北京物流信息联盟

等待救命的病人,只能够选择挨宰!提前保健有多重要!

2021-10-31 10:14:59



血管堵塞是很严重的健康问题:

心脏血管堵了,就是冠心病、心梗。

脑血管堵了,就是中风。

四肢血管堵了,会导致肢体缺血、坏死甚至截肢。



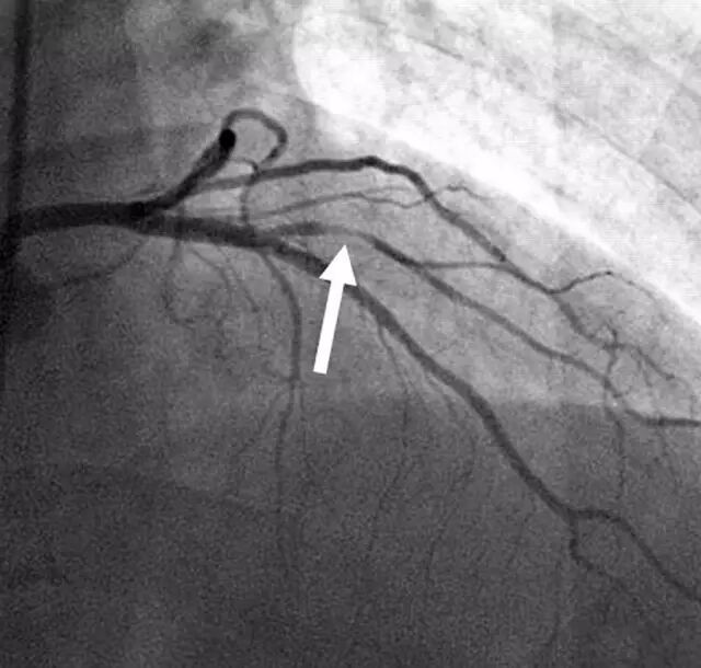
冠心病是为心脏供血的冠状动脉出现狭窄和闭塞引发的。支架手术已是治疗冠心病的主流技术之一,每年全球有数百万患者接受该手术。在中国,每年也要开展多达 40 多万例。


接下来小编就带你走近手术现场,看看支架是怎么放到血管里的。


第一步: 建立通道

选择手腕上的桡动脉或者大腿内侧的股动脉,用特殊的针刺穿血管,进入到血管中去。



第二步:放入导丝

然后,顺着针放进金属丝,针退出,留下金属丝。用这根金属丝将血管撑出一个通道,顺着通道将导丝和导管一路深入到心脏去,直到抵达冠状动脉。



第三步:血管造影

在一路抵达目的地的过程中,医生需要通过 X 光透视来观察情况,也需要通过导管推入「造影剂」,在 X 光下清楚显示血管,找到病变部位。



第四步:放入球囊、支架

顺着导管,医生将一个包裹了金属支架的球囊送入病变部位的血管,将球囊充气,用大约 10 倍大气压的压力将金属支架撑开。



简单来说,支架手术就是将用一个金属支架,把堵塞的血管撑开。虽然能够在一定程度上缓解血管堵塞给病人带来的危险,但是这个手术:

第一,没有改善病人的血液情况,血管依然容易堵塞;

第二,血液中的垃圾物质更容易挂在金属支架上,造成二次堵塞,可能会要再次做支架或者是搭桥手术;

第三,安装心脏支架的病人必须长期服用抗凝血、抗血小板聚集及降压药物。



不仅如此,比起患病更让人痛心的是,许多人将救命的支架做成了暴利产品。病人在走投无路的时候,不得不为病痛支付高昂的费用,让本来就不富裕的家庭雪上加霜。人民网一篇名为《滥用心脏支架,撑起少数人的暴发路》的文章揭示了这个惊人的利益链条:


在安徽省立医院,国产支架价格是8000多元,进口的是12000元左右。在北京的大医院里,国产支架平均价格约为1.1万元,进口药物涂层支架在3万至4万元之间。,医用耗材的溢价通常是5倍,而心脏支架的溢价程度最高峰时能达到出厂价的8至9倍。



一个心脏支架从生产企业到消费者手中,要经过独家代理商、省级经销商或是地市的次区域各级经销商、医院等多个环节。每个环节加价都在两成左右,环节越多价格越高。通常出厂价几千元的心脏支架,到达患者手里已经翻了好几翻。



《中国青年报》也曾引述专家的话称,心脏支架一半不靠谱,暴利达9倍超过贩毒这中间,巨大的利润被看不见的利益链条所瓜分。等待救命的病人,只有挨宰的份。


更有学者指出:滥用心脏支架问题已相当严重,12%的患者被过度治疗,38%的支架属于可放可不放。在医院里,每安装一个心脏支架,医生就能吃到相应比例的回扣。有记者调查发现,普遍回扣在10%—15%之间,“如果以3万为例的话,一个医生植入一个心脏支架的话可能就在两三千块钱的这样一个回报。”媒体曾披露一个案例,内蒙古赤峰市一患者因冠心病,体内被一次性植入9个心脏支架,术后症状非但没有减轻,反而日趋严重。



滥用心脏支架,肥了少数医生,撑起了少数人的暴发路,却让患者身体受损、钱包受伤。试问,如果换了你,医生有意无意地暗示你要装心脏支架,你是装呢还是不装呢?你敢拒绝吗?


心脏支架手术还仅仅是一个已经成熟的小手术,里面的真相已经丑陋不堪。那么如果是大手术呢?病人又要被抽去多少血汗钱?身体又要遭受多大的痛苦?


治病救人本是医生崇高的天职,但是,现在的病人在医生眼中,是不是就只成为了给自己填满腰包的人呢?

那我们自己呢?只能坐以待毙吗?

难道我们就只能成为别人刀下的鱼肉吗?

难道我们就只能将一生积蓄交给医院还要承受痛苦吗?

难道我们就一定要得病吗?



请您一定牢记,预防胜于一切! 

今天不养生,明天养医生;

今天不保健,明天养医院。

养生保健绝不能只成为一句空谈!




人到过了三十岁后,身体机体开始下降,血管也正是从这个时候开始慢慢堵塞,此时,正是保健正当时,提前使用磁疗保健,让你血管堵塞得慢一些甚至人不堵塞。今天使用磁疗保健,是为了减少明天去医院的机会。




【免责声明】我们重在分享,所有文字及图片均从网络转载,并未用于营利目的。对所述内容及观点保持中立,不对其准确性、可靠性、完整性提供任何保证,因编辑需要文字和图片之间亦无必然联系,仅供读者参考。如您(单位或个人)认为本平台有侵权嫌疑,敬请告知我们,我们会妥善处理。

珍惜生命,从磁疗开始

星显集团

公众号:starviews  网址:www.starviews.cn

免费热线:400-0990-255

致力于国人健康管理的智能养生体检第一平台


友情链接

Copyright © 2023 All Rights Reserved 版权所有 北京物流信息联盟