北京物流信息联盟

【牙医学堂】牙根折裂的影像诊断

2022-06-26 08:41:01

点击上方
"普洁培训"
关注我们



来源:《华西口腔医学杂志》20162月第34卷第1

 

作者:郑广宁,李继遥

作者单位:口腔疾病研究国家重点实验室 华西口腔医院(四川大学),成都 61004

 

[摘要]  牙根折裂有别于外伤引起的牙折,或称病理性牙折,是指牙齿组织在某些刺激因素如创伤力、牙齿解剖或邻近结构改变、医源性意外等长期、缓慢的持续性作用下发生的牙体完整性破坏,早期诊断对预防牙槽骨吸收、获得良好的预后具有重要意义。影像检查是牙根折裂最常用、有效的辅助检查方法,锥形束CT可以从矢状位、冠状位及轴位清晰显示牙根折裂,较传统的根尖片具有更高的准确性。本文旨在结合临床病例介绍牙根折裂的影像特点、鉴别诊断及治疗新技术。

[关键词牙根折裂;影像诊断;生物治疗

 

       牙根折裂(vertical root fractureVRF)是牙齿在长期功能行使的过程中持续受到不利因素刺激发生的牙体完整性破坏,病程迁延、早期症状不典型,正确诊断需丰富的临床经验和影像诊断知识。牙根折裂的准确判断关乎患牙的去留,根尖片和锥形束 CTcone beam computed tomographyCBCT)等影像检查是术前诊断牙根折裂的常用辅助方法,临床医生不熟悉牙根折裂的影像特点,可能导致未折裂的牙齿被错误拔除、引起医患纠纷;也可能对已折裂的患牙继续进行常规的根管治疗,加速裂隙的扩大,造成医源性事故。影像诊断对选择适当的治疗方案、有效控制感染扩散、减少根周牙槽骨的吸收、指导临床医生做出正确的治疗方案有重要意义。

 

1 牙根折裂的病因

 

       牙根折裂的病因如下:1)创伤性咬合力可能导致原发性牙根折裂或纵裂,指始发于根尖沿牙长轴向冠方延伸的折裂,病因和发病机制目前尚不明了[1-2]; 2)严重的牙周疾患导致牙槽骨重度吸收,牙齿支持组织破坏使正常的咬合力成为创伤力,根折裂后可导致裂隙周围牙槽骨吸收;3)根管治疗后疾病属医源性疾病,包括根管过度预备,充填时侧向压力不当、楔力过度,根管预备时路径偏移、底穿、侧穿等;4)桩钉、牙冠充填体、烤瓷桥修复的操作设计不当;5)严重的牙内吸收使根管壁变薄,牙根脆弱,严重时可发生折裂[1]。

 

2 临床表现

 

       临床上以继发性牙根纵裂多见,常发生于根管治疗术后,尤其是根管内有桩修复体的患牙,最常累及上颌前磨牙和下颌磨牙。发生该型牙根纵折的患牙临床表现不典型,常见症状和体征包括咬合痛、牙体松动、牙龈肿胀、牙周组织损害以及窦道形成等。原发性牙根纵折的临床诊断则更为困难,其好发人群为40岁以上男性,好发牙位为下颌第一磨牙的近中根和上颌第一磨牙的近颊根。该型牙根纵折发病早期常首先累及牙髓,患者多以冷热刺激痛等牙髓症状为主诉就诊,可伴有轻到中度咬合痛,临床检查常常看不到明显的可能导致牙髓及根尖周病变的病因,如龋病、牙隐裂或重度磨耗等。随着病情的进展,患牙可出现局限性的牙周支持组织损害,表现为深而窄的牙周袋形成,并可出现不同程度的牙体松动、肿胀及窦道形成。

 

3 影像特点

 

3.1 影像表现 

       牙根折裂好发于下颌第一磨牙的近中根及上颌第一磨牙的近颊根、腭根,也可见于第二磨牙、前磨牙等(图12)。可以单发,也可对称性多发(图3)。可以是双侧的同名牙,也可以是同侧的上、下颌同名牙或相邻牙(图45)。

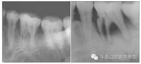
左:36牙近中根管下段内径增宽;右:36牙折线明显,折片向近中移位,伴牙槽骨吸收。

1 36牙近中根牙根折裂

 

 

左:45牙根纵行折裂,折片向远中移位;右:44牙根横行折裂(箭头示),全口牙槽骨重度吸收。

2 下颌前磨牙牙根折裂

 


 

36牙近中根见根管下段扩大、伴牙周膜间隙增宽以及根尖周骨质吸收;46牙近中根折裂,折片移位。

3 双侧下颌第一磨牙对称性牙根折裂

 


A:根尖片示36牙近中根根管细线样增宽;BCCBCT矢状位、轴位示近中根折裂;DECBCT矢状位、冠状位示同一患者26牙腭根横行折裂。

4 上、下颌第一磨牙牙根折裂

 

ABCBCT矢状位示3637牙近中根及2425牙根折裂;CD:轴位见1525牙根折裂(箭头示)。

5 上、下颌多发牙根折裂

 

牙根折裂早期仅见根尖孔扩大、根管内径的部分扩大,折线常沿牙根长轴向冠方纵行。随着病变发展,折片分离,多向远端移位,常伴根周及根分叉牙槽骨吸收;也可见斜折或横折,横折者多伴发牙槽骨重度吸收,可见于前磨牙或前牙。根管治疗后的牙根折裂线可表现为充填牙胶的侧方出现缝隙,继而出现根管内径增宽。底穿、侧穿以及桩钉路径偏移引起的折裂常沿病变走行;长烤瓷桥的受力不均也可发生牙根折裂[3](图6)。

 

AB3646牙根管治疗后折裂;CD25牙冠修复、47烤瓷桥修复后牙根折裂;E11牙桩冠修复后折裂,根尖孔扩大,根尖周骨质吸收;F21同名牙正常牙根,注意二者根尖孔形态的差异(箭头示)。

6 治疗后牙根折裂

 

       对于沿牙根颊舌向的纵行折裂并伴折片移位的病变,二维根尖片与三维CBCT影像的诊断检出率相差不大,所以应该首先选择根尖片。对于早期牙根折裂,CBCT优于根尖片,表现为沿牙根方向走行的根管颊舌向线状透射影,根尖孔分离。对于沿近远中向走行或斜行的折裂线,由于二维影像的重叠干扰,故根尖片不能显示,CBCT可以清晰显示折线的部位、走行、根周牙槽骨的吸收、折片的移位[4],但是对于根管内有高密度充填物者,应该注意鉴别伪影。 

3.2 典型病例

病例1:女性,56岁。主诉:右上后牙咀嚼不适3月。检查:17牙体完整,牙周黏膜正常,未探及牙周袋,叩(+),松Ⅰ°。全口卫生状况一般,牙结石Ⅰ°,色素Ⅰ°,可探及龈下牙结石。曲面体层片及根尖片见17根尖周骨质吸收,17远中牙槽嵴见致密条状影,CBCT冠状位、矢状位、轴位显示17腭根折裂,折片向远中移位。诊断:17腭根折裂。治疗:局部麻醉下拔除17,腭根折裂的断端及折片移位的方向与CBCT影像完全一致(图7)。

 

A:曲面体层片示17根周骨质吸收;B:根尖片示17远中牙槽嵴见致密条状影;CDECBCT冠状位、矢状位、轴位图像示17腭根折裂,折片向远中移位;F17拔除后见17腭根折裂。

7 病例1

 

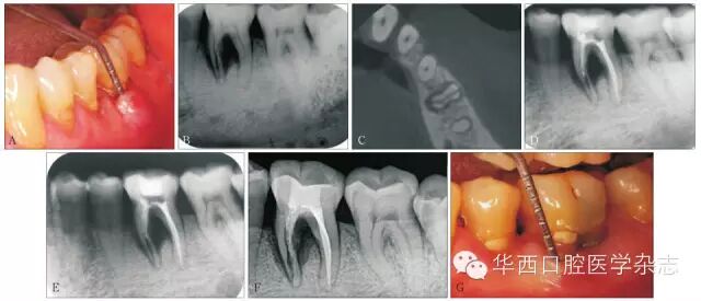
       病例2:男性,66岁。主诉:左下后牙冷热刺激痛2月。检查:36牙未见明显龋损或隐裂,有延迟痛,冷(++),叩(+),松Ⅰ°;近中颊侧牙龈肿胀,探及5 mm牙周袋,袋内溢脓(图8A)。根尖片见近中根管径增宽,根周及根分叉牙槽骨吸收, CBCT轴位见颊舌向折线(图8BC)。诊断:36近中根折裂。治疗:经患者知情同意,选择生物治疗。局麻下调、开髓,近中根管手动轻度预备至牙根纵折平面,远中根管常规预备,1.5%NaClO 20 mL(每根管),轻柔冲洗5 min0.9%生理盐水20 mL(每根管),轻柔冲洗5 min,诊间封CaOH)2糊1周后复诊,局部症状减轻,17%乙二胺四乙酸(ethylenediamine tetraacetic acidEDTA)溶液反复轻柔冲洗根管行根管充填。具体步骤如下:1)远中根常规热牙胶充填;2)刺激根尖出血充盈牙根折裂累及区;3)近中根生物活性材料注射充填(图8D);4)髓室放置湿棉球,暂封;51周后复诊,垫底+树脂充填修复(图8E)。6月后随访:主观症状明显地减轻,牙龈肿胀溢脓消失,叩(±),松(-),未探及明显牙周袋(图8FG)。

 

A:初诊口内见牙龈肿胀溢脓,牙周深袋;BC:根尖片及CBCT轴位见36近中根折裂;D:生物活性材料注射充填后暂封;E:垫底+树脂充填修复后;F6月后复诊根尖片见根周骨质密度增高,提示有骨质修复;G:复诊时口内示牙龈肿胀溢脓消失。

8 病例2

 

3.3 鉴别诊断

3.3.1 与外伤性根折的鉴别无外伤史,不伴牙槽突或颌骨骨折,但可有牙周病、牙体疾病或根管治疗史。

3.3.2 与牙内吸收鉴别根折裂轴位可见颊舌向贯通的折线,根管壁不连续;内吸收则是根管内径的局部扩大,根管壁连续性未中断(图9)。

 

ABCBCT矢状位、冠状位见15牙根折裂,冠状位见根管壁较对侧同名牙变薄,折片向颊侧移位,C:轴位见15牙颊侧根管内径扩大,提示有内吸收。

9 内吸收导致根折裂

 

3.3.3 与底穿、侧穿的鉴别因根管预备失当导致的牙根折裂两端宽度不一,可有折片移位及根周牙槽骨吸收;而意外穿孔的两端宽度相同,不伴牙槽骨吸收,临床医生在操作中可探及穿孔位点,如及时发现可以即刻修补。

       对于严重牙根折裂的患牙应及早拔除,酌情选用种植、固定、活动修复,避免炎症感染的扩散和牙槽骨的吸收,恢复牙列完整性和正常的咀嚼功能。对于多根牙,有学者推荐采用牙半切除术或截根术进行治疗,但应注意彻底控制感染、适当恢复咬合接触,避免过度负重再度损伤患牙。单根牙可做意向性牙再植,即将患牙拔出后粘接再植入。对于无明显的牙周支持组织损害的早期原发性牙根折裂,可尝试采用生物活性材料进行非手术的保守治疗(生物治疗)。该方法通过对病变的精确定位、完善的感染控制和生物活性材料定点封闭等技术,以期达到根管系统封闭良好,牙周附着长期稳定的治疗目标;但是,牙根折裂的非手术治疗技术仍是一种全新的技术,目前还有较多的难题有待解决,其方法的改进和效果的评价还需要大量临床病例和远期随访来支持。

 

参考文献(略)

 

本文来源于《华西口腔医学杂志》2016年2月第34卷第1期。转载仅作分享之用,如涉及侵权请告知,本平台会及时做出处理。

友情链接

Copyright © 2023 All Rights Reserved 版权所有 北京物流信息联盟