北京物流信息联盟

病例报道:颈内静脉假性静脉瘤

2022-07-02 11:22:42

假性动脉瘤是动脉穿刺最常见的并发症,但在压力较低的静脉系统中却较罕见。美国爱荷华大学医院的 Pollard 博士 2014 年在 Ultrasound Quarterly 上报道了一例颈内静脉假性静脉瘤。


患者男性,62 岁,新近诊断为舌癌,既往因肾衰竭末期经左前臂动静脉内漏行血液透析。除舌部病变外,头颈部视诊及触诊均正常,患者否认颈痛。颈部 MRI 发现左锁骨上区一 2 cm 肿物,提示为淋巴结病变。临床拟行细针穿刺活检,术前超声检查发现如下图所示病变(图 1~3):



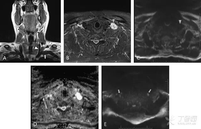
图 1  颈部 MRI 图像:A,冠状面 T1 序列显示左侧颈内静脉(白短箭头)和锁骨下静脉(白长箭头)交汇处可见一低信号肿物(黑短箭头);B,轴位短时反转恢复序列显示此肿物 T2 高信号(灰短箭头);C~E 为 DWI 和 ADC 成像,显示肿物未表现弥散受限(灰短箭头),这一特征可与来自其他部位的颈部淋巴结(灰箭头)相区分



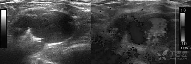
图 2 颈部横断面灰阶和彩色多普勒声像图显示一分叶状薄壁囊性结构,内见血流信号



图 3  横断面频谱多普勒声像图显示病灶内有 2 处与静脉交通(仅显示 1 处),可见双向静脉血流频谱,肿物未与动脉直接交通,但频谱波形提示可能受左上肢动静脉瘘影响


根据影像学检查,诊断为颈内静脉假性静脉瘤。回顾患者既往资料,发现其左上肢动静脉造瘘前,曾临时性左侧颈内静脉置管。


作者指出,假性静脉瘤的形成与假性动脉瘤相似,均为血液从多层管壁(内膜、中层,外膜)中溢出并被纤维囊包裹所致。创伤是导致假性动脉瘤和假性静脉瘤的常见原因,本例最可能原因是既往的静脉置管损伤,床旁超声引导下颈内静脉置管可明显降低此类并发症的发生。


颈部真性或假性静脉瘤可无临床症状,多偶然发现(如本例),部分可表现有疼痛,咳嗽、改变体位或 Valsalva 动作时可出现明显增大肿物。假性静脉瘤可能发生在静脉导管移除数月后。


颈内静脉的假性静脉瘤发生血栓和栓塞的风险较低,通常也导致显著临床症状,可采取保守治疗,很少需要切除。


彩色和频谱多普勒超声检查以其无创性、准确性和价廉等优点被认为是诊断颈部及四肢血管动静脉瘤的首选方法。多普勒超声对于排除动静脉瘘和动脉瘤或假性动静脉瘤有重要作用。


编辑:高瑞秋


关注超声时间,微信对话框回复「d疾病」查看相关优质文章。


友情链接

Copyright © 2023 All Rights Reserved 版权所有 北京物流信息联盟