北京物流信息联盟

这个肿瘤,误诊率高达69%!

2022-03-07 13:11:38

多发性骨髓瘤(multiple myeloma,MM)是血液科发病率位列第二的肿瘤,临床表现复杂多样,临床医师尤其非血液科医师对本病认识和警惕不足,极易误诊。用怎样的思路能帮助大家诊断和鉴别呢?一直倡导的 MM 的多学科诊疗又该如何落地?


作者丨张擎 夏冰 张翼鷟

审核丨张翼鷟  天津市肿瘤医院血液科科主任

来源丨医学界肿瘤频道


见到这些症状要提高警惕!


MM 的症状主要为克隆性浆细胞所致终末器官损害的表现,即高钙血症、肾功能衰竭、贫血和溶骨性骨病变,常被称为 CRAB 症状。MM 的表现多种多样,对于 55 岁以上的人群出现以下症状,一定要提高警惕。


1. 最常见的是骨骼的症状,比如骨痛,甚至骨折,骨质疏松的表现等。


2. 有些患者会出现贫血,也会有肾功能不全的表现,出现肾功能指标的异常,此类患者可能首先怀疑自己是不是有肾病而就诊于肾内科。


3. 有些患者因为血液里异常的免疫球蛋白大量增生,出现免疫力下降,非常容易发生感染,并且反反复复。


4. 有些患者因单克隆免疫球蛋白增多引起血粘稠度增高的表现,如头晕、眼花、耳鸣,甚至看东西不太清楚。


MM引起的骨病变


一般而言,MM 不能早期诊断、易误诊的重要原因是:对化验检查发现的球蛋白或贫血等异常结果疏于重视,对临床表现及化验检查缺乏全面正确分析。另外,部分患者不愿接受骨髓检查也会延误病情无法尽早诊断。


推荐几个鉴别诊断法宝


国内曾报道多发性骨髓瘤误诊率高达 69%,对临床经验不够丰富的医生鉴别诊断是很大考验。难归难,一些提示性的点还是有的,是能帮到大家的。


1. 不明原因骨痛或病理性骨折;查体有骨压痛,扁骨有肿块者;早期截瘫症状(如下肢无力、排尿困难等)。


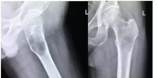
MM引起的病理性骨折


2. 中老年患者原因不明的蛋白尿、氮质血症、贫血与肾衰程度不相平行,血压不高,肾脏大小正常,伴有骨痛。


3. 反复出现肺部感染或尿路感染,经抗感染治疗无效,尤其是合并贫血、骨痛、血沉增快而持续不降者。


4. 原因不明的贫血伴骨痛。


5. 实验室检查发现显著的高球蛋白血症或球蛋白明显降低者。


以上不难发现,MM 患者初诊可能到骨科、肾内科等临床科室,提高多学科合作,多进行科室间会诊也是能及时鉴别诊断,减少误诊的重要手段。


影像检查首选MRI或PET/CT


长期以来,X 线经济、简便,一直作为诊断 MM 骨质破坏和分期的重要标准,但它也有局限性。X 线检测溶骨性病变的敏感性很低,漏诊率较高,只有在骨小梁破坏超过 30% 时才能显示阳性,有约 20% 的 MM 患者在确诊时骨骼检查仍为阴性,所以 X 线现已不推荐用于 MM 骨病变检查。CT 的敏感性和分辨率较 X 线有明显提高,最主要缺点是辐射太大,且含碘对比剂有损肾功能,所以不常规推荐。


MRI 和 PET/CT 有较高准确性和敏感性,且在显示软组织、脊髓和髓外病变方面有更大优势,因此建议有条件的患者行 MRI 或 PET/CT 检查。当然,避免影像学误诊还需影像科医生结合患者临床资料,提高对 MM 的认识和警惕。


不可撼动的方案:高剂量化疗+自体造血干细胞移植


高剂量化疗联合自体造血干细胞移植(ASCT)支持已成为临床治疗 MM 的标准方案。法国骨髓瘤协作组(IFM)进行的临床随机对照试验证实了 ASCT 比常规化疗的疗效更好,ASCT 组患者的反应率、无事件生存时间(EFS)和整体生存时间(OS)都优于对照组。此后英国医学研究委员会(BMRC)的研究也得出了相同的结果。


最新美国血液病学会(ASH)年会上公布了这样的结论:新药持续治疗和 ASCT 巩固治疗的患者无病生存(PFS)和总生存(OS)都显著优于未采用 ASCT 的患者。这些国际权威会议的结果都证实新药时代 ASCT 的地位仍不可撼动。


ASCT 治疗 MM 的进展主要体现在双次 ASCT:如果患者有以下三个高危因素中的两个(ISS 分期 III 期、细胞遗传学高危因素、诱导缓解治疗未达 CR),采用双次 ASCT 与单次 ASCT 相比,OS 有显著提高。说明对高危患者,双次 ASCT 可能使患者获益。


管理药物不良反应,很不简单


近年来 MM 化疗的患者急剧增多,各种化疗药对生长活跃的组织,如骨髓、消化道上皮细胞均有毒性作用,表现出不同程度的骨髓抑制及消化道反应等。医师必须对引起这些毒性药物的极限剂量熟烂于心,并在毒性初现时及时给予对症处理。


目前应用较广泛的蛋白酶体抑制剂硼替佐米最常见的不良事件有虚弱(包括疲劳、不适和乏力)(65%)、恶心(64%)、腹泻(51%)、便秘(43%)、血小板减少(43%)、周围神经病(包括周围感觉神经病和周围神经病加重)(37%)等。


应用该药物时,尤其对老年人,要注意患者便秘、腹泻和周围神经病变情况,治疗结束后定期复查血常规,发现三系减低情况及时处理,也可预防性应用营养神经药物。


有些常用如蒽环类药物需关注心脏毒性,对心功能差及老年患者尤要谨慎。另一类常用药物沙利度胺/来那度胺最常见不良反应为血栓形成,应用时要予以抗凝、预防血栓治疗。


一个MM要6个科室分工做什么


临床发现,多学科诊疗(MDT)能明显缩短患者诊断时间(MDT引入前,MM患者诊断周期长达1年以上),提高治疗效率,是非常重要的。MDT团队成员发挥怎样的作用和联系呢?


1. 骨科:很多MM首诊症状发生于骨骼,骨科在综合诊断中非常重要;此外,MM并发骨折、疼痛或产生压迫症状,需要骨科帮助进一步处理。


2. 放疗科:放疗科在残存病灶的处理上有重要作用,他和血液科紧密配合,在最好的时机及时介入,使患者获得最优效果。


3. ICU:ICU在MM尿毒症的透析治疗上发挥力量。由于MM伴有单克隆免疫球蛋白失控性增殖,部分患者可能出现严重的氮质血症甚至尿毒症。此时,ICU可对患者提供透析,为MM本病的治疗赢得时间。


4. 病理科:一部分MM起病于骨髓以外,以浆细胞瘤的实体形式发生于骨骼、软组织甚至消化系统。在外科获取检材之后,病理科医生结合形态、免疫组化等技术手段,提供准确的诊断信息,帮助血液科医生及时展开治疗。


5. 检验科:利用其FISH、流式等检测手段,在综合诊疗中,为MM患者预后分期和分层治疗提供帮助。


6. 影像科:治疗过程中,影像科对病灶反应性的评价是MM综合治疗疗效评价中的重要一环,他的作用在NCCN指南中已得到极大肯定。


天津医科大学肿瘤医院多发性骨髓瘤 MDT 团队由血液科牵头,与骨科、放射科、影像科等临床、医技科室专家组建团队,定期举办 MDT 患者交流会,各学科的主任医师分别针对 MM 本学科能够提供的专业医学处理进行精彩讲解。


同时每周一下午开展 MM 的 MDT 联合门诊,对复杂多变的骨髓瘤患者进行多学科诊疗,共同制定最佳的诊疗方案,并对患者实施全程跟踪监测,适时调整治疗策略。通过以上一系列措施,天津医科大学肿瘤医院 MM 的 MDT 团队弥补了单一科室的局限性,增强了多发性骨髓瘤的综合诊疗能力。


多发性骨髓瘤宣教会现场


多发性骨髓瘤患教会暨患者联谊会现场


展望:MM定义或将修改?可能被治愈?


1. 2014 年国际骨髓瘤工作组(IMWG)对活动性 MM 的新定义中,将骨髓中单克隆浆细胞 ≥60%、血清受累游离轻链比值 ≥100 以及核磁发现大于 1 处骨破坏也定义为骨髓瘤特征性事件(MDEs),也就是说具有这些因素的高危SMM也被划归入活动性 MM,需要立即接受治疗。


之所以将这部分高危 SMM 划入活动性 MM,是因为具有这些因素的患者 2 年内进展成为活动性 MM 的几率大于 80%,且这部分患者可能通过含有新药的治疗方案(如Rd)的早期治疗获益,这是国外多发性骨髓瘤诊断标准的更新。


随着临床资料的积累以及对 SMM 认识的深入,又有新的指标被纳入 MDEs 中。如 2016 年 ASCO 报道指出 SMM 患者如果在诊断后 12 个月内 M 蛋白水平增高 ≥25%、血红蛋白下降 ≥0.5g/dl 的话,其 2 年内进展为活动性 MM 的几率也超过 80%。


如果这两项动态监测指标也被纳入 MDEs 当中,那么活动性 MM 的定义将继续被修改。


2. 骨髓微小残留病灶(MRD)是实现个体化治疗的重要手段,但 MRD 在临床应用中有很多细节要解决,需特别注意。诊疗中应注意 MRD 的监测要向两个方向发展。随着新型药物的出现,MM 缓解程度逐渐加深,从蛋白水平缓解到细胞水平缓解,再到分子水平缓解。


2016 年 ASCO 年会和 ASH 年会也都继续强调了采用新技术检测 MRD 的重要性。一方面要在“微观”角度通过新技术如二代测序、多色流式等方法加深缓解程度的检测;另一方面要在“宏观”角度通过更好的影像学技术如 PET-CT、MRI 等监测髓外病变、骨病变的缓解程度。相信未来 MM 或许将变为可被治愈的疾病。


医院及专家简介


天津医科大学肿瘤医院血液科创建于 2008 年,是集医疗、教学、科研、临床转化医学于一体的三级甲等医院专业学科;现为国家药物临床研究基地、造血干细胞移植中心、天津医科大学博士及硕士研究生培养点,参与10余项国际、国内多中心临床研究。


血液科收治患者覆盖所有血液疾病谱,年门诊量及出入院病例数居天津市三级甲等医院前列;在干细胞移植技术及血液肿瘤的研究方面处于国内领先水平,诊疗模式与国际先进水平接轨;目前以白血病、淋巴瘤、骨髓瘤、骨髓增生异常综合征等血液系统恶性疾病为重点病种,建立并完善各类血液系统肿瘤的分层治疗体系,开展血液系统良恶性疾病的造血干细胞移植,同时与儿童肿瘤科合作,成功开展儿童实体瘤造血干细胞移植治疗,取得较好疗效。


张翼鷟,主任医师、教授、博士研究生导师,现任天津医科大学肿瘤医院血液科及移植病房主任。她是中国抗癌协会血液肿瘤专业委员会常委、中国研究型医院血液精准诊疗专业委员会常委、中国医师协会多发性骨髓瘤专业委员会委员、中国抗淋巴瘤联盟委员、中国女医师协会血液专业委员会委员及青委会副主任委员、天津医师协会血液学分会副会长、天津市抗癌协会血液肿瘤专业委员会副主任委员、天津市抗癌协会老年肿瘤专业委员会主任委员。


主要从事血液系统恶性肿瘤的化学治疗、靶向治疗和造血干细胞移植等综合治疗,擅长各类急慢性白血病、恶性淋巴瘤、多发性骨髓瘤、骨髓增生异常综合征(MDS)、各类贫血、血小板减少性紫癜等疾病的诊治。



(本文为医学界肿瘤频道原创文章,转载需经授权并标明作者来源。)


友情链接

Copyright © 2023 All Rights Reserved 版权所有 北京物流信息联盟