北京物流信息联盟

【新技术】输卵管造影不一定要“吃”射线!无辐射,当月可备孕,这项新技术咱济宁也有了……

2022-06-25 07:19:38



无辐射、检查完当月即可备孕、准确性高,近日,济宁市第一人民医院超声科在全市率先开展超声子宫输卵管造影检查,让无辐射、更精准成为今后子宫输卵管造影检查的新常态。




宫腔水造影显示宫腔息肉



子宫输卵管造影检查,是女性不孕症常规检查项目之一。然而,部分女性却从心理上对它有点儿打怵:传统的子宫输卵管造影检查是在X线下进行的,身体难免会遭受到射线辐射,短时间内不宜怀孕,为弥补这一不足,医院引进子宫输卵管声学造影(HyCoSy)技术,利用超声成像技术使得子宫和输卵管清晰显影。济宁市第一人民医院超声科主任吕镔介绍,该技术具有高清晰的图像分辨,对于输卵管通畅性评价更直观,准确性高,无辐射、无损伤。而且,患者在检查前无需做特殊准备,造影剂在患者体内停留时间短,安全性高,检查完当月即可备孕。




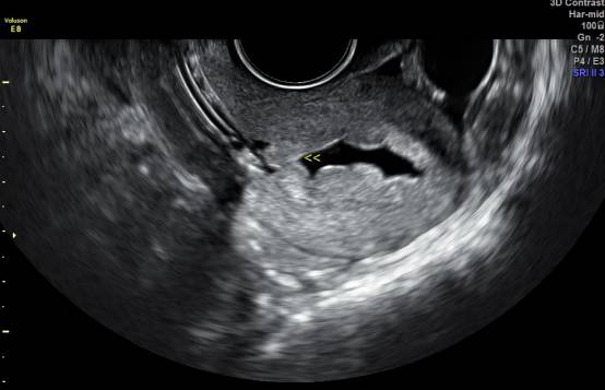
双输卵管不通



“操作中将造影剂经置入宫腔的导管注入子宫腔和输卵管腔,显示子宫腔和输卵管腔的形态、位置,发现宫腔和输卵管内病变、畸形以及评估输卵管通畅度。超声造影剂对人体无毒害,进入体内后迅速排出,对生殖系统无影响,超声造影技术操作简单、创伤轻微、安全、重复性好及检验输卵管通畅度的高准确性等优势,子宫输卵管超声造影也可使轻度粘连的输卵管得到疏通。”熟练开展该技术的医生陈谦谦介绍,若结果为输卵管通畅,下一月经周期即可实施助孕方案,可能使患者受孕时间提前,故对生殖时间窗影响小。经阴道超声造影探头的出现使患者无需憋尿、不受肥胖及肠道气体的干扰,从而显著提高了诊断的准确率。




右侧输卵管不通左侧输卵管通畅


据了解,医院超声科先后派遣多名青年骨干到国内子宫输卵管超声造影技术最强的医院进修,学成归来后,在全市率先独立开展了此项技术,给济宁市不孕不育患者带来了福音。



双输卵管通畅


子宫输卵管超声造影:

概述:子宫输卵管超声造影是指通过宫腔置管向宫腔内注入超声微泡造影剂的混悬液,实时显示宫腔形态、输卵管走形以及盆腔弥散情况,从而评估输卵管通畅性以及宫腔疾病、盆腔粘连等情况。




适应症:输卵管通畅性评估;子宫畸形或内膜息肉、粘膜下肌瘤、宫腔粘连等宫腔内病变评估;子宫输卵管通液术、输卵管再通术等的疗效评估。




优势:实时动态观察,全程跟踪造影剂通过宫腔、输卵管及盆腔的情况;空间感强,可以360度任意角度进行观察;无放射性,对受孕时间无限制。



医院拥有世界顶级超声诊断设备及介入治疗设备,多项技术填补我市空白。



直通大医生咨询电话:

总院超声科:2253483 

东院超声科:6051166 15264701786  15020732808






我们相信原创的力量

我们不传小道消息和谣言

我们不取吸引眼球的耸人标题

我们不做只为转发量而存在的媒体

健康幸福路上

我们愿意陪您一起认真走下去……



济宁卫生计生新媒体内容合作(长按可复制)

Tele:18678730171

来稿请洽:qlwb001@163.com


友情链接

Copyright © 2023 All Rights Reserved 版权所有 北京物流信息联盟