北京物流信息联盟

可以作为艺术作品欣赏的CT三维重建技术.

2020-11-26 10:37:15


什么是CT三维重建技术简而言之就是通过螺旋CT自带的计算机软件,对扫描获得的数据进行后处理,以达到辅助医生对病变和周围组织,及其与血管的关系进行分析和显示的目的,它极大地提高了影像诊断的直观性,准确性和科学性。

螺旋CT扫描数据采集示意图病人在检查床上匀速进入CT机架,扫描采集数据分布在一个连续的螺旋形空间内,得到的数据是三维的,通过计算机处理可以任意方向或者平面进行重建。


CT三维重建主要有六种基本后处理方法:

1.多层面重建(MPR)

2.最大/最小密度投影(MIP/MinP)

3.表面阴影遮盖(SSD)

4.容积重现技术(VRT)

5.曲面重建(CPR)

6.虚拟内镜技术(VE)



一、口腔颌面部VRT骨重建

全容积VRT重建可多方位显示骨骼全貌,了解颞颌关节、下颌管、牙槽骨等结构及邻近颌面骨、软组织、大血管等其他重要结构情况。

CPR曲面重建可整体显示牙槽骨全景图像,直观显示骨质结构及与周围重要结构间的关系。


二、下颌骨肿瘤CT三维骨重建

全容积VRT重建可观察肿瘤全貌,了解颌骨来源肿瘤部位、形态、大小;了解骨质破坏的类型、性质、程度、边界及骨膜反应等情况;了解肿瘤与周围结构如牙齿、下颌骨、牙槽骨、软组织、大血管间关系;了解有无异常供血动脉,为颌骨肿瘤的定位、定性诊断及选择治疗方案等提供依据。


以上两个作品对于不学医的朋友来说相当恐怖吧,通过计算机后处理技术把头部软组织去除后,剩下的头骨就是俗称的“骷髅头”了,医生们就是根据上面的CT重建信息来观察解剖结构和病灶及其周围情况的。


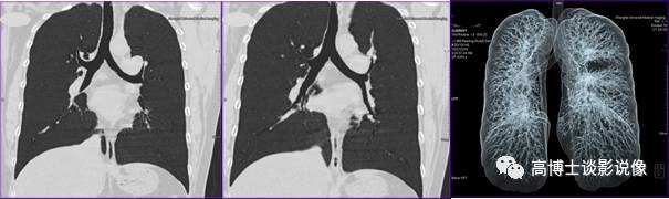
三、肺气道重建

双侧斜冠状位MinP(最小密度投影)显示气道情况。使用VRT虚拟成像整体显示气道情况(密实或透明化)。了解气道有无狭窄以及狭窄的位置、程度、范围、原因等,能无创性评价气道的狭窄,尤其适用于支气管纤维镜不能通过者;了解气道的顺应性等功能情况及气道狭窄周围肺组织的情况;气道狭窄支架置入术后,了解支架的通畅情况。


四、肺结节VRT重建

对于肺磨玻璃密度结节,VR重建直观显示结节形态、大小及结节内结构情况,结节的详细数据便于以后随访过程中发现细微动态变化情况。


五、肝脏肿瘤血管CTA术前评估

动脉期进行MIP重建,显示肝脏肿瘤的供血动脉特点、供血类型,显示有无动静脉瘘形成。采用去骨的VR图像,显示肝动脉及肠系膜上动脉的整体解剖形态,显示有无解剖变异及其类型。


六、肾肿瘤血管术前评估

MIP重建显示肾脏肿瘤的供血类型、供血动脉、肿瘤血管团及有无动静脉瘘形成,显示动脉血管有无侵犯,显示肾静脉、下腔静脉内有无癌栓形成。去骨VR整体、直观显示双肾动脉整体解剖和变异血管起源、数目、走行等,判断其变异类型,显示有无异常血管团及狭窄、中断。为外科手术方案的制订、预防术中并发症及预测肿瘤的可切除率方面提供依据。


七、冠状动脉支架评估

冠状动脉VR图像立体、直观地显示冠状动脉的各分支、支架的形态。CPR重建显示支架腔内的情况,根据支架内的充盈程度和支架远端的开放程度来判断支架有无再狭窄及狭窄的程度。此例显示:左前降支近段、中段支架植入术后,管腔尚通畅,两支架间及中段支架远端开口处钙化斑块,管腔轻-中度狭窄。


八、头颅血管CTA

头颅血管VR全容积重建,整体显示脑血管情况。薄层MIP及CPR显示动脉狭窄段的位置、形态,评估狭窄程度;评估血管斑块的性质及稳定性,了解有无继发血栓、侧枝循环建立等情况;为血管狭窄支架置入术后判断支架形态及通畅情况。此例显示:左侧颈内动脉近颈总动脉分叉处软斑形成伴局部管腔明显狭窄,左侧颈内动脉全程较右侧颈内动脉纤细。


九、双下肢血管VRT重建

下肢血管VR重建可整体、直观的显示下肢血管的解剖结构及有无变异情况。


十、CT尿路造影VRT重建

CPR重建整体、全程显示输尿管结石及梗阻情况。去骨或非去骨VR重建,整体、直观显示整个泌尿系的轮廓、大体形态及梗阻情况,初步判断肾脏功能情况,同时整体显示全腹部动脉的走行、形态及有无异常。此例显示:右输尿管末端膀胱入口处结石伴右肾盂、右输尿管全程积水扩张,右肾显影功能延迟。


以上图像均在上海全景医学影像中心扫描完成,并由李笑笑医师后处理重建。


如果您对此话题感兴趣,欢迎留言。 

长按下方二维码关注本公众号高博士谈影说像”后可获取更多科普知识,欢迎转发

 声明:欢迎转载,须署名并注明来自“高博士谈影说像”微信,以上病例图片所有权归属于上海全景医学影像诊断中心。


影像医学与核医学博士,副主任医师

全景医学影像总部医学科研中心主任

PET/MR医疗主任

上海市中西医结合学会影像分会核医学分会委员

上海市社会医疗机构协会影像专业委员会委员

擅长胸、腹部肿瘤的早期诊断,较为擅长中枢神经系统病变的影像诊断

审核PET/CT报告3万例,审核PET/MR报告2000余例

第一和通讯作者发表学术论文20余篇,其中SCI收录3篇

参编《消化系统影像学》,《头颈部影像学-眼科卷》,《呼吸系统介入放射学》

以第1负责人获上海市卫计委科研基金面上项目一项


友情链接

Copyright © 2023 All Rights Reserved 版权所有 北京物流信息联盟