北京物流信息联盟

不明原因渗出性胸腔积液,怎么处理?

2021-12-08 09:05:20

满满干货,收藏起来慢慢看!



来源丨《介入呼吸病学理论与实践》

本文内容已获出版社授权发布


胸腔积液


胸腔积液广义上可分为漏出液和渗出液。渗出液是毛细血管的蛋白质渗漏入胸膜腔的结果,而漏出液则是由低蛋白质积液累积而成。漏出液通常是由微血管静水压增加引起;反之,渗出液则见于胶体渗透压下降。


渗出液和漏出液的鉴别


Light发展出了一套标准,通过蛋白质和乳酸脱氢酶(LDH)水平对积液进行分类。一般认为满足Light标准中至少一条就是渗出液。分类标准一共有三条,即胸水/血清的总蛋白比、胸水/血清的LDH比值和LDH浓度,参考值是血清正常值上限。Light标准请参考表65-1。


表65-1  Light标准


Heffner等在一项Meta分析中评估了Light标准的准确性,并在1448例胸腔积液患者中检测了其他可能的鉴别指标,发现其诊断准确性为86%~95%(表65-2 )。


表65-2  Light标准的评估研究


目前还没有比Light标准更好的指标,因此该标准仍是胸水分类的金标准,其综合敏感性为98.8%、特异性为77.8%、诊断准确率为94.7%。少数患者会出现“假性渗出液”。即充血性心力衰竭患者经利尿剂治疗后,胸水的生化指标有时会出现显着的变化,最初被分类为漏出液的胸水,经利尿治疗后可能转化为渗出液。这类患者的白蛋白梯度(血清白蛋白-胸水白蛋白 > 1.2g/dL)可能对确定是否为漏出液会有所帮助。此外,脑钠肽(BNP)前体的水平可用来确定病因是否为心脏衰竭。


漏出性和渗出性胸腔积液的病因



胸腔积液的临床评价


全面的病史和体格检查对于评估胸腔积液不可或缺。很多情况下,简单的临床评估即可提示胸腔积液病因,从而避免进一步的诊断性检查。例如,如果患者有充血性心力衰竭的证据,应调整心力衰竭的治疗,以确定积液是否与利尿剂有关。如果为难治性胸腔积液患者,则需考虑对积液给予更多的诊断检查。


依据其积液量多少,胸腔积液患者的常见表现为呼吸困难。胸痛可能提示胸膜炎症,其病因可能为感染、肺栓塞或浆膜炎。当胸膜炎患者伴有其他感染的症状如发热、咳嗽时,需考虑肺炎旁胸腔积液或脓胸。出现全身症状则提示系统性疾病或慢性感染,如结核病或恶性肿瘤。此外,咯血可能与恶性肿瘤或肺栓塞有关。广泛的接触史和旅行史则可能提示恶性肿瘤、石棉相关性胸膜疾病或肺结核。既往史、家族史及详细的用药情况也非常有启示作用。可导致胸腔积液的药物非常多,并不在本文讨论范围内。网站www.pneumo-tox.com对于确定药物对肺脏和胸膜的影响很有价值。


应重视全身性症状,它们可提示结缔组织病、甲状腺功能减退或心力衰竭。如患者出现胸膜摩擦音,应考虑炎性、感染性病因或肺梗死。此外还要考虑胸腔积液的量和对称性。近70%的大量胸腔积液为恶性。双侧胸腔积液最有可能是充血性心力衰竭,也可出现于恶性肿瘤、结缔组织疾病、药物反应、感染和肾病。


胸部影像学


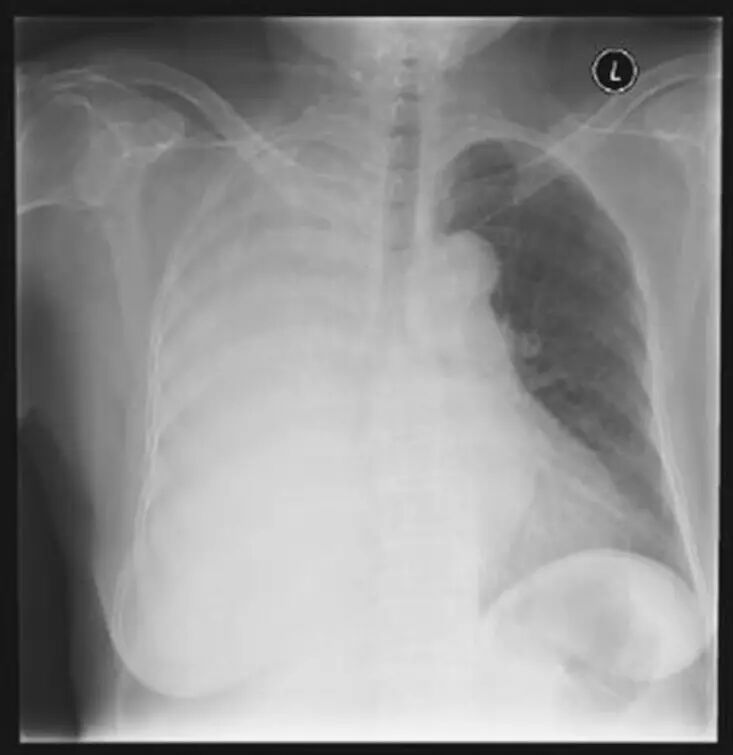
胸部影像学检查可提供关于胸腔积液性质的重要信息,包括位置、大小和积液的流动性。后前位(PA)胸片是首选的胸部成像技术,少量积液(前后位片约200mL,侧位片约50mL)即可通过肋膈角变钝来识别。而如前所述,大量胸腔积液最常见于恶性肿瘤。胸部平片也可为积液的病因提供线索,如支气管腔内阻塞性病变(图65-1)。


图65-1 大量胸腔积液患者的前后位胸片,可见支气管腔内阻塞性病变导致右主支气管截断征而纵隔仍居中。


计算机断层扫描(CT)对于确定不明原因渗出性胸腔积液的病因作用有限。是否行胸部CT取决于患者的临床表现,以及疑似疾病是否需要该检查来确诊,例如肺栓塞。胸水分析未能明确病因时,加作CT检查可能有帮助。


胸腔积液分析


1、胸水特性


对于未确诊的胸腔积液患者,胸水分析是首选的侵入性诊断性方法。


肉眼观察胸腔积液可预测其可能的产生原因。正常的胸腔积液外观通常是透明的淡黄色,渗出性胸腔积液也可表现如此。如积液为乳白色,则应考虑乳糜胸或黄甲综合征。混浊的积液特别是伴有恶臭(厌氧菌感染),可考虑复杂性肺炎旁积液或脓胸。血性胸水或肉眼血胸可见于恶性胸腔积液、冠脉搭桥后积液、良性石棉相关性胸腔积液、肺栓塞(特别是肺梗死)以及胸部创伤。红细胞比容可用于区分肉眼血胸和血性胸水。如果红细胞比容的胸水/血清比超过0.5,则符合血胸的标准,需要进一步评估患者是否存在持续失血可能。胸腔积液通常是无味的;然而,如上所述,恶臭味可能提示胸膜腔厌氧菌或混合感染。此外,尿胸时积液可闻到氨的气味。


2、细胞计数和分类


所有病因不明的渗出性胸腔积液患者均应进行胸水细胞计数和分类检测。胸水红细胞计数增高(>10000/mm3)时,可能的诊断前文已讨论。绝大多数胸水白细胞计数增高(>10000/mm3)的患者为脓胸。分类计数中嗜酸性粒细胞增高(>10%)提示药物反应、空气或血液污染胸膜腔。淋巴细胞为主(>50%)的胸水需要考虑恶性肿瘤、结缔组织病、肺结核、肺栓塞以及心肺分流术后积液。淋巴细胞计数异常增高(>90%)最常见于恶性肿瘤、结核或类风湿性胸膜炎。胸水中性粒细胞增高(>50%)往往归因于胸膜腔感染和膈下病变。


3、其他常规检查


如前所述,应常规检测患者胸水及血清中LDH和蛋白水平,以确认积液符合渗出液的Light标准(表65-1)。


胸水葡萄糖降低(<60mg/dL)的情况可见于肺炎旁积液或脓胸、结核性胸腔积液、恶性肿瘤或类风湿性胸膜炎。胸水pH值小于7.2时,除食管破裂外还要考虑肺炎旁积液或脓胸、恶性肿瘤和结核。胸水细胞学检查是必不可少的,多样本的检出率为40%~80%。胸水的革兰染色和细菌培养可鉴定出导致胸膜腔感染的病原微生物。值得关注的是,抗酸染色对结核性胸腔积液的诊断作用相当差,因此在高度怀疑结核时,建议检测腺苷脱氨酶或行胸膜活检。


4、特殊检查


临床中某些情况下,可考虑行额外的特殊检查。如胸水的外观疑似乳糜胸,应检测胸水三酰甘油的水平,大于110mg/dL时有诊断价值,可能的病因包括:胸导管受损、淋巴瘤或黄甲综合征。在特殊的情况下,淀粉酶是另一个有用的指标。膈下疾患可导致胸水淀粉酶水平升高(高于血清正常值上限),例如胰腺炎、涎腺肿瘤和食管破裂。如果考虑结核,可选择的特殊检查有腺苷脱氨酶(ADA)、γ干扰素(IFN)和聚合酶链反应(PCR)。ADA升高(>40U/ L)和以淋巴细胞为主的胸水高度提示结核性胸腔积液(>90%),在高流行的国家中这些指标常作为结核性胸膜炎的主要诊断依据。胸腔INF检测主要用于高度疑似结核而无法检测ADA或ADA值不确定的情况。PCR检查对诊断胸腔感染有帮助,但其假阳性率高,故作用有限。随着肿瘤靶向疗法的出现,胸腔积液可制作成细胞块以检测肿瘤标志物,如雌激素/孕激素受体状态、HER-2/neu或CA-125。


单次胸腔积液分析的效能较低,故建议在进行创伤性更大的操作前,至少重复胸腔穿刺和胸水分析一次。细胞学检查三次以上并不能带来额外的收益。经全面的胸腔积液分析,仍有25%的渗出性胸腔积液患者无法确诊。


可选的微创检查


如考虑有支气管腔内病变,应行可弯曲支气管镜检查。如疑似肺栓塞,可行CT血管造影检查。考虑心源性渗出性积液时,可行心电图和超声心动图检查。


胸膜活检


现有的几种胸膜活检的方法包括:常规的闭式胸膜活检术、经胸腔穿刺胸膜活检术和经胸腔镜直视下胸膜活检术。这些检查的效果取决于胸膜病变的范围和分布情况。除非病变非常严重,受累的胸膜往往分布不均。此外,病变可涉及脏层胸膜、壁层胸膜或两者兼有。


不明原因渗出性胸腔积液


不明原因渗出性胸腔积液是指按Light标准为渗出性且无法确定病因的胸腔积液。胸腔积液的病因检查应包括:全面的病史和体格检查、血清学检测、影像学检查及胸腔积液分析。不明原因渗出性胸腔积液与特发性胸腔积液的差别在于,后者不但符合前者所有的标准,且胸膜活检仍不能确定病因。


系统性评估不明原因渗出性胸腔积液的流程


图65-2 系统性评估不明原因渗出性胸腔积液的流程


总结


综上所述,探讨不明原因渗出性胸腔积液最佳处理方法的文献有限;然而,几乎所有的文献均认为,在进行了全面的检查评估后,只有少数的胸腔积液无法明确诊断。这一过程(图65-2)包括:详细地询问病史和体格检查,认真地回顾药物史和暴露史,以及合适的诊断性检查。胸腔镜检查后长时间的随访表明,大多数的无法确诊的患者病程进展相对缓慢,偶有复发。无需过分担心漏诊预后明显不良的疾病,如隐匿的恶性肿瘤。事实上,数据表明随访观察适用于该类患者。


本文内容来源于《介入呼吸病学理论与实践》,已获出版社授权使用。(点击下图即可查看详情!



医学界携手天津科技翻译出版社,为您推荐这本介入呼吸病学的经典之作,7.5折包邮,先到先得,不可错过~


注意!本书为现货,现在下单,第二天即可发货(周末除外)。


长按下方二维码,即可进入微店购买本书:

更多好书,请长按下方二维码,进入“界哥书店”浏览购买:

友情链接

Copyright © 2023 All Rights Reserved 版权所有 北京物流信息联盟