北京物流信息联盟

尿液背后,不为人知的秘密

2022-04-26 16:59:53

检验医学——中华检验医学网旗下微信公众平台。您的随身微杂志。 


陆    瑛    海宁市人民医院   

田华华    萧山区第四人民医院

校审:郑素洁    浙江省人民医院



你腰酸背痛吗?

你尿色异常吗? 

你会看尿常规化验单吗?

你见过尿液在显微镜下的样子吗?



你知道一张普通尿常规检验报告单背后隐藏的秘密吗?


尿常规是不可忽视的一项检查,不少泌尿系统疾病早期就可以出现蛋白尿或者异常有形成分。




接下来小编就带大家进入检验微观世界

看尿液。

肾性血尿:红细胞来自肾小球畸形红细胞类型在2种以上,常见于急性或慢性肾小球肾炎、慢性肾盂肾炎、肾病综合征等。

非肾性血尿:红细胞来自肾小球以下部位的出血,大部分红细胞为正常红细胞或单一形态红细胞,常见于剧烈运动后的一过性血尿、泌尿系统炎症、肿瘤、结核、结石、生殖系统炎症等。




在低渗尿液中,中性粒细胞胞质内颗粒呈布朗运动,在镜下可见灰蓝色发光现象,运动似星状闪光,称为闪光细胞,常见于急性肾盂肾炎。



 

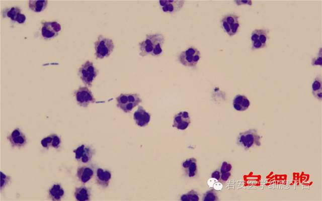
脓细胞常见于细菌感染的泌尿系统炎症,肾盂肾炎、膀胱炎、前列腺炎、尿道炎、肾结核等。


淋巴细胞和单核细胞增多见于肾移植后排斥反应、新月体性肾小球肾炎、应用抗生素及抗癌药物后、淋巴细胞增多还可见于病毒感染

嗜酸性粒细胞增多见于间质性肾炎、变态反应性泌尿系统炎症




吞噬细胞增多:见于泌尿系统急性炎症。




肾小管上皮细胞:当该类细胞明显增多时,提示肾小管有明显坏死性病变。常出现于肾移植术后,尤其是发生排斥反应时。




表层移行上皮细胞:即大圆上皮细胞,成片脱落伴白细胞增多,提示膀胱炎。


中层移行上皮细胞:多来自肾盂,提示肾盂肾炎


底层移行上皮细胞:若见到成片脱落,表明从肾盂到尿道有炎症或坏死性病变。


鳞状上皮细胞男性尿液少见女性略多约为男性的5倍。


核异质细胞:当泌尿系统有严重病变的时候,会出现核异质细胞,但并非肿瘤细胞。




小贴士:


1、尿常规检查时,留取尿液不少于10毫升。 


2、一般要求女性留取尿标本时应避开经期,以防止阴道分泌物混入尿液中,影响检查结果。


3、尿常规和尿细菌学检查时留取中段尿,因前段尿和后段尿容易被污染。


4、留取尿液应使用清洁干燥的容器(医院提供的一次性尿杯和尿试管)。


5、所留尿液应尽快送实验室检查,因为时间过长会影响检查结果的准确性。


如腰酸背痛、尿液肉眼下出现异常时,请及时就医以排查肾脏疾病。


本资料由浙江省人民医院检验中心细胞室提供,转发自“君安医学细胞平台







检验医学•中华检验医学网

全国最具影响力的检验医学新媒体平台

因为专业所以权威丨投稿联系:12557057@qq.com

友情链接

Copyright © 2023 All Rights Reserved 版权所有 北京物流信息联盟