北京物流信息联盟

内镜下的肿瘤标志物

2022-03-31 15:15:57

带你领略内镜下的肿瘤标志物!


作者:糖糖大人

来源:医学界消化频道  


  肿瘤标志物一词,广大医生和患者都应该非常熟悉了,主要指存在于血液、体液和组织中可检测到的与肿瘤的发生、发展相关的物质。常见的肿瘤标志物有AFP、CEA、CA125、CA199、PSA等,其中AFP、PSA具有较强的诊断意义,其他的标志物意义欠佳,我们老主任都不推荐筛查。而如今,诊断胃内早癌,出现了新的具有极强诊断意义的marker,且不扎针不抽血,镜子下一看便知。


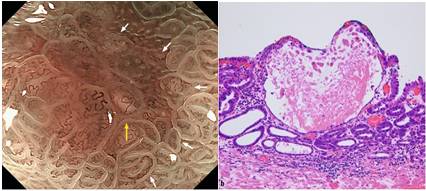
  白色球状物(white globe appearance,WGA),是指可应用ME-NBI观察到的、位于胃上皮下方的、小的球形白色病灶(<1mm)。如图:图中白色箭头标记的为癌变黏膜与正常黏膜的交界处,黄色箭头所指即为WGA。因其为球形结构,,且其上有微血管覆盖。组织学示WGA的本质可能为扩张的腺腔内的上皮组织坏死碎片( intraglandular necrotic debris ,IND),呈嗜酸性。




  Hisashi Doyama等人通过应用M-NBI检查及离体标本检测,回顾性地分析了95个患者的111处胃内病变(其中),发现WGA在胃早癌(early cancer, EC)患者及低级别腺瘤(low grade adenoma ,LGA)患者中的出现率有着明显差异。其研究中EC患者出现WGA的为21.5%(20/93),而LGA患者中出现WGA的为0(0/18),WGA鉴别EC及LGA患者的敏感性、特异性、阳性预测值和阴性预测值分别为21.5%,100%,100%,和19.8 %。由此可见:1.WGA存在于EC病变,LGA病变中无WGA出现;2.是EC病变不一定就有WGA,但有WGA就是EC病变;3.没有WGA不一定就是LGA。


  Hisashi Doyama等人研究了WGA在鉴别EC病变及LGA病变中起到的作用,那么WGA对鉴别胃癌及癌旁病灶、胃炎又有什么意义呢?


  Yoshida N及其团队对994例行胃镜检查的患者进行前瞻性研究,在这些被检查者中寻找可疑癌灶,并对其进行M-NBI及活检组织病理学检查,以了解胃癌及癌旁组织中WGA的存在情况。对156例患者的188处靶组织进行了检测,组织学示其中70处为早癌病灶,118处为癌旁病灶,M-NBI示WGA在早癌组织中出现率为21.4%(15/70),在癌旁组织中的出现率为2.5%(3/118)。WGA对诊断早期胃癌的准确性、灵敏性及特异性分别为69.1%,21.4%和97.5%。


  笔者认为发现WGA对早癌的镜下诊治具有重要意义。NBI等电子染色技术的出现大大提高了良恶性病变的鉴别,放大内镜、M-NBI的出现可从内镜下直接观察病变细微结构,但是,即便如此,对NBI、M-NBI等是否可取代靛胭脂染色、活检病理检查等仍旧充满争议,甚至绝大部分学者倾向于这些检查都做。如今WGA的出现再次点亮了内镜下确诊早癌的希望,衷心希望更多更特异更敏感的指标诞生,以便造福更多患者。


感谢清华长庚医院任渝棠博士在QQ的精彩讲解,让鄙人知道了WGA的存在,并把它分享给大家。


  参考文献:


  1.The “white globe appearance” (WGA): a novel marker for a correct diagnosis of early gastric cancer by magnifying endoscopy with narrow-band imaging (M-NBI)


  2.White globe appearance is a novel specific endoscopic marker for gastric cancer: A prospective study



友情链接

Copyright © 2023 All Rights Reserved 版权所有 北京物流信息联盟