北京物流信息联盟

【病例】男16岁,因复视、左眼眼球运动障碍10个月入院

2021-10-19 07:46:51

导语

患者男,16岁,因复视、左眼眼球运动障碍10个月入院。10个月前患者无明显诱因出现复视,左眼不能外转,当地医院诊断为左眼展神经麻痹,行左眼上直肌、下直肌移位术,术后正视时复视消失,但左眼仍不能外转。术后8个月,患者左眼再次出现上转、下转和内收运动受限,伴上睑下垂,遂到解放军总医院就诊。

体格检查:双眼矫正视力0.8。右眼眼睑位置及眼球运动均正常,左眼上睑下垂,遮盖瞳孔上半部分,提上睑肌肌力4mm,左眼不能外展,上转、下转、内收运动均部分受限。患者右眼瞳孔直径3mm,左眼4mm;右眼对光反射灵敏,左眼迟钝,RAPD(-)。双眼眼底、眼压均正常。视觉诱发电位(visual evoked potential,VEP)、视野检查均未见明显异常。头颅MRI平扫+增强结果显示,左侧鞍旁海绵窦内T1WI稍低信号、T2WI稍高信号影,大小为21mm×23mm×22mm,增强扫描病灶呈不均匀强化,内可见多发的未强化区,左侧颈动脉海绵窦段受压外移,但结构未见明显损害(图2-3-0-1)。头颅CT平扫显示左侧鞍旁密度减低影,CT值为21Hu,大小为2.3cm,边缘可见钙化影,双侧眶内和球后未见异常(图2-3-0-2)。患者转入神经外科并行经额颞颧弓硬膜外入路左侧海绵窦区占位性病变切除术。术中快速冰冻切片病理学检查示,切除的组织标本富含黏液,制片困难。术后病理报告:左侧海绵窦区软骨源性肿瘤。考虑软骨瘤可能性大,局部细胞生长活跃,细胞间质伴黏液变性,免疫组织化学染色显示,肿瘤细胞对S-100和CK均呈阴性反应(图2-3-0-3)。术后患者左眼视力下降,额部及颊部皮肤感觉迟钝。眼科检查:右眼检查同术前,左眼矫正视力0.5,角膜上皮粗糙,角膜荧光素染色弥漫性着色,RAPD(-)。检眼镜检查示视盘界清,色红,视网膜血管走行正常,黄斑区未见明显异常。VEP、视野检查均未见明显异常。给予玻璃酸钠滴眼液点左眼、重组牛碱性成纤维细胞生长因子软膏涂左眼结膜囊并给予营养神经、改善全身血液循环药物治疗1周后,检查示见角膜上皮透明,角膜荧光素染色不明显,矫正视力0.8,左眼提上睑肌肌力测试可上提10mm。术后1个月复诊见,上睑下垂治愈,眼球运动受限明显好转。




注:A. T2WI;B.增强扫描。左侧鞍旁海绵窦内可见T1WI稍低信号、T2WI稍高信号影,大小约为21mm×23mm×22mm,增强扫描病灶呈不均匀强化,其内可见多发未强化区,左侧颈动脉海绵窦段受压外移,未见明显侵犯



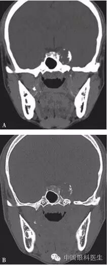
注:A.软组织窗;B.骨窗。左侧鞍旁可见密度减低影,CT值21Hu,大小约为2.3cm,边缘可见钙化影,双侧眶内和球后未见异常



注:考虑软骨瘤可能性大,局部细胞生长活跃,间质伴黏液变性,免疫组织化学染色显示肿瘤细胞:S-100和CK均呈阴性反应


讨论


本例患者为青少年男性,以左眼展神经麻痹为首发症状,随后逐渐出现左眼上睑下垂、瞳孔扩大、眼球运动受限等动眼神经、滑车神经受累的表现,临床上考虑为海绵窦、眶上裂部位发生病变的可能性大,头颅MRI平扫+增强示左侧鞍旁海绵窦受压。海绵窦系硬脑膜窦之一,是一对位于蝶鞍两侧较大的静脉窦,起自眶上裂,止于颞骨的岩骨尖,窦壁上自上而下有动眼神经、滑车神经、眼神经、展神经及上颌神经穿行,因此,海绵窦部位的病变可以部分地或全部累及上述神经,出现眶上裂综合征、眶尖综合征或海绵窦综合征的表现,诊断上考虑以下几种可能:①血管性病变:如颈内动脉或硬脑膜动脉海绵窦瘘、颈内动脉动脉瘤等;②感染性病变:如鼻窦炎、眼眶蜂窝织炎、硬膜外脓肿等波及海绵窦;③炎症性病变:如Tolosa-Hunt综合征等;④外伤性病变;⑤肿瘤:如脑膜瘤、脊索瘤、神经鞘瘤、软骨瘤等原发性肿瘤,以及鼻咽癌、肺癌、乳腺癌、胃癌等转移性肿瘤。


本例患者经头颅MRI平扫+增强以及CT检查均显示海绵窦部位占位性病变,但病变的定性诊断需依靠病理学诊断,患者术后病理学检查确诊为软骨瘤。颅内软骨瘤是颅内透明软骨起源的良性肿瘤,临床上罕见,仅占颅内原发肿瘤的0.06%~0.3%,常发生于骨缝连接处的软骨,特别是鞍旁及中颅凹底,但在大脑凸面、大脑镰、脉络丛和脑实质也偶可见到,而原发于海绵窦部位的软骨瘤国内外仅见极少数个案报道。颅内软骨瘤多为分叶样块状物,分叶的形状不同,大小不一,质硬,表面常被覆薄层纤维膜,切面呈珍珠样白色,半透明状,多伴有钙化,为成熟的透明软骨细胞构成。免疫组织化学检测瘤细胞对S-100、vimentin呈阳性反应,但不表达上皮膜抗原,广谱细胞角蛋白,Ki-67呈低表达。颅内软骨瘤生长缓慢,故可生长多年而不出现临床症状。颅内软骨瘤的诊断是基于临床症状和神经影像学检查的。颅内软骨瘤应与软骨肉瘤、软骨母细胞瘤、软骨黏液纤维瘤、脑膜瘤、表皮样瘤、神经纤维瘤和脊索瘤进行鉴别,这对制订治疗计划和预后判断均有重要意义。颅内软骨瘤的治疗目前是将肿瘤完全切除,有人认为放射治疗有增加软骨瘤恶化的可能,因此在软骨瘤不能完全切除时或肿瘤位于不能切除的部位时均不主张行放射治疗。软骨瘤同样不适于化学治疗。


患者术后出现左眼视力下降,角膜反射减退及额部、颊部皮肤感觉迟钝,在排除了视神经、眼底病变之后,考虑视力下降是由于手术损伤三叉神经眼支,导致神经营养性不良性角膜病变所致,给予角膜营养药物上皮修复,视力也逐渐提高。


本例报告提醒眼科医师在接诊获得性眼肌麻痹的患者,尤其是单眼的单条眼外肌受累时,应考虑与之相关的神经系统病变,及时行眼眶-眶上裂-海绵窦部位的检查,以免误诊和误治。

 


来源:人民卫生出版社《神经眼科疑难病例精粹》



| 版 | 权 | 声 |  | 

转载为传递更多信息之用,版权归原作者所有,如有侵犯版权,请及时联系我们,及时删除。内容真实性、准确性和完整性未经核实,读者仅作参考,并请自行核实相关内容。


友情链接

Copyright © 2023 All Rights Reserved 版权所有 北京物流信息联盟