北京物流信息联盟

牙齿畸形,凶手竟然是下巴?!

2022-07-02 06:38:58

 点击上面的蓝字关注我们哦!


自从放了暑假,很多家长都来找方德君做咨询,希望了解孩子牙齿矫正方面的注意事项。大多数家长都已知道,儿童正畸的黄金年龄是10~14岁,但很多人还不知道,对于一些特殊的牙齿畸形,是需要提前进行干预治疗的。其中,就包括因颌面发育不良而引起的牙齿畸形。

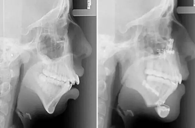
7月25日,腾讯国际新闻报道了一则严重的骨性牙颌畸形者案例:一名20岁的英国女孩艾丽•琼斯,在14岁那年开始接受正畸治疗。但对小琼斯而言,这个“黄金时段”却显得过于晚了,因为医生发现她的下巴从8岁起就不再生长了。



图片来自腾讯国际新闻

图片中,小琼斯的下巴短小,后缩严重, 14岁的她已不能通过矫正来刺激下颌骨的发育,结果就是她除了需要正常的正畸治疗来排齐牙齿,还需进行正颌治疗。


图片来自腾讯国际新闻

腾讯国际新闻对事件的描述是这样的:“16岁时,琼斯接受了第一次下颌手术,她说,那一个月我只能吃流食,非常痛苦,而且我无法正常说话,跟人说话要写在本子上。接下来的一年里,牙医与颌面部修复医生多次会诊,为琼斯进行了下颌修复手术,将她的下颌截掉了一块,植入新的下颌骨。”


图片来自腾讯国际新闻

从14岁正畸开始,历经6年,在接受了正畸和下巴重建手术后,这位女孩的面容变得靓丽动人,她也终于能够重拾自信。治疗成功后,艾丽•琼斯激动地表示:“这改变了我的一生。”


图片来自腾讯国际新闻

重拾美丽固然让人高兴,但琼斯为此付出的,是比正常正畸高2~3倍的代价:不仅需要正畸治疗,还要进行正颌手术……方德君不禁想到,若小琼斯8岁前能进行口腔检查,对下颌发育的不良问题作出及时的早期干预治疗,是否就不用再受之后的“断骨”之罪了呢?

答案无疑是肯定的。


是什么引起颌骨畸形?


除先天因素外,后天习惯也是导致牙齿畸形以及颌面发育不良的原因之一。

比如咬铅笔、咬指甲、咬嘴唇、吐舌等不良习惯,都会使门牙对下嘴唇造成压力,使下颌骨的发育受到抑制,导致咬合错位。


早期矫正可杜绝颌骨畸形


有颌骨发育问题的孩子,口腔正畸的最佳时机是替牙期早期(8~9周岁)。

颌骨发育问题是可以进行早期预防的。在儿童处于替牙期时,乳牙快掉,恒牙还未长出,生长发育比较旺盛,无论是单纯的牙性畸形还是伴随骨性问题,都可利用功能性矫正器,使颌骨正常发育。之后再通过正畸治疗,即可获得整齐的牙齿与美观的面容。


一旦等到生长发育期已过,牙齿及颌骨发育定型后,就需要断骨重塑,在正畸治疗的基础上还要进行正颌外科手术。


“地包天”等下前牙突出的情况也会影响颌骨发育,需提前干预治疗,最早可于3岁半左右就开始矫正。


方德提醒


现实生活中,大部分人都和琼斯一样,并不知道颌骨发育与牙齿形状息息相关,方德君提醒大家注意定期带孩子前往牙医处进行口腔检查,使问题可以早发现、快治疗,让孩子和同龄人一样,拥有美丽自信的人生。



点击本文左下方“阅读原文”报名暑假正畸活动,让牙齿改“斜”归正

回复正畸查看关于牙齿矫正相关知识及注意事项

回复种植查看关于种植牙相关知识及注意事项

回复洗牙查看关于洗牙相关知识以及注意事项 

回复拔牙查看关于拔牙相关知识及注意事项

回复补牙查看关于补牙相关知识及注意事项

回复窝沟封闭查看儿童窝沟封闭相关知识及注意事项

回复根管治疗查看根管治疗相关知识及注意事项

回复注意事项查看各种牙科治疗相关注意事项


爱牙的人都在关注方德君!

请戳二维码,关注方德口腔微信公众号

微信

fangdedental


【免责声明】本平台部份内容来自网络,我们对文中观点保持中立,对所包含内容的准确性、可靠性或者完整性不提供任何明示或暗示的保证,请仅作参考。如有侵权,请联系删除。

微信号:sanxinggang

电话号:13911567756


点击下方“阅读原文”查看更多
↓↓↓


友情链接

Copyright © 2023 All Rights Reserved 版权所有 北京物流信息联盟