2022-02-12 12:41:22
放射沙龙——数万放射科医生都在关注的微信平台,回复日期(工作日哦)如150201,即可收听当日的资讯。回复“02”、“03”、“04”、“05”即可查询放射沙龙热文榜单。由于水平有限,放射沙龙所有学习资料如有不当之处,欢迎指正。点击文章下方“阅读原文”进入病例讨论,同时,欢迎大家多多留言!
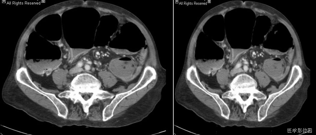
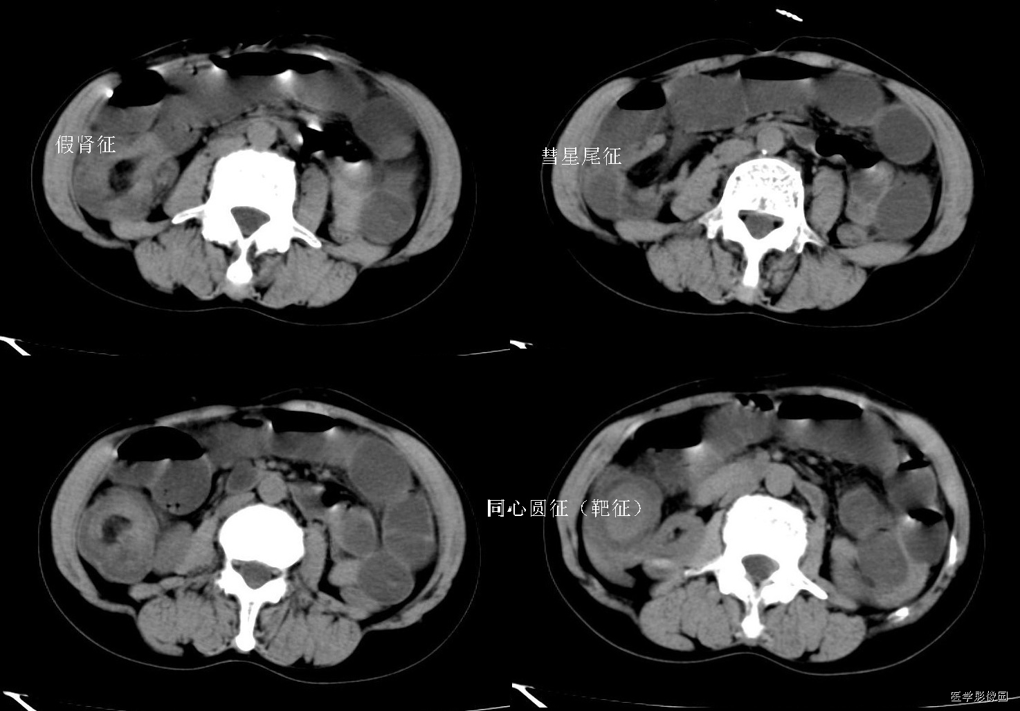
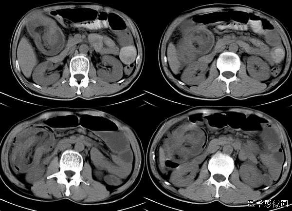
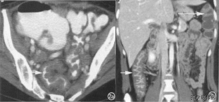
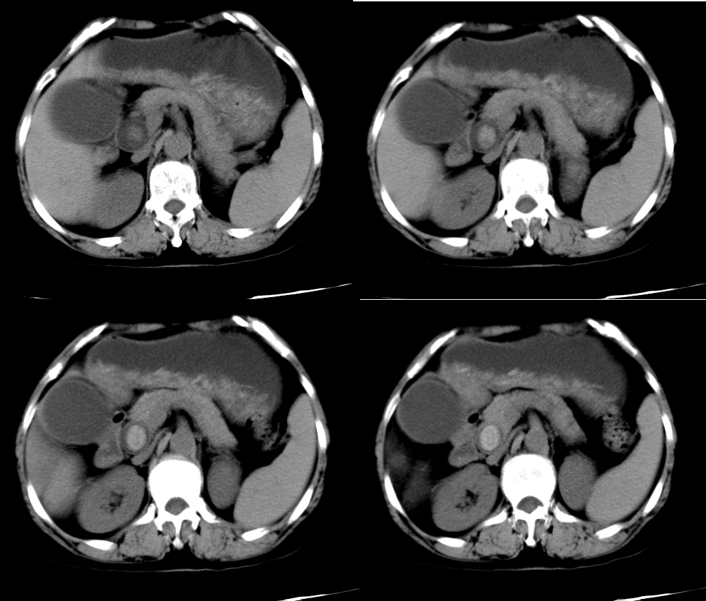
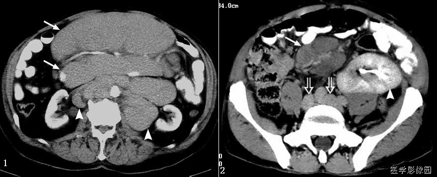
1、靶征(肠套叠)
是肠套叠最常见的特征性CT征像,为肠套叠长轴与CT扫描层面垂直时的表现,反映了套叠的各层肠壁、肠腔及肠系膜间的关系。典型排列为自外向内分别代表鞘部外层肠壁、鞘部肠腔内造影剂、鞘部内层肠壁、偏心性套入部肠系膜、套入部肠壁、套入部肠腔内造影剂。
肠套叠指:一段肠管及与其相连的肠系膜(套入部)被套如其相连的一段长管内(鞘部),导致肠内容物通过阻碍。婴儿由于大肠与小肠管径之比例相差大。故小肠易陷入大肠而被套牢。少数肠套叠可能来自某些器质性病变如美凯尔憩室、肠息肉、异位胰腺小结、血管瘤、异物、复制肠管、淋巴增生、肿瘤、寄生虫等,其中以美凯尔憩室最多,过敏性紫斑也常会合并肠套叠,大于2岁的小孩发生肠套叠,一定要考虑到这些病变。大于5岁的病例中,则以淋巴瘤为最多;成人肠套叠小肠多见,常伴发良性病变;结肠型肠套叠则更多由恶性病变继发。良性病变有脂肪瘤、平滑肌瘤、血管瘤、神经纤维瘤、腺瘤样息肉、美克尔憩室、术后粘连机场动力性病变等;恶性病变有转移瘤、腺癌、类癌、淋巴瘤及平滑肌肉瘤等。由于肠套叠长轴与CT扫描层面的角度不同,表现各异。
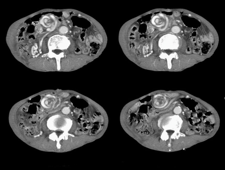
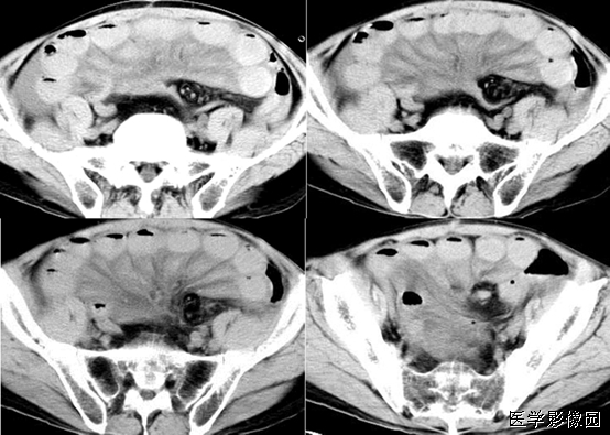
如扫描层面和迂曲的肠道相平行时,表现为彗星尾征或肾形征:即套叠近端肠系膜血管牵拉聚拢的征象。一般情况下,慧星尾征均与肾型肿块相伴出现。该肾形肿块为套鞘部游离缘与套入部近端肠管及肠系膜的CT斜切面图像,其中游离的套鞘呈弧形围绕套入部,形状若肾轮廓外形,而套入部近端肠管、肠系膜形状若肾蒂。此时,所谓慧星尾征的组成还应包括套入近端肠管。如果套叠的肠管与CT扫描垂直,则呈靶形征,即肿块影表现为圆形或类似环形。通常在肿块内可分辨出层样结构,推测可能是继发于套入部和鞘部间的液体或是肠壁水肿造成密度对比,类似同心圆形;当套入部肠壁显著水肿坏死或套入部肿瘤周围浸润累及肠系膜,肠系膜血管及脂肪、套叠时间较长,套入部系膜血管受挤压时,静脉血液回流障碍,套入部肠壁充血水肿、变硬,形成不完全性肠梗阻,套叠以上肠管蠕动增强,可引起代偿性肠管扩张肥厚,并可见肠系膜连同其血管纠集、扭曲,形成“漩涡征”。
成人肠套叠还有一些间接征象可帮助诊断,如肠壁不规则增厚或见密度不均匀的软组织块影,伴周围系膜及筋膜浸润、腹膜后淋巴结增大,则提示病因是恶性肿瘤。肿瘤所致肠壁水肿、坏死与部分炎症引起的套叠无法明确区分,肠壁及肠系膜血管有增厚伴肠壁内气体影的征象可提示血运障碍。如CT显示肠套叠直接征象、并伴随近段肠梗阻征象,则表示套入时间较长。如果套入部肠壁及鞘部组织发生水肿、变硬,形成不完全性肠梗阻,套叠以上肠管蠕动增强,可引起代偿性肠管扩张肥厚。
2、靶征(肠壁)
主要见于腹部增强扫描,增后的肠壁表现为三层结构,内层和外层是高密度强化层,两者之间是低密度的中间层。
靶征出现于可导致长鼻粘膜水肿、炎症或两者同时存在的多种肠管病变。其内层代表粘膜层,外层代表固有层和浆膜层,由于对比剂的强化而成高密度,中层的低密度被认为是由于粘膜下层水肿所致。靶征的出现提示粘膜和固有层、浆膜层的充血并伴有粘膜下水肿和炎症。颈静脉注射对比剂后,各层之间的密度差异在动脉早期和门晚期表现最为清楚,如果对比剂注入速度太慢、剂量太少以及延时超过2分钟,此征根本不出现。但是当粘膜下水肿非常严重时,CT平扫也可能出现。如果肠管内充满水而使肠管扩张时,靶征显示更为清楚。
CT扫描时,良性的肠管病变通常表现为肠壁的环形均匀性增厚,厚度从粘膜面到浆膜面一般不超过1公分,根据病因和病变严重程度的不同,偶尔可能超过1公分,但一般在2公分以内。肠壁出现靶征的病变主要见于缺血性肠病、小肠壁内出血、克隆氏病、溃疡性结肠炎、血管性疾病、感染性疾病、放射疾病和门脉高压所致肠粘膜水肿等。靶征并不是一个特异征象,但是在恶性病变中一般不出现此征,只是浸润性直肠癌是一个例外。
所以,一般情况下,靶征的出现,首先要考虑的是肠道的炎症性病变。
以下是空谷幽兰斑竹曾经发过的一个帖子,靶征非常典型:
系统性红斑狼疮
3、不成比例脂肪绞缠征
不成比例脂肪绞缠主要指的是增厚肠壁和周围脂肪在数量方面比例的严重失衡。在少数急性胃肠道疾病中,以肠壁相邻的肠系膜为中心而不是以肠壁为中心,因此肠壁周围脂肪增厚明显高于肠壁厚度。和这一征像相关的疾病主要包括4类:憩室炎、肠脂垂炎、网膜梗死和阑尾炎。胃肠道的大多数炎性疾病包括感染性的、非感染性的和局部缺血性的病变,都是以肠道为中心。这些疾病的肠壁增厚程度往往超过相邻脂肪条索的厚度。但是对于少数以肠壁临近系膜为中心的疾病,脂肪增生明显超过肠壁的厚度。
左上图:右侧腹横肌深面、胆囊内前方梭形囊性病变,有壁但不均匀,略有强化。与腹横肌成锐角,腹横肌肥厚。周围脂肪模糊,有索条点状影。
右上图:邻近降结肠远端系膜壁旁可见一卵圆形类似脂肪密度的病变,周边可见火焰样炎性改变,邻近肠壁有轻微增厚,无明显脓肿及肠梗阻征象。
左下图:肠壁增厚,结肠袋襞显影不良,以及结肠周围脂肪束条状改变。
右下图:CT显示壁明显增强的管状结构(箭头),右中腹的脂肪系膜反应。
4、脂肪晕征
“脂肪晕”征的CT表现为肠壁与黏膜之间的环形低密度影,密度均匀,形态与肠腔相一致, CT值-10到- 68 Hu,厚度基本相等。发病部位以升结肠、横结肠、降结肠多见。出现伴随性肠周围脂肪聚集和肿大的淋巴结,则位于肠壁之外。黏膜下层脂肪聚集形成的环形结构称为“脂肪晕”征 ,它是慢性炎症性肠疾病 、细胞减数治疗或器官移植的急性表现。
小肠和/或结肠壁内出现脂肪曾经被认定为炎症性肠疾病,也可以说是Crohn′s病的征象。如果“脂肪晕”征在结肠出现同时伴有肠壁增厚则是溃疡性结肠炎的征象。但是目前有人提出,“脂肪晕”征也可以是正常表现。非炎症性肠疾病时出现“脂肪晕”征是正常的或是肥胖症。
肠腔中度扩张时可以更好地显示“脂肪晕”征 。但是,当肠腔扩张非常明显的时候,此征象则很少出现或消失,这可能是肠腔扩张肠壁紧张压迫脂肪层所致。清洁的肠腔自内向外可以形成气体—黏膜—脂肪晕—肠壁的结构层次,而非清洁肠腔则结构层次为肠内容物—脂肪晕—肠壁,因为黏膜与内容物混为一体。
左图:慢性溃疡性结肠炎横轴位CT图像:增厚的直肠壁表现为脂肪晕征,可见明显的直肠周围脂肪。
中图:溃疡性结肠炎CT图像:内环为粘膜层,外环为固有肌层,中间层为水肿的粘膜下层。
右图:克罗恩回结肠炎CT图像,显示回肠末端及盲肠增厚,伴有周围纤维脂肪增值。旁见一枚增大的淋巴结。
以上三图中,红箭头所指均系肠壁内脂肪。一般来说,肠壁脂肪的CT值应该在-10hu以下,但是由于部分容积效应,或同时并存的肠壁水肿,密度可能会较高。所以要注意“脂肪晕”征与水肿的鉴别:“脂肪晕”征的病理基础是黏膜下脂肪的聚集,而水肿是肠壁组织间隙水分的增多。所以,水肿以肠壁增厚为主,而“脂肪晕”征以黏膜与肠壁的分离为主。水的密度高于脂肪, CT值在0 Hu左右。另外,水肿是某种疾病的急性反应并有相应的临床症状,而“脂肪晕”征的患者是无胃肠道症状的。
“脂肪晕”征、Crohn′s病、肾结石、肥胖症之间的关系 Crohn′s病与“脂肪晕”征的共性是都有脂肪晕。Crohn′s病的脂肪晕程度小于“脂肪晕”征且常伴有黏膜紊乱、肠壁增厚、肠腔狭窄等变化而单纯“脂肪晕”征没有。有人报告 Crohn′s病患者中肾结石呈高发状态,说明了Crohn′s与肾结石的关系。肠壁“脂肪晕”征是炎症性肠疾病的表现之一,但可以在没有炎症性肠疾病时出现,此时代表正常表现或肥胖症。
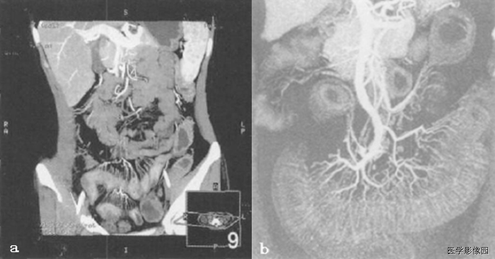
5、肠系膜混浊征
肠系膜脂肪受炎症细胞、液体(水肿、淋巴液和血液)、肿瘤浸润及纤维化的CT表现。当肠系膜被液体或细胞浸润时,其脂肪CT值增加到-40~ -60HU(肠系膜脂肪的CT值类似于皮下及腹膜后脂肪,约-100~-160hu,肠系膜血管常呈横行或断面显示。),动、静脉失去锐利边缘。根据浸润的性质和范围,肠系膜血管可部分或完全模糊,顺着脏层腹膜常能发现肠系膜疾病的线索,在周围脂肪衬托下,肠系膜病变显示更加清晰。
上两幅图:肠系膜上动脉栓塞
下两幅图:十二指肠扭转致肠壁增厚、肠系膜水肿
造成肠系膜混浊征的主要有以下疾病需要鉴别:
1、肠系膜水肿
肠系膜水可由许多疾病引起,如低蛋白血症、肝硬化、肾病、心力衰竭、三尖瓣狭窄病变、缩窄性心包炎、门脉高压、门静脉血栓、肠系膜血管栓塞、血管炎、柏-查综合症、下腔静脉阻塞和外伤等,如肠系膜水肿是由全身性疾病引起,则有广泛的皮下水肿和覆水。CT扫描常由于身体近床侧的皮下组织内有新月状高密度影,代表增多的细胞外水分,肠系膜呈云雾状改变的范围从肠管的浆膜面直到肠系膜上动、静脉起始部的肠系膜根部;肝硬化由于低蛋白血症门脉高压常引起肠系膜水肿。肠系膜动、静脉血栓所引起的肠系膜水肿可呈局限性或弥漫性,发现血管内栓子或管腔缩小常可提示肠系膜血管栓塞,肠缺血的其他征象为节段性肠壁增厚,气肿性肠炎,当出现坏死时可有小静脉分支内集气。
2、淋巴水肿
肠系膜淋巴水肿常继发于淋巴系统阻塞,如先天性发育异常、炎症、肿瘤、外科手术和放疗等,淋巴液从淋巴管内渗透至肠系膜间质。淋巴系统的先天发育异常可引起通过肠系膜的侧支交通扩大及及发行淋巴水肿;肠管的淋巴管扩张征表现为淋巴淤滞伴有肠系膜淋巴水肿计入糜腹水。丝虫病以侵犯淋巴系统,引起中心淋巴阻塞,常累及腹股沟区,但也可侵犯肠系膜。
3、炎症
典型的小肠系膜炎症浸润可见于胰腺炎,重型胰腺炎时,释放的胰酶渗入小网膜内或沿身旁前间隙进入小肠系膜,有时甚至结肠系膜。其他局灶性炎症如阑尾炎、炎性肠病及憩室炎也可引起附近小肠系膜的炎症。腹部结核最常表现为淋巴结结核,尽管受累淋巴结直径可达3公分,但多数只是表现淋巴结数量增多,大小仍正常,肠系膜可弥漫浸润,肠攀粘连,肠系膜表面有小结节,大网膜浸润,肠壁受侵,淋巴结边缘强化而中养成低密度。
4、出血和损伤
血液可由供应肠系膜、肠壁、后腹膜或盆腔的血管渗出至肠系膜内,急性出血CT呈高密度(40~60hu),肠系膜内出血可呈弥漫性或局限性,常引起肠壁水肿,集气及游离气体,具有外伤史或过度抗凝治疗史者有助于做出正确诊断,但肠系膜缺血可有类似CT表现。
5、肿瘤最常累及肠系膜的肿瘤是非何杰金氏病淋巴瘤(NHL),NHL常导致淋巴结肿大成团而呈“三明治”征,NHL也是边缘清楚的肠系膜混浊最常见的病因,化疗使受累淋巴结缩小后易与显示,受累肠系膜呈薄纱状,与全身性疾病引起的肠系膜水肿不同,病变完全局限于原肿大淋巴结的区域,尽管有乳糜腹水的报道,但合并腹水并不常见,对照化疗前肠系膜区和覆膜和膜膜后淋巴结肿大可作出正确诊断,何杰金氏病极少累及肠系膜,NHL累及小肠系膜远较其他系膜多见。侵犯肠系膜的其他肿瘤包括:胰腺癌、结肠癌、乳腺癌、胃癌、类癌、黑色素瘤、白血病、间皮瘤及卵巢癌等,,。肿瘤半纤维化和淋巴水肿可类似肠系膜混浊,类癌表现为肿块周围有星样放射状扩展的纤维条索并有结节,常有钙化,这在其他病少见。约1/3肠系膜纤维化增生弥漫浸润肠系膜,尽管组织学表现为良性,但肿块为局部侵蚀性,半数强化较肌肉明显,腹壁纤维增生或纤维瘤常伴有Gardner氏综合症提示此病。
6、特发性疾病
肠系膜脂膜炎(收缩性或脂肪硬化性脂膜炎)可与NHL相似,肠系膜呈弥漫增厚及炎性改变,病理特征为噬脂细胞,代表肠系膜内吞噬脂质的巨噬细胞,放射学表现为围绕大血管的软组织密度放射状条索影,对血管不产生推移现象,无淋巴结肿大,典型表现为肠系膜血管周围的脂肪晕轮,血管受包绕及肿块内钙化可与NHL鉴别。
6、蜂窝征
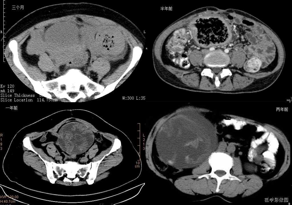
腹腔内残留纱布在人体内引起渗出或液化坏死并纤维包裹形成异物性脓肿(纱布瘤)。纱布瘤的影像特点是:圆形或卵圆形肿块,较大,有完整包膜,薄壁,较少的情况下为后壁,边界较完整,增强后薄膜可以持续强化。不同时期的纱布瘤可以不同的表现:早期(如10各月或半年前)的多表现为蜂窝状;2~5年内一般表现为囊性飘带状;10~20年之后则为实性软组织密度,包膜钙化呈钙化性网状结构。手术过程中残留在人体内的医用纱布所形成的肿瘤样病变。
以下是不同时期纱布瘤的表现:
7、腹茧症
全部或部分小肠被一层致密、灰白色的纤维膜所包裹,形似“蚕茧”,故称为腹茧症,又称为特发性硬化性腹膜炎、小肠禁锢症、小肠纤维膜包裹症等。多见于青春期女性。腹部CT十二指肠空肠交界处扭曲,肠系膜增厚伴上消化道扩张,提示不全性肠梗阻。X线可发现全部或部分小肠聚拢于某一部分,位置固定。CT检查有更助于腹茧症的术前诊断。CT能显示梗阻程度及包块内肠管的情况,还能显示包裹在肠管周围的纤维包膜。一旦观察到包膜便可诊断腹茧症。典型的CT表现为扩张的小肠肠袢固定在腹部的某一部位,并被增厚的包膜所包裹或分割。增强扫描示包膜强化明显,部分病例可见腹腔积液及肠管间积液。
鉴别诊断:需要与腹膜包裹症鉴别,后者
(1)结核性腹膜炎所致的腹膜纤维化:表现为腹膜与肠管及网膜间有不易分离的广泛致密粘连,网膜增厚,收缩成团,悬在横结肠处,病理可见典型的干酪样肉芽肿。
(2)腹膜包裹症:表现为小肠包绕在一层相对正常的腹膜当中,与肠管无粘连,肠蠕动不受限,其来源是胚胎发育中残留的脐囊,属发育异常。腹膜包裹症也是一种少见疾病,患者小肠被包绕在一层相对正常的腹膜当中。该病是胚胎发育中脐囊残留,并随小肠发生、发育而被包绕入腹腔,包囊颈部附于十二指肠,又名“十二指肠旁疝”。与腹茧症不同的是,腹膜包裹症小肠外被膜与正常腹膜相似,其内壁与小肠肠管并无粘连,小肠近似位于一个较小的腹膜腔中,肠管蠕动不受限,很少发生肠梗阻。
(3)硬化性腹膜炎:多发生于腹膜透析、腹腔化疗、腹部手术、肝硬化腹水及长期服用普拉洛尔等,全腹紧缩、质硬如板,腹膜壁层及全腹脏器广泛粘连,肠管间粘连紧密,难以分离。
不全肠梗阻
8、车轮征
腹部CT平扫,肠系膜血管增厚并延长聚集在一起,充满液体的扩张肠襻呈放射状排列的肠系膜血管周围。
当小肠扭转时,肠系膜根部相应发生扭转,肠系膜短变紧并沿着旋转轴呈漏斗形。这使得与肠系膜相连的得肠管呈同心园围绕在肠系膜血管周围,扭曲增厚的肠系膜血管占据中心,肠管扩张,肠腔内充满液体。分布在肠系膜上的血管由肠壁向扭转的肠系膜根部放射状排列,形成软组织密度的皱襞,形似车轮的辐条与中心的车轴相连,称作车轮辐条征。当所扫描的横断图像与扭转肠襻的长轴呈垂直位的时候,该征象显示最清楚。
小肠扭转是较少见却能威胁生命的外科急症。其伴随肠缺血的发生率高达46%,肠扭转是各种因素相互作用使肠管损害比单纯机械性肠梗阻更严重。首先,肠系膜扭转本身使得肠系膜血管早期血供发生障碍,肠管缺氧,缺血进一步发展会导致肠坏死。其次,小肠扭转被认为是急性闭袢性肠梗阻的典型例子,于简单的机械性肠梗阻不同,闭袢性或机械性肠梗阻是一段肠管阻塞,有两个阻塞点,给该段肠管闭塞影响了该段肠管的连续性。无论阻塞发生在哪段肠管,肠管内液体迅速积聚,并且由于细菌大量繁殖,是气体大量产生,肠管内压力增加,肠管扩张,进一步加重肠壁血供障碍,最终发生缺血性梗死,坏死及穿孔。
小肠扭转最常见的原因(所谓继发性肠扭转)是肠粘连及内外疝,两段相互靠近的肠管相互粘连所产生的挤压效应使得一段较长的移动阻塞的肠管仅有一个相对窄的基底,这种解剖结构使得该闭合襻沿着其长洲旋转继而形成肠扭转。
在CT扫描上已经有一些征像用来诊断单纯或闭袢性肠梗阻。如2个塌陷的肠襻相连、鸟嘴征(三角征)、漩涡征等。
车轮征除了有助于诊断闭襻性肠梗阻外,对于预测绞窄性肠梗阻也有帮助,因为辐条征能对闭袢、肠系膜及肠系膜血管作出评估,在肠道缺血坏死时上述结构能做出特征性改变,因此有人提出上述征象有助于区分闭袢性肠梗阻中坏死和非坏死的肠段。
内疝
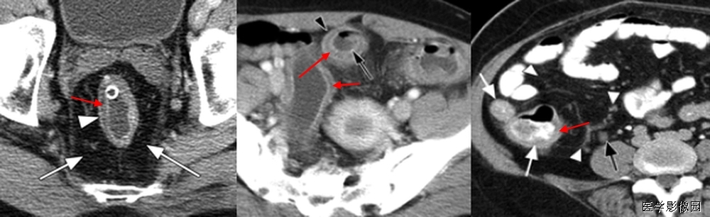
9、高密度环征
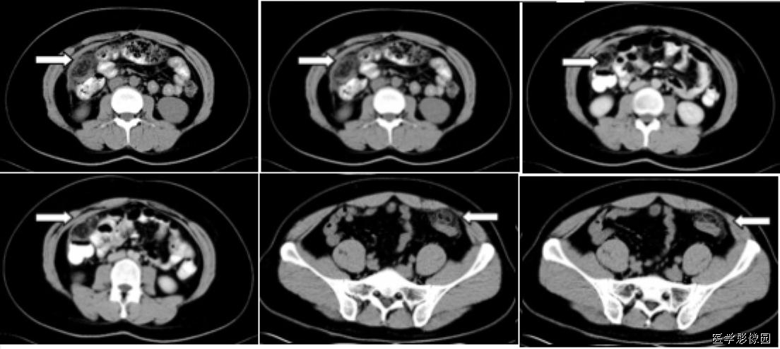
高密度环征是指在压痛部位结肠旁可见与结肠壁相连的肿块,近似于乳腺密度,中心密度较低,边缘密度较高,邻近脂肪间隙模糊,局部腹膜增厚。此为炎症导致增厚的脏层腹膜。组织病理显示致病的肠脂垂外脏层腹膜覆盖纤维白细胞渗出物。肠脂垂见于腹水CT。肠脂垂因扭转或自发性静脉血栓而梗死,继发炎症反应,称为原发性肠脂垂炎,区别于因周围器官病变导致的继发肠脂垂炎。
原发性肠脂垂炎的影像表现具有特异性,可以明确诊断。CT显示结肠周围1-4cm的脂肪密度团块周围2-3mm高衰减环。偶尔有高衰减中心,此为栓塞的血管及出血坏死。鉴别诊断包括继发肠脂垂炎和网膜梗死。结肠憩室炎是继发肠脂垂炎最常见的原因,需通过有无临近憩室、结肠壁增厚脓肿除外,多普勒超声有助于炎症和梗死的区别。网膜梗死常更大(3.5-7cm),蛋糕状,预后与原发性肠脂垂炎相。
肠脂垂附于结肠带,特别是沿独立带和网膜带的两侧,多见于盲肠和乙状结肠,为许多大小不等、形状不定的脂肪小突起,它是由肠壁浆膜下的脂肪组织集聚而成。每个肠脂垂通过一个狭窄的短蒂供血,这个带蒂的特点及较大的活动性大大增加了扭转及梗死机率,从而导致局部缺血引起炎症和四周水肿。
由于脂垂分部广泛,患病部位可自盲肠至乙状结肠,疼痛部位亦随之变化,压痛最明显的部位即病变脂垂所在部位,重者可有反跳痛及肌紧张,较少见,不易与急性阑尾炎、乙状结肠憩窒炎及某些妇科疾病相鉴别。当发现阑尾炎症状与体征不相符的患者时,经过CT检查,发现较典型的影像学表现,即可考虑到本病的存在。 因为好发于下腹,临床常诊断结肠憩室炎和阑尾炎原发性肠脂垂炎是自限性疾病,一般1周后自动缓解,因此明确诊断很重要,可以避免不必要的手术和临床处理。
。
左图:腹部增强CT横扫显示结肠附近高衰减环(箭头)围绕脂肪密度中心。此环为肠脂垂炎症导致外脏层腹膜增厚。
右图:CT显示结肠周围1-4cm的脂肪密度团块周围2-3mm高衰减环。偶尔有高衰减中心,此为栓塞的血管及出血坏死。
结肠旁与结肠壁相连肿块,近似于乳腺密度,中心密度较低,边缘密度较高,邻近脂肪间隙模糊,局部腹膜增厚
10、 箭头征
阑尾炎CT 的直接征象是阑尾形态的异常, 表现为阑尾外径增粗和阑尾壁的增厚。正常阑尾的直径一般3~5mm,有些报道在阑尾腔内无对比剂的情况下,正常阑尾外径可达11 mm。急性阑尾炎患者的阑尾平均直径达11 mm。不能单凭阑尾增粗(>6 mm)或阑尾壁增厚(>3 mm)来诊断阑尾炎,必须结合其他征象综合考虑。
“箭头”征阑尾炎的一个比较典型的CT表现,是造影剂汇集在盲肠尖端(阑尾起始部)形成的箭头样、鸟嘴样改变,是阑尾炎症蔓延到盲肠尖肠壁的结果。如果在盲肠的尖端汇集的不是高密度的造影剂而是气体,那么显示的就是空箭头征。如果造影剂汇集于结肠憩室的口部,也会显示这样的征象。箭头征也见于急性阑尾炎的CT增强扫描中,急性阑尾炎患者的阑尾血流比率比正常肠道高,增强扫描时可见其强化。部分患者由于炎症时肠壁血管内血栓形成,使局部血流受阻,阑尾血流比率可等于或低于正常肠道,甚至无血流灌注,CT上阑尾表现为等密度,低强化或无强化;另外阑尾炎时,其邻近肠管可继发炎症,局部血流增加,有时CT上可见局部盲肠壁增粗, 强化时增强, 似箭头一样指向病变阑尾。“箭头”征是造影剂汇集在盲肠尖端(阑尾起始部)形成的箭头样、鸟嘴样改变,是阑尾炎症蔓延到盲肠肠壁的结果。见到此征象, 有文献报道,阑尾炎的特异度几达100%。有些患者由于炎症较轻,肠道血流可无明显改变;也有些病例,可能是肠壁部分血流受阻,与炎症引起的血管扩张相抵消。因而其血运明显受阻,局部造影剂减少所致。
阑尾粪石可能增强阑尾穿孔的机会,当发现阑尾钙化或阑尾粪石,同时合并阑尾周围炎时,是诊断阑尾炎的可靠征象。阑尾粪石也可出现在阑尾穿孔形成的脓肿或蜂窝织炎内。
阑尾周围炎表现为阑尾周围脂肪组织中条索状、斑片状密度增高影(称脂肪条带征)、结肠后筋膜增厚、阑尾周围液体渗出,局部形成脓肿。阑尾周围炎只是阑尾炎的一种主要间接征象,不能单凭此诊断阑尾炎。阑尾周围炎性反应或右下腹脓肿提示阑尾炎,但Crohn 病、盲肠炎、憩室炎、肿瘤穿孔和盆腔炎等亦可有相似的表现,应与之鉴别。
通过对阑尾强化程度和阑尾周围炎症改变对急性阑尾炎的严重程度作出初步评估,指导临床治疗。正确选择治疗方法基于对急性阑尾炎的正确诊断及对其严重程度的分级,正确诊断急性阑尾炎并区分卡他性阑尾炎、蜂窝织阑尾炎及坏疽性阑尾炎非常重要。总之,阑尾直径增粗>6 mm,阑尾壁高度强化伴有或不伴有阑尾周围炎症改变或阑尾中、低度强化,可作为诊断阑尾炎的依据;阑尾周围是否出现炎症可作为区分卡他性阑尾炎与其他类型阑尾炎的依据。
阑尾增粗,壁增厚、阑尾腔内可减低密度条带影,为阑尾腔内的液体,阑尾根部与盲肠交界处的官腔内进入造影剂形成边缘不规则的尖角状,即“箭头征”
11、 内脏依靠征
右侧横隔破裂时,肝脏上1/3往往与右后肋相贴近,左侧破裂胃、肠甚至脾、肾可病入胸腔,胃、肠等往往与左后肋相贴,Birgin等131将此征象定义为“内脏依靠征”。病人CT检查时取仰卧位,如果横隔破裂,疝出的内脏(肠腔或肝脏等)不再受后方横隔支撑而下靠到后肋。基于此机制,非外伤性如先天性、炎性隔疝及食管癌术后的胸腔胃等也可出现此征象。有时右侧易漏诊,因肝脏疝出早期、程度轻时可暂时堵住裂孔不易发现,而且“内脏依靠征”有时也带有一定的主观性,有时CT诊断也较困难,带有一定的局限性。
12、岛嘴征
为扭转性肠梗阻CT征象,当扫描层面通过闭袢时可表现为两个扩张的肠环,随层面逐渐靠近闭袢根部,可见两个相邻肠环的距离逐渐接近,当闭袢与扫描层面平行时,则表现为一扩张的U形肠袢。当扫描层面通过闭袢的根部时,可见肠管的变形,肠扭转时则表现为三角形的软组织密度影。扫描层面通过闭袢的输入与输出端时,则表现为相邻的两个萎陷肠环。当肠扭转闭袢的输入或输出段肠管的长轴与CT扫描层面平行时,由于扭转使输入端逐渐变细,输出段由细变粗,在CT图像上表现为“鸟嘴征”。肠扭转时表现为光滑的鸟嘴征,但当因梗阻处肠壁的水肿增厚和肠系膜的充血、水肿,就会表现为锯齿状的鸟嘴征。
根据扩张肠袢的形态特征及扩张和萎陷肠管的移行区可以进行梗阻部位的判定。如果扩张肠袢的数量少,且多位于上腹部,梗阻部位则位于空肠,可见到扩张空肠的环形皱襞。如果多数扩张的回肠肠袢布满全腹,伴有较多的气液平面,结肠内无气体或仅有少量气体,但无扩张及液平,则梗阻部位在回肠远端。结肠梗阻表现为梗阻近端扩张,并伴有气液平面,扩张的结肠可见结肠袋及半月皱襞。小肠多无扩张,或扩张的程度较轻。
肠梗阻的病因复杂多样,如肠粘连、原发或继发性肿瘤、Crohn病、血管性病变、寄生虫、大胆石、粪块、腹部疝、慢性结肠憩室炎、肠套叠、肠扭转等。
下图是xuyinsheng66 版主的一个典型乙状结肠扭转伴结肠梗阻病例,之所以典型,就是因为在近梗阻的部位,有典型的“鸟嘴征”:
乙状结肠扭转伴结肠梗阻
13、三明治征(夹心面包征或夹心饼征)
指2个均质软组织肿物组成三明治面包,系膜脂肪和管状物为构成夹心,是腹部CT横断扫描时的影像表现。系膜脂肪和血管组成夹心,肿大淋巴结组成面包;在给予增强剂后系膜管状结构(血管、肠管)相对脂肪增强,夹心层突出。因为淋巴结增大会压迫血管,阻碍静脉回流,使夹心层内增强的血管更加明显。
当经静脉及口服造影剂后,肠系膜血管结构较脂肪明显强化,从而可使夹心更加突出。导致肠系膜淋巴结肿大的病因很多。除淋巴瘤外,癌、肉瘤、类癌、获得性免疫缺陷相关性淋巴结增生综合征、结核、肠源性脂肪代谢碍及炎症性肠病等也是最常的病因。
癌、肉瘤及类痛均可起源于小肠,然后向肠系膜淋巴结扩散。这些肿瘤快速侵犯肠壁而导致穿孔、出血及弥漫性病变。感染性及炎性病变通常不会引起巨大的块状淋巴结肿大,它们所引起的淋巴结肿大,,周边可见环形强化,此点与结核相似。因此这些肿瘤,感染及炎性病变不会产生三明治征。
三明治征为肠系膜淋巴瘤的特异征象。因为只有在肠系膜淋巴瘤中淋巴结才可以长得很大,并包绕脂肪、肠管和血管而不产生任何临床症状。肠系膜淋巴瘤偶尔可侵犯浆膜及固有肌层,有时会引起小肠出血但极少引起游离性穿孔。肠系膜淋巴瘤还可以引起腹膜后淋巴结肿大。
绝大多数肠系膜淋巴瘤是非霍奇金淋巴瘤。过去在临床上通常难以确定非霍奇金淋巴瘤是否累及肠系膜。随着现代影像技术的发展及影像检查的普及.非霍奇金淋巴瘤累及肠系膜及其所表现的三明治征经常可以见到。
患者的免疫功能紊乱是非霍奇金淋巴瘤的危险因素。例如.AIDS患者易于并发非霍奇金淋巴瘤,这与AIDS相关性淋巴结增生综合征有本质的区别。随着实质器官移植及骨髓移植的增多,移植后淋巴组织增生性疾病有增多趋势。淋巴组织增生性疾病为EB病毒驱动的B细胞增殖性病变,在形态学上淋巴组织增生性疾病与侵袭性非霍奇金淋巴瘤难以区别,但由于发病机制及临床处置均不相同.因此,可将淋巴组织增生性疾病看作一种独立的淋巴增生性疾病。淋巴组织增生性疾病通常累及胃肠道.但不引起浅表结节样的改变。对于行器官移植的患者,如果断层影像显示夹心面包征,必须考虑到存在淋巴组织增生性疾病的可能性。
总之,三明治征指的是CT柏横断面上,巨大增生的肠系膜淋巴结包绕肠系膜脂肪和血管而形成的类似三明治的影像。对于设有移植病史的患者,非霍奇金淋巴瘤是三明治征的主要病因;有移植病史的患者,产生三明治征的原因则可能是淋巴组织增生性疾病,随着接受移植手术的患者不断增多,三明治征可能会在临床上越来越常见。
下图是一个恶性肿瘤腹膜后淋巴结转移患者:
下边两幅图更典型:
图1:非何杰金淋巴瘤患者口服造影剂后增强CT横断面。显示2个巨大系膜淋巴肿物(2个面包-带尾箭头),包绕中心系膜和增强的血管。注意增强的小肠位于周边,腹膜后淋巴结显著增生-箭头)。
图2:患者6个月前曾行左肾移植发现PTLD,血管和口服造影剂横断CT显示三明治征——系膜淋巴肿物(实心带尾箭头),靠近右肾(箭头),有腹膜淋巴结肿大(空心带尾箭头)。
14、手风琴征
手风琴征见于口服对比剂后腹部CT扫描,主要指大肠内由低密度的软组织影与高密度的对比剂相交互而形成手风琴样的表现。
手风琴征中低密度的软组织影代表了由于肠壁水肿引起显著增厚的结肠皱襞,口服对比剂后到达结肠的少量的对比剂填充于增厚的结肠皱甓之间的裂隙内,这种低密度与高密度相间的条带状表现与手风琴非常相似。根据结肠水肿的程度不同以及对比剂在结肠皱襞的裂隙间沉积量的多少而表现有所不同。该征被认为是假膜性结肠炎(PMC)的特征性CT表现。
PMC的致病机制主要是结肠内难辨棱菌,或称艰难棱菌、顽固性梭状芽胞杆菌的过度生长,这是由于抗生素大量使用而引起肠道内正常菌群减少的一种反应,某些抗肿瘤药也可以产生同样的作用。难辨梭菌是革兰阳性厌氧菌,这些细菌所产生的毒素能够直接引起肠黏膜的损伤。其特征性的病理改变是在病变的结肠黏膜表面附着有不连续的、小的黄色斑块(假膜),少数情况下可累及小肠。假膜是由一层坏死的上皮细胞碎屑、纤维、多形核白细胞以及黏液共同组成。影像检查并不能直接分辨这些假膜斑块。随着疾病的进展,炎性水肿可逐渐累及黏膜固有层、黏膜下层.最终到达浆膜下,导致肠壁全层水肿增厚,这个病理改变可以在影像学上表现出来。
普通X线检查能够发现一些非特异性的表现如结肠皱襞的增厚、结肠的扩张,腹腔积液等。CT检查越来越多地心用于那些没有特异性症状的、难以诊断的进展性PMC患者,其CT表现与普通X线相类似,包括肠壁的明显增厚、肠壁结节、手风琴征。
肠壁增厚和结节的出现也可以见于其他的结肠炎,但主要是在PMC的患者身上有所体现,其肠壁增厚的程度和结节的出现才能够在CT上表现为手风琴征。研究认为,进展期PMC患者CT检查发现手风琴征的阳性率占51%—67%.有学者认为它是PMC的特征性表现。
PMC的确诊依靠粪便的毒素检查阳性和结肠内镜下对可见假膜斑块的检出。当然需要我们已经预料到了该病的可能性。不然则不会在早期进行这些检查。而且粪便毒素检测需要两天才能出结果,结肠镜检也可能出现假阴性或特异性的结果。所以影像学检查或许是较早发现该病的检查手段。PMC可以治愈,但如果治疗不及时则可能危及生命。因此及时诊断并予以治疗意义重大。
图1显示水肿增厚的小肠壁和口服的高密度造影剂黑白相间如手风琴样表现,也称之为手风琴征;
图2是一例一例25岁男性伪膜性肠炎,患者曾因败血症接受过抗生素治疗。结肠壁广泛性明显增厚。于横结肠可见手风琴征,并可见腹水 。此例应该说是手风琴征的经典病例。(此二例均源自丁香园)
图3也是一例假膜性肠炎的患者,水肿增厚的肠壁和高密度造影剂黑白相间,比较典型。(本例源自AuntMinnie.com)
上图也是一例假膜性肠炎,a)轴面增强盆腔CT。直肠内充盈对比剂,可见典型的“手风琴征”(箭),亦可见肠壁水肿及管腔内线样对比剂影;b)冠状面重建像。肠壁肿胀强化明显(短箭)(长箭所示为正常肠管),当使用阴性对比剂(水)也可看到相似征像。(本例源自放射与实践2009年第5期)
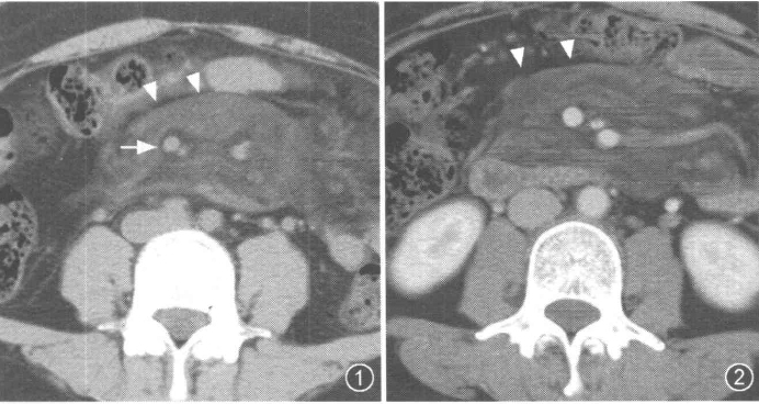
15、梳齿征
腹盆腔C扫描时,于回肠的系膜侧可见多个直管状,扭曲的阴影排列成梳齿状。
供应小肠的动脉由肠系膜上下动脉发出,于肠系膜内形成一系列相互吻合呈弓状的小肠动脉支。其终末分支(直小动脉)在空肠比较长且相巨间距离较大,而在回肠则比较短相对距离较近。冈此,当回肠系膜内的直小动脉增多、扭曲、扩张,相互间距离增大时,在CT增强扫描时表现为梳齿状,称为梳齿征。这是由于发生炎症性肠病时,受累肠管的血流增多,相应的肠系膜呈纤维脂肪增殖所致,多见克罗恩病。
克罗恩病是累及肠壁全层的慢性内芽肿性炎症性疾患,消化道全程均可发病,但以末端回肠及近端结肠最为多见。最早期的镜下发现为扩大的淋巴滤泡以及鹅口癌样小溃疡,溃疡常常在双对比钡剂造影时能够见到,而CT扫描由于空间分辨率较低的原因常常难以分辨。
克罗恩病最常见的CT表现为肠壁增厚,有超过82%的病人可以见到,通常增厚达5~10mm,甚至20mm。增厚的肠壁多见于末端同肠,也可见于消化道的其他部分。在急性期,受累的肠壁呈分层表现,CT上呈靶样或双晕状表现,这可能是由于黏膜下水肿或肠壁脂肪浸润所致.肠壁增厚并不是克罗恩病特有的表现,事实上,非活动性溃疡性结肠炎的患者占60%以上,而仅有8%患者有克罗恩病。此外也可见于放射性肠病、移植物抗宿主病及肠比慢性缺血。发炎的黏膜和浆膜层可在CT增强扫描时强化.强化程度和疾病的临床活动性有关。病程较长的患者,肠壁纤维化,分层现象消失,CT扫描时受累肠壁密度均匀。
在克隆氏病中肠系膜经常受累。克罗恩病常常累及肠系膜而致纤维脂肪样增殖,也称为肠系膜脂肪蔓延,这是导致小肠检查中出现肠襻分离的主要原因。小场和肠系膜之间的脂肪界面消失,由于发生炎症改变使脂肪密度升高20~60Hu。肠系膜的纤维脂肪浸润仅是形成梳齿征的部分原因,此外更主要的原因是血管从所在肠管的浆膜面分离,在CT扫描时血管直立突出并彼此分离而形成梳齿状。同时在CT上还可以见到淋巴结肿大,通常大小为3~8mm,如果淋巴结肿大>10mm,则要排除发生淋巴瘤(或癌),因为这两种病在克罗恩病患者中的发生率要高于普通人群。
在已知患有克罗恩病的患者中,如果出现了上述的由肠系膜血管增生,扭曲、扩张,以及因直小血管的突出而形成的梳齿征时,表明疾病有急性恶化的趋势,有文献报道克罗恩病患者肠周血管显著提示疾病活动、进展或广泛蔓延。
第一次出现临床症状的患者进行CT检查发现上述表现时,可以提出克罗恩病诊断的可能性,但并不是绝对特异性的征象,因为在狼疮性肠系膜血管炎中也可以出现类似的梳齿征。有文献报道系统性红斑狼疮出现急性腹痛时,在CT检查发现缺血性肠病的患者中梳齿征的出现率为87%。
还有一些其他的疾病在发展过程中可以出现血管扩张,比如血管病(包括结节性多动脉炎,Henoch-Schonlein综合征、显微镜下多血管病,贝赫切特综合征等)、肠系膜血栓拴塞、绞窄性肠梗阻,溃疡性结肠炎等。临床病史、疾病的分布以及其他相关检查对疾病的鉴别诊断有一定帮助。梳齿征的出现对于鉴别淋巴瘤以及转移瘤有较大帮助,因为这两种病通常为少血供的。
有大约28%的克罗恩病患者在CT检查中还能够发现并发症,这对疾病的治疗有很大帮助。主要的并发症有脓肿、瘘管、窦道、肛周疾病等,这些都能在CT扫描中很好地显示。此外对克罗恩病的患者,在CT扫描时还应仔细检查疾病可能出现的其他全身性表理,包括肝脏脂肪浸润、肾结石、胆结石、骶髂关节炎、肾积水等。
口服造影剂和静脉增强CT扫描显示过度形成的血管和直血管充血(箭头)。
病例a:冠状位重建显示肠系膜血管增多、密集,呈梳齿征。
病例b:冠状面MIP重建,肠系膜血管增多、密集,呈梳齿状排列,亦可见增厚肠壁。
16、漩涡征
在CT扫描时,多个条带状影围绕一个中心结构呈旋涡状排列,形成一软组织团块影。该征象高度提示小肠扭转时输入和输出肠管围绕一固定梗阻点旋转,并导致肠系膜绕轴旋转,是肠扭转的特异性征象,该征象包括肠管"漩涡征”及肠系膜血管“旋涡征”两个方面。当扭转小肠的输入襻和输出襻围绕着固定的梗阻点旋转时,肠系膜也随之沿旋转轴扭曲并紧密缠绕在肠襻之间,这些扭曲的肠襻和肠系膜血管分支形成了旋涡征中软组织密度的飘带状影,其背景是由肠系膜脂肪形成的低密度,由此形成了类似于气象图上旋风图样的外观,称为漩涡征。
当CT扫描与小肠的扭转轴相垂直时,漩涡征更清楚。 肠扭转是一段肠袢沿其系膜长轴旋转而造成的闭袢型肠梗阻,同时肠系膜血管受压,也是绞窄性肠梗阻。常常是因为肠袢及其系膜过长,系膜根部附着处过窄或粘连收缩靠拢等解剖上的因素,并因肠内容重量骤增,肠管动力异常,以及突然改变体位等诱发因素而引起。肠扭转部分在其系膜根部,以顺时针方向旋转为多见,扭转程度轻者在360度以下,严重的可达2—3转。常见的肠扭转有部分小肠、全部小肠和乙状结肠扭转。
表现为突然发作剧烈腹部绞痛.多在脐周围,常为持续性疼痛阵发性加重;腹痛常牵涉腰背部,病人往往不敢平仰卧,喜取胸膝位或蜷曲侧卧位;呕吐频繁,腹胀不显著或者某一部位特别明显,可以没有高亢的肠鸣音。腹部有时可扪及压痛的扩张肠袢;病程稍晚,即易发生休克。另外,还可见空肠和回肠换位,或排列成多种形态的小跨度蜷曲肠袢等特有的征象。乙状结肠扭转:多见于男性老年人,常有便秘习惯,或以往有多次腹痛发作经排便、排气后缓解的病史:临床表现除腹部绞痛外。有明显腹胀.有明显腹胀.而呕吐一般不明显。
肠扭转时相应的肠系膜血管发生旋转,在CT图像中出现旋涡状改变通常称为“漩涡征”,表现形式有以下三种:肠管漩涡、肠系膜漩涡及以肠系膜血管为主的漩涡。因大部分病例肠系膜及系膜血管走行较复杂多不在一个平面上显示,因此肠系膜血管漩涡征以增强轴位CT 观察较好。 肠扭转后供给肠管血供的肠系膜血管发生扭曲,肠道血供障碍,肠管缺血缺氧而坏死形成绞窄性肠梗阻。因此,必须尽快准确判断患者的病情以选择哪些适合非手术治疗,哪些需要尽快手术探查。CT在判断肠梗阻患者中的作用,其敏感性达到83%,特异性为93%,准确率为91%。 小肠扭转虽然少见,但却是威胁生命的外科急症。
根据小肠扭转的原因可以分为2种类型,一种是原发性小肠扭转,此型没有引起扭转的斛剖学异常,属特发性;另一种为继发性小肠扭转,此型患者多因先天或后天性肠管解剖异常而导致肠扭转。继发性肠扭转最常见的原因是术后粘连,粘连处的小肠被固定在一个点形成一个桩导致腹内疝。发生肠粘连时为防止发生肠坏死必必须认真进行检查、评估,以确定是否需要于术解陈粘连。
急腹症中的肠扭转、肠粘连、内抓疝等在很多情况下肠系膜及其血管同时发生旋转,并在CT图中显示,只要出现旋涡状改变,都可称之为漩涡征。漩涡征表现可有以下形式:肠管漩涡,肠管漩涡必有水肿系膜伴随,才能将肠管显示,多为静脉,可分为主干或分盘,前者常是扩张的肠系膜r静脉( SMV)围绕肠系膜上动脉(SMA)旋转后者系膜静脉分支构成漩涡状。 Fisher所描述的CT上出现的漩涡征一个肠扭转的病例,该例涡轮的中心是肠系膜上动脉,涡轮样的外观是由环绕的扭曲肠襻所形成。Fishe提出漩涡征以后的文章中,许多作者描述了肠扭转的不同形式。Shaff等将漩涡征的定义延伸到乙状结肠扭转,此处漩涡征中的涡轮是由输入襻和输出襻所形成,中心部分由麻花状扭曲的肠管和肠系膜所构成,其指出涡轮的紧密度与肠扭转的程度成正比。Frank等提出漩涡征也可出现在自肠扭转,此处涡轮的构成包含了扭曲的肠系膜,塌陷的盲肠以及末端回肠襻。扩张的肠段在漩涡征出现处突然中止,高度提示肠扭转,且多为急性发生或者提示液体流入或分泌减少。
李文华等指出,漩涡征出现的位置有可能提供引起漩涡的病因。上腹部出现漩涡征,肠管又固定于定位置者,要考虑是否并发于内疝,如小网膜囊内疝、十二指肠旁疝等,应注意识别其解剖关系;中腹部出现漩涡征,多为单纯小肠扭转,而下腹部出现漩涡征,可能与乙状结肠扭转有关。 CT上漩涡征的出现能够提示肠扭转的发生,但是如果扫描平面与扭转轴不相垂直的话,漩涡征可能显示得不明显,其他有关小肠扭转的CT征象也有文献描述,比如扩张肠襻的放射状分布或U形结构,或者在扭转处肠管的纵切面形成的三角状或逐渐变细,上述这些CT征象在小肠闭襻性肠梗阻也可以观察到,依照闭塞段的长度、肠管扩张的程度、闭襻的位置方向以及CT扫描时切面的相对位置不同,显示也有所差异。 Blake和Mendelson报道部分手术如结肠部分切除术后患者,出现漩漏征并不具有特异性。尽管这些下术可能使肠管及肠最膜旋转述180度,但极少出现360度或更大角度旋转形成的漩转形成的漩涡征,因此在这些术后患者中出现漩涡征时,肠扭转仍然是一个排除性诊断。 总之.漩涡征的出现高度提示小肠扭转.但需要注意排除闭襻性肠梗阻。
下图肠扭转病例:
下图是闭襻性的肠梗阻
闭袢型肠梗阻
17、脂肪环征
肠系膜脂膜炎的CT表现。肠系膜脂肪组织密度增高(-40--60H。),呈边界清楚、密度不均匀的单个或多个软组织密度肿块,肿块围绕系膜大血管但不累及血管,肠系膜血管周围可有脂肪存在,形成脂肪环征。
肠系膜脂膜炎以慢性毙比细胞浸润,脂肪坏死和纤维组织形成“假肿瘤结节”为特征,包绕但不侵犯肠系膜血管,肠系膜曲静脉血管位于病变内,邻近血管脂肪密度正常,形成脂肪环征。
肠系膜脂膜炎名称较多:有回缩性系膜炎、肠系膜脂肪营养不良以及肠系膜脂膜炎等。不同的命名强调疾病中占优势的组织学特点,缩窄性肠系膜炎以肠系膜纤维化为主,肠系膜脂肪营养不良以肠系膜脂肪坏死为主,肠系膜脂膜炎以肠系膜慢性炎症为主。
缩窄性肠系膜炎是病因不明的特发性疾病。多数学者认为,本病与腔部手术、外伤、感染(除外胰腺炎)、溃疡和局部缺血等所引起肠系膜损伤后非特异性反应有关。有研究者根据儿病理变化推测术病为自身免疫性疾病。也有研究报道奉病还与多种良恶性疾病,如淋巴瘤、卵巢癌、结肠癌、肺癌、乳腺癌、肝细胞癌、特性腹膜后纤维化、多发性软骨炎、系统性红斑狼疮、WeberChristian病及Gardner综合征等有关。
本病临床上较少见,可发生于任何年龄,最常见于50~60岁,病变主要发生于小肠系膜根部,偶见于大肠系膜。症状轻重不一,缺乏特异性,患者可有不同程度腹痛,不发热或低中度发热,恶心、呕吐、乏力、消瘦,有时腹泻及便血,偶见急性腹膜炎,肠梗阻表现。部分患者无症状。体征主要为腹部触及深在的、位置固定的、边界不清的肿块,有压痛。
CT是诊断肠系膜脂膜炎的有效方法。典型CT表现为与腹膜后脂肪密度相比肠系膜脂肪组织密度增高(-40~-60Hu).呈边界清楚、密度不均匀的单个或多个软组织密度肿块,其内可见脂肪密度和低密度囊变区。肿块围绕系膜大血管但不累及血管,肠襻向四周移位。部分表现为肠系膜根部围绕肠系膜血管以脂肪成分为主的肿块,内有散存放射状、条索样、结节样软组织密度区。有时表现为有包膜的密度不均匀肿块,内有脂肪、水样或软组织密度区。少数表现为多房囊性肿块(由于淋巴管和血管阻塞引起的淋巴管扩张)。
国内外文献报道缩窄性肠系膜炎有如下特征性表现:
①脂肪环征,肠系膜血管周围可有脂肪存在,形成脂肪环征,其出现率为85%~88.8%;
②假包膜征,肿块周阿有条带状软组织密度影环绕,病理上为纤维组织,其厚度一般为3mm,小超过iOmm,出现率为50%--66.6%,
③软组织结节,为肠系膜淋巴结散在分布于肿块中,多数<5mm,80%的患者有此征象;
④增强前后无明显密度改变,而其内肿大淋巴结可出现增强,可能与淋巴结的炎性改变有关。
MRI表现虽无特异性,但显示脂肪、软组织成分和血管受累优于CT,是诊断肠系膜脂膜炎存价值的影像学检查方法,主要表现在两方面①显示小同组织的信号特点,如以纤维组织为主的肿物,T2WT呈低信号;②显示主要血管( SMA、SMV)及其分支是否受累,血管正常表现为流空效应。
总之,肠系膜脂膜炎是种临床上较少见、病因不明的特发性、非肿瘤性、瘤样肠系膜炎性疾病。其影像表现有一定的特征性,脂肪环征对本病的诊断具有重要价值。
图 1,2 肠系膜脂膜炎。图 1为 MSCT平扫,显示肠系膜密度增高,CT值为 - 47 HU,与腹腔正常脂肪有清楚分界 (箭头) ,且显示肠系膜血管(箭)周围无受累,呈“脂肪环征”。图 2为MSCT门静脉期,显示肠系膜无明显强化,CT值为 - 45 HU,与腹腔脂肪有清楚界限,形成假包膜征 (箭头) ,邻近肠管有推移改变。
18、靶样征或新月征
在CT图像上,结石位于扩张的胆总管腔内中心呈致密或较组织影,周围被水样密度胆汁影环绕所形成的影像,称为靶样征;胆总管结山嵌顿且紧靠一侧壁,水样密度的胆汁位于对侧呈新月状,称为新月征。 靶样征和新月征是胆总管结石的直接CT征象。显示靶样征或新月征的结石多为高密度、软组织密度和混合密度结石。结石周围的环形水样密度影为胆汁环绕所形成,与胆总管内壁炎性水肿可能也有一关系。 胆石症作为一种常见病,占胆系疾病的60%,发病率较高。CT作为一种影像检查手段,其成像原理较简单,成像主要决定于物质对X线的吸收率,影像上表现为高密度、等密度灶低密度影.CT是胆结石最有效,最敏感的影像学检查疗法。
胆结石的CT分类:
①高密度结石,主要是含各种钙盐的胆色素结石,CT值>60Hu,高于周围软组织密度;
②软组织密度结石,含少量钙盐的胆固醇结石,CT值20~60Hu,呈软组织密度;
③低密度结石,主要含胆固醇,CT值<20Hu,表现为低于胆汁密度的透亮影;
④混合密度结石,CT图像显示结石密度不均匀,呈典型的,是胆管结石特征性表现之一。CT值与胆固醇含量呈负相关,与胆色素和钙盐含量呈正相关。
胆总管结石的直接CT征象:
①胆总管腔内高密度结石充满整个管腔,周围无低密度胆汁影。
②靶样征是1987年由Baron首次提出的,被认为是胆总管结石的直接征象。显示靶样征的结石多为高密度、软组织密度和混合密度结石。结石周围的环形水样密度影为胆汁环绕所形成,与胆总管内壁炎性水肿可能也有一定关系。典型的靶样征可表现为均匀环形或上宽下窄、左宽右窄或左上宽右下窄。
③另外有一些胆总管结石,结石周围的水样密度影不构成完整的环形,而呈新月形,称之为新月征。新月形水样密度影多位于结石的左上方或左侧,可能与结石的重力作用及胆总管下端胆汁自作上向右下流动的动力学作用有关。 靶样征和新月征是诊断胆总管结石的特征性征象,尤其在增强图像上更易显示。靶样征、新月征的显示与CT扫描层面、结石形状、结石在胆总管内的位置有关。
胆总管结石的间接CT征象:
①梗阻段以上胆总管轻度或中度扩张;
②胆总管壁高密度环形增厚,这是胆总管结石合并胆总管炎的表现。 CT诊断胆总管结石的准确性为50%~90%.其准确性的高低与结石成分有关。资料表明,CT对色素类结石及高密度结石、混合密度结石敏感度高,诊断准确率选90%以上。
文献报道,CT对诊断近似胆汁密度的胆固醇结石存在困难。随着MRI技术的发展,其扫描序列、扫描参数越来越多,使其对胆百的诊断具有了重要价值。胆石MRI上信号的改变,与结石中脂质和大分子蛋白等有关,而与结石的密度无关,这有效地补充了CT诊断胆系结石的不足。特别是MRCP,立体地显示胆道系统全程图像,对胆石的显示有独特的优势。
新月征
靶样征
19、靶征
有多个名称,分别是:环靶征;双靶征;环征;双环征;三环征等。肝脓肿CT增强扫描的典型表现,因呈靶环状而得名。表现为肝内囊样低密度肿块病灶,边缘多数较模糊,脓肿周围往往出现不同密度的环形带(环征或靶征),增强扫描脓肿壁呈不同程度的环状强化,脓肿壁可为单环、双环或二环。
靶征是肝脓肿的典型征象,是脓肿形成期的表现。此期脓腔液化坏死彻底,脓肿壁可为单环,双环或三环,单环代表了脓肿壁,其周围水肿不明显;双环的内环代表脓肿壁,外环代表周围水肿带;三环表明脓肿壁由三层构成,外层(中环)为纤维肉芽组织,强化最明显,内层(内环)由炎性组织构成,强化不如外层纤维肉芽组织。肝脓肿靶征的出现代表着一定阶段病变的病理过程,为肝脓肿的特征性表现,对诊断很有价值。
肝脓肿是肝内常见的炎性病变,临床表现起病急,进展快,常合并有炎性中毒症状,如高热、寒战、肝区痛或多脏器衰竭等。血化验细胞计数明显增高。
肝脓肿的形成大致可分为化脓性炎症期、脓肿形成初朝和脓肿形成期。化脓性炎症期病理改变为肝组织的局部炎症、充血、水肿,脓肿形成初期肝组织开始坏死,部分液化;脓肿形成期脓腔坏死液化彻底,脓肿难形成,脓肿壁由纤维肉芽组织或炎症充血带形成,脓肿周围肝组织往往伴有充血水肿。
大多数学者把肝脓肿的脓肿形成期CT表现认为是典型表现,表现为肝内囊样低密度肿块,病灶边缘多数较模糊,脓肿周围往往出现不同密度的环形带(环征或靶征),增强扫描脓肿壁呈不同程度的环状强化;少数患脓肿内出现气体,此时可肯定诊断。
CT平扫肝脓肿可发生于各肝叶,但以右叶多见,可单发或多发,大小不等。肝内低密度占位,CT值10~35Hu,边界多不清楚或部分模糊,脓肿周围壁较厚。病变组织坏死越完全,其密度越低、越均匀。如慢性肝脓肿,边缘清楚,CT值接近于水肿的密度,而且有时周围可见一圈高于脓腔低于正常肝组织的低密度水肿环,因而易于诊断。若脓肿内有气一液平面,表示液化比较完全,伴产气菌感染所致,通常被认为是诊断肝脓肿的特异性征象。
增强扫描使病灶内部结构、病灶边缘与正常肝组织的关系显示得更清楚。门脉期可显示肝脓肿较典型的CT征象,为典型三层病理改变增强后的CT表现,中心坏死区无强化,中间层为介于液化坏死区与正常肝组织之间的低密度带晕带环,外围层与正常组织分界模糊。慢性期由于脓肿周围形成血管丰富的结缔组织包膜,脓肿壁显著环形强化,其密度高于肝组织。环绕脓腔的为强化环,可以是单环、双环甚至三环。3个环相当于脓壁的3种病理结构:水肿、纤维肉芽组织和炎性坏死组织。如果3种结构存在则出现三环,否则出现双环或单环。
值得注意的是上述靶征并非肝脓肿特有,但环靶征对肝脓肿的诊断仍具有重要意义,因为肝癌、转移性肿瘤等出现环靶征的可能性很小。
双环征.jpg
三环征
来源:医学影像园论坛
相关推荐
友情链接
Copyright © 2023 All Rights Reserved 版权所有 北京物流信息联盟
