北京物流信息联盟

【独家】临床观点:RHD的药物治疗、瓣膜修复与团队决策

2022-06-06 08:21:55


编者按

  风湿性心脏病(RHD)已是一个不常提到的话题,目前仍是心血管医生相当棘手的问题之一。对于RHD的管理,如何才能做到位? RHD的药物治疗、瓣膜修复与团队决策有哪些要点?美国UT西南医学中心David Karp教授向我们讲述了他在RHD诊治中积累的临床经验。



  在全球死亡的十大感染原因中,A型链球菌(GAS)可能会导致一系列疾病,包括咽炎、猩红热、产后链球菌中毒性休克综合征。急性风湿热(ARF)是GAS感染的另一个潜在后果,ARF会直接导致RHD。RHD与高死亡率有关,主要发病人群是儿童/青少年和在低收入和中等收入国家的年轻人。RHD已在美国已经几乎消除了,每年每1000名儿童发病仅0.04~0.06例。在一些个别地区和来自某些国家的移民中,RHD的发病率仍然较高。在美国,由于抗生素的普遍使用,风湿性心脏炎的发病率相对较低。此外,除非涉及重度关节炎,我们可能很少遇到这些患者。

  

ARF的鉴别诊断与药物治疗

  当患者出现症状性ARF,则会在诊断过程中被考虑风湿病,并给予进一步治疗。由于患者可有发热、皮疹和多关节炎,我们要考虑ARF的鉴别诊断,患者有此类症状可出现类风湿性关节炎、系统性红斑狼疮和血管炎。如患有严重关节炎,心内科和风湿科医生需合作,在治疗中应用非甾体类抗炎药物,甚至小剂量糖皮质激素的短期治疗,直至此类相关症状缓解。我们一例随访5年多的ARF患者,小剂量类固醇用于初始治疗关节炎后,停用后几年并常规应用抗生素,未再出现皮疹或关节炎发作。

  

瓣膜修复术与团队决策

  虽然,超声心动图筛查算法提高了RHD诊断的准确性,有效的预防性疫苗仍是迫切需要。研究人员已经发现研制ARF疫苗的几种方法,但抗生素和手术仍是当前RHD的标准治疗措施。


  团队合作为风湿性心脏病的治疗提供了最佳方案。正确的分诊和转诊,详细的超声心动图评价,及时的干预,护理方案及患者和家庭教育,专业程序,可靠的随访和定期复查等需要一个多学科小组的支持。团队成员包括护理团队、心内科专家、影像学专家、介入心脏病专家和心脏外科专家。在这个综合管理的水平上,正确的患者在正确的时间始终得到正确的治疗。


  RHD患者的手术决策是复杂的,病变瓣膜的手术修复需要一定的经验和专业知识。风湿性瓣膜病变的修复是最困难瓣膜修复,病变组织趋于纤维化和瘢痕。瓣膜修复可以使患者免于长期抗凝,并降低与人工瓣膜有关的血栓栓塞的风险。此外,外科手术修复使妊娠安全,患者能够持续参与体育运动,并且避免了二尖瓣人工瓣膜发生的突然衰竭。症状、年龄、狭窄的严重程度、瓣膜的解剖特点、共患心脏疾病,手术后的治疗和手术风险由团队讨论并决定进行干预的最终建议。

  

RHD治疗的新看点

  RHD是世界上最容易被忽视但是易于预防的儿童疾病之一,及时得到正确的治疗非常重要。正确诊断GAS咽部感染和抗生素的短期治疗,将预防和控制绝大多数RHD。我们在医疗基础设施、教育中的投资正在增加,发展中国家相关资源也在完善之中。对于那些预防感染为时已晚的患者,瓣膜修复技术继续提供益处。


  经皮瓣膜置换术的改进为不能外科瓣膜手术的患者带来新选择。在长期抗凝有困难的患者群体,新设计的机械瓣膜可以允许较低水平的抗凝。此外,正在研发中的新型口服抗凝药将会使得机械瓣膜患者的抗凝治疗更安全、管理更方便。

  

一个瓣膜修复的典型病例

  位于加利福尼亚州的旧金山湾区有比较多的移民人口,每个月通常会遇到几例RHD患者。这例患者是一位3个孩子的母亲,由于风湿性瓣膜病未得到治疗,近期出现进行性心力衰竭衰竭,不能再外出工作。此前,为了养家她同时做着两份工作。在手术之前,最轻微的体力活动都会出现喘息,她再也无法工作,照顾家庭和孩子也已经不可能。


  患者的主动脉瓣和二尖瓣受到严重损害,三尖瓣也受到累及。我们进行主动脉瓣和二尖瓣瓣膜置换并修复了三尖瓣。手术后,患者住院一个星期出院,在不到2个月后回到了的工作岗位。后来患者告诉我,她从未记得身体状况感觉像现在这样好。



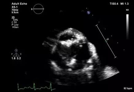
图1 短轴切面显示,主动脉小叶边缘增厚阻碍了主动脉瓣正常开闭


图2 四腔切面显示,二尖瓣重度增厚特征


(来源:《国际循环》编辑部)





  版权属《国际循环》所有。欢迎个人转发分享。其他任何媒体、网站如需转载或引用本网版权所有之内容须在醒目位置处注明“转自《国际循环》”




Copyright © 2023 All Rights Reserved 版权所有 北京物流信息联盟