2022-02-15 08:17:54
Dirk M. Elston, MD, ErikJ. Stratman, MD, and Stanley J. Miller, MD
Charleston, SouthCarolina; Marshfield, Wisconsin; and Baltimore, Maryland
误诊可能起因于活体组织检查部位选择、技术或者培养基的选择。重要的潜在错误来源包括因不恰当的部位选择导致的直接免疫荧光检查的假阴性结果、基于部位选择和技术的无意义活检组织及以活体组织检查为基础的色素沉着性病变和非黑素瘤细胞性皮肤癌的错误解释。2期继续医学教育文章的Ⅰ部分介绍了在诊断疱病、血管炎、脂膜炎、结缔组织疾病、药疹、移植物抗宿主病、烫伤样皮肤综合征、毛发及肿瘤性疾病时部位选择和活体组织检查技术的常见隐患。理解这些潜在隐患能够提高诊断率和病人预后。
关键词:基底细胞癌;大疱性疾病;结缔组织疾病和卟啉病;皮肤T细胞淋巴瘤;隆突性皮肤纤维瘤;毛发性疾病;恶性黑色素瘤;肿瘤;脂膜炎;原发性皮肤B细胞淋巴瘤;鳞状细胞癌;S-J综合症(SJS或史蒂文斯-约翰逊综合征);中毒性表皮坏死松解症;血管炎。
前言
获得一份皮肤活检标本是皮肤科医生最常见和重要程序之一,活检标本的组织病理检查是医学领域中最具信息量和最经济有效的检验方法-然而,仍没有课时设置用于传授这个重要的检查手段。许多教科书描述了皮肤活检技术的外科方面,因此,那将不是本文的关注重点。而我们将介绍能够影响病人预后的重要的实践差距,着重于介绍怀疑特定疾病时行皮肤活体组织检查存在的相关潜在误区。部位选择和活检技术对某些临床疾病的诊断具有有深远影响,这些疾病包括大疱性疾病、血管炎、脂膜炎、系统性疾病如红斑狼疮(LE)、皮肌炎(DM)、药物副反应、S-J综合征(SJS)、中毒性表皮坏死松解症(TEN)、葡萄球菌性烫伤样皮肤综合征(SSSS)、毛发疾病和肿瘤性疾病(表格Ⅰ)。
重要的实践差距包括不恰当的部位选择导致的直接免疫荧光检查(DIF)结果呈假阴性,脱发及血管炎的活检标本诊断率降低及不恰当的技术导致在(在删除)解释色素沉着性疾病和非黑素瘤细胞性皮肤癌时存在局限性。
大疱性疾病
关键点
l 对于诊断类天疱疮,直接免疫荧光法敏感性优于间接免疫荧光法及酶联免疫吸附试验
l 躯干非疱性皮损或皮损周围皮肤取材更适于类天疱疮的诊断
l 短时福尔马林固定可导致类天疱疮的假阴性结果,而对其他大疱性疾病没有影响
l 48 h内送达实验室作直接免疫荧光检查,生理盐水优于液氮、Michel保存液和Zeus保存液
l 拔取的生长期毛发可以用于证明天疱疮患者直接免疫荧光检查的诊断结果
自身免疫性大疱性疾病的确诊依赖于临床病理的相关性和有关循环中的自身抗体及他们在皮肤或粘膜组织的沉积形式的支持研究。诊断大疱性类天疱疮(BP),DIF比间接免疫荧光检查(IIF)或酶联免疫吸附试验(ELISA)更加敏感1。在常用的试验方法中,DIF敏感性最高(90.8%),其次为IIF(76%)和ELISA试验(从BP230 59%到BP180 73%)。7.8%的BP患者BP180 在ELISA试验中结果呈假阴性,这是因为抗原映射于NC16A结构域外的区域2。然而,这三种试验方法的特异性几乎为100%,DIF的假阳性结果,作为一重要的隐患,与大疱性疥疮相关,特别是在疗养院的老年人群中。
另外,活检部位的选择影响活检标本的产量。对免疫性大疱性疾病,DIF的活检标本应取自患者的非大疱性皮损或大疱1 cm以内的正常皮肤(图1)3,4。大疱性皮肤和远离大疱的正常皮肤都与假阴性结果的较高发生率相关。当存在假阴性结果的风险可能较高时,下肢皮肤应避免取材5,6。如有可能,标本尽量取自腰部以上,一些专家建议取材应选自四肢以上的躯干部。需要指出的是,有关活检部位选择的大部分数据均来自BP患者。
光学显微镜的标本应尽可能(的删除)选有完整的水疱或大疱。如果存在小水疱,最好取一个完整的皮损。对于较大的皮损,标本应取自水疱的边缘,并应包含水疱部分和完整的皮肤,这样水疱的边缘和炎症浸润才能观察清楚。钻取活组织标本对小水疱和皮损周围皮肤效果好,因为这种方法能够评估整个表皮和真皮的厚度。刮取活组织标本可深达网状真皮层,可用于获取较大的完整大疱。用于光学显微镜检查的标本应放于福尔马林液中保存。用于DIF 检测的组织标本不能放入福尔马林液中保存,而应放于Michel或Zeus保存液中7,8。一些免疫皮肤学实验室用生理盐水浸透的纱布转运标本,生理盐水溶液保存与提高诊断率相关。标本接收的标准改变,皮肤科医生应该重新回顾实验室正在使用的标准(表Ⅱ)。规定新鲜标本应该在实验室工作时间内接收-在获取标本的6小时以内更好-或标本应该用液氮急速冰冻并用干冰转运。虽然某些实验室警告不能用生理盐水浸泡样本,然而一些数据表明生理盐水更优于作为DIF检测所用样本的转移液。在一次最近的研究中,用25个样本比较3种转移液,用生理盐水浸泡24小时后92%可作出诊断,48小时后为83%,液氮冻存后为68%,Michel保存液保存48小时候为62%9。用生理盐水转运的标本,其背景免疫荧光减弱,特异性免疫荧光加强。盐裂IIF技术适用于生理盐水、Michel或Zeus保存液转运的标本。
如果临床医生或助理无意中将用于DIF检测的标本放于福尔马林液中浸泡,这种情况下,应立即取出标本,用生理盐水清洗。证据表明短时福尔马林液浸泡对天疱疮可产生假阴性结果,但是对沉积在真表皮交界处的疾病而言则无影响10。免疫组织化学法(IHC)的免疫反应物可用福尔马林液固定,石蜡包埋组织,但是这些免疫标记不能广泛应用,个人实验室必须试验验证以确定其对DIF试验的敏感性和特异性。依据作者经验,当IHC替代DIF时,其敏感性明显减弱,该试验仅有当不能获取做DIF的单独标本时才应用。
粗细不均的生长期毛发的根鞘可呈现阳性免疫荧光,特别是BP背景下,可证明诊断恰当11。这个技术中,生长期毛发拔取自头皮。毛囊球部之上存在凝胶状毛囊鞘,为合格的标本。对粘膜部的DIF活检标本取材,邻近糜烂的组织易碎,组织标本应取自3至5毫米外正常外观的粘膜。对于IIF研究,猴子食管组织作为底物要优于人类皮肤组织,但是两种底物同时应用可获得最大诊断率12。
对于遗传性大疱性表皮松解症(EB)的诊断,免疫荧光法或免疫组织化学法可用于定位裂隙的水平。如果不能定位分裂的水平,可通过透射电子显微镜或者突变分析确定诊断。对于电子显微镜技术,标本应放于2.5%的戊二醛溶液(用0.1 M的二甲胂酸钠缓冲戊二醛,pH7.4)4℃储存,室温下快速转运,如果室温高于37℃,则用冰块包裹后转运。
大部分情况下,使用胶原蛋白Ⅳ和角蛋白14的抗体可以很好的定位。专业实验室可使用靶向EB特定期蛋白的特异性单克隆抗体。营养不良性大疱性表皮松解症研究会(DebRA)国际网站(www.debra-international.org)。活检部位的选择特别关键,因为12小时以上的水疱特点为表皮坏死、蛋白水解酶降解抗原、表皮再植,可导致裂开面的错误评估。在无临床累及但邻近患者常发水疱处的皮肤上可诱发出新鲜的水疱。掌跖部应尽量避免,因为这些区域皮肤较厚,诱发水疱和鉴别裂隙部位更加困难。表面麻醉剂(例如2.5%利多卡因和2.5%丙胺卡因涂抹)应当避免使用,因为他们可能诱发人为水疱,尤其是表皮内。注射麻醉剂是首选。各种方法已被用于诱发水疱,包括棉签、橡皮檫或戴手套的手指。向下稳压于皮肤,向各个方向扭转180°,直到红斑形成。对于皮肤轻度脆弱的患者,摩擦2分钟内即可诱发出水疱。诱发出红斑后至少间隔5分钟,以形成显微镜下可辨认的水疱后再活检取材标本。活检标本应包括红斑的边缘和非红斑性皮肤,以便裂隙清晰可见。作为替代方案,儿童在预约诊疗获取活检标本之前可尝试能否诱发典型水疱。对于皮肤极其脆弱的患者,钻取活组织检查本身的扭转运动足以诱发诊断所需的裂隙。
血管炎
关键点
l 活检标本应包含毛细血管后微静脉和深丛,特别对于感染性、类风湿和抗中性粒细胞胞浆抗体相关的血管炎,他们更倾向于累及较深部血管
l 为了获取最高的诊断率,用于苏木紫-伊红染色的活检标本应取自(已删除)(确定)为紫癜样的皮损(如>72 h皮损)
l 对于直接免疫荧光法,取自急性期皮损(<24 h)的活检标本可获取最高诊断率
l 免疫球蛋白A血管炎在形成的皮损中常保持直接免疫荧光阳性
l 因多普勒定位的应用颞动脉炎的活检率增加,可获取2 cm大小的节段
活检标本有助于从非血管性疾病中辨别出血管炎及不同类型的皮肤血管炎鉴别。在免疫球蛋白A(IgA)诱发的血管炎的背景下,DIF研究特别有用。<24 h的新发皮损更易体现出免疫反应物,与其他免疫球蛋白相比,IgA更易停留在形成皮损的血管里-虽然一些数据表明在大量标本中IgM可能持续存在(至长达)7天13。IgA沉积的存在与具有胃肠道、肾脏和关节临床表现的过敏性紫癜的诊断相关14。纤维蛋白渗漏可存在于任何血管损伤,是一种非常普遍但非特异性的发现。在光学显微镜下,(同时存在整个进化病变的“蓝字删掉”充分发展的皮损)活检标本更有可能得到白细胞碎裂性血管炎的诊断特点。<24 h新发的(进化病变的活检标本进展性标本活检)有可能发现伴有核碎裂的中性粒细胞浸润,但少有血管壁增厚或纤维素沉积。感染性血管炎常见特征为纤维蛋白栓塞、内皮细胞坏死和累及更深层的小动脉。后两种特征与类风湿和抗中性粒细胞胞浆抗体相关(的删除)血管炎的特点相同。其他类型的血管炎更可能仅影响留有完整内皮细胞层的毛细血管后微静脉15。48 h(候)后,白细胞碎裂性血管炎的炎症浸润开始从中性粒细胞浸润渐转变为淋巴细胞和巨噬细胞,但是核碎裂和纤维蛋白仍处于扩展期16。
一个(发育良好改为充分发育)的紫癜病变(例如24 h至1周之间)对苏木紫-伊红染色所需的标本来说通常已经足够,我们更喜欢选择72 h左右的病变。。对于网状青斑的患者,,这里最易发现闭塞的血管。当存在溃疡时,活检标本应取自溃疡的后缘而不是溃疡本身,因为任何溃疡基底都只是非特异性血管炎。如果血管炎累及大的粘膜血管应予怀疑,应再做一深切取材多层面活检。理想状态下,颞动脉活检应至少取材2 cm,因为<0.7 cm的标本可能不利于诊断17。动脉多普勒定位有助于活检的实施。
脂膜炎
关键点
l 深部切口活组织检查提供最高的检出率
l 电动旋转打孔或者使用双打孔技术均可选择,特别是易出血体质的患者,选择较小活检标本更有益。
l 明胶海绵止血法有助于易出血体质的患者
l 最小面积为6 mm的孔洞标本可分为培养和苏木紫-伊红染色
l 当试图分离真菌和抗酸杆菌时,培养的标本应切成小方块而不是整个面
皮肤科医生是娴熟的外科医生,适于开展深切活组织活检,而脂膜炎确诊需要典型深切活检18。外科手术的耐受性一般良好,但是仍需考虑存在的潜在风险。这些潜在风险包括疤痕、感染和伤口愈合不良。在病史和体格检查均指向高概率的单一诊断的情况下,活组织检查并不是患者的最佳选择。例如,发于儿童的无其他症状或体征的经典的结节性红斑最可能与之前链球菌感染相关,获取活检标本并不可能改变治疗手段。脂性硬皮病是另一种不需获取活检标本即可确定诊断的疾病。当需要活检时,在活检实施前,应将血瘀对伤口愈合延迟的影响作为知情同意书的一部分与患者讨论。相反,硬红斑、胰源性脂膜炎、感染性脂膜炎或皮下脂膜炎样T细胞淋巴瘤等疾病需要组织病理确定,这对患者选取恰当的治疗方案尤为重要。深层切口活组织检查尤为重要,因为钻取活组织检查标本在炎症脂肪层通常破裂,遗留具有诊断作用的标本于伤口底。对于挑剔的患者,包括那些具有出血体质者,“电动打孔”(图2)能够克服这个困难,以小的伤口生成具有诊断价值的活检标本。然后应用明胶海绵进行止血(Pfizer,New York, NY)并轻度按压。电动打孔曾经普遍用于获取毛发移植物,许多皮肤科却将此设备束之高阁。假如发动机耗尽,可将长金属钻放到塑料袋中,附加到可变速的达美电摩,依照标准的血液预防措施处理。电钻快速的环形转矩可产生一个完整的圆柱状脂肪组织,甚至包括患者的小叶状坏死。这个技术的主要缺点为标本的直径仅有4 mm,病理学家不能评估整个结构和脂膜炎的炎症模式。在获取完整的坏死脂肪组织非常困难的情况下,通过组织培养和对组织病理学检查的完善准备仍旧可能作出正确的诊断19。
结缔组织疾病和卟啉症
要点
l 钻孔活组织检查标本直径应≥4 mm
l 与免疫性大疱性疾病相比,直接免疫荧光法检测病变周围皮肤对大部分结缔组织疾病患者没有价值,因为免疫沉积只发生在病变皮肤。而存在于具有肾脏疾病风险且为活动性系统性狼疮(的)患者的日光照射无异常的正常皮肤上的狼疮带是一例外。这个试验已被双链DNA抗体检测替代,双链DNA抗体检同样能够鉴别诊断
l 对于慢性皮肤性红斑狼(苍疮),取自已形成但仍具有活动性的病变(>6个月)的钻取活组织检查标本对苏木紫-伊红染色切片和直接免疫荧光可提供最高的收益
l 卟啉症通常与表浅血管的透明样变有关,具有IgM和补体3的强免疫荧光
慢性皮肤狼疮的诊断需要识别致密的角化过度、毛囊角栓、界面性皮炎、基底膜带增厚、真皮粘蛋白(赠增)生、累及纤维束的柱状淋巴样浸润、累及浅层及深层血管丛的结节样淋巴样浸润、浸润外分泌腺或伴随纤维蛋白小叶样脂肪坏死的皮下结节样淋巴浆细胞性聚集。总之,主要诊断变化可能存在于角质层至深部皮下脂肪组织的的任何地方。具有这些特征的具有诊断价值的理想标本应为直径≥4 mm,利用钻取活组织检查法获取且深达皮下脂肪层;然而,狼疮性脂膜炎的诊断需要深的切口活组织检查。皮肌炎常产生更加表浅的萎缩性皮肤病变,刮取活检已经足够找到具有诊断价值的发现。
与免疫性大疱性疾病相比,病变周围皮肤的DIF对结缔组织疾病患者没有价值。免疫沉积存在于慢性皮肤型红斑狼疮的病变皮肤,在>6个月(图3)是已确定的病变中最多见。系统性红斑狼疮中,检测日光照射无异常的正常皮肤的狼疮带试验已被双链DNA抗体检测替代,双链DNA抗体检测能识别出具有肾脏疾病风险的同样人群。
然而,数据表明日光暴露部位皮肤行免疫荧光检查,仅有约三分之一的亚急性皮肤型红斑狼疮(SCLE)患者的结果为阳性,其他组发现较高的发生率(患者的86%)。相反,一些数据表明在少量的SCLE患者里发现有具有特征性的荧光尘灰样颗粒20。在病变已确定的盘状或肥厚性红斑狼疮患者中,其大多数的DIF结果为阳性,在肥厚性红斑狼疮的苔藓样病变中,DIF是辨别出肥厚性扁平苔藓唯一最好的试验方法。
硬斑病的淡紫色炎症边界揭示了特征性结节样淋巴浆细胞性聚集并累及浅表和深层血管丛。为了能够展现这些特点,深部钻取或切口活组织检查的样本延伸至皮下脂肪层。硬斑病充分发展期病变在钻孔活组织检查标本中表现为真皮纤维化透明样变性,胶原束间彼此挤得很紧,附件周围脂肪组织缺失。这与大部分钻孔活组织检查标本的锥形外观形成鲜明对比。正如炎症性硬斑病,深部钻取或切口活组织检查标本是展现这(下些)特征的最理想选择。浅表或萎缩性硬斑病的诊断有时建立在更浅表的钻取或蝶形切口的刮取活组织检查标本的基础之上,特别是在CD34树突状细胞在真皮层中缺失的情况下21,22。甚至在浅表性硬斑病,活检标本应至少包含网状真皮层的上半部分。
迟发型皮肤卟啉症的诊断需要临床上存在瘢痕形成、粟丘疹及日光暴晒部位的多毛症。使用作蝶形切口刮取的技术获取包含完整大疱的活检标本,诊断特点表现为毛虫小体样(正如夹在表皮层间残存的基底膜带)、表皮下裂隙、真皮、浅表真皮血管透明样变及日光性弹性纤维变性。相似的皮肤改变可见于斑驳病和粪卟啉病。红细胞生成性原卟啉病特点为更加广泛的血管透明样变性,并不伴有日光性弹力纤维变性。具有血管透明样变性的卟啉症的所有类型中,DIF揭示血管中存在IgM、补体3和纤维素强荧光。钻取或作蝶形切口刮取的活组织检查标本应至少包含真皮层的上三分之一,这样才能展示这些特点。运送培养基的选择与自身免疫性大疱性疾病相同。
STEVENS-JOHNSON综合征,中毒性表皮坏死松解症与葡萄球菌性烫伤样皮肤综合征
内容提要
l 活检标本必须包括全层的表皮。
l 如果鉴别诊断包括固定性药疹,活检标本必须包括浅表与深在的血管网。
l 所有陈旧性水疱的顶部都会转变为坏死并模拟多形红斑或中毒性表皮松解坏死症的全皮层坏死,因此取皮损时首选新鲜的水疱。
STEVENS-JOHNSON综合征(SJS)、中毒性表皮坏死松解症(TEN)都有较高的发病率与死亡率,它们的早期诊断离不开临床与病理的联系。组织学特征包括角质形成细胞的卫星灶样坏死并逐渐进展至全皮层的坏死。这两种疾病都是急性发病,进展迅速,角质层仍然保留正常的网篮状。少量的血管周围淋巴细胞的浸润是特征性的表现之一,但是固定性药疹的一些特征很少出现,包括真皮的纤维化, 表皮与真皮的嗜酸性粒细胞的多形性浸润及血管周围的噬黑素细胞。对于出现SJS、TEN临床表现的患者,急性期水疱或松弛皮肤的顶部的病理检查可足够明确诊断,但是当鉴别诊断包括固定性药疹时,活检标本必须包括皮下脂肪从而可以检测浅表及深在的血管网。任何原因导致的陈旧性大疱都会表现为皮肤的坏死,并可模拟SJS或TEN,因此在任何可能的情况下早期的水疱都是进行病理检查的首选。
葡萄球菌性烫伤样皮肤综合征(SSSS)在颗粒层与棘层之间可产生一个裂隙,它在病理检查中可以在表皮中间看到。在大部分的患者中,松弛脱皮的皮损处的病理检查即可足够用于诊断。这种情况常特征性地出现于儿童,因为其缺乏消除毒素的能力。有肾功能衰竭的成年人也可以发展为这种疾病,其主要的病理学鉴别诊断为落叶型天疱疮。这两种情况在常规的组织病理学中基本相似,但可通过直接免疫荧光(DIF)、间接免疫荧光(IIF)或酶联免疫吸附试验(ELISA)进行鉴别。似乎所有可以用来运输类天疱疮的媒介都可以用来运输天疱疮。两者最大的区别是即使短期将活检标本浸入福尔马林中,便可将天疱疮的荧光去除,因此活检标本应避免不充分的福尔马林浸泡并且需要重新取材。
当怀疑SSSS时,应该从皮损的感染最重的部位取材进行细菌培养。完整的大疱是无菌的,但是皮肤表面不完整的部位易于出现细菌的继发感染。落叶性天疱疮的皮损在1到2天后易于出现继发的菌落定植,因此慢性期皮损的培养对于鉴别诊断意义不大。
毛发疾病
内容提要
l 经常需要多于一个部位的取材来明确诊断。
l 对于各种类型的脱发,取材尽量避免选择在进展性的边缘,因为已经形成的皮损有更高的诊断价值。
l 钻孔取材的皮损大小应直径不小于4 mm。
l 钻孔时应与毛发的生长角度一致,避免横切毛囊。
l 不同种族人群的毛发密度已经有充分的研究,因此用于对照的正常头皮的活检标本价值较小。
l 横断面的切片对于区分不同类型的脱发及休止期脱发有更高的诊断价值。
l 连续的纵切面对于其他类型的脱发如瘢痕性脱发提供了更高的诊断价值。
l 纵切面与横切面的联合检查诊断价值最高。
l 对于狼疮皮损的直接免疫荧光检查,尽量选择已经形成但仍在活动期的皮损(6个月左右)。
为了达到最大的诊断价值,头皮的活检标本应选择在充分形成的皮损处,直径4 mm左右,尽量选择已经形成几个月且仍在活动期的皮损(图4)。对于狼疮皮损的直接免疫荧光检查,皮损应至少出现6个月。当活动期皮损不能诊断时,瘢痕部位皮损的弹性纤维染色或偏振光显微镜检查可能会对诊断有帮助23-26。慢性的皮肤型狼疮可产生大面积的瘢痕,而扁平苔藓与毛囊炎性脱发会产生毛囊漏斗部的局限性楔形的瘢痕。 (离心性瘢痕性脱发的主要类型)的主要特征是残留粗大的纤维束及周围真皮的收缩与厚层卷曲的弹性纤维。只要在染色过程中不需要过多的伊红染色,HE染色在荧光显微镜下可以表现出弹性组织的模式,而不依赖特殊染色。偏振光显微镜下观察,纤维束并不表现为双折光,与真皮胶原不同。,但敏感性相对较低27。
毛发检验与共聚焦显微镜可通过找到更高的取材部位来增加诊断的敏感性,使得皮肤科医师可以准确定位活动性皮损28-30。钻孔取材进入头皮的角度应该与毛发生长的角度一致,避免将毛囊横切。明胶海绵可有效地用于止血,并且明胶海绵止血后的病理取材处的皮损外观明显比缝合处的外观好。
在对瘢痕性脱发的活检中,进行两处的取材可以提高诊断率31,32。其中一个标本纵形切开,其中一半用于免疫荧光染色,另外一半浸泡于福尔马林中。另一个标本可同样放于福尔马林中,或进行横形切开,从真皮与皮下交界处上方1 mm处切开。如果标本已经切开,需要为这三份已经切开的标本贴上标签,并放在三个单独的标本盒内,切缘向下。这种方法的优势在于在得到纵切与横切的标本的同时不增加额外消费,因为仅一次的病理检查便可同时得到3份同一组织的标本。
通常的实验室检查仅收到一处的标本。当鉴别诊断局限于雄激素依赖性脱发于休止性脱发时,纵切的标本有更高的诊断价值,并有助于快速评估生长期、退化期及静止期毛囊的比例,终毛与(亳毳)毛的比例33,34。对于大部分其他类型的脱发,包括各种类型的瘢痕性脱发,纵切面比横切面有更高的诊断率35-38。连续切片可以提高诊断率39。可以使用多种技术来从一个标本得到纵切面、横切面。HoVert法包括先横切标本,而后纵切标本上方1 mm的部分。这种方法可以更有效地观察毛囊漏斗部——扁平苔藓累及毛囊的部位40。Tyler法是指将标本纵切,之后将一半的标本横切。这两个半切的标本包埋时面对面,切缘向下。这种方法可使纵切面紧贴横切面。在连续切片中,一半的横切面朝向皮下脂肪,另外一半的连续切片朝向表皮(图5)41。应该注意当是,在慢性休止期脱发的情况下需要多于一个部位的取材,避免误诊42。
肿瘤
内容提要
l 刮削活检的方法取到的标本无法有效地反应皮下的浸润模式及神经周围的浸润。
l (当)大面积当刮削取材常产生皮损周围的红斑,可能会使肿瘤的边界不清楚,肿瘤的外观也会比原始尺寸偏大。
l 刮除术极少用于肿瘤生长模式的评估。
l 环钻取材对于肿瘤生长模式的评估更有效,但可能并不适合全身性皮损。
l 进行刮削取材后,遇到形状不规则的肿瘤团块、富含纤维的基质或硬化的基质说明有更深的组织浸润模式。
基底细胞癌/鳞状细胞癌
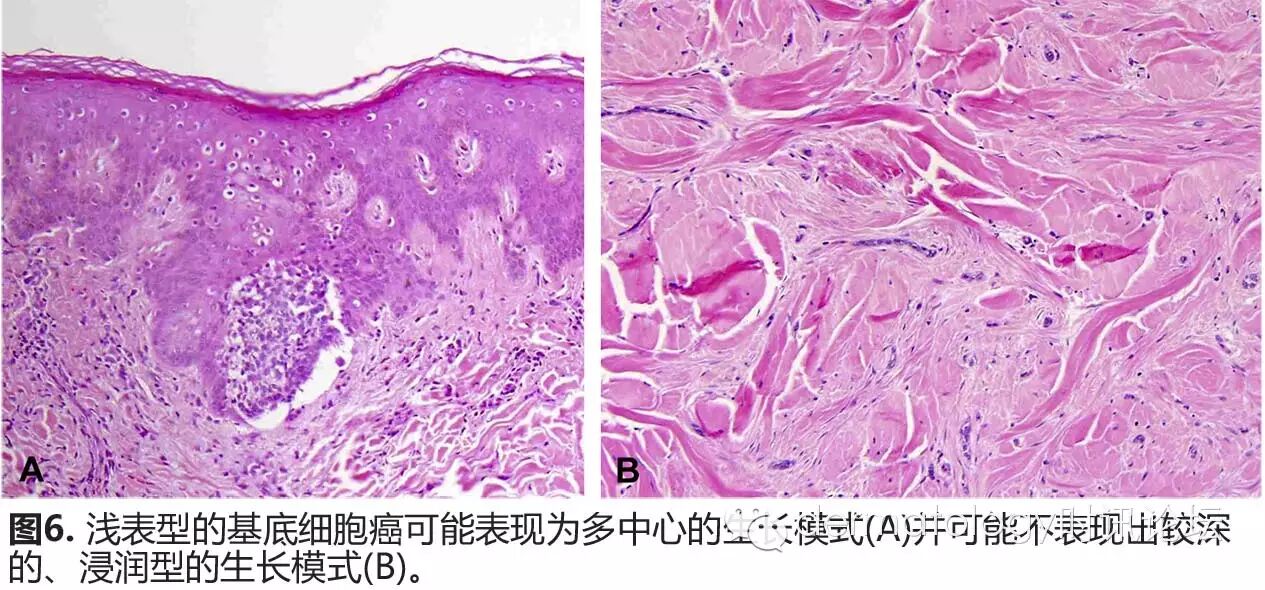
活检标本通常在疑诊非黑素瘤的皮肤癌症获得确定性治疗前得到,治疗方案会由于肿瘤的生长模式不同而发生改变。肉眼检查、刮除术、皮肤镜已经用来在手术前确定肿瘤的扩散情况, 但是它们当准确性是(有效有限)的43。鉴于如此,前哨活检对于不太确定的肿瘤有更重要的意义,而不适合进行莫氏显微切除。浅表型与结节性的基底细胞癌最适合通过刮除术确定肿瘤浸润程度,然而浸润型、硬斑病型与微结节型的基底细胞癌被致密的胶原包围,因此肿瘤浸润的深度不能通过刮除术确定44,45。这种情况也适合于结缔组织增生性鳞癌以及神经周围浸润的肿瘤,浸润程度可能会超过临床观察到的肿瘤边界很远。
刮削法经常用于确定疑诊的基底细胞癌和鳞癌,(2-3 mm)更有诊断价值46,47。首先,在钻孔取材后可以观察到肿瘤浸润的边界,然而大面积的刮削取材常会导致取材部位周围的红斑,使肿瘤的边界不清楚,或者使皮疹的外观比真实的肿瘤要大。这样有可能导致皮损切除手术中切除肿瘤及肿瘤周围的红斑。在确定肿瘤的生长模式方面,钻孔取材可能更有优势。特别是浸润型、硬斑病型与微结节型的基底细胞癌可能仅出现在更深的部位(图6)48,49。如果通过观察和触诊确定是浅表型或结节性的基底细胞癌,首选刮削取材。与其他方式相比,刮削取材操作更快,消费更低,需要更少的器材,不需要缝合,并可通过烧灼来止血。对比起来,如果遇到浸润更深的生长模式,皮损中心的钻孔取材能够帮助确定最小的外科切除边界及根据组织学表现来选择最适合的方法。
任何方法都优于刮除法,它很少能准确评估肿瘤的生长类型。尽管进行了活检,如果遇到形状不规则的肿瘤团块、富含纤维的基质或硬化的基质说明有更深的组织浸润模式,在确定治疗方案前需要进行更深的病理取材50。
恶性黑素瘤
内容提要
l 在任何可能的情况下,对于怀疑黑素瘤的皮损应完全切除。
l 对于躯干部位的斑状皮损,首选碟形手术的方法来获得完整的切除。
l 当黑素瘤与发育不良痣鉴别时,可从皮损边缘正常皮肤周围0.5-2 mm处进行碟形手术方法来获得完整的切除。
l 活检标本可通过计数、墨水染色或12点钟标记来确定方向。
l 局部的活检标本诊断率较低,没有证据表明(浸润较的肿瘤预后更差肿瘤定植钻孔活检伤口深部影响预后)。
l 在诊断恶性雀斑样痣时,大面积薄层的刮削术或多点的刮削术比钻孔取材更有价值。
l 切除活检在能够沿皮纹切除的情况下是更好的选择。
l 对于出现多种颜色的皮损,每种颜色都应该取材。
l 肢端的皮损应(炎沿)皮纹(指纹)垂直切开,避免出现伪造的外观。
色素性皮损的取材可能是皮肤科医师唯一一个最重要的干预方式,因为早期发现早期诊断是影响黑素瘤预后的关键性因素。在可能的情况下尽量对皮损完整地切除,这样可以使病理医师观察到皮损的对称性和整体的结构51。局部的切除可能会导致收集样本的失误和误诊,但是当皮损面积较大或不太可能完全切除时可以考虑。肿瘤细胞可能会向钻孔活检的伤口处的深处克隆增殖,但没有证据表明这样的克隆增殖会影响预后。局部取材最大的局限性是可能会影响诊断的准确性和影响分期的判断52。在肿瘤切除后评估残留的肿瘤发现21%的患者出现肿瘤的复发,10%的患者在前哨淋巴结活检时发现复发53。在一项157人的通过原位皮肤活检证实的黑素瘤的调查中,肿瘤切除后发现8.3%的患者出现肿瘤的浸润性生长54。
在可能的情况下,切除活检的标本应该沿着肢体的长轴进行放置,因为它可以反映淋巴管的走形和分布。另外一个在活检时可以减少总的组织切除量的是沿皮损边缘1-3 mm进行取材。这种方法可以通过莫氏显微手术或刮削术。对于斑片或表浅的皮损,可选择碟形手术,不需要一级缝合。标本为病理医师提供了全部的皮损视野,患者也更愿意接受浅表的、圆形的瘢痕。在肉眼观察或病理学检查时,活检标本可通过计数、墨水染色或12点钟标记来确定方向55。全皮层的创伤可以暂时性的缝合,不需要移植其他组织移植,因为在确定了手术边界后可以进行更好的美容缝合56,57。在肿瘤手术切除缝合以后,潜在的外(商伤)边缘应最小化,因为从理论上来讲它可以影响哨位淋巴结的边界。
恶性雀斑样痣应引起特别的注意,较大面积的皮损不易完全切除。小的病理标本容易引起误诊,因为缺少皮嵴、浸润,与非黑素瘤的良性肿瘤如雀斑、色素性的日光性角化病不易区分58-60。钻孔取材有很高的假阴性率61-63。从作者的经验来看,选择色素最深的部位进行取材能够观察到色素失禁最明显的部位,但不是最有助于诊断的选择。大面积的刮削取材可以切成薄片,使病理医师可以观察到黑素细胞增生的交界性视野而不造成更深的创面。更好的选择可能是多部位的刮削取材,选择多个颜色多种形态。这些标本可以放置在同一个样本盒内,来最大限度地提高诊断率并降低检查成本。在切除活检能够沿皮纹切除的情况下,椭圆形的切除取材是更好的选择,这样可以隐藏疤痕。
曝光部位的痣常会变浅,可通过碟形手术完全切除。它的特点是在皮纹下方有狭长的痣细胞巢64-67。一旦移除以后,标本应沿皮纹垂直切成两半,避免出现伪造的外观。如果你不能确信你的实验室工作人员可以这样做到,你应该亲自动手将标本切为两半。
隆凸性皮肤纤维肉瘤
内容提要
l 皮损需要深切来显示隆凸性皮肤纤维肉瘤在皮下的生长模式
l 免疫染色可用于帮助诊断不确定的浅表的病理标本。
对于隆凸性皮肤纤维肉瘤来说,诊断的要点是深达皮下的组织浸润模式,并且深切对于发现浸润模式是很重要的。浅表的病理切片可能会表现为皮肤纤维瘤,因此需要进行免疫染色或重新取材来明确诊断68,69。
皮肤T细胞淋巴瘤
内容提要
l 首选大面积的包括真表皮交界处的刮削取材,可以充分表现浸润情况。
l 嗜表皮的细胞是分子研究的靶点,大面积的刮削取材优于免疫荧光染色及基因重排研究。
l 从不同组织学部位取材的活检标本表现出相同的细胞克隆有利于明确诊断。
蕈样肉芽肿,作为最常见的皮肤T细胞淋巴瘤,其诊断的要点包括增宽的真皮纤维化区域,空泡化的界面皮炎伴有淋巴细胞播散存在于基本所有的空泡,以及表皮存在大而异形性的、浓染的淋巴细胞。浅表血管周围的炎症细胞浸润存在于毛细血管后微静脉,这个特点也具有特征性。为了让病理医师观察到这个特征性的诊断要点,活检标本需要深达毛细血管后微静脉(也就是网状层上方)。虽然环钻取材已经足够诊断,扩大的碟形手术取材更有优势。由于肿瘤的癌性浸润是亲表皮性的,大面积的刮削取材可以比环钻取材为进行DNA分子诊断提供更多的依据。刮削取材同时也可以提供更多组织,从而可以进行淋巴细胞的免疫组化检测。有时候会将活检标本进行塑料包埋,因为这样可以做成1 µm厚度的切片,显示出脑回状的细胞核结构70。
T细胞的克隆状态可以通过PCR技术或Southern blot来分析T细胞表面受体的基因重排。虽然新鲜的组织有更高的检测率,目前也可用福尔马林固定石蜡包埋的组织进行这些检测。尽管大多数的蕈样肉芽肿的病理表现为细胞表面表达α/β受体并可用BF-1抗体染色,(基因重排常可检测到γ链到基因,因为这一部分到基因具有一致性。检测β链TCR很有必要,特别是当γ链已发现了种系基因结构。基因重排常可检测到γ链基因组,因为这部分基因组相对简单。检测β链TCR很有必要,特别是当γ链显示种系基因结构时)。
任何(当)免疫反应从本质来说都是一种克隆现象,但是这种克隆是少量的,并且大部分的良性浸润的T细胞是由记忆T细胞招募过来,是多克隆的。相反地,淋巴瘤是从一种克隆的T细胞扩增出来的。高度建议对蕈样肉芽肿进行多位点(当)单一克隆检测71。如果皮损处的T细胞克隆与血液中的一致,会高度提示蕈样肉芽肿。这种现象常见于晚期的患者,偶尔也可见于一些早期的疾病患者72-74。
确定T细胞来源时,CD4比CD8在选择免疫表型方面更有优势。CD4与CD8双阳性或双阴性的细胞可能会出现,丢失成熟的T细胞抗原(例如在嗜表皮区域CD7与CD3相比90%以上的丧失)对于MF的诊断有帮助75。
原发性皮肤性B细胞淋巴瘤
内容提要
l 浸润形态及带状的免疫荧光染色模式对于诊断非常重要,较小或浅表的病理标本不易诊断。
l 首选较大的病理标本。
l 如果适宜进行皮损取材的皮损较小,首选碟形手术或较深的钻孔取材。
淋巴瘤能够诊断的关键是活检取材提供一个恰当的可进行病理检查的标本。切开活检或环钻活检优先考虑,但是一些无蒂的结节可以通过碟形手术达到有效的切除从而避免出现在环钻取材时可能会出现的人工挤压现象。如果选择了环钻取材,尽可能直径超过6 mm,并深达皮下组织。较小的或过于浅表的活检标本不能对疾病的组织结构和浸润深度进行准确有效的评估76。
活检标本应该用福尔马林固定,因为免疫组化、用于确定κ和λ轻链位置的显色原位杂交及PCR基础上的基因重排研究均可在福尔马林固定的石蜡包埋的组织上进行研究77。如果要进行流式细胞技术检测,需要有新鲜的经浸湿的盐水纱布或用RPMI培养基处理后的样本。
REFERENCES
(阅读参考文献内容,请下载皮科时讯论坛APP)
J Am Acad Dermatol2016;74:1-16. © 2015 by theAmerican Academy of Dermatology, Inc.
(主题负责人:于建斌;审校:贾雪松,纪明开;翻译:刘彩霞,段志敏,北京协和医学院;刘排,江西省皮肤病专科医院)
点击阅读原文,下一篇更精
相关推荐
友情链接
Copyright © 2023 All Rights Reserved 版权所有 北京物流信息联盟
