情况决定是否做根管治疗(图2)。


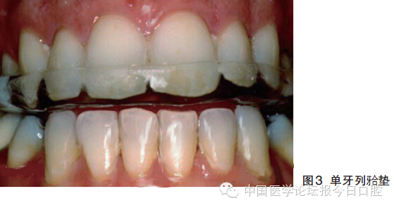
全牙列合垫


  全牙列合垫也是颌骨骨折的治疗方法之一,这种方法类似于正畸后的保持器和隐形矫治技术,对于牙列较为完整的简单骨折较为适用。近年来,全牙列合垫也用于髁突骨折,尤其是在儿童髁突骨折的保守治疗方面,有着很大的应用前景(图3)。


优缺点


  以上这些方法都是直接借助牙齿或栓结或粘接,将骨折断端复位固定,可以较好地恢复咬合关系,达到功能复位的目的。缺点是由于直接固定在牙齿上,对口腔卫生以及牙齿、牙周的健康有不利影响,在临床上经常可以看到各种附属装置上积存大量食物残渣和软垢,患者自己也很难清洁。


种植牵引钉颌间结扎牵引固定


种植钉应用于颌间结扎


  种植钉的应用首先出现在正畸治疗中,在颌面外科领域中,1967年庞特(Dal Pont)在全身麻醉下把一种S形钩植入梨状孔旁以及下颌骨下缘以实现颌间结扎。1981年奥腾(Otten)改进了这种方法,把AO微螺钉植入鼻脊和下颌骨正中联合部,且这些螺钉上加有弹性带或钢丝以便颌间结扎。1989年,阿瑟(Artthur)医师和博拉德(Berardo)医师报告了这种方法在颌间结扎中的应用。

种植钉牵引方法


  我们在临床上选择骨折无移位或移位不明显的病例,在上下颌骨区适当位置植入种植钉4~8枚,通过橡皮圈牵引复位固定。牵引钉植入数量和部位的选择也须遵循一定的原则:
  ①上颌骨、下颌骨体部、下颌支骨折,通常应植入8枚牵引钉,以分散牵引力;
  ②植入部位选在侧切牙和尖牙之间、第二前磨牙和第一磨牙之间,避开重要解剖结构和牙根;
  ③对于髁突骨折,牵引部位尽量靠近前牙区,以纠正髁突骨折造成的前牙开牙合和后牙早接触;
  ④可在侧切牙和尖牙之间植入4枚牵引钉,如力量不足可在中切牙之间再增加一对螺钉。
  牵引固定的时间和常规颌间结扎相同,一般为2~4周。

牵引钉的特点及优势


  经过我们的临床研究,观察到牵引钉引导的颌间结扎技术有如下特点和优势。

有效恢复合关系


  种植钉可以同传统的牙弓夹板一样有效地恢复合关系。

缩短操作时间


  传统牙弓夹板颌间固定的平均操作时间在30分钟以上,而牵引钉植入的平均操作时间约为10分钟。在门诊局部麻醉下就可以完成,也正是因此才将其归入非手术治疗的范畴。

利于维护口腔卫生状况


  牙弓夹板(图4)由于存在暴露于口腔内的带钩和大量钢丝,所以不利于口腔清洗,容易引起菌斑的持续积聚,炎症细胞浸润,从而造成牙周结缔组织破坏和牙槽骨丧失。牵引钉进行颌间结扎(图5)不需要过多的钢丝,清洁较为方便,有利于患者维护口腔卫生,病人的菌斑指数、牙龈指数增高幅度远低于牙弓夹板病例,也未对口腔内环境产生长远的影响,病人术后的口腔卫生保持也较为容易。



患者感觉较舒适


  牵引钉以颌骨为固定源,避免了繁杂的钢丝结扎,对患者口腔黏膜的刺激少,患者感觉较为舒适,利于患者尽早恢复咀嚼功能。病人体重减轻程度也低于牙弓夹板方式的颌间结扎。

适应证较广


  由于种植牵引钉的固定并不依赖牙齿,因而比牙周夹板有着更广阔的适应证。牙弓夹板对开口受限严重、深覆盖、深覆牙合、缺牙较多、牙周炎或有固定长桥修复的患者难以适用,对无牙颌患者则无法应用。但牵引钉可以用于此种类型的颌骨骨折患者。
  单纯上颌骨折、单纯下颌骨折、上下颌骨联合骨折、牙槽骨骨折、髁突骨折,单发骨折、多发骨折,新鲜骨折、陈旧性骨折等均可采用,尤其是对于无牙颌总义齿和缺牙较多的局部义齿患者,可借助原有义齿进行牵引固定,取得较好的效果(图6~8)。


牵引钉的不足之处


牙根损伤


  牙根损伤是最常见的并发症之一,包括牙根划伤、根管穿孔、牙根折断等等。医师应充分考虑个体解剖差异,调整植入位置,减少损伤机会。幸运的是,这类损伤在取出牵引钉后都得到了恢复,未形成长久损害。

牵引钉松动


  牵引钉松动也是种植牵引钉进行颌间结扎时常出现的一个并发症。若出现早期松动,可更换部位重新植入牵引钉,晚期的松动可以直接取出,根据牵引的效果才决定是否继续植入新的牵引钉。造成早期松的的原因通常和患者的依从性有关,过早的开口进食会加快牵引钉的松动,所以每周复查是很重要的步骤。

恒牙胚损伤风险


  目前尚未在儿童中应用这种方法,应慎重考虑恒牙胚的损伤风险。

种植钉牵引的应用前景

  身处颌面外科和牙科学的桥梁位置,口腔外科(牙槽外科)专业医师在颌骨骨折的保守治疗方面有着天然的优势,也承担着主要的治疗工作。种植牵引钉技术作为近年来不断发展的颌间结扎方法,具有可以有效恢复牙合关系、操作时间短、利于口腔卫生维护、适应证较广、钛螺纹钉组织相容性好、患者感觉较舒适以及可减少患者与术者感染等诸多优点,尽管还存在一些并发症,但因其简单、方便,已经越来越多的应用于临床,成为传统牙弓夹板颌间结扎的有效补充和替代方法,具有广阔的应用前景。我们有理由相信,随着种植体牵引钉的颌间结扎中广泛应用,随着临床和基础研究的进一步深人,种植体牵引钉颌间结扎技术将会更成熟、完善,患者将能获得更优质的医疗服务。


作者简介

  崔念晖,北京大学口腔医学院口腔颌面外科主任医师,副教授。1995年毕业于原北京医科大学,获学士、硕士学位。毕业后留校进入口腔颌面外科,长期从事口腔颌面外科专业临床、科研和教学工作。基础科研工作围绕颌骨破坏机制及骨破坏的抑制等方面进行。曾于两次赴日本东京齿科大学研修。2007-2009年获国家自然科学基金项目资助,并有多篇论文发表于包括《临床肿瘤研究》等在内的杂志上。临床工作和研究以牙槽突外科为主,对于各类复杂病例的牙拔除有着较为丰富的经验,并参加相关教材的编写工作。


(转载请注明来自“《中国医学论坛报·今日口腔》第40期03~04版”)

“发现牙医的精彩,满足牙医的需要!”

——《中国医学论坛报·今日口腔》

友情链接

Copyright © 2023 All Rights Reserved 版权所有 北京物流信息联盟