北京物流信息联盟

30年,每天3包烟!他抽到心脏骤停!为了抢救,医生连“新式武器”都用上了…

2022-05-06 07:53:39



“快,电击!”

“不行,还是室颤!再来一次!”

……

在义乌市中心医院抢救室里,突然传出急促的声音。67岁龚先生因为心脏骤停,正挣扎在生死边缘……




龚先生是“资深烟民”,30年来,每天3包,几乎不间断。以前还有高血压病史。不久前,龚先生突然胸口疼痛,还伴有胸闷,当时还以为自己中暑了,就服了点正气丸。可是,胸痛不但没有缓解,还有所加重。在妻子陪同下,紧急到我院急诊就诊。


刚到急诊室,医生还没问完病史,龚先生就出现脸色苍白,伴全身大汗不止,查心电图过程中出现神志不清。这时,龚先生老婆还在排队,根本不知道丈夫病得这么重。


“大爷,快醒醒!”

突然昏迷的龚先生开始四肢抽搐,出现呼吸心跳骤停。急诊科医生马上给他电击除颤,并予气管插管等对症治疗。经过连续的电击除颤,龚先生心律仍为室颤,急诊医生并不放弃,继续电击除颤,偶有几次恢复,但不到几秒,又再次室颤,连续除了19次,龚先生终于心律恢复。

经心电图检查提示:龚先生有心肌梗死,且范围广泛。

病因找到了,急诊科马上联系导管室,心内科主任季宁宁也赶来了,诊察了病人,与患者家属沟通并得到同意后,马上行介入治疗。


龚先生被一路护送到导管室,在冠脉造影及放支架过程中,他再次出现频繁的室颤,再次接受多次电击除颤。介入治疗过程中发现:龚先生动脉出现钙化而且扭曲,造影管到位困难,技艺高超的手术团队小心翼翼地操作,最终克服困难,冠脉造影结果出来了——患者心脏一根血管狭窄已经完全堵塞,其它血管造影显示也存在严重狭窄。同时置入支架后,所有的血管终于通畅了!

就在此刻,龚先生突然又出现血压下降的情况,被立即转送到重症医学科(ICU)继续抢救治疗!

龚先生的症状,显然是发生血流动力学障碍,合并心源性休克,还有继发多个脏器打击,出现脏器功能不全。就像汽车的发动机,性能大大下降,不但跑起来十分困难,还随时面临熄火。

ICU医生说,“当时他的乳酸高达6.1mmol/L(毫摩尔每升),乳酸这么高,好比一间房子着火了,再不治疗,整间房子就会烧掉。


经过抢救团队对症治疗,龚先生的血压慢慢回升,尿量也多起来,乳酸指标有所下降。“在心脏状况这么差的情况下,那怕多一点液体,都有可能成为压死骆驼的最后一根稻草,患者的心脏会承受不了。”值班医生王俊峰运用重症超声这一新型武器,在心脏超声监测下给予精确输液,同时采取其它抗休克措施。经过10个小时的治疗,龚先生乳酸水平终于恢复正常,而且在十多个小时内没有再出现室颤,病情恢复出现良好兆头。


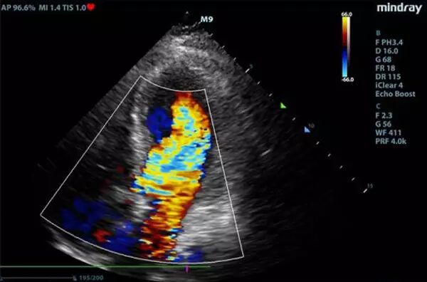
重症超声技术

传统方式下,危重病人是否发生气胸、胸水、肺水肿等,需将病人搬运至放射科做CT等影像学检查,即使床旁X线检查,也要经历拍片、洗片、读片、签发报告等环节。而重症超声因其直观、快捷、准确等特点,可直观报告病情和病因,减少了数据分析的时间,增加了临床判断的准确性,拉近了医生与病因及病情判断的距离,因而被形象地比喻为“看得见的听诊器”。

同时,由于危重病患者多半存在血流动力学不稳定,且可能进行持续机械通气或血液净化治疗,不适宜搬动,这给危重病患者的进一步明确诊断和治疗带来诸多不便。床边超声检查作为一种无创、可重复的检查技术,尤其对于心脏功能、 液体反应性等血流动力学评估作用越来越重要,为重症病人的治疗调整提供及时、准确的指导。



气管插管时,患者不能说话、不能吐痰,非常痛苦。ICU医生拟定最佳镇静镇痛方案,让龚先生清醒的同时,将痛苦等不适感降到最低,同时能与家人眼神沟通。护士们则不断给他吸痰,用安抚的语言鼓励龚先生,减少他的焦虑。


龚先生住院期间,由斯小水主任带领的ICU医护团队紧密合作,帮助龚先生克服了一个又一个困难。到了第四天,由于心脏功能不断恢复,顺利停用血管活性药物。

可是,由于长时间插管,龚先生继发肺部感染,ICU何建新副主任给予合适抗感染治疗,护士天使们不辞辛劳喂药、吸痰、翻身拍背……渐渐地,患者肺部感染控制,同时避免了恶性心律失常,多脏器功能衰竭等致命并发症。

经过多番磨难,第八天,龚先生顺利拔掉气管插管,脱离危险后转到普通病房。


医生提示


心血管事件在我国发病率不断攀升,而心肌梗死并发心源性休克是最凶险疾病,心肌梗死时多表现胸痛,但糖尿病患者可无胸痛表现,出现胸痛时千万不能掉以轻心,及时到医院行心电图等检查排除心血管疾病,一旦诊断心脏血管堵塞,早期行介入治疗可以挽救大量存活心肌,可以防止心功能不断恶化,大大提高抢救成功率及减少医疗费用;另外像龚先生一样,平时无糖尿病,无明显其它疾病,因为烟龄长,数量多,也是导致心肌梗死最重要原因,避免长期熬夜,让心脏更安心。让我们呵护健康,从心做起!


义乌市中心医院

重症医学科

义乌市中心医院重症医学科创建于1990年,是浙江省最早建立的重症监护病房之一。也是义乌市重点学科、市重症医学质控中心挂靠单位。

科室核定床位14张,设备齐全,每年成功救治危重患者达1000余人次,抢救成功率90%。在急慢性呼吸衰竭、心力衰竭、多脏器功能不全、心肺脑复苏、ARDS(急性呼吸窘迫综合征)、各种休克、急性中毒、严重多发创伤等方面抢救成功率高,尤其在ARDS、创伤性休克、脓毒性休克、急性中毒、营养代谢支持、血液净化及呼吸力学、血流动力学监测、氧供与氧耗的应用等方面有较高的造诣,部分项目达到省內先进水平。近年来完成课题研究5项,其中获金华市科技进步二等奖一项、义乌市科技进步二等奖一项。

“凝聚产生力量,团结诞生希望”是我们的精神!

“用我们的不懈努力,创造更多生命奇迹”是我们的目标!

一年365天,一天24小时,我们时时刻刻状态在线,为您的身体健康和生命安全保驾护航!




撰稿:ICU  王俊峰

编辑:黄万峰

主编:骆群英


友情链接

Copyright © 2023 All Rights Reserved 版权所有 北京物流信息联盟