2022-07-06 16:37:38
《更多资讯》敬请关注公众平台,点击右上角查看历史记录
通过本期学习,参与者将能够:
■描述距骨的独特解剖和血管供应。
■识别各种各样距骨损伤的常用分类。
■确定距骨损伤临床相关的影像学特征,并讨论其管理和总体预后的重要性。
距骨是腿和脚之间的关键环节,在正常走动中起重要作用。如果距骨受到损伤,将严重影响到脚和踝关节的运动。
距骨骨折占人体中所有骨折的1%以下,脚部骨折3%至6%。 距骨骨折通常是高能量创伤的结果。 在成像中看到的距骨损伤的数量正在增加,因为更好的安全设备的可用性和使用,允许更多的人在严重事故中生存。 治疗策略和结果显着变化,取决于所处的损伤的位置和类型。 由于距骨的独特解剖和功能特征,距骨损伤常常引起并发症和长期残疾(1)。 及时诊断和适当分类对治疗计划很重要(2)。
这篇文章的目的是审查距骨和距骨损伤模式的解剖结构,重点成像在管理中的作用,并强调预后的重要影像学特征。
骨骼解剖
距骨是第二大跗骨。 它是形状独特的并包括一个主体,头部和颈部的。 其表面的大约三分之二被关节软骨覆盖。 距骨缺乏肌肉或腱附件,因此依赖于直接血液供应(3),使其具有更大的无血管坏死的风险。
距骨的头部覆盖有透明软骨。 它是凸的和关节与舟骨前(距舟关节talonavicular joint)和跟骨下(前距下关节anterior subtalar joint)。 距骨颈从足跟体延伸到足底。 距骨颈的下表面形成跗管,通到跗骨窦横向。连接距骨头部和身体,跗管是缺乏软骨是关节外(图1)。
图1a距骨的正常解剖。 三维重建计算断层(CT)图像显示在上(a)和下(b)投影中的距骨及其关键部件。
距骨经由两个分离的关节面与跟骨向下关节连接。 后面较大,位于后面和侧面。 中间小面更小,更内侧,与跟骨载距突( calcaneal sustentaculum tali)关节。 距骨主体的上部由距骨穹顶(或滑车) - 胫骨关节的关节表面形成。
距骨的后部过程从身体向后和向内延伸,由内侧和外侧结节组成。 内侧和外侧结节之间的槽容纳屈肌趾长腱。 外侧结节的大小不同。 当侧面结节具有细长的形态时,这种解剖变异被称为Stieda变异。 外侧结核骨化中心的非融合导致形成三叉神经。 文献显示of的流行率有很大的变化,从1.7%到50%(4)。
在侧向上,距骨的主体形成了基于广泛的三角形横向过程。 距骨的侧向过程与腓骨上关节连接并形成后距下关节的后面(5)。
血管供应到距骨源于三个影响因素:胫后动脉,足背动脉,和穿腓动脉。
图2距骨的供血。 胫前(足背),胫后,和腓动脉向距骨的血液供应。 跗管的动脉,其来自胫后动脉,跗窦动脉,它产生从横向跗动脉或腓穿孔腓动脉分支,形成一个吻合供给下距骨与距骨颈。 后路过程由后胫动脉和腓动脉的分支提供。 三角肌分公司,其中供给内侧距骨体,从跗管动脉起源。 横向跗动脉或穿孔腓动脉引起距骨窦的动脉,提供血液供应的横向距骨。
胫后动脉的分支供应距骨体。 后结节分支提供内侧和外侧结节。 跗管动脉产生大约1近端分叉厘米到内侧和外侧足底动脉。 通过跗管进入跗骨窦。
在跗骨窦,形成与跗骨窦动脉吻合。 从射孔腓动脉和跗外侧动脉之间的吻合环的跗骨窦动脉分支。 跗骨管动脉供应距骨体的中部和侧面的三分之二。 距骨体的内侧剩余三分之一接收三角肌分支,从跗管动脉(6)而产生的。
距骨颈和头部的超内半部由前胫动脉的分支提供。 该下侧壁一半可能由跗骨窦动脉或跗骨窦动脉吻合分支和跗管动脉供给,或从横向跗动脉,其来自足背动脉(7)。
对于关节损伤的患者的临床检查通常显示关于踝关节的肿胀和血肿,以及在胫骨,距下和跗骨间关节的运动范围有限。 患者通常不能在受伤的肢体上承受重量。
标准放射照相视图包括前后(AP),mortise位,以及脚踝的AP和侧向视图,脚的倾斜和侧向视图。mortise位是平行于桌面对准内侧和外侧踝,以通过防止腓骨的重叠阻碍视图来更好地可视化距骨的外侧面。 这种优化的视图可以通过将踝部定位成具有15°-20°的内旋转来获得。
CT,包括冠状位重组图像,通常用于手术计划,或在X线平片怀疑骨折(8)。
距骨骨小头骨折累及距骨关节面在距舟关节,常伴有脱位或半脱位及邻近骨折。 这些是最不常见的距骨骨折,占全部骨折骨折的5%-10%(9-11)。 已经描述了两种不同的断裂模式:具有显着粉碎和剪切断裂的关节表面的挤压损伤(11)。
具有孤立的距骨头部骨折的患者在背侧中足处出现疼痛,肿胀和局灶性触痛,在距骨头部触诊,以及跗骨间关节的运动疼痛(11)。
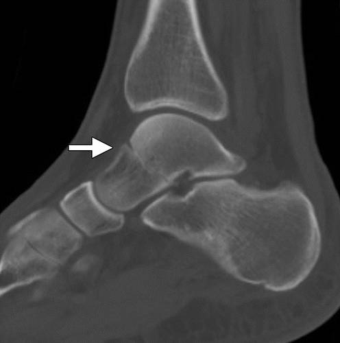
在距骨头骨折通常显示在足的AP、斜、侧位片。 在所有视图上仔细评估距骨头的轮廓,以评估细微的断裂和位移(图3)。 在识别或怀疑距骨头部损伤后,应进行CT以评估位移和旋转程度以及对于颈部的潜在延伸。
图3a距骨骨小头骨折。 足部的AP射线照片(a)和斜轴重新格式化的CT图像(b)显示了距骨头部(箭头)的微小位移剪切断裂。
虽然非置换的距骨头骨折是保守治疗,移位骨折需要外科干预。 骨折断端的解剖复位是必须保持的距舟关节的一致性,并减少后续的骨关节炎和缺血性坏死(12)的发生率。
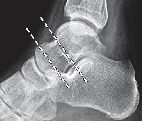
传统上认为最常见的距骨骨折(13,14),颈部骨折最近显示仅占全部骨折骨折的5%(9)。 这种差异可能是由于在颈部和身体骨折之间缺乏明确的区别。 广泛接受的定义是基于下骨折线的位置。 如果骨折线前或劣于距骨和距骨圆顶软骨的横向过程中,它被划分为距骨颈骨折(图4)(15)。
图4b距骨颈部的边界。 距骨的三维重建的CT图像(a)和外侧踝部的X射线照片(b)示出了距骨头,颈部和身体之间的分割(虚线)。 距骨体部骨折是由位于侧向进程中或后一个下骨折线定义。
由于其较小的横截面积和血管内向生长,可增加颈部多孔性(16),可以解释相对较高的颈部颈部骨折发生率。 这种损伤的可接受的机制是迫使背侧的胫骨的前侧的背侧的后部距下韧带的破裂的背侧的背侧的背侧。 持续的力可能导致距下和最终的胫骨位错。 然而,经常缺乏胫骨损伤证明所涉及的力量的复杂性。
Peterson等(17)发现需要轴向和背屈的组合来产生距骨颈骨折。 第一系列的案例在第一次世界大战期间的飞机驾驶员中描述,1919年由安德森(18)称为aviator astragalus。目前,这种损伤通常由机动车或摩托车碰撞和高层跌倒造成(9)。 由于高能量冲击载荷,距骨颈骨折与跟骨和脊柱骨折相关。
孤立的距骨颈骨折不延伸到距下,距舟,或胫距关节。 然而,在Dale等人(9)最近的一项研究中,大部分的距骨颈骨折从距骨体或头部延伸。 霍金斯(14)最初描述了1970年的颈部骨折分类系统,随后在1978年被Canale和Kelly(19)修改。如果识别出通过颈部的垂直分量,则可以应用修改的Hawkins-Canale分类 表格(1)。
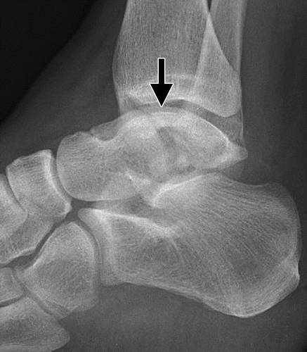
该分类系统是基于与垂直距骨颈骨折的关节排列不齐。 类型I是没有半脱位或脱位的距骨颈的无位移骨折(图5)。 这种类型的裂缝通常难以检测,因为垂直裂缝线可以平行于X射线束。 唯一的距骨血液供应通常涉及这种类型的损伤,都是来自于距骨颈的背侧方面进入椎间孔及近端进步进入人体血管。 剩余的两个血供血源得以保留。
图5 Hawkins-Canale I型距骨颈骨折。 踝关节的矢状CT图像显示通过距骨颈的非置换骨折(箭头)。 注意,骨折前面的后下方小关节面的下延伸,限定了距骨颈部位置。
II型是位移性垂直距骨颈骨折,伴有距下关节半脱位或脱位,内侧脱位比外侧脱位更常见。 胫骨和腱鞘关节保持一致(图6)。 如果脱位完成,通常存在开放性损伤。 在II型损伤中,距骨的三个血液供应源中的至少两个中断:近侧的踝颈分支(如在I型中),以及在跗骨窦和跗管的顶部进入下部的血管。 经由在距骨体的内侧表面上的血管孔进入的第三主要血源也可能受损。
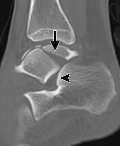
图6a Hawkins-Canale II型距骨颈骨折。 踝部的侧面放射照片(a)和矢状CT图像(b)显示了距骨后颈(a的箭头)和后部距下小平面(箭头)的脱位的垂直骨折。
III型是位移的垂直距骨颈骨折,伴有距下关节和胫骨关节的半脱位或脱位。 距舟关节维持正常的关节(图7)。 后侧和内侧挤压的距骨使后胫神经血管束处于风险中(16,19)。 所有三个主要的供血源的供应到距骨通常受到III型距骨颈骨折的损伤。
图7a Hawkins-Canale III型t距骨颈骨折。 (a)踝关节的AP射线照片显示距骨和胫骨脱位和距骨体的侧向挤压。 (b)踝关节的外侧X线照片显示通过距骨颈的垂直断裂线(箭头)。 软组织中的气体和水肿与开放性损伤一致(箭头)。 (c)踝的三维重建的CT图像(在另一患者中)显示了距骨颈骨折,胫骨和距下脱位,以及中间的距骨挤压。
IV型是位移性垂直距骨颈骨折,伴有距下关节,胫骨和关节突关节的半脱位或脱位(图8)。 在这种损伤中,可以中断体部(如III型损伤)和头颈部碎片的血液供应。
图8b Hawkins-Canale IV型距骨颈骨折。 (a)踝关节的AP射线照片显示胫骨和距下位移与侧向挤压的距骨体。 还可以看到在椎弓根关节的微小偏移(箭头)。 (b)踝的侧向X线照片显示通过距骨颈(箭头)的垂直断裂线和在距骨头(箭头)的错位。
Hawkins-Canale分类和无血管坏死的风险之间的强相关性已被描述(19,20)。 在大多数非置入式的颈部骨折的情况下,血液供应的所有三个主要来源保持完好。 II型骨折可能导致跗管的动脉的中断。 与胫距和距下脱位(III型骨折)相关的骨折扰乱跗管的两个动脉和三角肌和跟骨分支机构。 当距骨的所有关节都被破坏时,距骨的所有三个主要血液供应源都可能受损,进一步增加了无血管坏死的风险。
最初获得踝关节和足的常规AP,外侧和倾斜放射照片用于距骨颈骨折评估。 在脚踝的侧向视图上,特别是在垂直位移的情况下,最好欣赏距骨颈的骨折。 这种位移可以发生在背底和内侧 - 外侧平面(19)中。
由于CT的广泛可用性,Canale投照位置不常用,但仍然在手术中发挥作用以评估距骨颈骨折的减少。 执行CT以描绘骨折并检测位移,以及检测放射摄影的隐性骨折,例如涉及后部和侧部过程,撕裂骨折和骨软骨骨折的骨折(9)。
非手术治疗是保留给真正无移位的距骨颈骨折。 因此,必须检测到甚至微小的距骨颈的骨折位移。 需要显着的韧带损伤以产生甚至轻微的位移(16)。
II型大多是骨折手术复位治疗。 最近的研究表明骨折位移,粉碎程度,软组织损伤的程度和手术复位的质量影响骨坏死的发展和总体结果(21,22) 在III型和IV型骨折中,可能最初尝试在急诊部门进行封闭复位以减轻皮肤紧张和最小化软组织损伤。 最终治疗是开放性还原和内固定(23)。
距骨体骨折产生在关节内,距骨体骨折包括距骨圆顶骨折,侧和后处理,并剪切和粉碎距骨体的伤害。 它们可以根据Sneppen分类进行分类(表2)。 报告的距骨范围的发生率从13%到61%(9,12),这些不同类型骨折的治疗和预后存在差异。
距骨体的骨折是由高能量创伤引起的。 真实发病率难以估计,因为这些通常伴有其他损伤。 距骨体骨折涉及胫距关节,距跟关节,或两者兼而有之。 已经描述了可变的骨折模式,从简单的双片段骨折到广泛的粉碎损伤(图9,10)。
图9矢状切骨距骨折。 冠状的踝关节的CT图像显示在矢状平面中的距骨体的断裂。 骨折碎片在距骨顶关节面(箭头)有轻微的垂直偏移。
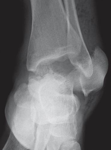
图10a粉碎性骨折冠状剪切距骨体断裂。 (a)该踝的外侧片显示距骨体(箭头)与在后距下关节突骨折碎片的冠剪切断裂。 (b)踝关节的AP射线照片显示后面小面(箭头)的揭示,与后股间关节的半脱位一致。 (c)矢状的CT图像显示了主要在冠状面中的距骨体的粉碎性骨折(箭头)。 在后距下关节处的骨折碎片存在前后牵引,导致半脱位(箭头)。
距骨体的剪切断裂通常由在高度跌倒或机动车辆事故的设置中的背屈脚上的轴向负载引起。 粉碎粉碎的距骨体外骨折对所有距骨损伤的预后最差(24)。 它们通常由于高能量冲击并且经常是开放性骨折。 骨丢失和非解剖复位的发生率高,并且随后出现缺血坏死。
初步诊断可以用放射线摄影,然后进行冠状和矢状重建到踝臼的CT,以评估粉碎,关节内累及手术计划(1,25,26)。
治疗距骨体骨折的目的是恢复胫距和距跟关节一致性。 保守管理保留用于非移位骨折。 大部分的距骨体骨折被移位,并且将需要手术治疗以恢复骨折片段和关节复位。 然而,通常会遇到诸如骨坏死和创伤后骨关节炎的并发症,及 相关的距骨颈和开放性骨折增加并发症的可能性(1,25)。
距骨圆顶软骨骨折,通常接受的距骨穹窿的骨软骨骨折的机制是撞击性损伤,其损伤关节软骨和软骨下骨。
距骨圆顶压缩性骨折,可能在X线片隐匿,病人往往给予脚踝扭伤的诊断。戴尔等(9)发现,距骨穹顶压缩性骨折的31%,在X线未见。
该条款损害和断裂常常被交替使用以描述骨软骨缺损(OCDS)。 OCD损伤占所有距骨骨折的约1%。 最常用的分类OCD病变的系统由Berndt和Harty(27)在1959年提出,额外的分期由Scranton和McDermott(28)在2001年描述。阶段1是软骨下骨压缩。 阶段2是部分分离的骨软骨碎片。 阶段3是完全分离但没有位移的骨软骨碎片。 阶段4是完全分离和移位的骨软骨碎片。 阶段5是在关节表面下方的大囊肿。
侧面病变往往是菲薄的和片形状,发生在背侧和反转损伤后(图11)。 内侧病变通常较少症状,通常是深和杯形,并且认为是源自跖屈和反转(图12)。 在稳定和无位移OCD片段中,毛细血管出芽可以发生在骨折线上并有助于愈合缺损,而移位的不稳定片段经常发生无血管坏死(25,29)。
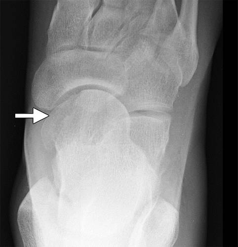
图11b外侧距骨软骨骨折。 (a)踝关节的AP射线照片显示外侧的距骨穹顶(箭头)的微妙的骨软骨骨折,被重叠的腓骨遮蔽。 (b)脚踝的斜位视图更好地显示骨折(箭头)。
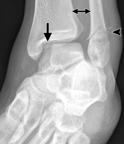
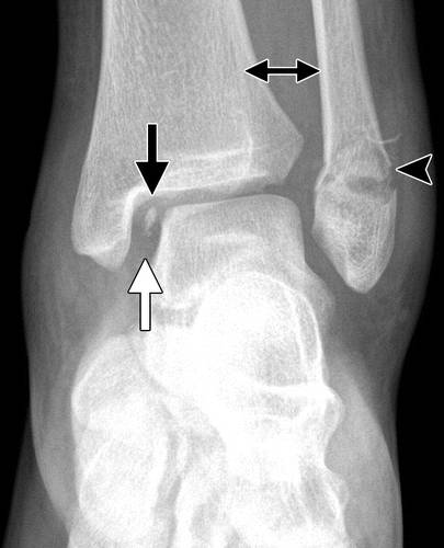
图12a内侧踝关节骨软骨骨折。 AP(a)和斜位(b)踝骨的X线照片显示椎间融合器的移位骨软骨骨折(黑色箭头)。 还注意到倾斜的骨干腓骨骨折(箭头),syndesmotic加宽(双头箭头)和内侧清晰空间加宽(白色箭头b),符合syndesmotic和三角肌韧带复杂损伤的存在。
后突骨折通常比内侧结节(Cedell骨折)(30)涉及外侧结节(Shepherd骨折)。 后部过程骨折由于跖骨屈曲引起,导致胫骨和跟骨之间的后部过程的压缩。 这也可能发生在对后踝的直接创伤。
骨折的最可靠的指标是足跟后曲的疼痛,和踝关节在足底屈曲时的骨摩擦音,轻度存在于跟腱之前和距骨后。 由于在与受伤的后外侧结节(31)相邻的凹槽中的屈肌半腱的运动,也可以看到由于拇趾的操作而引起的疼痛。
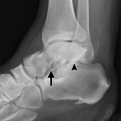
这种损伤必须与三角骨 - 一个附件后骨小梁区分开来。 在放射照相术中,后过程的断裂显示不规则的边缘(图13),而三角骨是圆形或椭圆形,具有光滑的皮质边缘(图14)。 双侧X线照片的价值有限,因为据报道三分之二的病例是双侧的(32)。 如果射线照片不确定,应进行CT。
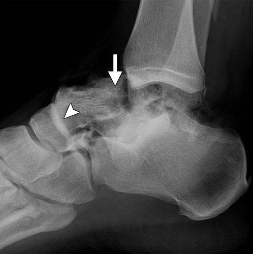
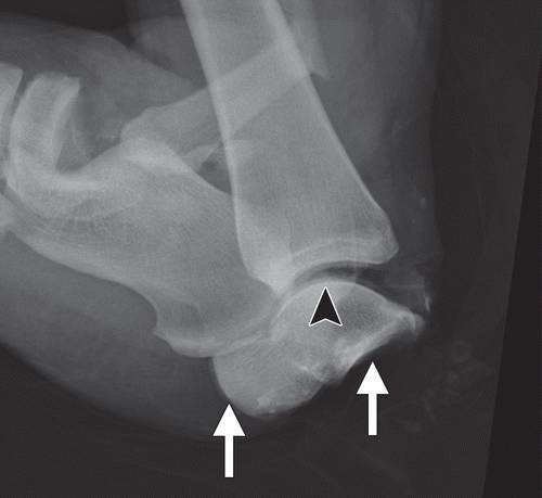
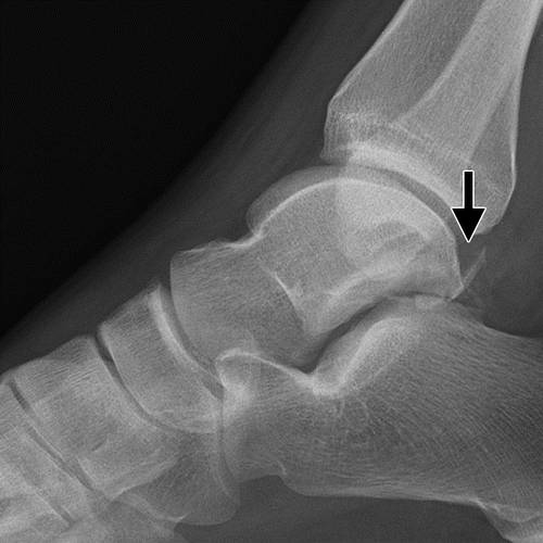
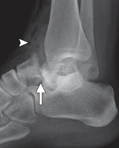
图13b后突骨折。 (a)右足的外侧X光片显示在距骨后方的小骨质碎片(箭头)。 (b)右脚的轴向CT图像显示后路过程骨折(箭头)以及粉碎的程度和程度。
图14 三角骨。 踝部的侧面X线片显示在距骨后方的椭圆形皮质骨化(箭头)。
X光片显示骨折片段在后及内侧距骨,是诊断后Cedell内侧结节骨折的一个依据。 所提出的机制是在后胫骨韧带与踝关节的背侧附着的背屈和旋前的撕脱(30)。
后突骨折通常与固定和无负重的治疗。 如果保守措施失败,可能需要切除片段(3,31)。
横突骨折(Lateral process fractures)经常初始在X光片隐匿,并且通常存在于在脚的被迫背屈和反转损伤后围绕踝的外侧的持续性疼痛(33)
距骨的侧面形成后距下关节面的前外侧部分。 其侧面与腓骨的尖端铰接。 骨折的侧向显示最好AP脚踝射线照片。 这种类型的骨折还可以被看作是横突的皮层的中断,因为侧向过程通常与距骨圆顶的外侧方面邻接。 外侧突骨折常常在初始X光片上漏诊(33)。 CT常常需要检测和了解损伤的程度(34)。
当轴向加载的背屈脚变得向外旋转和/或外翻时,发生横突骨折。 在滑雪板中注意到了意外的大量侧向过程断裂。 横突骨折占所有滑雪伤害的2.3%,占全部踝关节损伤的15%(35)。 滑雪者比一般人群经历横突骨折的可能性高17倍(36)。 此外,孤立的横突骨折次要发生汽车碰撞或跌倒。 在Dale等人(9)最近的一项研究中,在机动车事故中受伤的患者的19%的距骨骨折中发生横突骨折。
根据Hawkins标准,横突骨折最常分为三种类型:简单(I型),粉碎型(II型)和切片(III型)(图15)(33)。 类型I,最常见的,由具有从踝关节表面延伸到距下关节的单个断裂线的大片段组成(图16)。 类型II是涉及整个侧向过程和两个关节表面的粉碎性骨折(图17)。 III型骨折发生在窦性the骨区域,并且通常仅在横向X线照片上可视化。
图15距骨横突骨折的分类。(一)I型(简单)骨折涉及距腓关节面和后距跟关节面。 (b)II型(粉碎的)骨折涉及关节表面和整个侧向过程。(c)一个III型断裂涉及后关节过程的前下部分,因而只涉及距下关节。
图16 Hawkins I型距骨横突骨折。 (a)踝的横向放射线照片显示横突的非位移断裂(箭头)。 (b)踝的AP射线照片显示横突的非位移断裂(箭头)。 在这个视图上可以看到踝关节表面的参与。 (c)踝的矢状的CT图像显示了简单的非置换横突骨折(箭头)。
图17a Hawkins II型距骨横突骨折。 (a)踝的AP射线照片显示横突的断裂(箭头)。 (b)冠状重建的踝关节的CT图像显示了涉及整个横突(箭头)的粉碎性骨折。
保守地治疗非置换侧向过程骨折。 如果存在大于2mm的位移(37),则指示开放还原内固定(ORIF)。 大于1cm的碎片通常可以用内固定治疗。 小的粉碎片段可能需要被切除。 外科治疗降低继发性距下关节骨关节炎的风险并改善结果(3,38)。处理方法取决于侧向过程断裂的尺寸和粉碎和位移的程度。
小的或微小移位的片段可以非手术治疗(33,38)。 对于较大的,移位的碎片,推荐ORIF恢复距下和踝关节的复位。 如果该片段严重粉碎或与显着关节损伤相关,建议切除(33,38)。
关于距骨横突骨折的治疗,Perera等(38)建议I型骨折最好用ORIF,II型骨折切除,III型骨折固定和不承重。
如果初始损伤漏诊,患者可出现无法识别的侧突骨折不愈合(图18)。 这些患者可以切除(较小的碎片)或固定(较大的碎片)治疗。
图18a距骨横突骨折的不愈合。 (a)踝的AP射线照片显示侧向过程的皮质骨折片段(箭头),与不连续的横突骨折(霍金斯I型)一致。 (b)踝的冠状质子密度加权的脂肪饱和MRI图像显示了横突的大的皮质片段,与非骨质断裂一致。 皮下水肿和囊肿存在于假关节(箭头)。
距骨位于三个关节内:胫距,距跟(距下),距舟。 半脱位或脱位可发生在这些关节中的任何一个或组合。
距下脱位是一种罕见的损伤类型,涉及在距骨,舟骨和跟骨之间伴随的正常解剖关系的损失,而胫骨和跟骨的关节保持一致。这种损伤也称为peritalar(39)或subastragalar(40)脱位,subtalo pedis luxatio或后足脱臼。距下脱位的机制是足底屈曲足的反向,造成内侧距下关节脱位(80%)(41)或外翻,导致横向错位(17%)的创伤。前和后脱位也已被描述,但很少见(42,43)。距骨下脱位见于高能量和低能量创伤, 体育活动,通常是篮球,往往是低能量伤害的原因(44)
用于描述距下脱位的术语描述了围周位移的方向。 外侧距下位错是罕见的,并且被认为是由于显着的扭转力而发生的,从而在中间驱动距骨头并且横向移动脚的其余部分(图19)。 外侧距骨位错通常与骨折相关,并且可导致严重的并发症,例如距骨的无血管坏死和舟状和距下不稳定。 此外,可能发生严重的创伤后距下关节炎,需要三联关节固定术。 立即减少外侧距骨位错是必要的,以避免神经血管损害。 胫后肌腱,拇长屈肌,关节囊,或阻碍骨折断端的损伤往往需要切开复位(45)。
图19B距下关节脱位。 (a)该踝的外侧片显示距舟和距跟位错(箭头)。 胫骨关节保持一致(箭头)。 足相对于距骨向前和侧向错位。 (b)踝的AP射线照片示出了脚相对于距骨的侧向位移,胫腓韧带联合的加宽以及与胫骨平台的侧面相邻的骨折片。 胫骨关节是全等的(箭头)。 (c)该踝的三维重建的CT图像显示距舟和距跟位错(箭头)。
距下脱位的诊断通常在脚,脚踝的AP,侧面和倾斜放射线照片上进行。 畸形的性质通常限制放射摄影定位。 记住,距骨头和舟骨应该在所有视图上是一致的,可以帮助克服这种限制。
内侧距下位错导致相对于距骨头的舟骨的内侧和足底位移以及跟骨相对于距骨的内侧位移。 距舟嵌塞可能妨碍成功闭合复位,因此,应认识到(46)。
减压后,获得足部的AP和外侧X光照片以及踝关节的AP和斜位视图以确认最佳结果。 在没有畸形的情况下,复位后的射线照片通常比那些在损伤时获得更好的质量和相关的骨折变得更加明显。
大多数距下位错伴有后足骨折,包括骨软骨骨折,跟骨骨折,后路过程骨折和距骨结节。 关节内骨软骨骨折是特别常见的,发生在所有距骨脱臼的50%-71%和高达100%的侧位错(47),其中大多数涉及距下关节(46)。 这些骨折在内侧脱臼中较少见,仅发生在12%-38%的损伤中(47)。 相关的关节内骨折难以在普通放射照相术中识别,并且它们的存在可以阻碍解剖减少并恶化总体预后。 因此,建议常规检查后,CT检查更准确地检测这些骨折。
距骨的所有关节脱位,也称为全位错脱位和全脱位,是高能量创伤造成的破坏性和罕见的损伤。 这种损伤不常见,目前关于总距骨脱臼的文献有限(48)。 几乎所有的病例都是开放性损伤。 大多数报告描述了外侧踝关节伤口与侧向挤压的距骨(图20)。
图20A距骨关节脱位。 (a)该踝的外侧片显示胫距,距舟,并距跟位错。 距骨旋转并向前和向外挤压。 (b)踝关节的AP射线照片显示踝臼骨的破坏和距骨的横向位移。
当这些损伤伴随开放性伤口发生时,距骨通常具有与剩余的软组织附着物相关的骨折。 这种损伤的罕见亚型的确存在,其中距骨完全挤出或从身体排出,没有伴随的骨折和没有任何剩余的软组织附件。 初始X光片通常用非常规定位获得。 在初始检查之后,执行CT以进一步表征相关联的损伤。
历史上,全距骨脱位已经用距骨切除术和关节固定术治疗。 尽管报告缺乏,挤压距骨再植提倡,如果可能的话(48)。 绝大多数情况下都需要切开复位。当脱位与开放性伤口相关时,无血管坏死和骨髓炎的风险更高。
由于距骨的独特解剖特征和损伤的微妙放射学检查结果,准确检测,分类和管理距骨损伤是一项具有挑战性的工作。 熟悉这些成像结果对及时诊断和分类距骨损伤至关重要。 为了指导有效的管理决策和优化治疗结果,对骨折和位错的精确划定和分类是必要的。
作为2013年RSNA年会的教育展览。
对于这个基于期刊的SA-CME活动,作者,编辑和评论者没有披露任何相关资料。
参考文献:
| 1. | Shakked RJ, Tejwani NC. Surgical treatment of talus fractures. Orthop Clin North Am2013;44(4):521–528. CrossRef, Medline | 
| 2. | Adelaar RS. Complex fractures of the talus. Instr Course Lect 1997;46:323–338. Medline | 
| 3. | Summers NJ, Murdoch MM. Fractures of the talus: a comprehensive review. Clin Podiatr Med Surg2012;29(2):187–203, vii. CrossRef, Medline | 
| 4. | Chao W. Os trigonum. Foot Ankle Clin 2004;9(4):787–796, vii. CrossRef, Medline | 
| 5. | Pastore D, Cerri GG, Haghighi P, Trudell DJ, Resnick DL. Ligaments of the posterior and lateral talar processes: MRI and MR arthrography of the ankle and posterior subtalar joint with anatomic and histologic correlation. AJR Am J Roentgenol 2009;192(4):967–973. CrossRef, Medline | 
| 6. | Gelberman RH, Mortensen WW. The arterial anatomy of the talus. Foot Ankle 1983;4(2):64–72.CrossRef, Medline | 
| 7. | Mulfinger GL, Trueta J. The blood supply of the talus. J Bone Joint Surg Br 1970;52(1):160–167.Medline | 
| 8. | Frawley PA, Hart JA, Young DA. Treatment outcome of major fractures of the talus. Foot Ankle Int1995;16(6): 339–345. CrossRef, Medline | 
| 9. | Dale JD, Ha AS, Chew FS. Update on talar fracture patterns: a large level I trauma center study. AJR Am J Roentgenol 2013;201(5):1087–1092. CrossRef, Medline | 
| 10. | Pennal GF. Fractures of the talus. Clin Orthop Relat Res 1963;30:53–63. CrossRef, Medline | 
| 11. | Coltart WD. Aviator’s astragalus. J Bone Joint Surg Br 1952;34-B(4):545–566. Medline | 
| 12. | Early JS. Management of fractures of the talus: body and head regions. Foot Ankle Clin2004;9(4):709–722. CrossRef, Medline | 
| 13. | Rammelt S, Zwipp H. Talar neck and body fractures. Injury 2009;40(2):120–135. CrossRef, Medline | 
| 14. | Hawkins LG. Fractures of the neck of the talus. J Bone Joint Surg Am 1970;52(5):991–1002. Medline | 
| 15. | Inokuchi S, Ogawa K, Usami N. Classification of fractures of the talus: clear differentiation between neck and body fractures. Foot Ankle Int 1996;17(12):748–750. CrossRef, Medline | 
| 16. | Daniels TR, Smith JW. Talar neck fractures. Foot Ankle 1993;14(4):225–234. CrossRef, Medline | 
| 17. | Peterson L, Romanus B, Dahlberg E. Fracture of the collum tali: an experimental study. J Biomech1976;9(4):277–279. CrossRef, Medline | 
| 18. | Anderson HG. The medical and surgical aspects of aviation. London, England: Henry Frowde/Oxford University Press, 1919. | 
| 19. | Canale ST, Kelly FB Jr. Fractures of the neck of the talus: long-term evaluation of seventy-one cases. J Bone Joint Surg Am 1978;60(2):143–156. Medline | 
| 20. | Pearce DH, Mongiardi CN, Fornasier VL, Daniels TR. Avascular necrosis of the talus: a pictorial essay. RadioGraphics 2005;25(2):399–410. Link | 
| 21. | Vallier HA, Nork SE, Barei DP, Benirschke SK, Sangeorzan BJ. Talar neck fractures: results and outcomes. J Bone Joint Surg Am 2004;86-A(8):1616–1624. Medline | 
| 22. | Bellamy JL, Keeling JJ, Wenke J, Hsu JR. Does a longer delay in fixation of talus fractures cause osteonecrosis? J Surg Orthop Adv 2011;20(1):34–37. Medline | 
| 23. | Coughlin MJ, Saltzman CL, Anderson RB. Mann’s surgery of the foot and ankle. 9th ed. Philadelphia, Pa: Elsevier, 2014; 2112–2121. | 
| 24. | Ebraheim NA, Patil V, Owens C, Kandimalla Y. Clinical outcome of fractures of the talar body. Int Orthop 2008;32(6):773–777. CrossRef, Medline | 
| 25. | Vallier HA, Nork SE, Benirschke SK, Sangeorzan BJ. Surgical treatment of talar body fractures. J Bone Joint Surg Am 2003;85-A(9):1716–1724. Medline | 
| 26. | Wechsler RJ, Schweitzer ME, Karasick D, Deely DM, Glaser JB. Helical CT of talar fractures. Skeletal Radiol 1997; 26(3):137–142. CrossRef, Medline | 
| 27. | Berndt AL, Harty M. Transchondral fractures (osteochondritis dissecans) of the talus. J Bone Joint Surg Am 1959;41-A: 988–1020. Medline | 
| 28. | Scranton PE Jr, McDermott JE. Treatment of type V osteochondral lesions of the talus with ipsilateral knee osteochondral autografts. Foot Ankle Int 2001;22(5):380–384. Medline | 
| 29. | Flick AB, Gould N. Osteochondritis dissecans of the talus (transchondral fractures of the talus): review of the literature and new surgical approach for medial dome lesions. Foot Ankle 1985;5(4):165–185.CrossRef, Medline | 
| 30. | Cedell CA. Rupture of the posterior talotibial ligament with the avulsion of a bone fragment from the talus. Acta Orthop Scand 1974;45(3):454–461. CrossRef, Medline | 
| 31. | Paulos LE, Johnson CL, Noyes FR. Posterior compartment fractures of the ankle: a commonly missed athletic injury. Am J Sports Med 1983;11(6):439–443. CrossRef, Medline | 
| 32. | McDougall A. The os trigonum. J Bone Joint Surg Br 1955;37-B(2):257–265. Medline | 
| 33. | Hawkins LG. Fracture of the lateral process of the talus. J Bone Joint Surg Am 1965;47:1170–1175.Medline | 
| 34. | Ebraheim NA, Skie MC, Podeszwa DA, Jackson WT. Evaluation of process fractures of the talus using computed tomography. J Orthop Trauma 1994;8(4):332–337. CrossRef, Medline | 
| 35. | Kirkpatrick DP, Hunter RE, Janes PC, Mastrangelo J, Nicholas RA. The snowboarder’s foot and ankle. Am J Sports Med 1998;26(2):271–277. Medline | 
| 36. | Chan GM, Yoshida D. Fracture of the lateral process of the talus associated with snowboarding. Ann Emerg Med 2003;41(6):854–858. CrossRef, Medline | 
| 37. | Heckman JD, McLean MR. Fractures of the lateral process of the talus. Clin Orthop Relat Res 1985;(199):108–113. Medline | 
| 38. | Perera A, Baker JF, Lui DF, Stephens MM. The management and outcome of lateral process fracture of the talus. Foot Ankle Surg 2010;16(1):15–20. CrossRef, Medline | 
| 39. | Barber JR, Bricker JD, Haliburton RA. Peritalar dislocation of the foot. Can J Surg 1961;4:205–210.Medline | 
| 40. | Smith H. Subastragalar dislocation: a report of seven cases. J Bone Joint Surg 1937;19(2):373–380. | 
| 41. | Saltzman C, Marsh JL. Hindfoot dislocations: when are they not benign? J Am Acad Orthop Surg1997;5(4): 192–198. CrossRef, Medline | 
| 42. | Lasanianos NG, Lyras DN, Mouzopoulos G, Tsutseos N, Garnavos C. Early mobilization after uncomplicated medial subtalar dislocation provides successful functional results. J Orthop Traumatol2011;12(1):37–43. CrossRef, Medline | 
| 43. | Zimmer TJ, Johnson KA. Subtalar dislocations. Clin Orthop Relat Res 1989;(238):190–194. Medline | 
| 44. | Grantham SA. Medical subtalar dislocation: five cases with a common etiology. J Trauma1964;4:845–849. CrossRef, Medline | 
| 45. | Bibbo C, Anderson RB, Davis WH. Injury characteristics and the clinical outcome of subtalar dislocations: a clinical and radiographic analysis of 25 cases. Foot Ankle Int 2003;24(2):158–163.Medline | 
| 46. | Christensen SB, Lorentzen JE, Krogsøe O, Sneppen O. Subtalar dislocation. Acta Orthop Scand1977;48(6): 707–711. CrossRef, Medline | 
| 47. | DeLee JC, Curtis R. Subtalar dislocation of the foot. J Bone Joint Surg Am 1982;64(3):433–437.Medline | 
| 48. | Karampinas PK, Kavroudakis E, Polyzois V, Vlamis J, Pneumaticos S. Open talar dislocations without associated fractures. Foot Ankle Surg 2014;20(2):100–104. CrossRef, Medline | 
| 免责声明:部分内容源自互联网和其他公众平台,仅供阅者浏览或参考,不确保准确性。如有侵犯版权请告知,我们将及时删除。如果您自行使用本账号发布的信息发生了损失或损害,本账号不负任何法律责任。您浏览本站发布的内容,您的浏览行为将被视为对本声明全部内容的认可。 | 
相关推荐
友情链接
Copyright © 2023 All Rights Reserved 版权所有 北京物流信息联盟
