北京物流信息联盟

下胫腓联合韧带损伤:复位标准|足踝圆桌005

2021-09-29 13:09:01

各位工友,大家好!今天足踝工坊有幸请到上海复旦大学附属华山医院王旭主任为大家带来关于下胫腓联合损伤的复位标准的讲解。



概      述

下胫腓联合韧带损伤


下胫腓联合韧带损伤占所有踝关节骨折的13%


临床研究显示,下胫腓联合韧带复位的准确性是获得良好临床结果的重要因素



Leeds与Ehrlich:

  • 下胫腓联合的复位情况与术后主观、客观评分、关节稳定性、关节炎的发生率相关

Weening与Bhandari:

  • 下胫腓联合复位作为踝关节骨折术后功能评定指标



X片复位标准

正位片

  • TFCS<5mm

  • TFO>5mm


踝穴位片

  • TFCS<5mm

  • TFO>1mm


下胫腓间隙增加(TFCS)是其中最有效指标

  • 投射角度外旋5o至内旋25oTFCS均无明显变化----适合诊断





复位后与健侧对比可显著提高复位准确率

  • 健侧

  • 患侧



CT复位标准

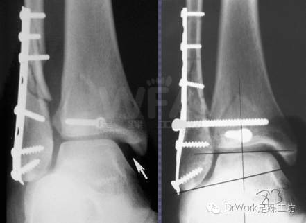
该患者正位片、踝穴位均正常

  • TFCS:5mm

  • TFO:10mm

  • 胫距角:81o

  • 内踝间隙:2mm

但CT显示相对于健侧下胫腓存在分离


CT平扫片上建立坐标系(如图A、B线)

  • 测量远端腓骨至B线最近距离(AP)

  • 测量远端腓骨至A线最近距离(ML)

  • 二维平面上综合反映远端腓骨移位情况

  • 更为全面,研究中已逐步应用



体格检查

外旋应力试验


术中Hook试验

  • 目前最佳诊断方法

  • 矢状面移位较冠状位移位更显著

  • 100N左右外力较合适

  • 过大未提高准确率

  • TFCS>5mm即可诊断不稳



小      结
  • 传统影像学指标诊断准确率较低

  • CT可以提高诊断准确率

  • 术中外旋应力、Hook试验诊断价值较高

  • 术中复位后正位片、侧位片与健侧对比


王旭主任近年来着重于足踝外科生物力学与临床研究,曾获得“上海市自然科学基金”、“国家自然科学基金”等多项科研基金资助。曾于Mayo Clinic做访问学者。获得“2012年AOFAS Travelling Fellowship Awards”,近5年来,于国内外发表包括SCI文章在内的论著共计40余篇。



本期责任编辑:小嘉

友情链接

Copyright © 2023 All Rights Reserved 版权所有 北京物流信息联盟