北京物流信息联盟

【专家论坛】急性下消化道出血的诊治

2022-03-12 12:00:49


点击标题下「蓝色微信名」可快速关注


作者:吴东 

单位:中国医学科学院 北京协和医学院 北京协和医院消化科

本文刊于:中华全科医师杂志, 2017,16(05): 337-341


摘要  

消化道出血根据病变部位分为三类:部位在食管、胃和十二指肠为上消化道出血;部位在空肠和回肠为中消化道出血;部位在结直肠为下消化道出血。急性下消化道出血好发于老年人,多数患者出血自限,但严重时也可危及生命。我国下消化道出血的主要病因是结直肠肿瘤、慢性结肠炎、肛门直肠疾病和炎症性肠病,与西方人群有一定差异。病史和体格检查是确定出血病因和评估病情严重度的重要依据。CT血管成像、核素显像和血管造影是常用的影像学检查。结肠镜兼有诊断和治疗作用,已成为下消化道出血的首选诊疗方法。


下消化道出血(lower gastrointestinal bleeding, LGIB)的传统定义是屈氏韧带以远的肠道出血[1]。但近年来内镜和影像技术快速发展,逐渐发现小肠出血的临床特点、诊疗方法和转归均不同于结直肠出血[2]。因此,目前主张根据病变部位将消化道出血分为三类:病变部位在食管、胃和十二指肠为上消化道出血(胃镜可及);病变部位在空肠和回肠为中消化道出血(胶囊内镜、小肠镜可及);病变部位在结直肠为下消化道出血(结肠镜可及)[2,3,4]。根据病程又将LGIB分为急性和慢性,前者系短时间内出血,发病时间不足72 h;后者为持续少量或间歇性出血,病程在数天以上[4,5]。LGIB临床常见,占全部消化道出血的20%~30%。但由于各种原因,对LGIB的研究却不及上消化道出血(upper gastrointestinal bleeding, UGIB)深入,相关指南和共识亦较少。因此,现对近年来该领域的进展,尤其是急性LGIB的评估和诊治方法,进行简要评述和讨论。


一、LGIB的流行病学

欧美国家LGIB的年发病率为0.03%,患者平均年龄63~75岁,男性多于女性[4,5]。美国LGIB年住院率为35.7/10万,相当于UGIB的1/2,1位消化科医师平均每年要诊治10例LGIB患者[6]。LGIB好发于老年人,80岁与20岁相比发病率增加约200倍。原因是老年人下消化道肿瘤、动脉硬化、结肠憩室等基础疾病较多,并且常服用抗血小板或抗凝药物,从而增加了出血风险[4,5,6,7]。据统计,西方人群LGIB的常见原因依次为结肠憩室、结直肠癌/息肉、结肠炎/溃疡、血管畸形、缺血性肠病等[3,4,5,7]。我国尚缺少LGIB的大规模流行病学调查,但回顾性分析提示病因有别于西方人群[8]。根据一项53 951例中国患者的系统综述,国人LGIB的主要病因包括结直肠癌(24.4%)、息肉(24.1%)、结肠炎(16.8%)、肛门直肠疾病(9.8%)及炎症性肠病(9.5%)等[9]。西方国家高发的结肠憩室在我国较为少见,可能与东西方人群的遗传背景及饮食结构差异有关。但我国结直肠肿瘤和炎症性肠病的发病率不断增高,逐渐和欧美国家趋同,应给予关注。


二、LGIB的临床表现

急性LGIB的临床表现取决于出血部位、出血量和病因。左半结肠急性出血往往导致鲜红色血便;而右半结肠出血在肠腔内停留时间相对较长,其颜色更暗,少数患者甚至为黑便;直肠或肛门出血可表现为鲜血便、便中带血或便后滴血。肠内容物成形于乙状结肠和直肠,因此近段结肠出血时血液与粪便往往混合,而远端结肠或直肠出血时二者分开。这也是提示出血部位的重要线索。需要强调的是,10%~15%的UGIB患者由于出血速度较快,也可表现为鲜血便,此时多伴有血流动力学不稳定。对具有UGIB临床线索的患者,如既往消化性溃疡或慢性肝病史、服用非甾体类抗炎药(NSAIDs)、便血伴有呕血、出现失血性休克等,应警惕UGIB并尽快行胃镜等检查[3,4,5]。2%~15%的鲜血便患者出血部位实际在空肠或回肠,需通过内镜或影像等检查加以确定[5]。可见,不能仅根据鲜血便就判断为LGIB。


多数LGIB为无痛性出血,若伴有腹痛对病因常有提示作用。例如便血前剧烈腹痛提示缺血性肠病;便前腹部胀痛或绞痛而便后减轻,则见于结直肠癌;脓血便伴腹痛、里急后重、发热等,应考虑感染性结肠炎或炎症性肠病。还应了解患者既往有无消化道出血史,基础疾病(特别是心血管病),目前用药(NSAIDs、抗血小板药、抗凝药),有无腹盆腔放疗史以及胃肠肿瘤家族史等。


床旁查体有重要的诊断和评估价值。通过观察患者一般状态、生命体征及皮肤黏膜,可大致判断出血量。多数成年人可耐受500 ml以内的出血而无明显不适。短时间内出血大于800 ml的患者,往往会出现心率增快、皮肤黏膜苍白、体位性低血压等。出血量超过1 500 ml会导致休克[4]。便血且腹部有局限性压痛者见于结直肠肿瘤、憩室炎、炎症性肠病等。右下腹扪及包块则要考虑结肠癌、克罗恩病、肠结核等。早期直肠癌症状与痔常难以区分,除内镜检查外,肛门指诊是不可缺少的体检项目。肛门指诊可触及约40%的直肠癌,在LGIB患者应列为常规。听诊肠鸣音活跃往往提示仍有活动性出血。实验室检查方面,急性LGIB的最初数小时Hb水平可保持正常。此后随着血液代偿性稀释,Hb逐渐下降,但红细胞平均体积(MCV)仍大致正常。若化验提示小细胞低色素贫血,说明患者很可能以往有慢性失血而造成缺铁性贫血。由于结直肠黏膜对血红蛋白无吸收能力,患者血尿素氮水平通常不增高(除非合并肾功能损害),若升高则提示出血部位在上消化道或中消化道。


三、LGIB的内镜和影像诊断评估

所有LGIB患者均应接受血型、血常规、肝肾功及凝血指标检测。对于不能排除UGIB的患者,可考虑置入鼻胃管并进行胃冲洗,冲洗出血性胃液可明确UGIB存在。但若出血部位在十二指肠且幽门保持关闭,则鼻胃管冲洗可能出现假阴性。鼻胃管的另一用途是给予清肠剂(口服困难者),以完成结肠镜检查前的肠道准备。近年来内镜和影像技术发展较快,在很大程度上改变了LGIB的诊治面貌,尤其以结肠镜和CT血管成像的诊断价值最为突出。


(一)结肠镜

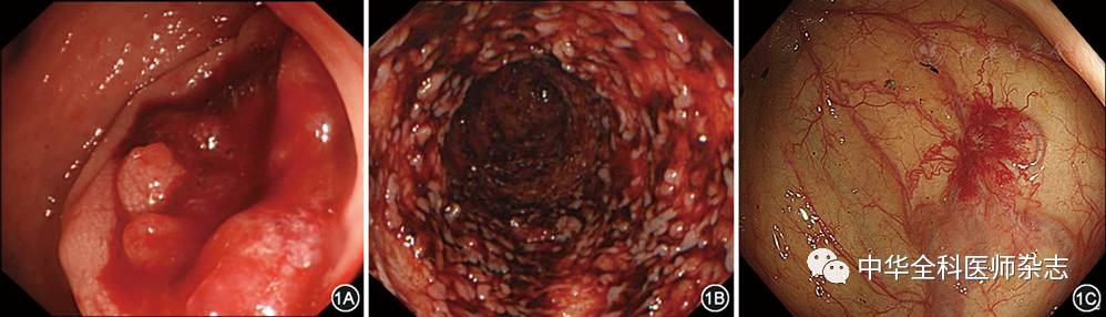
结肠镜可直视观察黏膜病变并取活检,是诊断LGIB病因的最佳方法(图1)。文献报告89%~97%的LGIB患者可经急诊结肠镜检查而获确诊[10]。在部分出血病例,结肠镜还可通过金属夹、氩离子凝固术(argon plasma coagulation)、黏膜下注射、喷洒止血药物、内镜下套扎、外置内镜金属夹(over the scope clip)等技术在内镜下止血。基于这些优势,目前结肠镜已成为急性LGIB的首选诊疗手段[4,5]


图1 通过结肠镜确诊的急性下消化道出血。1A:结肠癌,1B:溃疡性结肠炎,1C:结肠血管畸形


关于结肠镜在LGIB的应用仍有一些争论,需要继续深入研究。首先是最佳检查时机。理论上来说,出血后越早实施内镜检查,越有可能发现活动性出血,因此有学者主张争取在出血后12~24 h内进行结肠镜,理由是这样有助于及早发现出血病因,降低再出血率,缩短住院时间[11]。但出血急性期也存在病情不稳定、肠道准备困难等不利因素,必要时应结合病情进行个体化决策。其次是关于肠道准备的必要性。对于出血速度较快的LGIB,鲜血本身就有一定的清肠作用,因此有学者认为急诊结肠镜不一定都需要肠道准备。带有注水功能和大直径工作钳道的治疗内镜应用日益普遍,一定程度上也减少了对肠道准备的依赖[12]。但在无肠道准备的情况下完成全结肠检查的成功率下降,且内镜视野不清,检查风险增高。因此,只要患者病情允许,在结肠镜检查前应尽量完成肠道准备[5]。聚乙二醇(PEG)安全性较好,不增加再出血风险,是LGIB患者的首选清肠剂,推荐剂量为3~4 L,理想情况下患者服用PEG数小时后排便呈清水样,为内镜检查的时机。当然,并非所有LGIB患者均需提前服用PEG,以下情况可考虑不用清肠剂而直接试行结肠镜:①病情不允许肠道准备,例如出血速度较快而导致血流动力学不稳定;②预先掌握了出血部位和原因(例如息肉切除术后出血);③估计出血位于直肠或左半结肠,且内镜下止血有一定的把握[12,13]


(二) CT血管成像

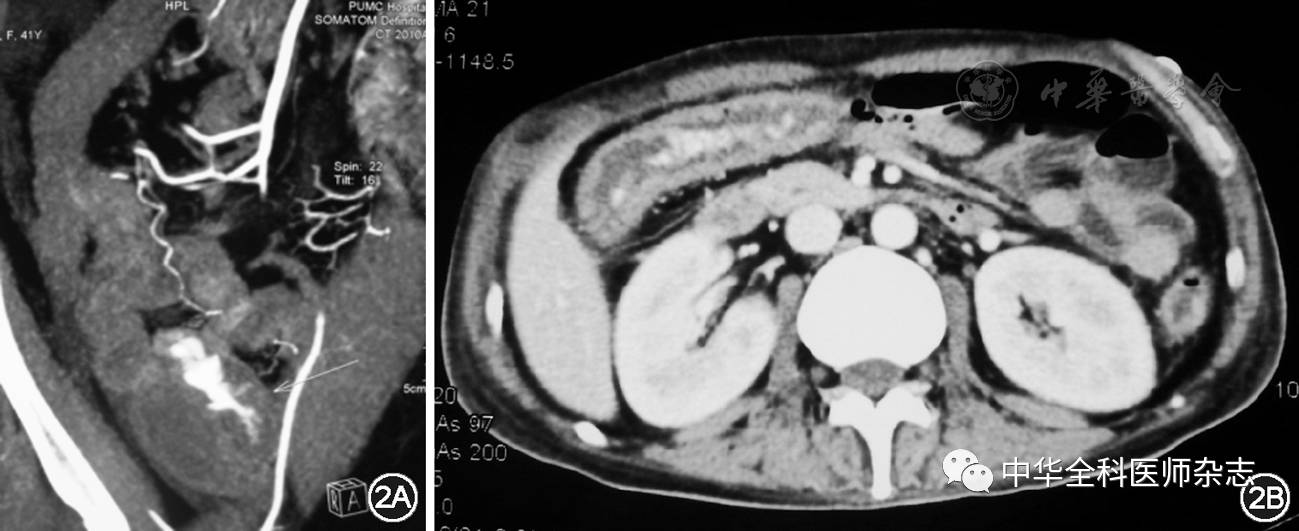
多层螺旋CT血管成像(multidetector computed tomography angiography, MDCTA)是近年来LGIB诊断技术的重要进展。MDCTA较常规CT明显提高了扫描速度,可获得高分辨率的薄层轴位图像,适合显示肠道病变。通过外周静脉(通常是肘静脉)以较高速度(4 ml/s)注入造影剂,在动脉期及门脉期若发现造影剂溢入结直肠,则提示活动性LGIB(图2)[14]。文献报告MDCTA可检出0.3 ml/min的急性LGIB[3]。检查前应避免应用口服对比剂,以免干扰对肠腔内积血的判断。北京协和医院的一项前瞻性研究发现,MDCTA诊断活动性消化道出血的敏感性为86.0%,特异性为100.0%,阳性预测值100.0%,阴性预测值60.6%,准确率88.5%[15]。荟萃分析表明,MDCTA对活动性消化道出血的总体敏感性为85.2%,特异性为92.1%,受试者工作曲线下面积为0.935,基本可以取代传统血管造影的诊断作用[16]。MDCTA诊断活动性LGIB具有简单、快速、无创等优势,并且可显示病变形态学特征以指导后续治疗,但也存在射线暴露、造影剂过敏、肾功能损害等不良反应,临床应予注意。



图2 CT血管造影在急性下消化道出血的应用。图2A:女性,41岁,血便伴发热,多层螺旋CT血管成像显示盲肠造影剂外溢入肠腔,经手术确诊为克罗恩病 图2B:男性,40岁,脓血便8周。住院期间突发大量鲜血便,多层螺旋CT血管成像显示横结肠造影剂外溢,诊断重度溃疡性结肠炎合并巨细胞病毒肠炎


(三)核素显像

核素显像是对急性LGIB敏感性较高的检查,可检出0.1~0.5 ml/min的出血[3]。其原理是应用99m锝(99mTc)标记红细胞,若发现局部肠道有放射性物质异常浓聚,浓聚灶随时间延长而趋于显著,并且有沿着消化道移行的趋势,则高度提示该部位存在活动性出血。文献报告核素显像对急性LGIB的阳性率为45%~90%[3,4]。该技术无创、安全,缺点在于只能靠腹部投影大致判断出血部位,故定位诊断准确性不高。例如,右下腹放射性异常浓聚的患者其出血病灶可能是盲肠或升结肠,也可能在回肠,甚至可能是(冗长的)乙状结肠。近期一项对照研究发现,核素显像对于急性LGIB的检出率与CT血管成像相仿,但定位诊断准确率却显著低于后者(30%比53%)[17]。因此,目前核素显像只是LGIB的辅助性诊断工具。


(四)血管造影

血管造影是有创性的检查,可发现0.5 ml/min的LGIB[3,4]。该技术一大优势是在明确出血部位后,通过超选择栓塞(superselective embolization)罪犯血管而止血。荟萃分析发现,血管造影联合栓塞对憩室引起的急性LGIB止血成功率达85%,但对其他病因所致LGIB止血成功率却仅有50%[18]。再出血率高(22%)是该技术的主要不足,其原因是肠道血供侧支循环较少,栓塞易造成肠缺血、坏死,甚至穿孔等严重并发症,发生率约为17%[19]。还有研究指出,血管造影对急性LGIB的诊断阳性率显著低于急诊结肠镜检查,且前者有造影剂肾病等不良反应[20]。基于这些原因,目前血管造影在LGIB的应用已趋于减少。


四、LGIB的治疗

应当在危险度分层的基础上决定LGIB的治疗策略。高龄、有严重基础疾病、出血速度快,血流动力学不稳定的患者属于高危,须密切监护生命体征,建立两条通畅的静脉输液通路,并给予适当的容量复苏[4,13]。同时建议尽快启动包括消化、内镜、重症医学、影像及外科在内的多学科协作诊治(MDT)[7]。关于LGIB的输血指征尚缺少共识。根据UGIB的诊治经验,通常认为急性LGIB患者Hb低于70 g/L时应予以输血,有心血管基础疾病的老年人应维持Hb在90 g/L以上[21]。在止血治疗方面,血流动力学稳定的LGIB患者出血大多自限,不需要特殊治疗;而血流动力学不稳定的LGIB患者应首先尝试内镜或介入止血,失败者则应考虑手术治疗。生长抑素、血管加压素、沙利度胺等广泛用于治疗LGIB,并显示出一定的疗效[4]。通过内镜及影像检查明确LGIB病因后予以去除,是本病的根本治疗。急性鲜血便患者的诊治策略见图3


图3 急性鲜血便患者的诊治策略



 五、LGIB的预后

总体而言LGIB的预后好于UGIB。在休克发生率(19%比35%)、需要输血的比例(36%比64%)、血红蛋白下降程度(16%比39%)等方面,LGIB的严重性均不及UGIB[1,4]。80%~85%的急性LGIB患者出血可自行终止,其病死率为2%~4%,而UGIB的病死率为8%~14%[4]。一项前瞻性研究发现,服用NSAIDs或抗血小板药、晕厥、便血不伴腹泻或腹部压痛、收缩压低于100 mmHg(1 mmHg=0.133 kPa)以及血白蛋白低于30 g/L是LGIB不良预后的独立危险因素[22]


综上所述,LGIB是指回盲瓣远端病变所致出血,该病多见于基础疾病较多的老年人,出血大多自限,但少数出血严重者也可危及生命。我国LGIB的病因构成与西方人群有一定差异,但部分病因亦有接近的趋势。病史和体格检查有助于明确LGIB病因并评估病情严重程度。结肠镜和CT血管成像是急性LGIB的一线检查方法,结肠镜兼有止血用途,已成为LGIB的首选诊疗方法。


参考文献(略)





友情链接

Copyright © 2023 All Rights Reserved 版权所有 北京物流信息联盟