2021-11-19 08:58:02
第一节 人体体格测量
  根本目的:评价机体膳食营养状况,特别是学龄前儿童的测定结果,常被用来评价一个地区人群的营养状况。
  体格测量的前提:标准化
  体格测量
  人体营养状况评价的重要内容之一
  工作完成的质量直接关系到营养状况评价的准确性。
  体格测量的特征:
  组织管理、技术方面——共同性、重复性。
  标准化:
  测量工作质量管理的重要基础
  提高体格测量工作质量的有效手段
  标准及标准化的概念
  标 准:指对某项活动或其结果规定共同的和重复使用的规则、导则 或特征性文件。
  标准化:指制定共同的和重复使用的规则(即标准)的活动过程。
  精确度与准确度
  精确度:即精密度,指以最小的差异重复测定一个个体的能力。
  准确度:指测定值和“真值”相同的程度,即以尽可能的程度使所测值代表真实值的能力。
  标准化的目的
  体格测量工作“标准化”
  调查员的测量质量标准化
  提高测定的准确性和精确性
  达到规范化、系统化和科学化。
  标准化:三级教材P67 、 P70表
  成人体格测量的意义
  体重是了解蛋白质和能量摄入状况的重要观察指标。
  因为身高已基本无变化
  蛋白质和能量供应不足时体重的变化更灵敏
  “贴秋膘”与体格测量
  成人体格测量
  成年人最常用的体格测量指标
  身高
  体重 
  上臂围
  腰围
  臀围
  皮褶厚度
  身高和体重最重要,因为它综合反映了蛋白质能量以及其他一些营养素的摄入、利用和储备情况,反映了机体、肌肉、内脏的发育和潜在能力。
  儿童体格测量
  儿童生长发育测量常用的指标
  体重
  身高
  坐高
  头围
  胸围
  上臂围
  身高、体重、头围和胸围是儿童体格测量的主要指标。
  婴幼儿的体格测量:工作准备,在开展测量工作之前,应选择好工作场地,准备好软尺、标准量床和婴幼儿体重计等测量工具。记录表也需提前设计并准备。
  测量工具:软尺
检查、校对
  检查有无裂缝
  校对:
  用2m钢尺检查软尺是否标准
  误差:2m相差0.5cm则应更换
  测量工具:标准量床
  平地放置,围板刻度尺面向光源(利读数)。
  检查:仔细检查两端头板有无松动现象,围板0点是否与头板的头顶面重合
  校对:用钢尺校对围板刻度是否准确
  误差:10.0cm误差不得大于0.1cm。
  身长测量床
 婴幼儿体格测量
  (一)婴幼儿发育纵向指标
  取卧位分别测量头顶至臀部、足底的距离
  顶臀长——坐高
  身长——身高
  反映婴儿长期营养状况
  身长和顶臀长测定
  注意:婴幼儿脱去帽、鞋、袜穿单衣仰卧于标准量床底板中线上。由助手将婴幼儿扶正,头顶接触头板。
  测量者位于婴幼儿右侧,左手握住其双膝,使腿伸直,右手移动足板使其接触婴幼儿双侧足跟。读取围板上的刻度读数即为婴幼儿的身长,以厘米(cm)为单位,保留小数点后一位。
  婴幼儿体格测量
  (二)婴幼儿发育横向指标
  头围:从双侧眉弓上缘经枕骨粗隆绕头一周的长度
  胸围:指从两线经两肩胛下角下缘绕胸一周的长度
  胸围交叉:1岁时胸围与头围相等
  反映婴儿长期营养状况
  头围测量
  具体方法:,婴幼儿取坐位或仰卧位,测量者位于婴幼儿右侧或前方,用左手拇指将软尺零点固定于头部右侧眉弓上缘处,软尺经枕骨粗隆、左侧眉弓上缘回至零点,读取与零点重合处的读数(以cm为单位,保留小数点后一位)
  注意:需脱帽、软尺应紧贴皮肤勿打折长发或梳辫者应先将头发在软尺经过处向上、下分开,使软尺紧贴头皮
  头围测量
胸围测定
  体位:取仰卧位(平静平躺)
  测量者立于婴幼儿右方,用左手拇指将软尺零点固定于婴幼儿右侧下缘,右手将软尺绕经两肩胛骨下角下缘,再经左侧回至零点,读取软尺与零点重合处的读数,以cm为单位,保留小数点后一位
  注意:保持软尺的位置准确,必要时可由助手帮助固定软尺位置;软尺各处轻触皮肤,皮下脂肪较厚的婴幼儿宜稍紧些,取婴幼儿平静呼吸时的中间读数.
  胸围测定
婴幼儿体重测量
  体重:是指身体各部分的重量总和
  主要反映:骨骼、肌肉、内脏、体质和水分等的变化
  婴幼儿体重测量:婴幼儿体重磅秤,其最大载重量为50kg。采用成人体重计测量:婴幼儿的体重=共重-成人体重
  意义:婴幼儿体重对营养状况较为敏感,且误差小于身长测量的误差,故常用来评价婴幼儿营养状况
  婴幼儿专用体重计
婴幼儿体重计或成人体重计使用
  置于平地,要求无晃动
  校对零点
  测量准确度:用标准砝码检测,要求误差不得超过0.1%.
  方法:用10kg、20kg、30kg标准砝码校对,检查读数与标准砝码误差是否在允许范围
  体重测定
  体位:1岁以下取卧位,1~3岁取座位
  注意事项:婴幼儿要排空大小便,脱去外衣、鞋袜、帽子,只着背心和短裤,读数以kg为单位,记录至小数点后两位
  差减法:可用来测量哭闹厉害婴幼儿,体重测量的意义,反映婴幼儿近期营养状况
  婴幼儿体重测量
案例分析
  小李为一名营养师,在给某婴儿测量体重时,婴儿哭闹不止,且小李的工作室没有婴儿专用体重秤,请问小李应该怎么办?
  上臂围和皮褶厚度的测量
  上臂围:反映营养状况,与体重密度相关。
  皮褶厚度:衡量营养状况和肥胖程度较好指标
  测定部位——肱二头肌、肱三头肌、肩胛下角
  这些数据可分别代表肢体和躯干的皮下脂肪堆积情况,对判断肥胖和营养不良有重要价值。
  上臂的解剖学结构
  肩峰、鹰嘴
  肱二头肌、肱三头肌
 上臂围的意义
  上臂围:量取上臂自肩峰至鹰嘴连线中点的臂围长。
  意义:5岁以前儿童上臂围变化不大,1-5岁儿童上臂围大于13.5cm为营养良好,12.5~13.5cm为营养中等,12.5cm以下为营养不良。
  上臂围测量
皮褶厚度(一)
  皮褶厚度:主要表示皮下脂肪厚度
  WHO推荐:肩胛下角、肱三头肌、脐旁三个测量点。
  瘦、中等和肥胖的界限:男性:小于10mm、10—40mm、大于40mm,女性:小于20mm、20—50mm、大于50mm。
  皮褶厚度测量
皮褶厚度
  (三)皮褶厚度:
  反映人体皮下脂肪含量,它与全身脂肪含量具有一定的线性关系。
  通过测量不同部位皮褶厚度推算全身的脂肪含量。由于皮下脂肪厚度随不同部位、性别、年龄而异,所以在计算体内总脂肪含量时应选择适当的推算公式。
  皮褶厚度
  (四)根据皮褶厚度可推算人体密度(D):
  D=c-m×(log皮褶厚度值)C和m是公式中的系数。因性别和测量部位的不同系数有差别。
  再根据人体密度计算人体脂肪百分含量: BF%=(4.95/D- 4.50) ×100%
  皮褶厚度
  (五)通过测量不同部位的皮褶厚度,还可以反映人体皮下脂肪的分布情况。
  臂肱三头肌——肢体,肩胛下角——躯干,腹部——腰腹
  用上臂围和肱三头肌皮褶厚度可计算上臂肌围和上臂肌面积,反映机体肌肉的发育情况。
  上臂肌围(cm)=上臂围(cm)-3.14×三头肌皮褶厚度(cm)
  皮摺厚度计的使用方法
  (一)校对:长时间未使用的皮摺厚度计在使用前必须校对(具体参照说明书)
  皮摺计的压力:要求符合规定标准(10g/cm2)
  左手拇指和食指将特定部位的皮肤连同皮下组织捏起,右手握皮摺计测量距左手拇指捏起部位1cm处的皮摺厚度
  皮摺厚度计的使用方法
  (二)右手拇指松开皮摺计卡钳钳柄,使钳尖部充分夹住皮摺在皮摺计指针快速回落后立即读数一般要求在同一部位测量3次,取平均值为测量结果
上臂围和皮褶厚度测量操作
  三级要求
  上臂围的测量
  注意事项
  自然站立、手臂自然下垂、肌肉不紧张
  定位准确:肩峰至鹰嘴连线中点的臂围长。测量上臂紧张围、松驰围
  上臂围的测量
  上臂紧张围
  被测者单臂侧平举,掌心向上,用力握拳屈肘,测量肱二头肌最突出部位上臂围。
  上臂松弛围
  上臂放松自然下垂,测量同一部位的上臂围。
  上臂围差
  肉越发达,收缩与放松时围度差就越大。
  比较左右值,看肌肉发育是否均匀、对称。
  肱三头肌皮摺厚度测量
  受试者自然站立,被测部位要充分裸露,测试人员站在被测人员的背面。
  肱三头肌部:肩峰至尺骨鹰咀尖的中点,上臂自然下垂,前臂屈曲90°,测定者位于被测者后方,将右上臂三头肌部皮肤连同皮下脂肪捏起呈皱褶。采用皮褶厚度卡尺测量3次,取平均值。
  肱二头肌皮摺厚度测量
  受试者自然站立,被测部位要充分裸露,测试人员站在被测人员的对面或侧面。受试者上臂放松自然下垂,测试人员取肱二头肌肌腹中点处(基本与水平,在肱三头肌对面)为肩峰与肘鹰嘴连线中点上1cm,用油笔标记该点,垂直于上臂纵轴方向用左手拇指与食指、中指将被测部位皮肤和皮下组织夹提起来,其余操作同肱三头肌
  肩胛下角皮摺厚度测量
  上臂自然下垂,于被测者右肩胛骨下角尖端部将皮肤连同皮下脂肪捏起呈皱褶每个部位采用皮褶厚度卡尺测量3次,取平均值。
  其他部位皮摺厚度的测量
  腹部:锁骨中线与脐水平线交叉处
  大腿部:腹股沟中点与髌骨顶连线中点和下肢长轴平行的皮褶处.
    
第一节 人体体格测量
  
  根本目的:评价机体膳食营养状况,特别是学龄前儿童的测定结果,常被用来评价一个地区人群的营养状况。
孕妇体格测量有关指标
  以检测胎儿发育为目的的孕妇体格检查,常包括身高、体重、腹围、体温、脉搏、呼吸及血压等。主要掌握身高、体重和腹围
  测量指标及其意义:身高
  身高可以估计骨盆的大小。
  身高<145cm者,常伴有骨盆狭窄,意味着阴道分娩存在困难。身高>152cm,除巨大胎儿外,一般阴道分娩不会有困难。
  测量指标及其意义: 体重
  孕前体重、种族及遗传背景、孕期营养状况及生活方式、妊娠期心理状态、妊娠合并症与并发症等,均影响孕期体重变化。适度的孕期体重增加是胎儿正常发育和孕妇在孕期适应性变化良好的重要指标之一。孕期体重增加过多或不足,提示胎儿可能存在发育异常或(和)孕妇可能伴发某种疾病。 
  必要性体重增加
  定义:胎儿、胎盘、羊水、增加的血容量增大的乳腺和子宫被称为必要性体重增加。
  平均体重增长值
  初产妇:12.5kg,经产妇:比初产妇低0.9kg
  妊娠晚期:每周增加≤500g,否则提示水肿或隐性水肿
  孕妇体重增加的规律(一)
  孕40周增加的12.5kg体重中:
  胎儿及其附属物:约5kg,占总增重量的40%
  子宫增加约0.97kg,增加约0.4kg
  血液及血管外液增加近3kg
  母体贮备增加3.3kg左右
  孕妇体重增加的规律(二)
  孕期体重增加范围
  10周时:650g(0.65kg);20周时:4000g(4kg);30周时:8500g(8.5kg);40周时:12500g(12.5kg)
 孕期体重增加
  孕期体重增加过多常提示胎儿体重增加较快,其结果是导致巨大儿出生率增加。
  无论孕前BMI如何,全孕期体重增加越多,巨大儿发生率越高。
  腹围
  孕16周开始每周测量一次腹围,皮尺经脐绕腹一周;孕20~34周时腹围增加最快;孕34周后腹围增长减速
  警惕:腹围增长过快提示,羊水过多,双胎或多胎
  孕妇的体格测量
  工作准备
  身高计:钢尺校对,每10cm的误差≤0.1cm,电子体重可杠杆秤:每10kg的误差≤0.1kg
  卷尺:标准钢尺校对,每米误差≤0.2cm
  工作程序
  填写登记表
  身高测量 以cm为单位,精确到小数点后1位(0.1cm);体重测量 以kg为单位,精确到小数点后1位(0.1kg);腹围测量 以cm为单位,精确到小数点后1位(0.1cm)
  定期测量和评价
  案例分析:
  孕妇李女士,身高155cm,体重60kg,请问李女士BMI为多少?
  李女士在孕期体重增加了14kg,请问是否合理?
  根据李女士的BMI,其体重增加多少较为适宜?
  青少年身高和体重的监测
  青少年时期身体发育加快,身高、体重等形态发育指标呈快速增长趋势,是营养监测的最佳也是最简便的指标,通过测量体重、身高及其变化,比照标准生长发育参考值,可以评价青少年的体格发育和营养状况。
  监测体重和身高的意义
  体重:是反映人体生长及围度、宽度、厚度及质量的整体指标。反映骨骼、肌肉、皮下脂肪及内脏器官发育状况和人体充实度,可以间接反映人体的营养状况
  身高:是反映青少年骨骼发育和纵向高度的主要形态指标
  能力要求
  体重的监测及体重百分位数曲线图的绘制
  1. 工作准备
  工作程序(一)
  确定百分位数曲线法的评价标准,百分位数法是以所有调查数据的中位数为基准值,以其余各百分位数为离散距,对生长发育水平进行分等级评价的一种方法。
  整理调查数据
  工作程序(二)
  制作标准体重百分位曲线,百分位曲线的使用,标示体重,评价体重的变化趋势
注意事项
  制作标准参考曲线应选择高质量、大样本量、代表性好的数据,在利用标准百分位数曲线评价时,应根据被监测对象的具体情况选择相应的参考曲线
  儿童身高和体重的监测
  影响儿童的生长发育和体型的因素、受遗传和环境、营养因素、体重和身高监测的意义,综合地反映蛋白质、能量以及一些无机元素的摄入、利用和储备情况,反映机体、肌肉、内脏的发育及潜能
  监测指标及其意义
  体重:反映近期的营养状况
  身高(长):反映长期营养状况
  上臂围:紧张围-松驰围→肌肉发育状况
  头围:主要反映3岁以下儿童脑发育状况
  皮褶厚度:衡量个体营养状况和肥胖程度
  胸围:间接反映心肺发育状况(影响因素多)
  测量误差和控制
  误差:测得值与真实值之差,或样本指标与总体指标(参数)之差
  系统误差:即可定误差。指由某种确定原因 引起的误差。
  偶然误差:即随机误差或不可定误差。是由某些偶然因素引起的误差。
  抽样误差:是由个体差异造成的样本指标与总体指标之间的差异。
  误差的控制和表达
  误差来源和控制:二级P53表
  准确度与误差
  准确度:测量值(x)与真实值(μ)接近的程度
  准确度高低的衡量——误差、绝对误差、相对误差 
  精密度与偏差
  精密度:指平行测量的各值之间相接近的程度 
  精密度高低的衡量——偏差
第二节 实验室标本收集
  和指标判断
  生物样品的收集是生化检验的前提,生物化学检验是一门由分析化学、生物化学、电子计算机技术和临床医学等学科相互渗透结合逐渐形成的理论与实践性较强的边缘学科。
  是营养师必须要了解的知识。
  三级要求
  实验室指标收集和判断(一)
  生物化学检验,是一门研究人体健康和疾病时生理生化过程的医学基础理论学科,又是一门应用各种技术和方法分析机体健康和疾病时体液或组织样品中各种化学成分的医学应用技术学科。
  生物化学检验的主要任务
  研究人体器官、组织、体液的化学组成和生化过程,研究疾病、药物对这些过程的影响,为疾病诊断、病情监测、药物疗效、预后判断和疾病预防等各个方面提供信息和理论依据。
  实验室指标收集和判断(二)
  生化检查的作用
  阐明有关营养过剩和营养不良的生物化学基础,阐明疾病前期发生发展过程中的生物化学变化;应用生化检验的方法和技术,对检验结果的数据及其临床价值作出评价,用以帮助营养相关问题的诊断以及采取适宜的预防和干预措施。
  实验室指标收集和判断(三)
  凡尿液化学成分的定量检查,大多用24小时尿标本。尿糖、尿蛋白、尿17 羟皮质类固醇及17羟酮类固醇等定量,做尿糖检查时:应留空腹尿,否则应注明进餐后留尿时间,其它特殊化验,应按试验要求留取标本,如酚红排泄试验等。
  尿液用于营养评价的意义
  测定人体蛋白质需要量和氨基酸代谢试验,测定水溶性维生素的耐受试验和研究水溶性维生素的需要量,评价矿物质的代谢,评价机体水溶性维生素的营养状况,研究人体矿物质的需要量
  尿液样品的收集和保存(一)
  正确收集尿液标本和保存,以保证结果的准确性,尿常规检查:最好使用清洁干燥一次性塑料尿杯,避免因残留物污染,影响检验结果。标本必须新鲜,留取后及时送检,以免细菌繁殖。留尿后应在半小时至一小时内检测完。室温中久置后(尤其是夏季)尿中磷酸盐等可析出结晶而干扰显微镜检查。某些化学物质,如尿胆原,可因光分解或氧化而减弱。 
  注意事项(一)
  收集容器要求:清洁、干燥、一次性使用,开口较大,便于收集,无化学干扰物质混入,容器上有明显标记:姓名、编号、收集日期等,标本应足够量,任意一次尿标本至少留12ml,其它项目最好超过50ml
  注意事项(二)
  尿培养:应在无菌条件下,用无菌容器收集中短尿,检测资料准确性的保障,正确收集标本,及时送检
  尿液样品的收集和保存(二)
  24小时尿留取注意事项:上午8时嘱病人排尽尿,弃去。收集24h内的全部尿液,包括次晨8时整最后排出的尿液,混合后量总体积,并记录总量。取60ml尿液置于棕色瓶内送检,并在送检单上写明总尿量,从速送检。尿液标本的保存,尿液是良好的培养基,易分解、腐败。
  保存方法:冷藏于4℃,加入化学防腐剂。
  福尔马林:用量为每升尿液中加入5ml
  甲苯或二甲苯:每升尿中加5~10ml
  麝香草酚:每升尿中小于1g
  浓盐酸:每升尿中加10ml。加酸降低尿pH值是定量测定肾上腺素、儿茶酚胺、17羟类固醇和17酮类固醇等的最好的保存方法。
  尿液标本的保存
  碳酸钠、氯仿、混合防腐剂、粪便的收集和保存、粪便标本的检测对判断消化系统疾病有重要参考价值。
  常规粪便标本
  浓缩粪便标本:24h内的所有粪便
  粪便的保存
  固定保存:检测 寄生虫及虫卵
  冷藏保存:勿超过3天
  运送培养基保存:腹泻患者查致病菌
  0.05mol/L硫酸保存:做氮平衡实验
  冷冻保存:矿物质代谢研究
  粪便用于营养学研究的意义
  测定人体蛋白质的需要量(氮平衡法)
  测定食物蛋白质的营养价值(氮平衡法)
  研究人体矿物质(Ca、Fe、Zn等)的需要量
  评价食物中矿物质的吸收率以及影响矿物质元素吸收的因素
  监测体内矿物质随粪便的排泄情况
  粪便的收集和保存
  工作准备
  工作程序
  常规粪便的收集
  贴标签
  收集:要求用干净的竹签选取含有粘液、脓血等异常病变成分的粪便,对外观无异常的粪便须从表面、深处及粪端多处取材。从速送检
  粪便的保存
  粪便的收集和保存注意事项(一)
  标本新鲜、盛器洁净、不得污染,找寄生虫虫体及作虫卵计数应收集24小时粪便。查痢疾阿米巴滋养体应于排便后立即检查,从有脓血和稀软处取材,保温送检。
  化学法隐血实验:前三日禁食肉类、动物血、铁剂、维生素C
  粪胆原定量:连续收集3天的粪便,每天混均后取20g送检
  粪便的收集和保存注意事项
  常规粪便标本采集后1小时内应检查完毕,以防止有形成分受消化酶及pH的破坏。
  血样的收集和保存
  全血:用于细胞计数、分类、形态观察
  血浆:全血去除血细胞,用于血栓止血检测
  血清:全血自然凝固后析出的液体,用于生物化学、免疫学检测等。
  标本采集的质量控制
  标本采集时应规范操作,以减少误差;
  毛细血管采血时应避开伤损部位,避免挤压皮肤,血液应自然流出;
  静脉采血时压脉带压迫时间不宜太长;
  动脉采血后应立即与空气隔绝,阻止血气交换。
  注意:严禁在静脉输液管中采集血液
  标本采集的质量控制
  容器要洁净干燥,避免强力振荡引起溶血;
  血液标本采集后应立即送检;
  抗凝的标本其比例要准确,必要时需修正;
  尽量避免输液时采血,因可干扰测试结果;
  血清或血浆的分离
  采血后尽快分离
  离心机:3000转/分钟离心10~15分钟
  血液标本的保存与处理
  保存:
  分离以后的血浆20~30℃室温中储存<4h;
  4℃冰箱可储存1d,-80℃冰箱可储存30d;
  生化检验和免疫学检验的标本4℃冰箱可
  储存1周。
  血样的收集和保存
  工作准备
  采血容器
  抗凝剂
  离心机、冰箱、试管或离心管、试管架等
  工作程序
  血样的采集:末梢采血静脉采血
  血清或血浆的分离
  血样
采血注意事项
  采血管分普通管、抗凝管和促凝管三类。
  末梢采血应清洁消毒,待干燥后用1次性采血器穿刺。婴儿可取自脚后跟两侧处,一般不取手指,采血中不可用力挤压,以免组织液混入血液,使血液易于凝固和稀释,出现误差。
  血清标本应避免溶血,并及时分离血清,如需隔日检验,应封口后冰箱储存。
  血液中营养相关指标的分析
  血液营养相关评价指标有很多种,如蛋白质和酶类、糖类、脂类、矿物质、维生素、免疫指标等。
  机体通过消化道吸收或静脉滴注的营养物质通过血液运往全身组织器官,多数组织器官的代谢产物又随血液循环到排泄系统。
  血液中的营养物质及其代谢产物的测定可反映机体的营养状况和代谢情况。
第三节 营养不良的症状和体征判别
  营养不良种类很多,某些营养素缺乏症具有一定的地区性,如蛋白质营养缺乏症、维生素A营养缺乏症、维生素D营养缺乏症、维生素C营养缺乏症、钙营养缺乏症、碘营养缺乏症、硒营养缺乏症、氟缺乏症等。
  蛋白质—能量营养不良判断
  定义:蛋白质—能量营养不良(Protein EnergyMalnutrition,PEM)是指由于蛋白质和能量摄入不足引起的营养缺乏病。
  在任何国家中的任何年龄人都可以发生能量代谢:是生命活动的基本特征之一
  人体的一切生命活动都需要能量
  人体能量代谢的最佳状态
  达到能量消耗与能量摄入的平衡。
 蛋白质—能量营养不良的症状、主要症状:极易感到疲劳、情绪不好、虚弱无力、严重者可出现神经精神症状、意识模糊、认知能力下降
  蛋白质—能量营养不良的体征主要体征:生长停滞:婴幼儿、青少年;体重下降:较敏感且出现较早;容易感染:腹泻、感冒等、低血压、低体温、心动过速
  蛋白质营养不良
蛋白质—能量营养不良的分类
  水肿型营养不良(Kwashiorkor),以蛋白质缺乏为主而能量供给尚能适应机体需要,以水肿为主要特征,消瘦型营养不良(Marasmus),以能量不足为主
  表现为皮下脂肪和骨骼肌显著消耗和内脏萎缩
  混合型( Marasmic kwashiorkor. ):蛋白质和能量均有不同程度的缺乏,常伴有维生素和其他营养素缺乏
 marasmus Kwashiorkor 
  三级要求
  营养性贫血的判断
  易患人群:
  2岁以下的婴幼儿
  生长发育期的儿童、青少年
  育龄妇女、孕妇、乳母
  分类
  缺铁性贫血:体内缺铁
  巨幼细胞性贫血:缺叶酸、vitB12
  缺铁性贫血
  贫血面容
红细胞
体内缺铁分阶段
  铁减少期
  体内储存铁减少
  血清铁浓度下降
  无临床症状
  红细胞生成缺铁期
  血清铁↓、运铁蛋白↓、游离原卟啉↑
  血红蛋白未降至贫血标准——亚临床阶段
  缺铁性贫血期
  血红蛋白↓、红细胞比积↓
  有临床症状
  缺铁性贫血的症状与体征
  起病缓慢,皮肤黏膜苍白
  乏力、烦躁、萎靡
  消化道症状、异食癖
  免疫力下降、抗感染及抗寒能力下降
  肝脾肿大、心率增快
  化验:血红蛋白↓、血清蛋白↓
  维生素A缺乏
  维生素A缺乏的判断与评价
  维生素A的主要功能
  维持正常的视觉功能,特别是暗光下视觉
  维持皮肤黏膜健康
  促进生长
  增强免疫力
  维生素A缺乏的基本体征(一)
  眼部症状:最早出现
  眼干燥:毕托氏斑(Bitot’s)
  夜盲症:视网膜维持暗视觉的视紫红质生成障碍
  角膜软化:上皮糜烂、溃疡、穿孔
  皮肤症状
  干燥、毛囊角化、鱼鳞样,
  蟾皮症:皮脂腺分泌减少、皱纹、丘疹
  翼状胬肉
毛囊角化
 维生素A缺乏的基本体征(二)
  骨骼系统
  儿童骨组织生长停止,发育迟缓
  牙龈增生角化,牙齿生长延缓、有裂纹→龋齿
  生殖功能
  性激素合成障碍:男女不孕不育
  胎儿畸形
  免疫功能
  细胞免疫功能低下:反复呼吸道、消化道感染
  维生素A缺乏的判定标准
  血清视黄醇含量
  成人:1.05-3.15μmol/L,低于0.35μmol/L为缺乏
  儿童:>1.05μmol/L,小于0.7μmol/L为缺乏
  暗适应能力测定:下降
  生理盲点:正常人为1.8cm2,缺乏时会扩大
  眼结膜印迹细胞学法
  尿液上皮细胞检查
  维生素A中毒
  中毒剂量:成人一次或多次摄入推荐摄入量(男性800μgRE/日,女性700μgRE/日)的100倍可发生中毒。
  用鱼肝油换算:每日吃33粒,连续服半年
  症状与缺乏很相似
  呼吸道黏膜结构
维生素D缺乏
  维生素D缺乏的判断与评价
  原因
  地域:气温低、日光照射不足、户外活动少
  膳食:食物中缺乏维生素D来源
  易患人群:婴幼儿、孕妇、乳母、老年人
  骨软化病的症状和体征
  常见症状
  骨痛
  肌无力:维生素D缺乏的重要表现
  骨压痛
  体征
  鸭步:骨痛与肌无力同时存在时
  成人骨软化:软化、变形、易折断
  骨软化病的判定标准
  骨质软化
  骨样组织增生
  骨骼变形
  影响维生素D和钙吸收的因素
  促进因素
  适当的钙磷比例
  肠道pH值为酸性环境
  同时摄取维生素A、C等
  阻碍因素
  植酸、草酸
  脂肪酸
  膳食纤维
  碱性药物
  儿童佝偻病的判断与评价
  佝偻病俗称软骨病
  佝偻病
 佝偻病的临床表现(一)
  神经精神症状:盗汗、枕秃、夜惊、易激怒
  骨骼变化:颅骨软化——佝偻病的早期表现
  头部:方颅、乒乓颅、囱门闭合延迟、出牙晚等
  胸部:肋骨串珠、胸廓畸形
  四肢脊柱:O形腿、X形腿、手足镯、脊柱弯曲或侧弯
  佝偻病的临床表现(二)
  其他表现
  发育不良、神情呆滞、行走晚
  条件反射建立缓慢且不巩固
  化验
  血钙低
  碱性磷酸酶活性升高:较早出现
  血清25-(OH)D3水平:正常值为10-80mmol/L
  X线检查:P117
  维生素D异常判定标准
  佝偻病的诊断:P117表2-13
  中毒:小儿2万-5万IU/日(鱼肝油300IU/粒) 
  连续服用数周或数月可发生中毒
  换算成鱼肝油:100粒/日,连续数周或数月
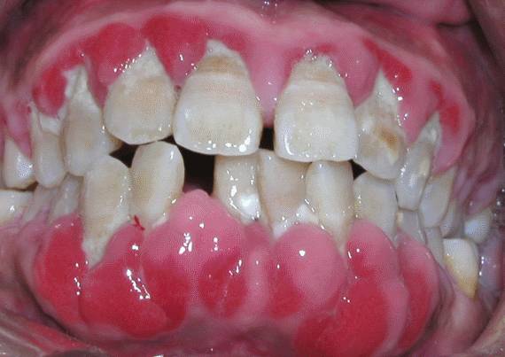
  维生素C缺乏
  牙周病
维生素C缺乏的症状和体征(一)
  一般症状:约缺乏3-4个月后才出现
  出血症状
  皮肤瘀点
  齿龈肿胀、出血、感染、牙齿脱落
  其他部位出血
  贫血
  出血导致
  缺乏时影响铁的吸收 
  维生素C缺乏的症状和体征(二)
  骨骼症状
  四肢疼痛——蛙状体位
  坏血病串珠
  骨压痛
  其他症状
  水肿、发热、黄疸等
  维生素C缺乏的判定标准
  病史:饮食
  症状及体征
  实验室检查
  毛细血管脆性实验
  血浆及白细胞中vitC含量测定
  血浆:vitC≤11.4μmol/L
  白细胞:vitC≤2μg /108细胞 
  维生素B2缺乏
  维生素B2又称核黄素。
  维生素B2缺乏在我国是常见的营养缺乏病
  核黄素
口角炎
 维生素B2缺乏的症状和体征
  早期症状
  全身:虚弱、疲倦
  眼部:发烧、痒、睑缘炎
  口部:口痛、舌炎、唇炎、口角炎
  皮肤:脂溢性皮炎、阴囊炎、炎 
  口生殖器综合征
  练习题
  核黄素缺乏的主要表现可能有 ( ABCDE )
  A.唇炎 B.舌炎 C.脂溢性皮炎 D.眼部炎症 E.贫血
  锌缺乏
  锌缺乏的判断与评价
  易患人群:婴幼儿、儿童、孕妇及育龄妇女
  主要表现:
  食欲不振、厌食
  免疫力低下
  生长发育不良
  性成熟延迟
  锌缺乏的原因
  原发因素
  含锌的膳食摄入量及生物利用率低
  锌的生理需要量增加
  继发因素
  肠吸收障碍
  其他疾病状态下继发锌的缺乏
  锌缺乏增加腹泻与肺炎的风险
  锌缺乏的主要表现和判断
  病史
  症状
  体征
  实验室检查
  发锌:<70μg/g(<1.07μmol/L)儿童缺锌临界值
  血清/血浆锌
  尿锌:健康人每日尿排锌约300~600μg
第二节 实验室指标收集和判断
  二级要求
  与营养相关的血常规指标和意义
  血常规内容:红细胞计数、血红蛋白浓度、白细胞计数和分类及血小板计数等
  了解其正常值范围以及变化有助于某些疾病的诊断和对营养状况进行评价。
  与营养相关的血常规指标正常值范围和变化意见见表2-9。P60
  血中维生素和矿物质检测指标及其正常参考值
  人体若对某种维生素或矿物质长期摄入不足,会造成血液中该种维生素或矿物质的浓度低于正常值。
  正常参考值和缺乏诊断标准可参见表2-10。P61
  血糖测定值的判断分析
  空腹血糖正常值:3.9~6.1mmol/L
  糖耐量减低:空腹血糖在6.1-7.0mmol/L之间
  糖尿病诊断标准:空腹血糖≥7.0mmol/L
  餐后血糖≥11.0mmol/L
  血脂测定值的判断分析
  由于不同地区人群血脂正常参考值有一定偏差,且设备、试剂等不尽相同,不同医院化验单上的参考值可能有些出入,分析判断时应以化验单上的正常参考值为准。
  血浆蛋白质测定值的判断分析
  测定血中总蛋白、白蛋白、球蛋白以及白、球蛋白比值,对判断机体的蛋白质营养状况以及一些疾病的诊断有积极的意义。
  机体能量——蛋白质营养摄入不足、吸收不良时,血清蛋白质会降低。
  相关链接
  红细胞转酮醇酶焦磷酸硫胺素效应(vitB1)
  TPP效应
  红细胞谷胱甘肽还原酶活力系数(vitB2)
  化验单分析P66
  尿液中营养相关指标的分析(一)
  机体代谢终产物都经尿液排出体外,因此尿液检测对于疾病的诊断、营养状况的评估都有积极的意义。
  尿常规指标:颜色、相对密度(SG)、 pH值、尿蛋白(PRO)、尿糖(GLU)、尿沉渣、尿胆红素(BIL)、酮体(KEN)、尿胆原(UBG)、尿潜血(ERY)
  尿液中营养相关指标的分析(二)
  颜色:正常为淡黄色透明的液体。
  异常的颜色的临床意义:
  红色、乳白色、深黄色、酱油色或葡萄酒色、蓝绿色。
  相对密度:正常参考值为1.015~1.025。
  相对密度↑:急性肾炎、糖尿病、休克、脱水等
  相对密度↓:慢性肾炎、尿崩症等
  尿样  
尿液中营养相关指标的分析(三)
  pH值
  新鲜尿正常多呈弱酸性反应,其pH值为6.5,有时呈中性或弱碱性。
  尿蛋白
  定性
  正常尿液中含微量蛋白质(20-80mg /24h尿)用一般试验方法不能检出。
  尿液中营养相关指标的分析(四)
  尿沉渣镜检
  白细胞不超过5个
  红细胞不超过3个
  可有少量上皮细胞、盐类结晶,没有管型。
  尿糖
  定性试验为阴性
  定量:0.56~5.0mmol/24h尿。
  尿液中营养相关指标的分析(五)
  酮体
  正常:体小于10mg/dl。
  尿中酮体增多的原因如下:
  生理性 
  病理性 
  尿胆红素和尿胆原
  尿胆红素:正常人为阴性。
  尿胆原:正常人尿中含量很少,定性试验可呈弱阳性
  头发中营养指标的分析
  头发中无机元素含量的正常参考值范围
  影响头发无机元素含量的因素:
  地域、性别、年龄、环境、饮食等都有影响。
  头发中营养相关指标的意义
  头发的生长速度每天为0.3~0.4mm
  近发根2~4cm显示近3个月体内矿物质的存储量。
  
第三节 营养不良的症状和体征判别
  二级要求
  碘缺乏
  地方性甲状腺肿
克汀病
碘营养缺乏状况评价
  碘缺乏原因
  人类生活环境中碘缺乏是根本原因
  碘缺乏的其他原因
  碘的排泄途径
  经肾脏由尿排出是碘的主要排出途径
  碘缺乏症的流行症状
  碘营养缺乏状况评价(二)
  碘缺乏病的表现
  碘缺乏发生在不同生理状态的人群,在人类生命周期的不同阶段碘缺乏的表现见表2-19。
  碘缺乏病的预防
  主要措施:推行碘化食盐以消灭地方性甲状腺肿和地方性克汀病。在饮食中注重含碘较高食物的摄取。
  硒缺乏
  硒营养缺乏状况评价
  硒缺乏原因
  硒缺乏主要发生在土壤硒含量较低的地区,居民多以食用本地所种植的粮食为主,肉类等动物性食品的食用量少,因此,膳食硒摄入量处于较低的水平。
  硒缺乏与人类相关疾病
  克山病
  以心肌损害为特征的病变,它具有明显的地区性发病特点,多发人群为断奶后学龄前儿童及生育期妇女。
  大骨节病
  主要分布在我国的西北地区,是一种地方性、多发性的变形骨关节疾病,主要发生于青少年,其发病可能与低硒有关。
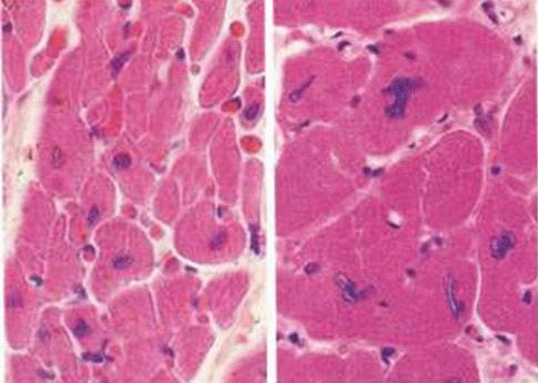
  其他疾病
  正常与水肿的心肌细胞
硒缺乏的预防和控制措施
  适当补硒
  选择合理的膳食
  硒中毒
  硒对人和动物的健康很重要,但摄入过多可引起人和动物的硒中毒
  硒中毒的症状:皮肤痛觉迟钝、四肢麻木、头昏、食欲不振等。
  练习题
  硒缺乏引起的克山病分为 ( ABCD )
  A.急性型 B.亚急性型 C.慢性型 
  D.潜在型 E.混合型 
  氟缺乏
  氟营养缺乏状况评价
  氟的生理作用
  能维持机体正常的钙磷代谢,血液里的氟主要通过吸附与离子交换而进入组织,使结构疏松的羟磷灰石转变为质地坚硬的氟磷灰石。
  氟缺乏与龋齿
  龋齿是牙齿硬组织的一种慢性疾病,龋齿主要表现在牙齿被腐蚀出现蛀洞、牙痛等,氟缺乏可促进龋齿的发生和发展。
  氟与骨质疏松
  老年人缺氟时,可能会影响钙、磷的吸收利用,可导致骨质疏松,水中氟含量较高地区的居民中,骨质疏松的发生率相对较低。
  氟过量
  氟过量评价
  地方性氟中毒发病机制
  地方性氟中毒流行病学
  饮水型病区
  生活燃煤污染型病区
  食物型病区
  氟斑牙
氟骨症
氟过量评价
  表现
  氟斑牙 
  氟骨症 
  其他表现
  氟中毒的预防和控制
  减少氟摄入量
  减少机体对氟的吸收
  促进体内氟的排泄
  改善生活条件,增强集体抵抗力
  烟酸缺乏
  皮炎(烟酸缺乏)
癞皮病(烟酸缺乏)
烟酸营养缺乏状况评价
  烟酸缺乏的原因
  日光暴晒、局部摩擦、重体力劳动、长期服用抗结核药等,可诱发烟酸缺乏症。
  烟酸缺乏症状
  三D症状:皮炎、腹泻、痴呆
  烟酸缺乏病的预防
  合理调配膳食是预防本病的关键。
  烟酸营养缺乏体征
  皮疹
  部位:体表暴露部位、易摩擦处
  对称性
  表现:鲜红或紫红色实质性肿胀斑片,界限清楚
  消化道症状
  牛肉红舌、杨梅舌
  腹泻
  精神与神经症状
  失眠、易激动、过度兴奋、多语、行为异常
  个体营养状况综合评价
  膳食调查
  体格检查
  营养缺乏病体征检查
  实验室生化检验
相关推荐
友情链接
Copyright © 2023 All Rights Reserved 版权所有 北京物流信息联盟
