北京物流信息联盟

多腔镜联合同期行左肺上叶癌及食管癌根治术1例

2022-04-21 06:23:33

多腔镜联合同期行左肺上叶癌及食管癌根治术1例


张百华 王文祥

 中南大学湘雅医学院附属肿瘤医院 胸外科


食管癌是我国最常见的恶性肿瘤之一,已严重威胁到我国人民的健康。手术仍然是食管癌的主要治疗方式之一,自Cushieri等于1992年首次报道腔镜辅助治疗食管疾病以来,微创手术愈来愈受重视。近年来的研究[1, 2 ]显示,胸、腹腔镜联合食管癌切除术与常规开胸手术一样安全有效,并可降低并发症发生率,获得更好的短期疗效,因而逐渐成为食管微创手术的主流方向。


同期双原发的肺癌和食管癌较为少见,文献中多为个案报道,治疗首选手术切除,切口多依据肺癌的部位进行选择。回顾以往文献,同期行肺癌和食管癌手术多选择开放性手术。我们曾诊治一例同期发现的左肺上叶癌和食管胸下段癌,采用左侧胸腔镜+腹腔镜+经颈纵膈镜手术同期行根治性切除,获得良好疗效,现报告如下:

病例

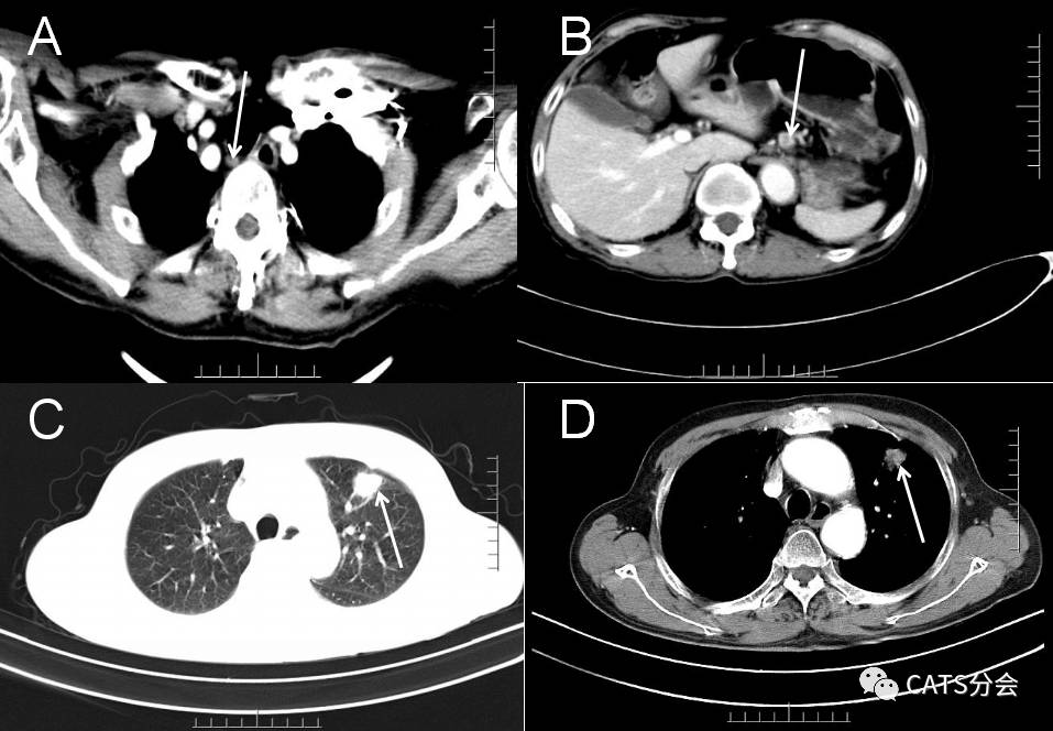
患者男,71岁,因进行性吞咽困难5月,发现左肺上叶结节增大2月入院。患者2月前就发现食管胸下段及左肺上叶病变,一直选择观察,未做特殊治疗。现复查CT发现病变较前增大,要求行手术切除,拒绝放化疗。查超声胃镜:食道距门齿35--40cm见一环周低回声肿物,浸润食道固有肌层及部分外膜,最厚约10.6mm。胸腹部CT提示(图1):胸下段食管壁较前增厚,较厚处约为1.2cm,右喉返神经旁、胃底周围淋巴结肿大;左上肺结节较前稍增大,大小约2.3*1.9cm,边缘分叶毛刺,考虑原发肺癌可能性大。全身检查未发现转移及其他手术禁忌症。

图1. A. 右侧喉返神经旁见淋巴结显示,直径5mm;B. 胃左淋巴结肿大,直径10mm;C,D. 左肺上叶肿物,根据影像学特征考虑原发肺癌可能性大。


鉴于患者年龄较高,体质偏弱,我们选择行微创手术切除。首先,患者取右侧卧位,经左侧腋中线8肋间做观察孔,腋前线5肋间做主操作孔,腋后线8肋间做辅助操作孔。常规行左肺上叶切除清扫4、5、6、7、8、10组区域淋巴结。随后,将手术床向前摇15°,使患者后纵膈暴露清楚。于腔镜下游离胸中下段食管,上至主动脉弓后水平,下至膈肌裂孔,并清扫周围淋巴结(图2)。

图2. A,B. 左侧胸腔镜下显露主动脉弓后解剖结构并清扫左侧喉返神经旁淋巴结;C,D,E. 纵膈镜下清扫双侧喉返神经旁淋巴结,显露胸导管并用hemolock夹闭。


随后,患者取仰卧位,常规于腹腔镜下游离胃,并清扫上腹部淋巴结。于剑突下作5cm纵行切口,将胃拖出体外行管状胃制作。考虑到患者有右侧喉返神经旁淋巴结直径5mm,不排除转移可能,我们采用纵膈镜进行清扫。于胸骨上窝顺皮纹作6cm切口并沿左侧胸锁乳突肌前沿向上延长。直视下显露双侧喉返神经,再用纵膈镜分别沿双侧喉返神经向下显露,清扫周围淋巴结(图2)。接着游离胸上段食管至主动脉弓水平,于上段食管后方显露胸导管并用hemolock夹闭。为避免胸腔吻合口瘘,我们于颈部行食管胃器械吻合。

手术经过顺利,耗时350min,出血150ml。术后6天恢复经口进食,11天出院,未发生并发症。术后病理结果:食管中分化鳞癌,清扫40枚淋巴结,其中胃左及贲门旁共有4枚淋巴结转移,pT3N2M0;左肺上叶为中分化腺癌,pT2N0M0。术后随访半年,患者一般情况良好,未见复发。

讨论

检索以往文献,除了少量全内脏反位患者以外,食管癌极少通过左侧胸腔镜手术切除。在本例患者中,为了同期切除左肺上叶病变,只能选择左胸入路手术。为探索左侧胸腔镜切除食管癌的可行性,我尝试着进行左侧胸腔镜+腹腔镜的手术方式。同时,因为右侧喉返神经有淋巴结显示,经胸腔镜无法进行清扫,我们又加入了纵膈镜的手术。结果表明,该术式同样安全可行,在达到同期根治食管癌和左肺癌的同时,避免了开放手术的切口,进一步减少了创伤,有利于患者的早期康复。

淋巴结清扫是影响食管癌手术预后的重要因素,食管癌常见的淋巴结转移部位包括:食管旁、贲门旁、胃左动脉旁及双侧喉返神经旁的淋巴结等。经左胸径路清扫隆突下、食管旁、主肺动脉窗淋巴结通常不存在困难,但由于主动脉弓的阻挡,对于上纵隔淋巴结清扫不及右胸径路,这是本术式的一个难点。本手术中,我们经颈部切口使用电视纵隔镜进行清扫,一定程度上弥补了左胸径路的不足。

纵隔镜在食管癌的治疗中应用较少,但在肺癌治疗中的研究已证实[3, 4],经颈部电视纵隔镜可有效清扫双侧上纵膈的淋巴结,其准确性与开放的纵隔淋巴结清扫相当,尤其对于行左侧胸腔镜肺癌手术的患者,电视纵隔镜可进一步提高手术的根治性。Wang等[5]的研究中,比较了纵膈镜手术与胸腔镜手术在T1N0M0食管癌中的治疗情况,发现纵膈镜组手术时间和手术失血量更少,且两组长期生存无统计学差异,提示纵膈镜在早期食管癌中可达到根治作用。近年来,也有不少学者尝试充气纵膈镜行食管癌切除,取得良好效果。在我们的手术中,通过利用纵隔镜能够充分显露清楚上纵隔结构的优势,能够很好的游离胸上段食管并结扎胸导管,同时结合颈部的牵拉暴露,能够全程游离显露双侧喉返神经,进行喉返神经链的淋巴结清扫。因此,经颈纵隔镜技术既很好解决了左胸径路食管癌切除术上纵隔淋巴结清扫的难题,也不增加手术创伤、降低了手术并发症的发生率。

食管癌标准的手术方式仍然是经右胸入路,能保证淋巴结的清扫和长期疗效。但对于部分不适合右胸入路的患者,比如存在右侧胸膜腔闭锁、左肺病变需同期手术治疗的患者,左侧胸腔镜入路是否也可以作为备用的选择,仍有探索的价值。本例患者同时采用了左侧胸腔镜+腹腔镜+经颈纵膈镜的手术方式,获得了良好的近期疗效,没有增加手术并发症,因而值得借鉴。


参考文献

1. Biere SS, v.B.H.M., Maas KW, et al. , Minimally invasive versus open oesophagectomy for patients with oesophageal cancer: a multicentre, open-label, randomised controlled trial. . Lancet., 2012. 379(9829): p. 1887-1892.

2. Straatman J, v.d.W.N., Cuesta MA, Daams F, Roig Garcia J, Bonavina L, Rosman C, van Berge Henegouwen MI, Gisbertz SS, van der Peet DL., Minimally Invasive Versus Open Esophageal Resection: Three-year Follow-up of the Previously Reported Randomized Controlled Trial: the TIME Trial. Ann Surg, 2017: p. doi: 10.1097/SLA.0000000000002171. [Epub ahead of print].

3. Zielinski, M., Transcervical extended mediastinal lymphadenectomy: results of staging in two hundred fifty-six patients with non-small cell lung cancer. . J Thorac Oncol. , 2007. 2(4): p. 370-372.

4. Witte B, W.M., Huertgen M, Toomes H. , Video-assisted mediastinoscopic surgery: clinical feasibility and accuracy of mediastinal lymph node staging. . Ann Thorac Surg. , 2006. 82(5): p. 1821-1827.

5. Wang J, J.N., Jiang B, Wang ZL, Zhang XY., Mediastinoscopy-assisted oesophagectomy in T1 oesophageal cancer patients with serious comorbidities: a 5-year long-term follow-up. . Interact Cardiovasc Thorac Surg. , 2015. 20(4): p. 477-481.


张百华,男,肿瘤学博士,湘雅医学院附属肿瘤医院(湖南省肿瘤医院)胸外科主治医师


2013年毕业于北京协和医学院、中国医学科学院肿瘤医院,师从著名的肿瘤学家赫捷院士。熟练开展胸部肿瘤的各种手术尤其是胸腔镜、腹腔镜及纵隔镜技术,在湖南省肿瘤医院较早开展食管癌术前放化疗及胸腹腔镜联合食管癌根治术。已在SCI、中华级杂志发表第一作者论文10余篇,主持省级课题2项,作为主要参加者参与国家级、省级课题3项。担任《中国普通外科杂志》、《中国胸心血管外科临床杂志》青年编委。“海峡两岸医药卫生交流协会胸外科专业委员会”委员,“世界华人肿瘤医师协会胸部肿瘤专业委员会”青年委员,“湖南省抗癌协会肿瘤腔镜微创治疗专业委员会”秘书。获得“两湖赛区2017年度菁英杯胸外科优秀青年医师手术技术大赛”腔镜食管组冠军。


本网所有转载文章系出于专业学术交流、分享与传播之目的,不涉及商业传播,不希望被转载的媒体或个人可与我们联系,我们将立即进行删除处理。


友情链接

Copyright © 2023 All Rights Reserved 版权所有 北京物流信息联盟