北京物流信息联盟

微创时代治疗肿瘤—燕达医院放射介入科完成首例肺癌射频消融术

2022-04-04 15:32:22


肺癌在我国发病率、死亡率均位于第一,而且死亡率还在以每年4.45%的速度上升。不过,随着精准医疗时代的到来,很多新的诊疗方法极大提高了晚期肺癌患者的总生存期和生活质量。


目前医生借助影像引导下的微创介入诊疗手段,能够精确的找到肺部的癌细胞并精准地杀死它们,大大提升了肺癌诊断的准确率,治疗效果也堪比传统手段。



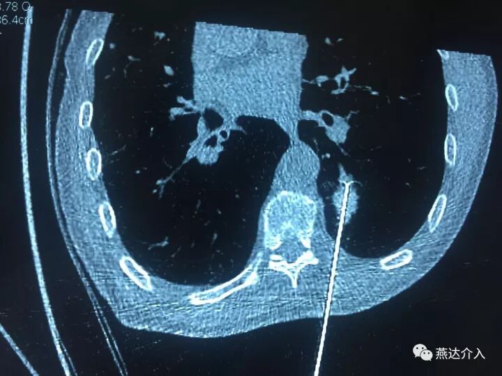
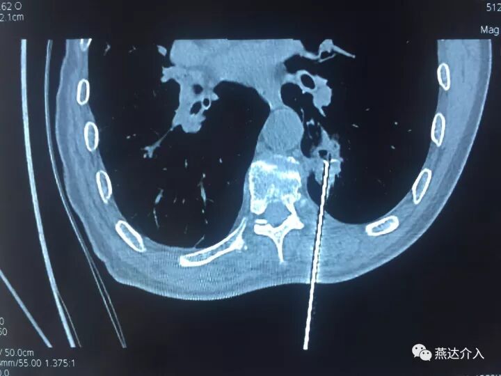
近日燕达医院收治一名肺内占位患者,行PET-CT考虑肺内占位,恶性可能,肺部多发小结节,考虑转移。为进一步明确肺内占位性质,放射介入科予患者穿刺活检,病理证实为肺鳞癌。为治疗肿瘤,决定予患者行肺癌射频消融术。




术中予患者2cm射频针3针消融,术后可见病灶周围晕征出现,肿瘤内可见消融后气化影,消融效果全面完全,术后患者情况良好,无不适。


该患者为燕达医院开展首例经皮穿刺肺癌射频消融术,标志着燕达医院肿瘤治疗精准微创时代来临,通过射频消融,导管灌注栓塞化疗等综合治疗肿瘤方式的个性化合理应用,为京东地区肿瘤患者带来创伤小、恢复快、疗效显著的肿瘤综合治疗方法。

1

 介入手段在肺癌治疗方面的优势


肺癌的生存期与营养状况、身体素质、社会心理情况等很多因素有关。积极的抗癌心态、适当的营养支持、身体锻炼都是延长肺癌生存期必不可少的条件。不仅如此,在精准医疗日益普及的当下,肺癌的治疗手段也更加多样。除了传统的手术、放疗和化疗之外,在影像引导下的微创介入治疗,也可以免除很多肿瘤患者手术和放化疗的痛苦。


介入治疗最显而易见的优势就是微创,把一根直径两三毫米的穿刺针伸入到体内,直接在原地就能把肿瘤杀死。比如用射频消融的方式把肿瘤烫死烧掉,或用冷冻消融的方式把肿瘤冷死冻掉,甚至将化疗药物或者放射源颗粒通过那根穿刺针直接打到肿瘤内部,这样就减少了患者在过去必须承受的放化疗之苦,一些过去需要切除一叶肺或一块肝的患者也避免了正常脏器的损伤,让这根神奇的针来解决这一切。


最近十几年,介入治疗不仅在晚期无法手术的患者中取得了很好的疗效,在部分早期肿瘤患者的局部治愈率上也与传统外科手术不相上下。


如果肿瘤只是一个小结节,,对于孤立的转移病灶性价比并不高。对于这类肺癌患者,可以使用射频消融术,将这个小小的“定时炸弹”彻底烧死在身体里。手术结束后,患者很快就可以毫发无损地的回归到工作和生活当中去。




2

关于肺癌

这几种症状要警惕肺癌的可能


肺癌和大多数癌症一样,早期症状并不不明显。肺癌患者最容易出现咳嗽症状,因为部分癌肿在较大的支气管内生长,所以常出现刺激性咳嗽。比如刺激性咳嗽的持续时间超过2-3周的;因其他疾病导致长期咳嗽,突然间加重的;痰中出现血丝或咳血的,这几种咳嗽都应警惕肺癌的发生。


有些患者由于肿瘤造成较大支气管管腔的阻塞,可能出现胸闷、气短、发热等症状。此外,当颈部锁骨处出现进行性增大的肿块;胸部或骨关节出现持续性疼痛;不明原因的体重下降等情况,也应想到并首先排除肺癌的可能。


穿刺活检结果成肺癌诊断“金标准”


当医生怀疑患者患有肺癌时,会建议患者做胸片、CT、抽血等检查,然而,这些并不是肺癌确诊的最终手段。目前,确诊最有力的证据是必须在显微镜下看见肺癌细胞,也就是我们常说的病理学诊断,因为癌细胞在显微镜下的形态与正常细胞是有本质区别的。正因为病理学诊断的准确性,所以被业内公认为肺癌确诊的“金标准”。



临床上较为常用的确诊方法是进行肺穿刺活检术。这种方法可以直接获取疑似肺癌病变内部的组织成分,通过病理科医生的专业处理后,在显微镜下观察取得组织内的细胞形态,鉴别细胞是否发生癌变。


穿刺活检术的优点是确诊准确性高,误诊率低,尽管有创操作会对人体产生潜在的创伤并发症,但在具有丰富经验的专科医生的操作下,创伤很小,痛苦很少,风险发生概率也微乎其微。


 目前,河北燕达医院放射介入科已形成介入门诊——介入病房——介入治疗室的规范化科室,如有介入治疗方面的需求,欢迎前来门诊咨询。

   

河北燕达医院放射介入科可完全独立开展各种国内外先进外周介入治疗项目,具体例举如下:

治疗项目

一、血管性疾病的介入治疗:


1、肿瘤性疾病介入治疗:全身各部位恶性肿瘤的介入治疗(药物灌注加肿瘤动脉栓塞)包括肝癌、食管癌、胃癌、胰腺癌、肾癌、膀胱癌、宫颈癌、结肠癌、直肠癌等。


2、良性肿瘤:肝血管瘤介入栓塞治疗、妇科子宫肌瘤的介入栓塞治疗(保留子宫功能)。


3、出血性疾病的介入治疗:异位妊娠、产后大出血介入治疗;大咯血、消化道动脉性出血、腹部脏器挫伤、盆腔大出血等出血性疾病的栓塞治疗。


4、动脉狭窄的介入治疗:糖尿病足的介入治疗,下肢动脉硬化闭塞症、股髂动脉狭窄、肾动脉狭窄等血管狭窄、闭塞性病变的血管成形术,股骨头坏死的介入治疗。


5、全身各血管畸形、病变的选择性动、静脉造影诊断,下腔静脉滤器植入术。


6、脾大、脾功能亢进的介入治疗(脾部分栓塞术)


二、非血管介入治疗:


梗阻性黄疸外引流减黄治疗、胆道支架植入术、脓肿及囊肿的穿刺引流治疗、胃肠道狭窄的介入治疗、恶性肿瘤射频消融术。

医生介绍


富孝晨:主治医生(介入治疗科)本科毕业于辽宁医学院,就读临床医学专业,本科毕业后考入大连医科介入放射学专业硕士研究生,师从国内著名介入放射学专家、中华医学协会介入放射学分会副主任委员王峰教授。2015年6月任第十二届中国介入放射学学术大会(2015 CSIR)组织委员会委员,后多次继续于北京朝阳医院介入科进修工作。


擅长:下肢动脉硬化闭塞症、糖尿病足、外周动脉狭窄等外周动静脉疾病介入治疗;良恶性肿瘤化疗灌注术、恶性肿瘤动脉栓塞术、射频消融术等肿瘤疾病介入治疗;恶性梗阻性黄疸、良恶性胃肠道狭窄等非血管性疾病介入治疗及各种国内领先介入治疗技术。




咨询医生 预约挂号 随时交流

咨询电话:4008981120



推荐阅读(点击下方题目即可)

用百雀羚的烈焰红唇们,对抗得了时间,却对抗不了生育

直播回放|北京医保使用常见问题 燕达医院医保办主任直播答疑

你玩王者荣耀最坑的经历是什么?17岁少年玩出脑梗

有华人的地方就有她的歌声,邓丽君之死与哮喘病

为何央视主持人董卿从不带进卧室…… 90%的人中招!

憋尿为什么能带来GC?

脖子酸痛、僵硬你不在意,当心下不了床!

这根血管是大脑生命线,4 个方法预防「堵塞」

☞燕达医院这个科室太霸气了!心律失常疾病打通关了

☞急!由于大出血差点做不了完整女人,幸好燕达介入

☞深度解析:为什么不买宝马M2,也要买这个

☞每天这两个习惯动作,让膝盖承受800斤的重量,你还敢做么

☞6种胃癌早期信号,一粒胶囊消疑虑!

回复关键词有惊喜

心内一科|心内二科|神经内科|神经外科|妇产科|儿科|中医科|泌尿外科|普外科|骨科|呼吸内科|消化内科|内分泌科|风湿免疫体检中心|耳鼻喉|眼科|肾内科|肿瘤放疗科|高压氧科|口腔科|生殖医学中心|皮肤科|康复科|老年病科感染医学科|功能检查科|疼痛科|核医学科|检验科|影像中心|麻醉科|输血科|病理科|手术室|药剂科|公共卫生科|心理咨询科|研究院|门诊|医保


友情链接

Copyright © 2023 All Rights Reserved 版权所有 北京物流信息联盟