北京物流信息联盟

#北一正畸#正畸与功能障碍

2021-11-26 16:57:36


有颞下颌关节(TMJ)问题的患者

正畸与功能障碍

¤¤正畸与功能问题的关系是很多研究的焦点。以“malocclusion”和“TMD”(temporomandibulardysfunction)作为关键词在PubMed检索到1664篇文献,以orthodonticsand TMD作为关键词检索到1253篇文献。但搜索随机对照试验则减少到65篇。反映出大部分文献是病例报告,而一些疑问仍未得到解答。错牙合会导致颅颌功能紊乱(craniomandibular disorder)吗?正畸治疗在颅颌功能紊乱的治疗中发挥作用吗?换句话说,TMD可以被看作正畸治疗的指征吗?

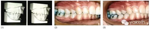
¤¤一些学者认为颅颌功能紊乱与错密切相关,而另一些学者坚称错牙合对TMD的风险没有影响。形态牙合与功能牙合的区别是对这种分歧的一个解释。图15.1的患者是安氏Ⅰ类牙合关系,主诉是肌肉疼痛和紧张性头痛。当该患者戴用平面咬合板时,她的牙合关系从中性牙合变为远中牙合。显然她存在双重牙合,同时肌电检查显示接位的肌电活动强度要显著高于该患者被要求咬紧牙时的肌电强度。在这两个颌位拍摄的X线片证实当该患者咬合于安氏Ⅰ类牙尖交错位时,她的髁突发生了前下移位,而当她试图建立后退接触位时,髁突回到关节窝正中。我们通常在最大牙尖交错位对患者进行观测和记录,但该颌位不一定代表一个与功能牙合相协调的颌位,这可能是评价牙合与TMD相关性时的一个混杂因素。


图15.1 (1)两个不同颌位的研究模型。左侧的模型显示的是患者被要求将牙齿咬合在一起时,自发咬合形成的牙合,右侧模型显示的是患者戴用平面咬合板一段时间后建立的后退接触位的咬合。(2,3)相同情况下的临床表现。

¤¤上面的例子仅阐述了可能导致关于“错牙合与口腔功能关系”的争议的众多方法性问题中的一个。由于功能的偏差可能与牙列的退化相关,因此应该要求TMD成人患者描述他们的TMD发展过程。这也适用于口腔功能的所有方面,例如功能异常和夜磨牙。

¤¤尽管对于牙合与TMD的关系存在争议,但学者们普遍认同某些错牙合类型的患者更容易出现发音不准,例如深覆盖,后牙反牙合和前牙开牙合。发音不准可以由正畸医师或语音治疗师主观评价,或者使用电子原声分析仪进行客观评价。对于被确诊为发音不准的病例,除非形态允许功能正常发挥,否则单纯的语音训练很难奏效。对于患者的咀嚼能力既可以通过问诊和患者的主诉进行主观评价,也可以要求患者咀嚼标准的测试物进行客观评价。对吞咽过程中唇的活动以及吞咽时是否存在牙合接触可以进行临床评价。荧光电影摄制法被用于描述舌的运动并分析该运动如何与形态相适应。

¤¤由于对牙合的精细检查可能会影响记录TMD症状和体征时的准确性,应该在对牙合进行分析之前,先分析下颌运动,并对肌肉进行触诊检查。触诊检查的肌肉通常包括颞肌、咬肌、二腹肌、翼内肌和翼外肌。对下颌运动可以进行临床评价或使用下颌运动轨迹描记仪进行记录。应该记录开口运动轨迹是否对称而平滑,或不对称和不规则,并注意任何弹响和杂音。如果有弹响,应该注意弹响是否出现在开口和闭口过程中的同一位置点。开口过程中的弹响可能表示存在关节盘前移位,当关节盘复位,盘髁关系恢复时弹响出现,闭口过程中髁突又从关节盘滑脱,弹响再次出现(可复性关节盘前移位)。因此弹响并不发生在开闭口过程中的同一位置。如果患者的弹响出现在开口和闭口过程中的同一位置点,极有可能是关节盘与颞下颌关节窝的关节结节存在粘连。

¤¤还应该记录侧方运动和前伸运动的范围。尤其是前伸运动受限可能代表关节盘不可复性前移位。在中线不齐的患者中,开口时中线不齐既可能加重也可能减轻(图15.2)。那些骨性偏牙合的患者开口时偏斜会加重,下颌会偏向较短或相对发育不足的一侧。而如果开口到最大时中线居中,代表下颌在咬合力作用下可以以两种不同的方式完成闭口运动:以对称的闭合轨迹开始,直到建立最初的牙合接触,然后发生偏移建立最大牙尖交错牙合;或者以平滑的运动轨迹闭口至中线不齐的位置。第一种情况下,来自于早接触的传入冲动持续存在,中线不齐最有可能通过去除早接触得以纠正。后一种情况下,神经肌肉模式已经适应了错牙合,建立新的下颌位置之前应该先使用平面咬合板去除来源于牙合的副交感神经的传入冲动。许多学者都强调了正畸诊断时确定髁突位置的重要性。


图15.2 (1)正常开口运动,上下中线协调。(2)开口受限,下颌向左侧偏斜。

2016年9月--北京《北一正畸实战零基础班》招生简章

2016-08-31 

  写在前面的话:北一正畸培训班最大的特点是学习结束后老师持续跟踪指导学员完成三例正畸病例。根据报名的学生反馈想学习的内容进行了调整。北一口腔平台任何课程都可以根据学员的需求进行精准个性化讲授。敬请期待,欢迎提供更多宝贵意见。

主办单位:北京北一科技发展有限公司


时间:2016年9月6日-2016年9月8日

培训地址:北京市北五环立水桥立汤路181号院

本科课程内容:

  1. 病例设计-头影测量及模型分析

  2. 理想病例选择

  3. Angle’s I类错牙合病例设计分析

  4. Angle’sI I类错牙合病例设计分析

  5. Angle’s III类错牙合病例设计分析

  6. 拔牙不拔牙矫治设计

  7. Damon系统矫治程序:弓丝及牵引应用要点

  8. 精细调整及结束标准

  9. 正畸结束后保持及复发预防

  10. 风险控制

  11. 隐形矫治优势及病例分析

实战训练:

  1. 头影测量实战

  2. 模型分析实战

  3. Angle’s IIIIII类错牙合病例设计分析

  4. 拔牙不拔牙矫治设计

  5. 病例讨论

实战操作:

  1. 弓丝应用及技巧

  2. 口腔正畸摄影

公司简介:

       北一种植培训班两年的深入发展,已经完成了三十八期的《种植规范化培训学习班》;八期《微创舒适拔牙规范指南学习班》;五期《正畸矫治入门实战零基础学习班》;四期《口腔管理与营销技巧提高班》;四期《牙周高级实用手术技巧学习班》。学员遍布全国各地。培训班以北京、上海、广州为中心向全国各地辐射,开展到新疆伊犁、成都、重庆、苏州、桂林、南宁、长沙、佛山、太原等地,通过大量学员调研、应广大学员的需求,为帮助口腔同行能规范、掌握《正畸规范化诊疗技术》。北一科技发展有限公司领导层决定秉承北一种植联盟一贯“化理论为理念,一切从实战出发”的教学方法,组织更系统、更规范的《正畸规范化治疗学习班》。聘请原瑞泰口腔医院正畸科副主任、现任劲松口腔医院正畸院长刘鹤婷老师采用互动式教课,面对面沟通,手把手实操,现场演练。学员模型演练。使学员快速熟练掌握正畸学各种技能。以及牙科经营理念和接诊沟通等。为倡导中国先进口腔技术向基层推广,同时帮助基层口腔医生规范化治疗,发扬一路一带精神。

报名条件及方式:

1、培训对象:口腔门诊医生,全科医生,骨干、正畸爱好者。

2.培训目的通过讲课、操作示范和操作培训,使学员掌握口腔正畸技术。

3.名额有限,先抢先得!限额30名。

4.报名学习后北一正畸老师可长期线上指导,或线下到店指导。

联系人:刘老师

全国报名咨询电话:400-886-2629

邮箱:by9899@126.com

移动电话:18612562928

汇款须知:

1.学费:4800元/人/期,交通食宿费用自理;2016年7月15日前享受4600元优惠价格,可协助联系住宿宾馆。

2.汇款时请注明“姓名”及“北一正畸班”可通过银行汇款至:

户名:北京北一科技发展有限公司

账号:11001021200053009404

开户行:中国建设银行北京北三环支行营业部

个人账户:

户名:刘恩艳

卡号:6216610100012723942

开户行:中国银行北京天通苑支行

3.报名交费后,退费须在开班前两周提出,过后恕不办理,敬请谅解。

回执

姓名

性别

职务

工作单位

电话

通讯地址

E-MAIL

邮编

缴费方式:汇款视为报名有效,如现场报道缴费则以剩余名额及报道顺序为准,汇款附言栏请注明“正畸会及姓名”,请妥善保存汇款回执用于开去发票。

北一种植2106年8月-9月最新课程安排(全国招生电话:400-886-2629)

时间

地点

课程

讲师

2016824-26

北京

北一种植中级实战班

王明

2016829-30

北京

北一牙周培训实战班

段怡然

2016906-08

北京

北一正畸零基础实战班

刘鹤婷

2016909-10

北京

北一微创拔牙实战班

王明

2016928-30

上海

北一种植零基础班

王明


全国报名电话:400-886-2629

讲师团队:



刘鹤婷

劲松口腔医院正畸院长

主诊项目:

专业口腔正畸医师

个人履历:

主治医师

  专业口腔正畸医师

  国内知名口腔医学院口腔正畸学专业硕士

  中华口腔医学会(CSA)会员

  中国口腔正畸学会(COS)会员

  美国隐适美Invisalign隐形矫治认证医生

  时代天使隐形矫治授权医生擅长隐形矫治

  国内首批接受隐形矫治专业培训

  获得隐形矫治认证资格

  并积极参加国内外隐形矫治会议研讨班,在隐形矫治方面积累了丰富经验。

温馨提示:

本次培训地址:

    北京市北五环立水桥立汤路181号院卢卡新天地6号楼2单元306室(地铁五号线立水桥站B2出口往北200米即到,龙德广场西侧)

会议地图:


附近酒店:汉庭酒店龙德广场店 预订电话:010-84998800

往届精彩剪影

北一正畸老师培训后免费在线辅导学员设计正畸方案。



分享方式:点击右上角“...”分享到朋友圈

关注方式:

官方网站:www.bycbct.com

微信订阅号:北京北一

王明老师微信号:drwm010

二微码


友情链接

Copyright © 2023 All Rights Reserved 版权所有 北京物流信息联盟