北京物流信息联盟

【科普教育】骨肿瘤,(五)软骨肉瘤Chondrosarcoma

2022-07-12 14:21:24

《更多资讯》敬请关注公众平台,点击右上角查看历史记录


软骨肉瘤是由软骨产生细胞组成的恶性肿瘤。 它是第二常见的骨原发性恶性肿瘤,是诊断和治疗最困难的骨肿瘤之一。 有几种类型的软骨肉瘤。

软骨可以以几种方式被细分为:1、通过组织学分级,它们是否原发的或从良性病变(继发的);2、,或者通过综合征(syndrome)。

右侧髂骨软骨肉瘤。右侧髂骨信号异常。T2WI(B)显示右侧髂骨骨质破坏,其内上方见椭圆形肿块,为不均匀等信号,中间散在点、条状低信号;T1WI(A)肿块为不均匀低信号,增强扫描(C、D)肿块明显不均匀强化。


诊断

组织学分级

软骨肉瘤病变组织学分级分工进行很有预后意义。 肿瘤的等级在整体和无病生存率而言极为重要。 低度病变患者和高度病变患者10年生存率存在显着差异(1、2)。软骨肉瘤的组织学分级可以对肌肉骨骼病理学家和外科医生提出诊断挑战。 组织学范围从良性软骨损伤(软骨瘤)到高级或去分化软骨肉瘤。

恶性病变通常分为三种组织学等级:低(1级),中等(2级)和高(3级)。 然而,虽然大多数病理学家同意这种三级分级系统,但在病变分组中存在一些变化。 这通过在大的软骨肉瘤治疗中心中存在不同百分比的1级,2级和3级肿瘤的事实来证明(3,4,5,6)。

软骨肉瘤的主要诊断困境之一是区分良性活动性和低度恶性病变。 组织学上,这些病变看起来非常相似; 因此,必须使用临床和放射学数据来区分它们。


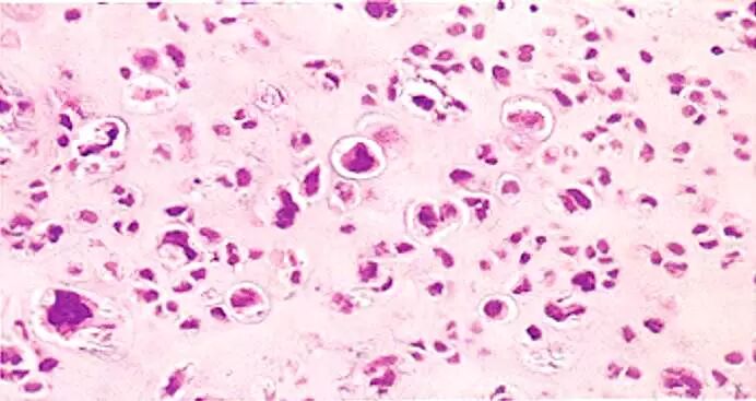
软骨肉瘤(chondrosarcoma) ,来源:软骨母细胞 ,部位:多见骨盆、股骨、胫骨 肉眼:半透明,分叶状,钙化 ,镜下:软骨基质中散在有异型性的软骨细胞


成像

射线照相

软骨损伤通常可以基于其射线照相外观来识别。 软骨瘤(良性软骨损伤)通常位于手的长骨和短管状骨的干骺端和部分骨干。 它们被描述为包含致密,点状或爆米花钙化。 没有骨膜反应,皮质突破或相关的骨外肿块。


软骨肉瘤有更积极的影像学表现。 具体的影像学检查结果取决于病变的类型和等级。 原发性中心软骨肉瘤通常在骨的干骺l部内产生。 低级软骨肉瘤通常表现出内皮的扇形和少量的骨质溶解。 中级和高级病变表现出更积极的放射学特征,例如骨质溶解,髓质扩张,皮质增厚,皮层破裂和软组织肿块的存在。


Rosenthal及其同事(7)总结了低级和高级病变的放射照相和计算机断层扫描结果。 低级特征包括致密的,广泛的和均匀分布的钙化,并且当存在时,软组织块的偏心小叶生长。 高级特征包括微弱的无定形钙化,大的非钙化区域和软组织块的同心生长。


附加成像

额外的成像模式通常有助于恶性软骨损伤的诊断和分期。 计算机断层扫描(CT)可以评估骨质构造的内皮层剖分,皮层增厚或破裂。 此外,CT有助于确定钙化的模式和程度。

磁共振成像(MRI)可用于确定损伤的骨内程度,特别是损伤的非矿化部分。 已经提出,由损伤占据的髓腔的百分比是恶性肿瘤的预测。 髓质填充大于90%与软骨肉瘤的诊断相关(8). MRI还将定义软组织块及其与周围解剖结构的关系,例如神经血管束,关节和关节囊。


所有软骨损伤,良性和恶性,倾向于在全身锝-99m二膦酸盐骨扫描上“热”。 然而,已经假定与内部标准例如髂前上棘相比,软骨肉瘤,与软骨瘤不同,倾向于在损伤内具有更大的摄取。

临床表现

软骨损伤的临床表现根据损伤的位置和类型而变化。


良性病变

良性软骨损害,软骨瘤,长骨通常是无症状的,并且通常是在X光片上的偶发性发现。很少是这些病变疼痛。通常,患者具有疼痛 - 不是来自损伤本身,而是来自周围的软组织。这在近端肱骨的软骨瘤中尤其常见,其中疼痛的原因不是损伤而是肩袖功能障碍。涉及手的短管状骨的软骨瘤通常与病理性骨折有关。它们在生命的第四至第八十年中在妇女中最常见。


恶性损伤

恶性软骨病变,软骨肉瘤,在生命的第六至第八十年中在男性中最常见。这些病变通常位于长骨的形而上。最常见的位置是骨盆,近端股骨,肋骨,肱骨,胫骨和肩胛骨。


恶性软骨肉瘤的患者通常表现为进行性疼痛的病史。疼痛是恒定的,不能休息,而且经常干扰睡眠。具体症状与病变的位置有关。


骨盆或近端股骨损伤的患者可能经常伴有膝盖或髋部疼痛。然而,盆腔损伤可以保持无症状,直到它们相当大,并且通常可以仅存在肠和膀胱症状。


上肢和下肢病变可引起肢体的疼痛,虚弱和残疾。可以限制相邻关节的运动范围,并且可以存在肢体的萎缩。


血液工作和其他实验室检查是正常的。


活检

活检在软骨肉瘤的诊断中的作用是有争议的。活检通常仅用于确认临床和放射学显而易见的。不推荐对无症状病变或射线照相软骨瘤进行活检。


软骨肉瘤的活检可以开放或封闭。当需要确认放射摄影和临床软骨肉瘤时,闭合或芯针活检是一个很好的选择。这是在实时成像的帮助下执行的,例如荧光透视或CT。


活检应该从最关注的领域(即,从未钙化的基质或骨溶解区域)获取。然而,针活检在软骨肉瘤的诊断中的缺点是采样误差之一。软骨肉瘤是极其异质的,高级病变通常包含低级和中级软骨材料区域。因此,针活检可能不会定位最高级别的区域,并且不应依赖于其进行确定性诊断病变的级别。


一些肿瘤学家主张开放活检,当诊断不是临床上明显的,以尽量减少抽样误差的可能性。活检的决定应由经验丰富的骨科肿瘤学家进行,其考虑患者病史,身体检查和射线照相研究。


治疗

原发性软骨肉瘤从头发生,而继发性软骨肉瘤在先前存在的损伤中发生,或者来自软骨瘤或者来自外骨肉瘤软骨肉瘤。小于1%的孤立性软骨瘤和骨软骨瘤去分化为软骨肉瘤。


骨软骨瘤,无论它们是无梗或有梗的,都是由于骨髓的生长。它们可以是单一的或多焦点的,并且覆盖有软骨帽(小于1cm)。在患者的正常生长期间,骨软骨瘤通过软骨骨化扩大; 然而,一旦患者达到骨骼成熟,骨软骨瘤及其软骨帽的生长应该停止。当发生继发性软骨肉瘤时,外生骨生长恢复并且软骨帽变厚。


由单独的外生骨疣产生的继发性软骨肉瘤的患者比其他软骨肉瘤的患者具有更好的预后。一般来说,这些软骨肉瘤是具有低转移潜能的低度,慢生长病变。因此,尽管损伤发展成去分化软骨肉瘤的风险很小,但是应当切除扩大的骨软骨外骨骼,因为这些损伤可以获得巨大的尺寸并导致局部发病。


只有具有遗传性多发性骨软骨外骨异常或多发性软骨瘤(Ollier氏病或Mafucci综合征)的患者具有发展为继发性软骨肉瘤的可定义风险。这些患者应密切关注。已经发现,25%的Ollier氏病患者在40岁时会发展为继发性软骨肉瘤; 100%的Mafucci综合征患者在其生命的某个时候会发展为继发性恶性肿瘤(软骨肉瘤或癌)。10

常规软骨肉瘤的治疗是手术。软骨肉瘤对化疗和放射治疗的反应有限。放射可能有利于局部控制微观疾病或减轻。化疗可能有利于间充质和去分化软骨肉瘤,但其在常规软骨肉瘤中效性低


预后

常规软骨肉瘤患者的预后取决于病变的等级和位置。


骨盆软骨肉瘤患者的预后比末端软骨肉瘤患者的预后更差。Bjornsson和同事(6)表明骨盆软骨肉瘤具有比长骨的阶段匹配软骨肉瘤更高的局部复发率。这种倾向可能导致在获得因为质量相对于神经血管和腹部结构接近的足够的余量的难度。


转移性疾病发展的最常见的位置是在肺中。远处转移的患病率为6%至37%(4, 6,13)。转移更有可能在较高的患者度病变发展和在患者去分化病变几乎普遍存在。局部复发和全身转移是总体生存率低的独立预测因素()。

一些外科医生主张在四肢刮除低度病变。切除后的残腔内内常用辅助治疗腔内用苯酚或冷冻治疗。辅助治疗用于根除微观疾病,从而延长手术边缘。由于高的复发率和去分化为高度病变的可能性,刮除不推荐用于任何等级的盆腔损伤。


软骨肉瘤的组织学亚型 Histologic Subtypes of Chondrosarcoma


如前所述,存在软骨肉瘤的几种组织学亚型:透明细胞软骨肉瘤,间充质软骨肉瘤和骨外软骨肉瘤。这些罕见变体的呈现,放射照相外观和预后与常规软骨肉瘤不同。


透明细胞软骨肉瘤    Clear-Cell Chondrosarcoma

透明细胞软骨肉瘤最早由Unni和同事在1976年描述。这些病变主要发生在骨骼成熟的成年人,最常见的30-60岁。最常见的位置是近端肱骨和近端股骨。

在放射学上,透明细胞软骨肉瘤显示为位于长骨的骨骺中的溶解性病变。

男  60岁 右股骨头颈部透明细胞软骨肉瘤,术前MRI片


组织学上,透明细胞软骨肉瘤病变包含软骨细胞周围软骨细胞与清晰细胞质的组合。这种病变的差异是软骨母细胞瘤,透明细胞肉瘤和肾细胞癌。一些肿瘤学家认为,透明细胞软骨肉瘤是软骨母细胞瘤的恶性对应物。


透明细胞软骨肉瘤用广泛的局部切除进行治疗。透明细胞软骨肉瘤患者的预后往往优于其他软骨肉瘤患者。这些病变可以向肺转移; 因此,有必要对肺转移患者进行长期随访。


间充质软骨肉瘤  Mesenchymal Chondrosarcoma

间质软骨肉瘤在骨(70%)和软组织(30%)中均出现。它在成年人的生命的第三个十年中最常见。最常见的位置是颌骨,骨盆,脊柱和肩胛骨。


放射学上,当发生在骨中时,间充质软骨肉瘤病变是破坏性的(溶解性的),并且通常具有点状钙化。组织学上,肿瘤由未成熟的软骨基质和间充质细胞的聚集体组成。


手术切除是间充质软骨肉瘤的主要治疗; 然而,在软组织损伤的患者中,辅助化疗和放射可能起作用。存在转移到肺,淋巴结(不同于常规软骨肉瘤)和其他骨结构的高可能性。


间质软骨肉瘤患者的预后是公平的,在宽切除60%的5年存活率和25%的10年存活率。


骨外软骨肉瘤   Extraskeletal Chondrosarcoma

软骨肉瘤也可出现在软组织中。这些损伤被称为骨骼外软骨肉瘤或软部分软骨肉瘤。


外骨骼软骨肉瘤是相当罕见的,这种肿瘤的治疗方案类似于其他软组织肉瘤。放射治疗(术前或术后)与手术切除一起使用。化疗可能在治疗方案中发挥作用。


去分化软骨肉瘤  Dedifferentiated Chondrosarcoma

去分化软骨肉瘤在1971年由Dahlin和Beabout首次描述。当在与高级肉瘤联合发现低度软骨损伤时,在组织学上进行诊断。

骨肉瘤是最常见类型的相关高级恶性肿瘤。从放射学上看,这些病变通常表现出非常强烈,显着的骨破坏。

去分化软骨肉瘤的治疗方案类似于高级骨肉瘤化疗和手术切除的治疗方案。

去分化软骨肉瘤患者的总体预后较差。虽然局部控制通常可以手术实现,但90%的患者发生远处疾病(肺转移)(14 )。这种病变患者5年存活率为范围从0%至18%。


.1, Shin KH, Rougraff BT, Simon MA: Oncologic outcomes of primary bone sarcomas of the pelvis. Clin Orthop Relat Res 1994;304:207-217. 8020218

 2Marcove RC, Mik V, Hutter RV, et al: Chondrosarcoma of the pelvis and upper end of the femur: An analysis of factors influencing survival time in one hundred and thirteen cases. J Bone Joint Surg Am 1972;54:561-572. 5055153

.3, Sheth DS, Yasko AW, Johnson ME, et al: Chondrosarcoma of the pelvis: Prognostic factors for 67 patients treated with definitive surgery. Cancer 1996;78:745-750. 8756367 

4,Gitelis S, Bertoni F, Picci P, Campanacci, M.: Chondrosarcoma of bone: The experience at the Istituto Ortopedico Rizzoli. J Bone Joint Surg Am 1981;63:1248-1257. 7287795 

5, Pring M, Weber KL, Unni KK, Sim FH: Chondrosarcoma of the pelvis: A review of sixty-four cases. Instr Course Lect 2001; 83:1630-1642. 

6 Bjornsson J, McLeod RA, Unni KK, Ilstrup DM, Pritchard DJ: Primary chondrosarcoma of long bones and limb girdles. Cancer 1998;83:2105-2119. 9827715

7 Rosenthal DI, Schiller AL, Mankin HJ: Chondrosarcoma: Correlation of radiological and histological grade. Radiology 1984;150:21-26. 6689763

.8 Marco RA, Gitelis S, Brebach GT, Healey JH: Cartilage tumors: Evaluation and treatment. J Am Acad Orthop Surg 2000;8:292-304. 11029557 

9 Murphey MD, Flemming DJ, Boyea SR, et al: Enchondroma versus chondrosarcoma in the appendicular skeleton: Differentiating features. Radiographics 1998;18:1213-1237.

10 Schwartz HS, Zimmerman NB, Simon MA, et al: The malignant potential of enchondromatosis. J Bone Joint Surg Am 1987;69:269-274. 3805090

.11Ozaki T, Lindner N, Hillmann A, et al: Influence of intralesional surgery on treatment outcome of chondrosarcoma. Cancer 1996;77:1292-1297. 8608505 

12 Ball AB, Barr L, Westbury G: Chondrosarcoma of the pelvis: The role of palliative debulking surgery. Eur J Surg Oncol 1991;17:135-138. 1707834 

13 Pritchard DJ, Lunke RJ, Taylor WF, et al: Chondrosarcoma: A clinicopathologic and statistical analysis. Cancer 1980;45:149-157. 7350999 

.14 Dickey ID, Rose PS, Fuchs B, et al: Dedifferentiated chondrosarcoma: The role of chemotherapy with updated outcomes. J Bone Joint Surg Am 2004;86:2412-2418. 15523011


免责声明:部分内容源自互联网和其他公众平台,仅供阅者浏览或参考,不确保准确性。如有侵犯版权请告知,我们将及时删除。如果您自行使用本账号发布的信息发生了损失或损害,本账号不负任何法律责任。您浏览本站发布的内容,您的浏览行为将被视为对本声明全部内容的认可。




友情链接

Copyright © 2023 All Rights Reserved 版权所有 北京物流信息联盟