北京物流信息联盟

【血管超声】上肢深静脉血栓那些事

2022-06-06 09:23:06

关于上肢深静脉血栓,大家遇到的病例数量都比较有限,对于诊断后的处理更是一头雾水。我们来看一下医学大咖的专家讲座如何讲述。

2011年新英格兰医学杂志上发表了瑞士伯恩大学医院Nils Kucher博士的临床实践回顾。

指出深静脉血栓(DVT)病例中,有约10%的病例累及到上肢,发病率为0.4-1例/10,000人年。因中心静脉导管、心脏起搏器和除颤器使用的增加,这种病例越来越普遍,腋窝锁骨下静脉也常被累及,继发性比原发性更常见。

(文献标题:Deep-Vein Thrombosis of the Upper Extremities

文献出处:N Engl J Med 2011; 364:861-869;2011.3.3

期刊影响因子:47.050

PMID: 21366477)

文章用表格列出了上肢DVT的发病机制:

原发性(20%病例)包括:静脉性胸廓出口综合征、活动相关性血栓(paget-schroetter syndrome)、先天性。

继发性(80%病例)包括:导管相关血栓(ICVC、起搏器、除颤器)、癌症相关性血栓、臂肩手术或外伤、怀孕、避孕药使用、卵巢多度刺激综合征。

其中静脉性胸廓出口综合征的原发性患者,因肋锁关节的解剖异常反复刺激锁骨下静脉和周围结构,引起炎症、静脉内膜增生和纤维化。

上肢DVT的并发症比下肢少见,包括肺栓塞、12个月时复发和血栓形成后综合症等。在一个前瞻性的512例上肢深静脉血栓的研究中,38%的患有癌症,3个月的死亡率11%,仅有1例死于肺栓塞。

上肢DVT的症状包括上肢不适、疼痛、感觉异常、疲软。水肿、变色及静脉侧支明显等也是典型体征。面部肿胀、头痛、恶心和呼吸急促提示上腔静脉综合症,它通常是由腔静脉肿瘤浸润引起的。

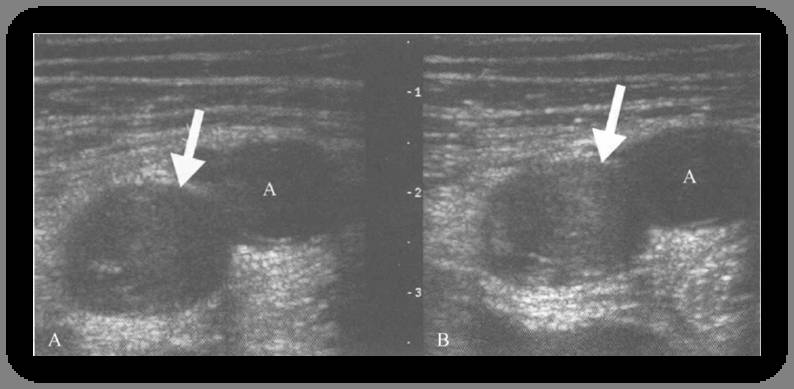
D-二聚体检测筛查上肢DVT疑似病人不被推荐。压迫性超声检查是首选的影像检查,尽管上方的骨性结构常常妨碍近端锁骨下静脉及头臂静脉的观察。在9个研究的回顾中,压迫性超声检查诊断上肢DVT的敏感性97%,特异性96%。如果碰到远端静脉通畅而怀疑近端静脉(锁骨下和头臂静脉)病变时,观察多普勒的频谱形态,包括变异性减低、valsalva动作后血流速度无变化。也有一个研究表明,彩色多普勒和压迫性超声想比较,并不能提高诊断的准确性。下图为压迫示意图和下肢DVT压迫试验的图例。

偶尔也对超声检查不确定的病人,导管定向溶栓术之前的病人,及静脉胸廓出口手术减压前的病人,行常规静脉造影检查。静脉造影检查的不足之处在于造影剂的使用和射线的暴露。CTA和MRA的诊断准确性数据不足。下图的常规数字减影静脉造影术,白箭头指导管的顶端,黑箭头指血栓延伸的远端。

NilsKucher博士引用了2008的指南,对于上肢DVT的管理流程如下:

而指南更新是很快的

2012版(9th Edition of the Antithrombotic Guideline)和2016版(10th Edition of the Antithrombotic Guideline)都已经出来了。推荐有兴趣的读者去关注一下。

Nils Kucher博士从抗凝血治疗、溶栓、人工导管介入、手术几个方面介绍了治疗上肢DVT的方法,治疗的目的是减轻上肢DVT症状,预防血栓发展、早期复发、肺栓塞和血栓形成后综合症。

急性上肢DVT应立即开始抗凝血治疗,例如,每天一次低分子肝素。对伴广泛性肿胀、功能障碍发生早期,及出血并发症低风险病人,应考虑导管定向溶栓术。

人工导管介入(抽吸、粉碎、血栓切除术、球囊血管成形术、支架等)或手术(血栓切除术、静脉成形术、静脉旁路、静脉胸廓出口减压术)只应考虑用于抗凝血治疗或溶栓治疗后持续出现严重DVT迹象的患者,或只在技术和资源充足的条件下考虑使用。

完成急性期治疗后,建议再进行3-6个月的抗凝血治疗,通常可用维生素K拮抗剂,有潜在癌症的病人则用低分子肝素。

另外介绍了分期多学科治疗的经验:有些治疗中心无症状病人或有轻微症状的病人只用抗凝血治疗即可,而对有广泛性肿胀或臂功能损伤的患者通常接受导管定向溶栓联合抗凝血治疗。

由于当前缺少充分的证据来支持血栓预防可以用于中心静脉导管病人,因此也不推荐使用常规药物预防。对于上腔静脉(SVC)的滤器放置也缺少数据支持。一个既往209例的SVC滤器患者回顾中,有4例心包填塞、2例主动脉穿孔、1例复发气胸。所以SVC滤器的置入考虑应用于有抗凝禁忌症的患者,血栓进展或抗凝治疗后的症状性肺栓塞。


更多血管超声系列精彩内容

点击“阅读原文”

友情链接

Copyright © 2023 All Rights Reserved 版权所有 北京物流信息联盟