2021-06-01 09:38:27
“浙二神外周刊”每周病例回顾,提出最优化的临床治疗分析和随访指导意见。专业讨论意见仅代表浙二神经外科团队或来稿单位的观点,如有不同见解,欢迎同道斧正! 每期讨论病例资料及整理均为“浙二神外周刊”原创,“浙二神经外科”授权官方合作新媒体《神外资讯》发布,其他网络媒体转载,请务必注明1出处!
“浙二神外周刊”不定期接收外院投稿,审核后发表。欢迎各专业同道联系我们,分享精彩病例、研究热点或前沿资讯。
来稿请联系:shishi74@163.com
病史简介
患者,女性,49岁,因“左侧耳鸣伴头痛5月,左眼肿胀伴视物模糊1月”入院。
患者于5月前无明显诱因出现左侧耳鸣伴有左侧头痛,无听力下降等,未就诊。1月前症状有所加重,并出现左眼球结膜充血肿胀伴视物模糊,来我院就诊,MRA(3D-TOF )(图1A)检查提示左侧舌下神经管区异常血管。拟诊“硬脑膜动静脉瘘可能”收住入院。
入院查体:左眼红肿、眼球活动正常,左耳后听诊可闻及杂音,听力无异常,余神经系统检查也未见异常。
入院后进一步 DSA检查,确诊为舌下神经管区硬脑膜动静脉瘘(hypoglossal canal dural arteriovenous fistulas,HC- DAVF),供血动脉主要为左侧咽升动脉,另外右侧咽升动脉、左侧脑膜前动脉均参与供血。瘘口位于左侧舌下神经管处,静脉引流向上通过岩下窦向海绵窦引流并返流到眼静脉和皮层静脉,向下回流到颈内静脉,并可见有髓周静脉引流(图1B-D)。
图1. A:3D-TOF MRA影显示左侧舌下神经管处异常的紊乱血管(白箭头);B-D:DSA结果提示双侧咽升动脉(APA)及左侧脑膜前动脉(AMA)供血(白色箭头)。
诊疗经过
将5F造影管放置到左侧咽升动脉监控治疗效果,然后6F导引导管到位左侧颈内静脉,使用Enchelon微导管(EV3,美国)和Traxcess微导丝(Microvention,美国)尝试超选进入瘘口处静脉球未能成功;遂先使用弹簧圈+Onyx18胶闭塞岩下窦以阻断血流往海绵窦引流,消除眼部症状并改变静脉引流情况;然后成功地将Enchelon微导管(EV3,美国)放置到瘘口处静脉球,超选造影及Xper-CT确认微导管到位,使用弹簧圈填塞静脉球,动脉造影确认瘘口完全闭塞后结束手术。术后3天出院,患者症状完全缓解,无神经功能障碍。术后3个月、1年门诊随访症状无复发,复查脑血管造影未见异常表现(图2)。
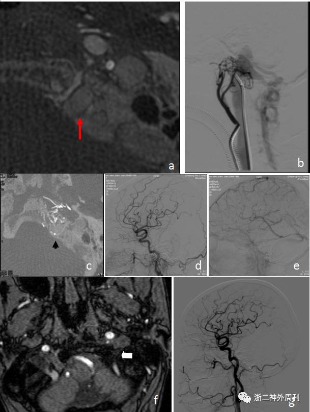
图2. a. 栓塞治疗过程中Xper-CT显示左侧舌下神经管处静脉球(红箭头);b. 岩下窦闭塞后左侧咽升动脉造影;c. Xper-CT显示微导管头到位左侧舌下神经管处静脉球(黑箭头);d、e. 栓塞治疗后DSA提示动静脉瘘完全闭塞;f. 栓塞治疗后3D-TOF MRA显示左侧舌下神经管处原有的异常紊乱血管消失,代替为黑色的弹簧圈信号(白箭头);g. 栓塞治疗后3个月数字DSA复查未显示动静脉瘘。
讨论
舌下神经管DAVF由于其静脉引流途径较多,如可以通过岩下窦—海绵窦逆行引流(二型)至眼静脉引起眼眶周围症状,因此临床上易与海绵窦区DAVF混淆[1]。而舌下神经周围静脉回流比较复杂比如边缘窦、髁后静脉、颈静脉球以及导静脉等,导致舌下神经管DAVF常常被误归为枕骨大孔、颈静脉球、边缘窦DAVF[1, 2]。舌下神经管DAVF的主要的特征是瘘口处的ACC和或ACV动脉化,但要准确诊断舌下神经管DAVF还需要丰富的解剖知识和合适的检查手段,比如高分辨3D-TOF 磁共振血管造影横断位能够显示动脉化的ACC和或ACV以及精确的静脉瘘口解剖定位,此外CT横断位扩大的舌下神经管也能间接提示舌下神经管DAVF[3]。常规数字减影血管造影检查,特别是带3D旋转的数字减影血管造影是诊断舌下神经管DAVF的金标准,它能够获得精确的瘘口定位,供血动脉组成和静脉引流类型等重要信息,这些信息是制定治疗计划必须的[4]。
舌下神经管DAVF的静脉引流变化多样,一型(占62.5%)主要引流至颈静脉球、颈内静脉或者椎静脉丛;二型(23.3%)主要引流至海绵窦,并表现为眼眶症状如突眼、结膜充血等;而三型(14.2%)主要引流至小脑软膜或者髓周静脉,出现该型的原因常常由于髁前静脉与颈内静脉、岩下窦等静脉吻合消失或者狭窄,导致髓周静脉淤血从而出现颈髓症状或者颅内出血[5]。
目前舌下神经管DAVF的治疗指征主要为高级别瘘口或者出现眼眶、皮层或者髓周静脉引流,非常严重的搏动性耳鸣也可以作为治疗指征[6]。治疗方法有多种,主要还是血管内栓塞治疗,其中以经静脉弹簧圈栓塞或者经静脉弹簧圈+Onxy胶最为常用,而且临床疗效好,复发率低,总体闭塞率大于90%,症状缓解率接近100%。治疗并发症较少,主要为舌下神经麻痹而且多为一过性。本文报道的患者采用经静脉途径栓塞治疗,同时使用了弹簧圈和Onyx两种栓塞材料,成功栓塞瘘口而且未发生舌下神经麻痹等并发症。在经静脉弹簧圈栓塞治疗舌下神经管DAVF过程中的难点主要在于找到合适的静脉通路到达瘘口,如病例中起初尝试将微导管直接放入静脉瘘口失败,在这样的情况下通过先栓塞IPS-CS改变DAVF的静脉引流途径使其主要往颈内静脉引流后才成功将微导管经颈内静脉置入瘘口处完成栓塞。栓塞的材料目前常用弹簧圈和胶包括Onyx和NBCA(N-butyl cyanoacrylate),单独使用弹簧圈栓塞时由于弹簧圈的占位效应容易导致舌下神经麻痹[7],因此常常使用弹簧圈与胶联合或者单独使用胶进行栓塞降低舌下神经麻痹的发生。当经静脉弹簧圈栓塞治疗无法实现时经供血动脉栓塞也可闭塞DAVF,但较容易产生颅神经受损的症状,其原因在于舌下神经管DAVF常常由咽升动脉的神经脑膜支供血,该动脉分支又同时供应第IX、X、XI、XII对颅神经,因此闭塞该供血动脉后常导致上述颅神经麻痹[8-11]。此外咽升动脉与颈内动脉、椎动脉有时存在吻合,如果使用胶(Onyx或NBCA)经咽升动脉行经导管血管栓塞治疗存在继发脑梗死的风险[8]。
结论
舌下神经管DAVF是颅内DAVF一个罕见亚型,由于其多变的静脉引流常常与其他DAVF混淆,结合3D-TOFMRA和DSA检查能够提高诊断的准确性。经静脉途径栓塞是治疗舌下神经管DAVF的最佳途径,通过学习舌下神经管周围的静脉解剖,术前仔细分析引流静脉的情况,使用弹簧圈+Onyx胶能够非常有效闭塞瘘口且避免并发症。
参考文献
[1]J. W. Choi, B. M. Kim, D. J. Kim, D. I. Kim, S. H. Suh, N. Y. Shin, J. G. Lee. 2013. Hypoglossal canal dural arteriovenous fistula: incidence and the relationship between symptoms and drainage pattern[J]. Journal of neurosurgery, 119(4): 955-960 doi: 10.3171/2013.4.JNS121974.
[2]R. Ernst, R. Bulas, T. Tomsick, H. van Loveren, K. A. Aziz. 1999. Three cases of dural arteriovenous fistula of the anterior condylar vein within the hypoglossal canal[J]. AJNR American journal of neuroradiology, 20(10): 2016-2020
[3]S. Tanoue, K. Goto, S. Oota. 2005. Endovascular treatment for dural arteriovenous fistula of the anterior condylar vein with unusual venous drainage: report of two cases[J]. AJNR American journal of neuroradiology, 26(8): 1955-1959
[4]C. Y. Lee, J. S. Koh, G. Y. Kwon, C. W. Ryu, S. H. Lee. 2011. Transvenous embolization of an intraosseous dural arteriovenous fistula of the anterior condylar vein with anomalous venous drainage causing ocular manifestations[J]. Journal of clinical neuroscience : official journal of the Neurosurgical Society of Australasia, 18(3): 413-415 doi: 10.1016/j.jocn.2010.05.019.
[5]B. Spittau, D. S. Millan, S. El-Sherifi, C. Hader, T. P. Singh, E. Motschall, W. Vach, H. Urbach, S. Meckel. 2015. Dural arteriovenous fistulas of the hypoglossal canal: systematic review on imaging anatomy, clinical findings, and endovascular management[J]. Journal of neurosurgery, 122(4): 883-903 doi: 10.3171/2014.10.JNS14377.
[6]R. D. Turner, V. Gonugunta, M. E. Kelly, T. J. Masaryk, D. J. Fiorella. 2007. Marginal sinus arteriovenous fistulas mimicking carotid cavernous fistulas: diagnostic and therapeutic considerations[J]. AJNR American journal of neuroradiology, 28(10): 1915-1918 doi: 10.3174/ajnr.A0717.
[7]S. Miyachi, T. Ohshima, T. Izumi, T. Kojima, J. Yoshida. 2008. Dural arteriovenous fistula at the anterior condylar confluence[J]. Interventional neuroradiology : journal of peritherapeutic neuroradiology, surgical procedures and related neurosciences, 14(3): 303-311 doi: 10.1177/159101990801400311.
[8]J. S. Byun, S. N. Hwang, S. W. Park, T. K. Nam. 2009. Dural arteriovenous fistula of jugular foramen with subarachnoid hemorrhage : selective transarterial embolization[J]. Journal of Korean Neurosurgical Society, 45(3): 199-202 doi: 10.3340/jkns.2009.45.3.199.
[9]S. Geibprasert, S. Pongpech, D. Armstrong, T. Krings. 2009. Dangerous extracranial-intracranial anastomoses and supply to the cranial nerves: vessels the neurointerventionalist needs to know[J]. AJNR American journal of neuroradiology, 30(8): 1459-1468 doi: 10.3174/ajnr.A1500.
[10]S. Manabe, K. Satoh, S. Matsubara, J. Satomi, M. Hanaoka, S. Nagahiro. 2008. Characteristics, diagnosis and treatment of hypoglossal canal dural arteriovenous fistula: report of nine cases[J]. Neuroradiology, 50(8): 715-721 doi: 10.1007/s00234-008-0393-7.
[11]Z. S. Shi, J. Ziegler, N. R. Gonzalez, L. Feng, S. Tateshima, R. Jahan, G. Duckwiler, F. Vinuela. 2008. Transarterial embolization of clival dural arteriovenous fistulae using liquid embolic agents[J]. Neurosurgery, 62(2): 408-415; discussion 415 doi: 10.1227/01.neu.0000316007.34259.26.
(本文由浙二神外周刊原创,浙江大学医学院附属第二医院神经外科钱聪主治医师整理,方兵副主任医师审校,张建民主任终审)
往期回顾
病例讨论|浙二神外周刊(一)——GBM术后:远处播散?放射性脑炎?(神经肿瘤MDT)
病例讨论| 浙二神外周刊(二)——脑室内及颅骨多发肿瘤
病例讨论| 浙二神外周刊(三)--双侧丘脑病变
病例讨论| 浙二神外周刊(四)中枢神经系统非常见部位表皮样囊肿二例
病例讨论| 浙二神外周刊(五) --鞍区胚胎性癌及放疗相关性骨髓抑制1例
病例讨论| 浙二神外周刊(六)--毛细胞粘液型星形细胞瘤一例
病例讨论|浙二神外周刊(八)-- 眼眶-颅内异物残留并颈内动脉假性动脉瘤出血一例
病例讨论|浙二神外周刊(九)-- 复杂性A1段夹层动脉瘤一例
病例讨论|浙二神外周刊(十)-- 婴幼儿皮层发育不良致难治性癫痫外科治疗一例
病例讨论|浙二神外周刊(十一)----“夹心饼干”技术治疗复发性大脑后动脉P1-2段夹层动脉瘤一例
佳作赏析|浙二神外周刊(十二)-祝向东教授: 左颈内眼动脉段动脉瘤+前交通动脉瘤夹闭术-2014RCRC总决赛一等奖&最佳技巧奖
病例讨论|浙二神外周刊(十三)-胶质瘤MDT讨论: “三阳性”并含有PNET成分的胶质母细胞瘤一例
病例讨论|浙二神外周刊(十四) —类似颅内多发转移瘤的神经一例
病例讨论|浙二神外周刊(十五)原发性颅内黏膜相关淋巴组织淋巴瘤一例
病例讨论|浙二神外周刊(十六)-快速生长的腰椎透明细胞型脊膜瘤一例
病例讨论|浙二神外周刊(十七)--小脑胶质母细胞瘤一例并病例回顾及文献复习
病例讨论|浙二神外周刊(十八)--采用立体定向脑电图(SEEG)技术治疗MRI阴性的难治性癫痫一例
病例讨论|浙二神外周刊(二十)--侵袭中脑和丘脑的胶质瘤手术治疗一例
病例讨论|浙二神外周刊(二十一)--高位颈髓髓内室管膜下瘤一例
病例讨论|浙二神外周刊(二十二) ——髓母细胞瘤风险评估与病理分型
病例讨论 | 浙二神外周刊(二十三)---单电极双靶点(Vim核/丘脑底区后部)电刺激治疗原发性震颤一例
病例讨论|浙二神外周刊(二十四)---伴发静脉畸形的复杂性脑干海绵状血管瘤一例
病例讨论|浙二神外周刊(二十五)---脑动静脉畸形合并多发血流相关性动脉瘤一例
病例讨论|浙二神外周刊(二十六)---经股静脉--颞浅静脉--眼上静脉途径栓塞海绵窦区DAVF一例
新技术应用|浙二神外周刊(二十七)---神经内镜下经鼻扩大入路切除侧颅底肿瘤一例
病例讨论|浙二神外周刊(28)--同时合并出血和钙化的三叉神经鞘瘤一例病例讨论|浙二神外周刊(第29期)---托式皮肤闭合器联合负压封闭引流治疗复杂性头皮感染、缺损一例
病例讨论|浙二神外周刊(第30期)——螺纹钢致颅脑贯通伤一例
病例讨论|浙二神外周刊(第31期)——颅脑转移性肿瘤的不典型表现及文献综述病例讨论|浙二神外周刊(第32期)——肉芽肿性垂体炎一例
病例讨论|浙二神外周刊(第33期)---下丘脑错构瘤新亚型一例报道
病例讨论|浙二神外周刊(第34期)--颅颈交界区DAVFs的治疗:手术?介入?
病例讨论|浙二神外周刊(第35期)---颅骨多发性血管肉瘤一例
病例讨论|浙二神外周刊(第37期)---垂体瘤伴发鞍结节脑膜瘤:鞍区“碰撞”瘤一例报道
病例讨论|浙二神外周刊(第38期)--易误诊为肿瘤的硬脑膜动静脉瘘1例
病例讨论|浙二神外周刊(第39期)---椎管内膜外硬脊膜黑色素细胞瘤一例
病例讨论|浙二神外周刊(第41期)---出血性囊性血管母细胞瘤一例
病例讨论|浙二神外周刊(第42期)---海绵窦原发恶性肌上皮瘤一例
病例讨论|浙二神外周刊(第43期)---髓内毛细胞型星形细胞瘤8例总结并文献复习
病例讨论| 浙二神外周刊(第44期)--脊髓胶质母细胞瘤一例
病例讨论|浙二神外周刊(第45期)---颈髓髓内黑色素性神经鞘瘤一例
病例讨论| 浙二神外周刊(第46期)——弥漫内生型脑桥胶质瘤的新版WHO分类和诊疗经验
病例讨论|浙二神外周刊(第47期)---垂体瘤手术+伽玛刀后并发假性动脉瘤一例
病例讨论|浙二神外周刊(第48期)---桥小脑角区生发中心亚型原发性中枢神经系统淋巴瘤一例
病例讨论|浙二神外周刊(第49期)---幕上间变性透明细胞脑膜瘤一例
病例讨论|浙二神外周刊(第50期)---立体定向穿刺引流术成功治疗一例原发性脑干出血病人
手术视频| 浙二神外周刊(第51期)--OA-PICA搭桥治疗PICA夹层动脉瘤病例
系列分析| 浙二神外周刊(第52期)——药物敏感性基因检测对胶质母细胞瘤治疗的指导意义
手术视频|浙二神外周刊(第53期)---经皮内镜下手术切除颈椎间孔区神经鞘瘤
病例讨论|浙二神外周刊(第54期)---肺癌转移至垂体腺瘤中一例
病例讨论| 浙二神外周刊(第55期)---单用替莫唑胺治疗新诊断原发性中枢神经系统淋巴瘤一例
病例讨论|浙二神外周刊(第56期)---桥小脑角区胶质瘤一例
病例讨论|浙二神外周刊(第57期)---特发性正常颅压脑积水V-P分流后并发慢性硬膜下血肿一例
病例讨论|神外周刊(第58期)---经动脉途径弹簧圈结合Onyx栓塞软脑膜动静脉瘘(PAVFs)一例
手术视频|浙二神外周刊(第59期)---Dolenc入路切除哑铃状三叉神经鞘瘤(术者王林)
病例讨论|浙二神外周刊(第60期)---3.0T术中磁共振结合黄荧光引导切除左额巨大胶质瘤一例
病例讨论| 浙二神外周刊(第61期)——伴有脑脊液播散的胶质母细胞瘤的处理原则
病例讨论|浙二神外周刊(第62期)---原发性颅内血管平滑肌瘤一例
手术视频| 浙二神外周刊(第63期)------张建民教授:经纵裂-胼胝体-三脑室入路切除复发性垂体巨腺瘤
前沿进展| 浙二神外周刊(第64期)------立体定向放射性粒子植入治疗颅内肿瘤
会议报道|浙二神外周刊(第65期号外)——浙医二院-UCLA神经肿瘤专题MDT讨论会成功举行
病例讨论| 浙二神外周刊(第66期)——杂交手术室夹闭颅内大动脉瘤一例
病例讨论|浙二神外周刊(第67期)---以头痛、视物模糊为首发表现的终丝副神经节瘤一例报道
病例讨论|浙二神外周刊(第68期)---神经轴钙化性假瘤一例
病例讨论|浙二神外周刊(第69期)---AIDS继发弓形体脑病一例
病例讨论|浙二神外周刊(第70期)---利用复合手术室行完全闭塞的颈内动脉再通术一例
病例讨论|浙二神外周刊(第71期)---鞍上垂体细胞瘤一例
病例讨论|浙二神外周刊(第72期)---以疑似脊髓炎起病的颈髓髓内囊性血管母细胞瘤伴出血一例
病例讨论|浙二神外周刊(第73期)---电生理监测下臂丛神经鞘瘤显微全切一例
病例讨论|浙二神外周刊(第75期)---以特发性颅内压增高为首发表现的原发灶来源不明的脑膜癌病一例
病例讨论|浙二神外周刊(第76期)---经颈静脉孔入路,膜内外联合切除颈静脉孔区肿瘤一例
病例讨论|浙二神外周刊(第77期)---神经内镜下经鼻-蝶-斜坡入路切除脑干海绵状血管瘤一例
前沿进展|浙二神外周刊(第78期)---弥漫性胶质瘤的整合诊断
病例讨论|浙二神外周刊(第79期)---复合手术(OA-PICA吻合+介入闭塞)治疗复杂性复发椎动脉夹层动脉瘤一例
讲座| 浙二神外周刊(第80期)---TERT基因在胶质瘤诊断和治疗中的作用
病例讨论|浙二神外周刊(第81期)---手术治疗Broca区血管中心性胶质瘤伴癫痫一例
病例讨论|浙二神外周刊(第82期)---引流静脉自发闭塞的脑动静脉畸形一例
病例讨论| 浙二神外周刊(第83期)---垂体脓肿继发颈内动脉海绵窦段感染性动脉瘤一例
病例讨论|浙二神外周刊(第84期)---立体定向125I粒子植入联合替莫唑胺治疗复发性原发性中枢神经系统淋巴瘤一例
专科培训|浙二神外周刊(第85期)——美国神经外科住院医师的成长之路
专科培训|浙二神外周刊(第86期)---UCLA住院医师Rudi Scharnweber浙二神经外科培训总结
病例讨论|浙二神外周刊(第87期)---经一侧椎板间微骨孔入路治疗腰段硬脊膜动静脉瘘一例
病例讨论| 浙二神外周刊(第88期)---神经内镜下经鼻-斜坡-齿状突入路切除腹侧型枕骨大孔区脑膜瘤一例
病例讨论|浙二神外周刊(第89期)---“X”形支架辅助栓塞大脑前交通破裂镜像动脉瘤一例
病例讨论|浙二神外周刊(第90期)---以尿崩症为首发表现的Erdheim-Chester病一例并文献复习
会议报道 | 浙二神外周刊(第91期)---2017西湖神经外科论坛成功召开!
病例讨论 | 浙二神外周刊(第92期)---鞍上毛细胞黏液样星形细胞瘤伴自发性出血一例
病例讨论|浙二神外周刊(第93期)---伴发钙化的垂体腺瘤一例
病例讨论|浙二神外周刊(第94期)---颅内表皮样囊肿自发破裂伴血清CA-199显著升高一例
病例讨论|浙二神外周刊(第95期)---硬脊膜外囊肿瘘口封闭术一例
病例讨论|浙二神外周刊(第96期)---桥小脑角脑膜瘤伽马刀后并发PICA血栓性动脉瘤一例
病例讨论|浙二神外周刊(第97期)---巨大延颈髓室管膜瘤一例
病例讨论|浙二神外周刊(第98期)---多囊肾合并颅内动脉瘤一例
病例讨论|浙二神外周刊(第99期)---垂体生长激素腺瘤卒中伴发脑梗塞一例
病例讨论|浙二神外周刊(第100期)---疑似DIPG的慢粒急变脑干浸润一例
热点研究|浙二神外周刊(第101期)---胶质瘤的病理特征与位置分布的关系
病例讨论|浙二神外周刊(第102期)--伴发钙化的椎管内表皮样囊肿一例
病例讨论|浙二神外周刊(第103期)- 颅骨缺损修补术后并发急性脑肿胀一例
病例讨论|浙二神外周刊(第104期)---内镜辅助显微手术半椎板入路切除儿童颈髓腹侧肠源性囊肿一例
病例报道|浙二神外周刊(第105期)---颅骨板障表皮样囊肿合并慢性硬膜外血肿一例
前沿研究|浙二神外周刊(第106期)---张建民教授牵头国家重点研发计划“基于脑机接口的脑血管病主动康复技术研究及应用”正式启动
病例讨论丨浙二神外周刊(第107期)--自发性低颅压致双侧硬膜下血肿一例
病例讨论|浙二神外周刊(第108期)---新发现AIP基因突变位点的家族性单纯性GH瘤家系一例
病例讨论|浙二神外周刊(第109期)---颅内多发病变之多发性硬化一例
病例讨论|浙二神外周刊(第110期)---颅内多发病变之隐球菌感染一例
病例讨论|浙二神外周刊(第111期)---儿童四脑室室管膜瘤术后并发胃瘫综合征一例
病例讨论丨浙二神外周刊(第112期)--应用新型动脉瘤内栓塞装置(WEB)栓塞前交通未破裂动脉瘤一例
病例讨论丨浙二神外周刊(第113期)--“复合高压锅技术”治疗横窦区硬脑膜动静脉瘘一例
高血压性脑干出血治疗--浙二的观点| 浙二神外周刊(第114期)
小脑节细胞胶质瘤一例--病例讨论|浙二神外周刊(第115期)
相关推荐
友情链接
Copyright © 2023 All Rights Reserved 版权所有 北京物流信息联盟
