北京物流信息联盟

【神经变性病】静息态磁共振低频振幅法在肌萎缩侧索硬化患者认知受损早期临床应用初探

2022-07-02 07:45:11

点击标题下「蓝色微信名」可快速关注


作者:彭攀 李晓璐 崔丽英 侯波 冯逢 沈东超


摘要  

目的

利用静息态磁共振成像(resting-state functional MRI, RS-fMRI)技术,探索低频振荡振幅(amplitude of low-frequency fluctuation, ALFF)法对肌萎缩侧索硬化(ALS)认知功能损害的诊断价值。

方法

招募2013年11月至2015年4月就诊于北京协和医院神经内科门诊的ALS患者16例,进行神经心理学评估,根据认知功能是否受损分为认知受损(ALSi)组7例和认知正常(AlSu)组9例。采集所有受试者的MRI常规结构像、RS-fMRI数据。通过基于体素的形态学分析(voxel-based morphometry, VBM)、ALFF法对两组数据进行对比分析。

结果

(1)神经心理学评估显示,ALSi组与ALSu组受试者的蒙特利尔认知评估量表得分[(22.9±2.0)分与(25.8±2.3)分,t=2.622,P=0.020]、额叶功能评定量表得分[(12.4±1.6)分与(15.1±1.4)分,t=3.600, P=0.003]、动物列名数[(13.6±1.8)分与(16.7±2.9)分,t=2.482,P=0.026]、命名错误数[2(1)与0(1),Z=-2.746,P=0.006]、相似性测验得分[(7.9±3.7)分与(17.3±2.8)分,t=5.846,P=0.000]以及画钟测验得分[2(2)分与3(0)分,Z=2.516,P=0.012]差异有统计学意义。(2)VBM分析显示,两组灰质与白质密度差异无统计学意义。(3)ALFF分析显示,与ALSu组相比,ALSi组在双侧大脑及小脑广泛脑区均出现ALFF值的显著增加。

结论

ALFF值有望在未来为ALS认知受损的早期诊断提供更有价值的影像学依据。


肌萎缩侧索硬化(amyotrophic lateral sclerosis,ALS)是运动神经元病最常见的亚型,以同时累及上、下运动神经元为特征[1]。传统观点认为ALS单纯累及运动神经元,患者的认知功能则相对保留。随着研究的深入,多方面证据显示,ALS本质上是一个多系统受累的复杂疾病谱[2]。流行病学数据显示,约有50%的ALS患者合并有认知或行为功能损害,3%~15%的患者则完全符合额颞叶痴呆的诊断标准[3]

2009年Strong等[4]建立了ALS患者额颞叶认知及行为综合征的诊断标准共识,但其实际操作繁琐、耗时较长。功能磁共振成像(fMRI)的出现使得高分辨率、无创的神经活动评估成为可能。其中低频振荡这一概念最早由Biswal等[5]提出。之后国内Yang等[6]对此进行了量化以期定量评估脑活动强度,即低频振荡振幅(amplitude of low-frequency fluctuation,ALFF)。该法认为静息态下低频血氧水平依赖信号可以反映大脑自发神经活动的水平,计算某一特定体素在0.01~0.08 Hz频段内能量谱在所有频率点上幅值的均方根即为该体素的ALFF值[7]。目前ALFF已得到越来越多研究人员的关注,其所涉及领域包括正常认知功能以及多种神经精神类疾病的病生理机制[8]。在神经变性病方面,ALFF相关研究主要集中于阿尔茨海默病(Alzheimer′s disease, AD)[9,10],研究者对于致死致残率极高的ALS则关注较少。为进一步探索ALS患者认知受损背后的病理和生理机制,我们根据认知功能是否受损将患者分组,利用ALFF进行fMRI数据的组间比较,以期找出早期诊断ALS认知受损的敏感指标。


资料和方法

一、研究对象

1.纳入及排除标准:

招募2013年11月至2015年4月就诊于北京协和医院神经内科门诊的ALS患者16例。所有受试者均符合2000年修订版El Escorial标准临床拟诊或确诊的诊断标准[11],为右利手,否认ALS家族史,否认其他神经精神疾病史,否认中毒、酒精及其他物质依赖史。排除标准:肝肾功能、甲状腺功能、维生素B12、叶酸、感染、肿瘤相关检查异常;存在MRI检查禁忌;头颅MRI发现占位性病变、脑积水和多发脑白质病变等。


2.分组方法:

对所有受试者进行完整神经心理学评估,根据动物列名、系列动作模仿、画钟测验、符号-数字模式测验、临摹图形五项执行功能测验结果分组,其中存在≥2项结果异常(即低于均值1.64倍标准差,等价于同年龄同学历健康人第5百分位水平)者归入ALS认知受损(ALS with impaired cognition,ALSi)组[4],其余归入ALS认知正常(ALS with unimpaired cognition,ALSu)组。本研究为病例对照研究,获得北京协和医院医学伦理审查委员会批准,所有受试者均于检查前被详细告知研究目的及方法,自愿参加并签署知情同意书。


二、数据采集

1.基线数据:

采集受试者的年龄、性别、户籍、教育程度、病程、首发症状部位、修订版ALS功能分级量表(revised ALS Functional Rating Scale, ALSFRS-R)及ALS疾病严重程度量表(ALS Severity Scale, ALSSS)吞咽部分得分,计算疾病进展速度[(48-ALSFRS-R量表得分)/病程(月)]。


2.神经心理学评估:

由2名经过神经心理学评估培训的医师对所有受试者进行包括认知、行为、情感在内的完整神经心理学评估。(1)认知:以北京协和医院认知功能评价系统为基础,增加若干特殊认知测评项目(表1)。(2)行为:采用额叶行为量表进行评估,信息来源于受试者家属。(3)情感:采用14项版汉密尔顿焦虑量表(Hamilton Anxiety Rating Scale, HAMA)及17项版抑郁量表(Hamilton Depression Rating Scale, HAMD)进行评估。



3.MRI数据采集:

使用Discovery 750 3.0 T磁共振扫描仪(GE公司,美国),由同一名熟练的技师完成全部数据采集工作。图像采集过程中要求受试者闭目仰卧、保持清醒但不进行任何有意识的思维活动,以弹性软垫固定头部以减少头动(要求最大平动≤2 mm,最大转动≤2°),以棉球塞耳以减少扫描噪音。具体扫描序列包括:常规结构像扫描T2WI、T1WI、T2 FLAIR及DWI序列;全脑三维T1WI序列;静息功能磁共振成像(RS-fMRI)序列。


三、数据分析

1.基线数据:

所有数据均经过正态性检验和方差齐性检验,正态分布的计量资料数据应用均数±标准差表示,计数资料数据应用例数表示,偏态资料数据应用中位数表示。采用两样本t检验比较两组受试者的年龄、受教育年限、病程、ALSFRS-R得分、疾病进展速度,采用Mann-Whitney U检验比较两组受试者的ALSSS吞咽部分得分,采用Fisher确切概率检验比较两组受试者的性别、户籍、首发症状部位。所有统计均使用IBM SPSS 19.0软件完成,设双侧P<0.05为差异存在统计学意义。


2.神经心理学数据:

所有数据均经过正态性检验和方差齐性检验,正态分布的计量资料数据应用均数±标准差表示,计数资料数据应用例数表示,偏态资料数据应用中位数表示。采用Mann-Whitney U检验比较两组受试者的MMSE得分、命名错误数、联想学习总分、情景记忆总粗分、画钟测验得分、系列动作模仿正确数、FBI-负性得分、FBI-脱抑制得分、HAMD得分,采用两样本t′检验比较两组受试者的算术测验得分、HAMA得分,余项目采用两样本t检验进行两组受试者的数据比较(临摹图形及单个动作模仿测试因个别患者肢体受累严重而无法完成,故未行比较)。所有统计均使用IBM SPSS 19.0软件完成,设双侧P<0.05为差异有统计学意义。


3.MRI数据:

(1)图像预处理:使用MRIcron软件(http://www.cabiatl.com/mricro/mricron/dcm2nii.html)的dcm2nii程序将所有受试者的结构像和功能像由医学数字成像和通信标准(Digital Imaging and Communications in Medicine)格式转换为神经影像信息学技术方案(Neuroimaging Informatics Technology Initiative)格式。在MATLAB R2012a软件(http://cn.mathworks.com/products/matlab/)环境下使用SPM8软件(http://www.fil.ion.ucl.ac.uk/spm/)和DPARSFA2.3软件(http://restfmri.net/forum/index.php)[12]对图像进行预处理。(2)基于体素的形态学(VBM)分析:使用SPM和REST软件(http://restfmri.net/forum/index.php)[13],在全脑灰质/白质区域对ALSi组与ALSu组标准化后的灰质/白质密度像进行两样本t检验,经过AlphaSim多重比较校正(校正前单个体素阈值设为P<0.01,簇阈值设为16个相邻体素,则校正后阈值为P<0.05)后,获得组间灰质/白质密度差异的脑区。(3)ALFF分析:使用DPARSFA软件,根据预处理后的功能像计算各受试者的全脑ALFF图。使用SPM和REST软件,在全脑灰质区域对ALSi组与ALSu组的ALFF图进行双样本t检验,经过AlphaSim多重比较校正(校正前单个体素阈值设为P<0.01,簇阈值设为16个相邻体素,则校正后阈值为P<0.05)后,获得全脑ALFF值组间差异有统计学意义的脑区。


结果

一、基线数据

ALSi组与ALSu组受试者的基线数据差异均未见统计学意义(表2)。



二、神经心理学数据

ALSi组与ALSu组受试者的MoCA得分、FAB得分、动物列名数、命名错误数、相似性测验得分、画钟测验得分差异有统计学意义,其余神经心理学评估项目组间差异均未见统计学意义(表3)。



三、MRI数据

1.VBM分析:

全脑灰质组间t检验显示,ALSi组与ALSu组灰质密度差异无统计学意义。全脑白质组间t检验显示,ALSi组与ALSu组白质密度差异无统计学意义。


2.ALFF分析:

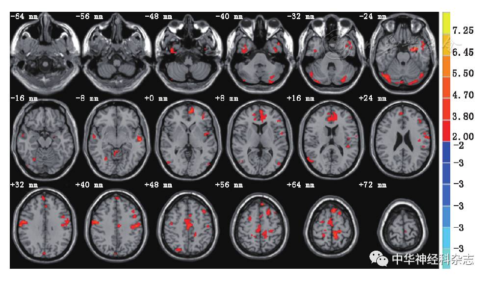
全脑灰质组间t检验显示,与ALSu组相比,ALSi组在双侧额叶、颞叶、顶叶、枕叶、岛叶、扣带回及小脑广泛脑区均出现ALFF值的显著增加(图1表4)。


图1   肌萎缩侧索硬化认知受损组较认知正常组ALFF值显著改变的脑区


讨论

既往Abrahams等[14]的研究显示,与认知功能正常的ALS患者相比,存在言语流畅性障碍的患者额颞叶白质萎缩更甚。Chang等[15]证实,与单纯ALS患者相比,合并额颞叶变性(frontotemporal lobar degeneration, FTLD)的患者左额中回、左额下回和内侧前额叶皮质萎缩更显著。与之类似,Whitwell等[16]的研究则表明,ALS/FTLD患者脑灰质萎缩以额叶为主,而FTLD患者则广泛累及额叶、颞叶和顶叶皮质。而我们在全脑范围内进行灰质密度与白质密度的VBM分析显示,ALSi组与ALSu组的灰质密度和白质密度差异均未见统计学意义。造成本研究与既往研究结果存在差异的原因可能是多方面的:首先,本研究样本量较少,可能会对最终试验结果的统计准确性造成一定影响;其次,既往研究主要在白种人中进行,而本研究则在黄种人中进行,遗传背景的人种差异性可能会在一定程度上影响结果;再次,既往研究多在ALS/FTLD患者与单纯ALS患者中进行对比分析,本研究中认知受损的ALS患者则尚未达到FTLD诊断标准,即认知受损程度仍处于早期,尚无相应的结构改变发生;第四,本研究进行数据采集时成像参数设定与既往研究有所差异,同时首次使用国内开发的REST软件进行VBM相关分析,不同分析软件及其背后涉及的具体算法与统计模型选取可能存在不同。综上,鉴于不同研究的受试者人口统计学特点、成像参数设定、VBM分析软件、图像对比或统计模型选择等均存在差异,故该阴性结果仍有其合理性。


我们采用ALFF法在全脑灰质范围内进行RS-fMRI的组间对比,结果显示,与ALSu组相比,ALSi组在双侧大脑及小脑广泛脑区均出现ALFF值的显著增加。此前国内Luo等[17]的RS-fMRI研究显示,与健康对照相比,ALS患者的感觉运动皮质、视觉皮质和额叶均存在自发脑活动的异常,枕下叶、双侧梭状回、,而左额中回、右额下回ALFF值显著增加。本研究则进一步以认知功能是否受损作为分组依据,显示出两亚组间存在ALFF差异的脑区,反映了ALS群体中可能存在异质性,提示在今后的研究中进一步的亚组分析可能有助于提高研究效率。


本研究中ALS患者中认知受损者较未受损者出现广泛脑区ALFF值的显著增加,这一结果的原因和机制尚需讨论。有两种可能的解释:(1)皮质脱抑制:ALS-FTD患者临床常表现为额叶脱抑制症状,本研究中ALS认知受损组的广泛脑区活动增加,可能反映了广泛脑区继发于额叶等高级中枢对其抑制减低的功能脱抑制状态。(2)皮质代偿机制:既往部分任务态fMRI研究提示随着病程进展,ALS患者的大脑可以通过征用其他运动系统外的既有神经通路或形成新的突触和神经通路以代偿运动皮质丢失的锥体细胞,即所谓皮质可塑性[18];同时亦有证据表明,ALS患者皮质功能改变与认知功能损害相关[19]。这些研究提示我们思考,在认知受损的ALS患者中,运动皮质之外包括认知相关脑区在内的广泛脑区对运动功能进行代偿,也可能是引起认知功能相对损害的原因。


国内Zhu等[20]在新近发表的1篇论文中采用ALFF法对ALS患者神经心理学特征与基线自发脑活动的相关性进行了探索性研究,通过ALS患者与健康对照的对比研究,再次证实ALS患者存在运动系统外受累,并提出右侧海马旁回ALFF值有望在未来成为监测疾病进展的指标,提示ALFF方法在ALS早期诊断与病情监测相关研究中具有较大潜力。与之类似,我们初步探索了静息状态下脑ALFF在不同认知状况ALS患者之间的差异,揭示了该方法用于评价ALS患者认知受损情况的潜在价值,在今后进一步的研究中,扩大样本量并进行诊断效能分析,有助于在临床量表评价的基础上为认知受损的诊断提供新的影像学依据。


综上所述,我们以认知功能是否受损对ALS患者进行分组,通过VBM、ALFF两种方法对患者头颅MRI数据进行组间对比分析,再次证实ALS可能是一种多系统受累的复杂疾病谱,ALS患者认知功能损害背后存在着极为复杂的结构与功能的重塑,ALFF值有望在未来为ALS认知受损的早期诊断提供更有价值的影像学依据。


参考文献略




友情链接

Copyright © 2023 All Rights Reserved 版权所有 北京物流信息联盟