北京物流信息联盟

当心包填塞邂逅超声造影..(心超时间第20期)

2021-07-17 08:10:13





作者:梁志尧 张源祥

单位:广东东莞康华医院


心脏介入手术术中最常见的并发症就是心包积液、心包填塞,出血来源的判断对于心包积液的后期处理十分重要,本例介绍了室性早搏射频术中出现心包积液、心包填塞,心包积液穿刺引流后,心脏超声造影显示了心脏破口的精确位置,值得同行们借鉴。


病例回顾


患者10余年前于活动后出现胸闷、伴有气短,头晕,当时未予以在意,期间上述症状反复发作。


 20天前患者上述症状再发,遂于当地医院就诊,查心脏彩超示左房增大,三尖瓣中重度返流、主动脉瓣及二尖瓣轻度返流,二尖瓣口血流频谱E/A<1,轻度肺动脉高压,考虑1、冠心病 频发室性早搏 心功能II级,2、高血压3级很高危组,口服药物治疗效果一般。

4小时前患者感上述症状再发,持续时间约数分钟,服用救心丹可缓解,遂来我院急诊,急诊行心电图示频发室早二联律,左前分支阻滞,QT间期延长,血压160/70mmHg,以确诊频发性室性早搏(二联律、三联律、成对)于2017年8月29日行心内电生理检查+射频消融术。

  术中,患者感不适,血压下降,透视心脏跳动减弱,考虑心包积液。给予强心升压药物,补液,同时立即在X线下剑突下心包穿刺,成功心包引流,2小时量总共400毫升血性液体。


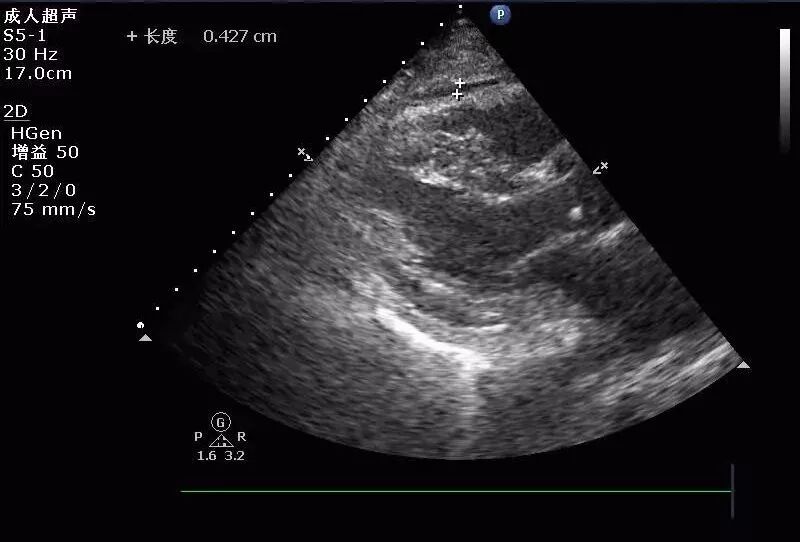
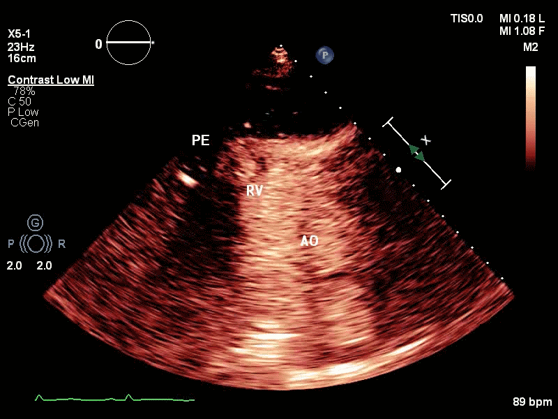
(图1)


(图2)


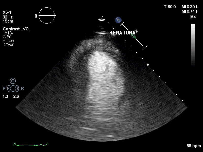
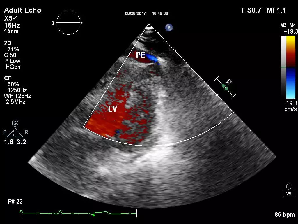
图1和图2 :术中行心包积液彩超可见:心包腔内见液性暗区:右房顶部  20mm,右室前壁最多时25 mm,右室侧壁旁15 mm。提示:心包积液(中大量)。


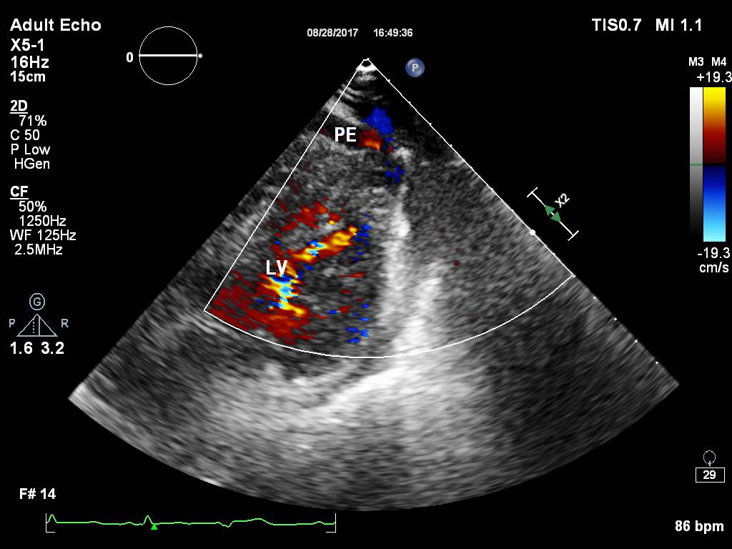
(图3)


(图4)


图3和图4: 彩色多普勒:心包腔可见可疑的较明亮彩色信号。


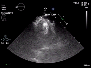
(视频1)


视频1:左室心尖可见团块状低回声,疑似血肿。

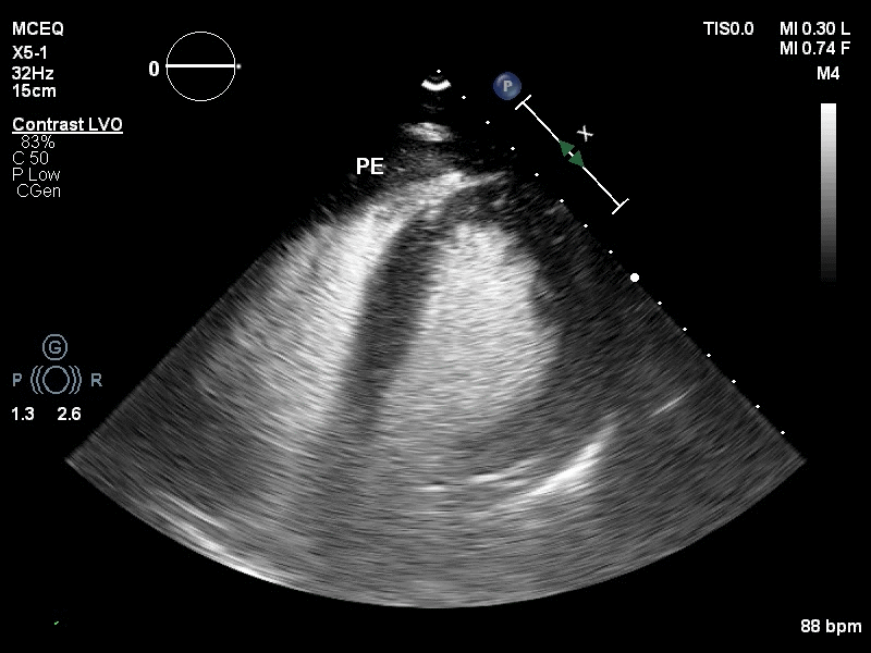
为进一步明确诊断,行床旁心脏超声造影,可见Contrast-LVO模式下,可见心包腔内可见由左室心尖缓慢飘出的点状造影剂声像。

(视频2)


(视频3)


视频2 -3 : Contrast-Low MI模式下,心包腔内亦可见少量的造影剂回声。


视频4


视频4 :心尖外心包腔处可见一团块状低回声区,边界尚清,内部未见明显的造影剂回声。


(视频5)


(视频6)


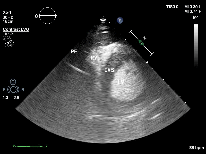
视频5-6 :心脏超声造影提示:右室流出道与左室心尖间外壁血肿形成。中大量心包积液。

请心脏外科会诊,病情相对稳定暂不需外科手术。患者生命体征稳定,复查心包积液较前减少,病情相对稳定,转入CCU,重症监护,加强抗感染及对症治疗,次日(2017年8月30日),患者血流运力学稳定,无发热、气促,无心前区不适,转出普通病房继续予心包持续引流,控制血压、营养心肌及对症支持等治疗。


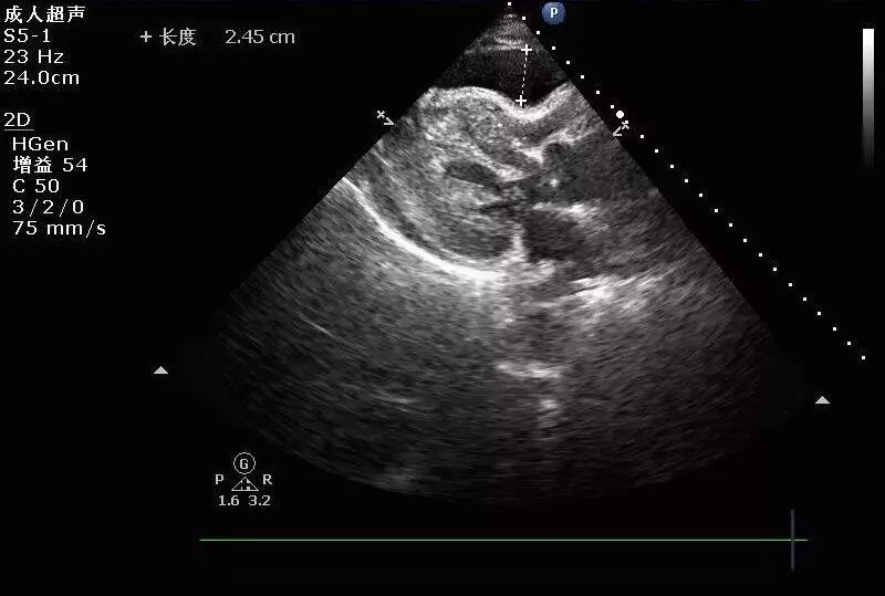
(图5)


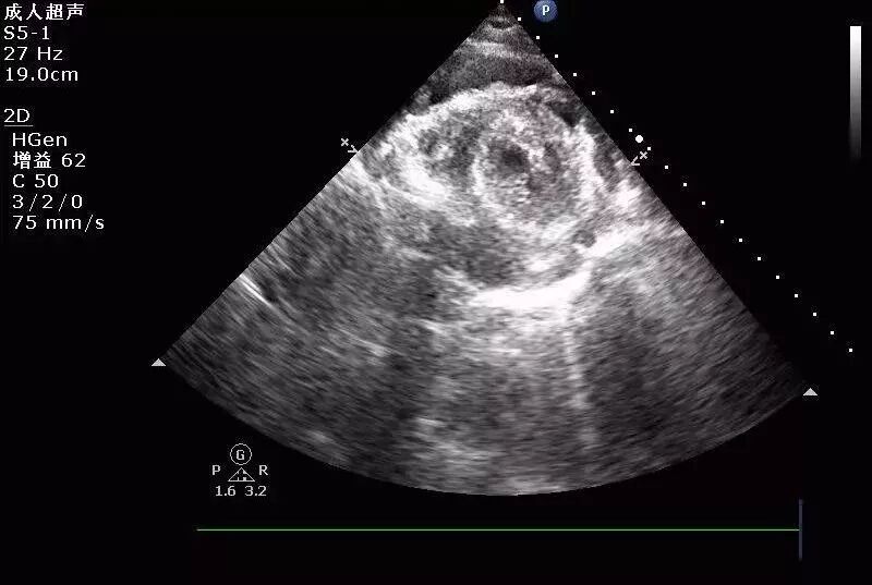
图5: 2017年8月30日复查经胸超声心动图提示:左室靠近心尖处血肿形成。少量心包积液。左室靠近心尖处外壁可见一低回声包块,大小约40mmx21mm,边界尚清。


(图6)


图6 :心包腔见液性暗区,右室前壁4mm,左室后壁5mm。

2017年9月1日及9月3日复查经胸心脏彩超均提示少量心包积液。患者精神、胃纳、睡眠可,无特殊不适,大小便正常。查体:T 36.5℃,P 68次/分,Bp 121/73mmHg,于2017年9月4日带药出院。2017年9月6日及9月13日患者我院门诊复查心包积液彩超均可见少量心包积液。


(图7)


(图8)


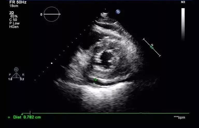
图7-8  2017年9月6日超声图像


(图9)


(图10)


 图9-10  2017年9月13日超声图像


相关知识


心包压塞的治疗:

心包穿刺引流是解除心脏压塞最简单有效的手段,对所有血流动力学不稳定的急性心脏压塞,均应紧急行心包穿刺或外科心包开窗引流,解除心脏压塞。对伴休克患者,需扩容治疗,可增加右心房及左心室舒张末期压力。对于血流动力学稳定的心包积液患者,应设法明确病因,针对原发病进行治疗同时应注意血流动力学情况,必要时心包减压并将引流液送实验室检查。



心包压塞的超声心动图特征
1
右心房收缩期塌陷:右心房游离壁为柔软菲薄的结构,心包内压大于右心房收缩压(心房压曲线的最低点)时,可出现右心房游离壁塌陷。右心房游离壁塌陷持续时间大于1/3收缩期诊断心脏压塞的敏感性为94%,特异性为100%。观察右心房收缩期塌陷的最佳切面为心尖四腔心切面,需要仔细地逐帧分析二维切面或M型曲线。
2
右心室舒张期塌陷:心包内压大于右心室舒张压及右心室游离壁厚度和顺应性正常时,可出现右心室舒张期塌陷。胸骨旁长轴和剑下切面为观察右心室舒张期塌陷的理想切面。M型超声心动图记录右心室壁曲线有助于右心室壁运动的时相分析。右心室舒张期塌陷诊断心脏压塞的敏感性为60%-90%,特异性为85%-100%。
3
心室腔大小的呼吸相改变:心脏压塞时心腔内血流变化随呼吸相改变显著,心室腔大小也随之改变。心脏压塞时增大的心包压限制了双侧心室的扩张,吸气时静脉回流增加右心室增大,而增大的右心室通过室间隔压迫左心室导致左心室腔减少;而呼气时左心室血流增加,左心室增大,相应右心室腔血流减少,室腔变少。依据心脏压塞时心腔内血流动力学呼吸相的特征性变化,多普勒超声心动图可敏感地检测到心脏压塞时的多普勒参数改变。正常人三尖瓣血流吸气时轻度增加(<17%)、二尖瓣血流吸气时稍为减少(<10%)。心脏压塞时,左侧和右侧心腔内血流流速呼吸相改变显著,吸气时二尖瓣E峰较呼气时约下降40%(40%±10%);吸气时,三尖瓣E峰较呼气时分别约增加,85%(85%±53%)。左心室流出道血流、右心室流出道血流亦有相似的多普勒超声心动图改变。


病例思考:

 心包压塞是指心包腔内压力异常增加造成心室充盈受损,大量心包积液缓慢增加或少量心包积液急性产生都可以导致心包压塞。此病例为急性心包压塞,有急性心包压塞Beck三联征中的动脉血压下降及心脏“小而安静”(术中静脉压不详)。

虽然患者的临床表现符合心包压塞,且超声心动图发现的中大量心包积液可以帮助肯定心包压塞的存在,且二维超声心动图观察到了可疑为血肿的低回声区,甚至用彩色多普勒就可以观察到心包腔内暗淡的红蓝色血流信号,但由于彩色多普勒的伪像多,彩色溢出现象常见,故为了进一步明确心包压塞的病因,选择进行心脏超声造影。


其考虑到的优势如下:


  第一,心脏超声造影的造影剂十分安全。禁忌症包括:过敏者、右向左分流的心脏病患者、重度肺高压患者(肺动脉压>90mmHg)、未得到控制的原发性高血压患者、成人呼吸窘迫综合征患者。

  第二,相对于CT及MRI,术中床旁的心脏超声造影十分简便快捷,且无医源性电离辐射,利用已经建立的静脉通道,静脉推注造影剂,即刻就可以获得图像,完成多切面观察所需的时间十分短暂,避免了过多地占用抢救时间。


X线:只有心包积液>250ml才可出现心影增大,正常轮廓消失,呈烧瓶状,故胸片正常或无变化并不能排除有血流动力学意义的心包积液。

CT:优于UCG,敏感性高。

MRI:能清晰显示心包积液的位置、范围、容量,并可推测性质,除外心包肿瘤。

ECG:除低电压外,电交替也为大量心包积液和心脏压塞的特征性ECG表现。


第三,即便无法找到其心脏破口,但只要发现造影剂显影于心包腔内,就可以明确存在心腔到心包的通道,且可以根据心包腔内造影剂的浓度及流动速度,初步估计破口的出血速度和出血量,从而决定下一步的抢救措施。


左心室假性室壁瘤、游离壁破裂和心梗后室间隔缺损可造成病人生命危险。这些疾病通过常规超声心动图有可能被检测到。但多数情况下,如解剖和/或位置关系以及临床条件限制(仰卧位和重症病房气管插管)等,不能获得满意图像将使诊断困难。此时造影增强对确定或排除这些诊断至关重要。大量多中心、双盲、对照研究证实UCA用于LVO提高了在静息、运动或药物负荷状态下超声心动图定性和定量评价左心室结构和功能的可行性、准确性、重复性。已有研究表明超声造影剂已经有效地应用于急诊科、ICU、介入心脏病房、手术室的超声心动图检查。超声心动图实验室合理有效使用超声造影剂,将优化检查程序,提高最终的临床诊断和治疗成本效益,并可能进一步改善心血管疾病患者的治疗效果。


小结

心脏超声造影对于心脏介入导致的心包积液、心包填塞破口的定位:安全,快捷,有效


参考文献:

(1)《内科学》人民卫生出版社

(2)《现代超声心动图》张贵灿

(3)《超声诊断临床备忘录》人民军医出版社

(4)《中国心血管超声造影增强检查专家共识》中华医学会超声分会




往期回顾:

产前超声诊断胎儿三尖瓣缺如病例(心超时间第19期)

室壁运动之“退避三舍”(心超时间第18期)

病人是老师,如何写好病例报道(心超时间17期)

不一样的心痛(心超时间第16期)


更多精彩内容,点击阅读原文!


友情链接

Copyright © 2023 All Rights Reserved 版权所有 北京物流信息联盟