北京物流信息联盟

改良--立体定向软通道颅内血肿微创清除术

2022-04-08 09:29:25


改良-立体定向软通道颅内血肿微创清除术治疗脑出血/壳核出血

刘振川 山东临沂市人民医院神经重症医学科(N-ICU)主任

手术理念:

依据颅脑结构、颅内压的生理特性及颅脑出血的病理生理特点,研究、开发出一套依据颅脑出血(血肿)分型、病情分级、分期,因型、因级、因时施治的微创治疗方案,逐步总结发展为“改良——立体定向软通道微创介入颅脑出血(血肿)清除技术”系列手术方式,并创立了四线三点定位法,指导手术操作。在临床实践中,坚持在个体化原则下,用最小的创伤、在较短的时间内、彻底地清除出血,并实施系统性、目标化、全程、整体治疗颅脑出血,取得了良好的疗效。


刘振川医生创立的“改良——立体定向软通道技术微创介入颅脑出血(血肿)清除技术”是治疗颅脑出血的实用的有效的新技术,是通过应用“一次性使用颅脑引流器”来完成的。包括以下手术方式:

1、脑内血肿穿刺、抽吸、液化、外引流术;

2、侧脑室穿刺、抽吸、液化、外引流术;

3、第三脑室穿刺、抽吸、液化、外引流术;

4、第四脑室穿刺、抽吸、液化、外引流术;

5、腰大池穿刺脑脊液置换术或/和腰大池穿刺脑脊液持续外引流术;

6、慢(亚急)性硬膜下血肿/积液穿刺、液化、外引流术;

7、硬膜外血肿穿刺、液化、外引流术。

将以上一种或几种微创手术方式综合地应用于适宜的患者,达到用最小的创伤、较彻底地清除出血,预防或减轻并发症的发生,提高存活率,缩短病程、改善生活质量的目的,具有广泛的临床推广应用价值!

创新与技巧

1、“一次性使用颅脑引流器”的研制与开发,为微创介入手术清除颅脑出血的成功实施提供了保障;颅脑外引流导管为优质硅胶材料制成,其前端为带侧孔的球罐型盲端,进管时对脑组织及神经纤维起分离作用,对脑的损伤更小。

2、“改良——立体定向软通道微创介入颅脑出血(血肿)清除技术”强调以标准的CT OM基线为基础,以血肿的最大断层面的CT平面导向下操作,在安全的前提下沿血肿的长轴入路,置管于血肿的远端。因为研究表明:血肿的最大切面一般是与颅底相平行的;较之传统的立体定向手术不但简化了程序、减轻了对患者的创伤,而且更有利于准确定位,能充分液化。经额部穿刺点、沿介入方向将引流导管置于血肿腔的远端,即沿着血肿的最大长轴入路。

3、因型、因级、因时施治。依据血肿的部位、形状及发生时间,选择适宜的穿刺点与介入方向(路径)的目的是既要彻底清除出血,又要减小创伤,积极预防术前、术中、术后再出血和血肿再扩大。

4、强调和重视血肿液化术,经三通阀注入液化剂(尿激酶、r-tPA)更方便,经由三通阀侧臂收集引流液、脑室(脊)液等标本,送检更方便、可靠;加之防逆流装置能最大限度地预防颅内感染。

5、引流时能够监测颅内压、相对地调节颅内压的高低。

6、通过受压脑组织的“膨胀”、复原位过程中挤压经尿激酶液化的血肿,使液化的陈旧性出血沿引流导管的侧孔排出颅外,血肿清除与脑组织复位同步进行,实现正压引流。

7、手术过程中,适度镇静,维持相对的高颅压、低血压,有利于止血、预防血肿再扩大。

8、手术前、后停用或减量应用甘露醇、甘油果糖、呋塞米等脱水利尿药物;在心功能允许的条件下,适度输注生理盐水及低渗葡萄糖溶液,增加血容量及脑组织的血流量,以此促进脑脊液的分泌及受压脑组织复原,加快液化后出血的排空。

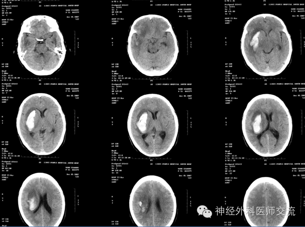
再来个延迟手术病例,这个病人开始不需要做,但是年轻人,反应重

一、 壳核出血

壳核出血占高血压脑出血的50%以上,积极完善地救治壳核出血对于降低脑出血的病死率,提高患者的生活质量具有重要意义。

1、手术时间

手术时间与指征的选择,取决于患者的病情、入院时间和病人或家属对该项技术的理解与信任程度。
(1)手术指征:

在没有凝血功能障碍的前提下,①病人或/和家属同意、②偏瘫肢体肌力≤3 级、③壳核出血量≥20ml。需要特别指出的是:出血量的多少并不是是否要采取手术治疗的决定条件。

(2)手术时间:

① 超早期(≤6 h):由于发病时间短,血肿可能尚不稳定、凝固不完全,此时行微创介入手术清除出血,可能诱发继续出血或再出血导致病情加重,得不偿失,故不主张超早期手术。

适用于病情危重,虽经止血、强化性脱水、利尿、降颅内压治疗,生命体征无根本好转的患者。主要指:生命体征不稳定,瞳孔不等大或已发生脑疝;意识在IVb 级或V 级,中等度昏迷以上或深昏迷;GCS 评分:5 分以下。须要立即在病房床边、ICU、手术室或CT室行微创介入治疗。

② 急期(7 ~24 h)和早期(24~72 h):对于意识在Ⅰ、II、III、IVa 级生命体征尚稳定者,主张在急期和早期手术,最适宜的介入治疗时间为病后12 h~48 h 。

急期或早期出血多已凝固,血肿处于相对静止状态,脑水肿亦不太重,此时手术治疗,再出血可能小,效果好。

③ 延期(>3 d):不主张延期手术,但是受到患者入院时间和病人或家属对该项技术的理解信任程度的限制。此期行介入手术治疗仍具有现实意义。


简单地说:6小时内尽量不做,12小时以后可以做,24小时后应该做;对于生命体征不稳定、已发生脑疝(GCS评分≤5分)的患者,有时不得不做。手术治疗清除血肿(出血)的目的:1、抢救生命;2、在保命的基础上,预防残疾、减少或降低残疾程度,改善幸存者的生活质量。

“脑内血肿穿刺、抽吸、液化、引流术”三要素——确定穿刺点、穿刺平面(很重要,就象射箭一样,箭要在弓的平面射出去)、穿刺方向(角度)及深度(置入引流导管的位置)

(1)术前准备

① 签订手术协议书(知情同意书)。

② 病人准备:备皮、保持呼吸道通畅、调控血压(血压维持在110~140/70~90mmHg之间)、术前6 h停用脱水利尿剂(维持相对的高颅内压,除非患者生命体征不稳定)、心电监护等;必要的辅助检查——术前脑CT(很重要!)、血常规、肝肾功能、肺CT(或胸部X线片)、心电图、凝血四项(PT、APTT等)等。

③ 物品准备: 一次性使用颅脑外引流器1套、手术盒1个等

(2)CT图片处理——穿刺点的选择及介入手术入路

① 确定穿刺平面:据CT所显示的血肿,选择血肿最大断层,即为要穿刺的平面,也就是说:操作时要将引流导管沿着这一血肿最大层面进入血肿腔内。确定该层面至颅底层面的距离(即厚度)(X毫米:一般为50~60 mm)。

② 确定穿刺点:在血肿的最大层面上划出血肿的最大长轴线,与前额头皮的交点即为理论穿刺点,测出该点至血肿远端的距离(毫米),该数值减去5mm~10mm即为置管深度,一般为80~120mm。

确定实际穿刺点要做到两个避开:避开额窦、避开上矢状窦!实际穿刺点,一般为正中矢状线旁开15mm~20mm,内眦上方45mm~60mm的前额之交点,多为55mm。


置入引流导管之概要:

1.确定穿刺点,但过一点可做无数条射(直)线;

2.确定穿刺平面,即血肿的最大CT段层面,再将经过穿刺点的射线,局限在穿刺平面内;

3.确定最优路径,在穿刺平面内选择经过穿刺点,且基本为血肿最大长轴线的那条射线。

具体操作时,就是将引流导管经过穿刺点的骨孔,沿着该条假设的射线进入血肿腔的远端。

正确、准确地将CT图像上的信息在头皮上标示出来


液化、引流术:

在血肿清除的治疗过程中,间断、多次向血肿腔内注入尿激酶溶液,液化血凝块,有利于彻底清除脑内出血(血肿)。

可以说,血肿引流术(物理手段)是建立在血肿液化术(化学方法)基础上的,没有血肿的液化就无法实施引流术。血肿液化术和血肿引流术是刘氏术式“改良——立体定向微创颅脑出血(血肿)清除技术”的两个重要组成部分,是应用化学的、物理的方法和手段,配合使用“一次性使用颅脑外引流器”治疗颅脑出血的有效方法。

所以说,正确地对进行血肿液化,对于彻底引流出血至关重要!

①对于稳定性脑出血,在穿刺术实施2~4 h后可行液化术。

②尿激酶液的配制:尿激酶2~10万u~10万u溶于NS 3~4 ml中。

③用5 ml注射器抽取尿激酶溶液3~4ml,旋转三通开关开通侧臂,消毒三通阀的侧臂肝素帽,穿刺三通阀的侧臂肝素帽,沿三通阀的侧臂将液化剂——尿激酶溶液注入血肿腔内。

④关闭三通阀2~4小时后,打开三通阀开关,行引流术;每日注入液化剂(尿激酶液)1~2次。若液化后引流不畅,可挤捏引流导管颅外段。

体会:引流不畅的原因——出血已被彻底清除、引流导管位置不合适、血肿液化不理想、颅内压相对偏低、引流器的滴壶放置位置偏高、引流导管被堵塞或引流导管及连接管折叠等因素。

需要特别指出的是:学会正确、熟练使用三通阀,好处多多!严格注意无菌操作!

拔出引流导管:

①观察穿刺点及敷料,察看有无血液、引流液沿穿刺点渗出。如果出血或引流液渗出较多,须及时更换敷料,必要时应用止血药物、重新缝合头皮、固定引流导管;一般每隔2~3 d需更换辅料、换药一次;

②行CT检查,动态观察血肿的变化,血肿基本消失(清除80%以上),可拔管,缝合局部头皮,3~5 d拆线。

软通道与硬通道治疗颅脑出血的临床应用比较

一、硬通道技术

①钢制薄壁穿刺针(管),前端开放且锐利,在电钻带动下穿刺针(管)易造成颅骨内板劈裂,破坏血管引起颅脑出血,进针(管)时对脑组织及神经纤维造成切割,对脑组织的损伤仍较大。

②钢制穿刺针(管),不适宜用于脑室外引流术。

③一旦进针(管)后,不能调整或改变方向,而且脑组织在复位过程中,穿刺针(管)容易对脑组织造成二次损伤。

④金属制品,带针(管)行CT检查时伪影大,不适合在CT导引下完成操作,具有较大的局限性;产品存在缺陷,偶有针管断裂的现象。

⑤钢管内的粉碎针对血肿的粉碎冲洗作用不大,因为液化剂(尿激酶或r-tPA)发挥作用需要一定的时间;反而,粉碎针高压射流时喷出的小水柱对脑组织有损伤。

⑥引流时不能调节颅内压的高低。

二、软通道技术——刘氏术式(一次性使用颅脑外引流器)①“一次性使用颅脑外引流器”的颅脑引流导管,前端为带侧孔的表面光滑的球罐型盲端,进管时对脑组织及神经纤维起分离作用,对脑的损伤性更小。②引流导管为优质硅胶材料制成且带有刻度,CT检查时无伪影,能在CT导引下完成操作,颅脑内置管的准确性更大,清除出血更彻底,疗效更好。③能调整或改变引流管的方向。④经三通阀注入液化剂(尿激酶、r-tPA)更方便,液化血肿更彻底;经由三通阀收集引流液、脑室液等标本,送检更方便、可靠。⑤防逆流设置能最大限度地预防颅内感染。⑥引流时能够监测颅内压、相对地调节颅内压的高低。


通过器械、材料的研制与改进,加之操作技术的进步,依据疾病的特性,应用简便的方法,让患者付出微小的创伤和较低的费用,治愈复杂、危重的疾患,应是医者和患者所共同追求的目标!是先进的科学的治疗理念!

减压性脑损害

减压病在神经内、外科的表现多是医源性的,并未引起临床医生的重视!“脑减压性损害”是一个“新理念”,但它确实伴随神经内、外科领域已很多年,至今仍有相当一部分神经专业的医生在手术操作时,急于求成、快速减压,结果导致术中及术后出现新的“减压性脑损害”,如:颅内出血、积气、脑水肿进一步加重等现象,使病情较术前明显加重;成为一个比较多见,而又十分棘手的问题,困扰着大家,既增加了患者的痛苦和加重了经济负担,同时又使术者本身处于非常被动的地位。


重症患者由于颅内病变(血肿、创伤、肿瘤等)导致颅内压骤升,很快呈现恶性高颅压综合征,甚至脑疝,对脑的损害严重,病情迅速恶化;
对于同是处于高颅压状态下的脑组织及脑血管,如行脑减压术时,使颅内压急剧下降,脑组织及脑血管同样都难以承受这种急剧压力差的冲击,就可能引发新的病变,加重脑损害

一般而言,脑叶出血经手术(开颅)治疗可降低病死率和致残率,而对深部血肿和丘脑出血则无益!(袁葛 赵继宗.脑出血的病因学和外科治疗,国外医学脑血管病分册2004,12(5):237-340)开颅手术无论多么“微创”对患者的脑组织和机体都是一种比较大的损害,这种损害在很大程度上抵消了其清除血肿的意义!(杜建新 凌 锋 谵燕飞等.小骨创开颅术和钻孔引流术治疗脑出血的疗效比较,中国脑血管病杂志2004,1(7):292-294)

微创手术并发症的防与治

A 出血——常见于头皮、板障静脉、硬膜 外、硬膜下、脑实质、脑室内等手术通路上都可能发生出血。

B 感染——主要是发生颅内化脓性感染。

C 低颅压——过度、过快抽吸、引流出血或脑脊液所致。

D 气脑——原因多为操作时一过性低颅压,致气体进入颅内。

常见手术并发症之一:出血

预防手术中、手术后出血的措施:

强调“调压、止血、镇静”预防血肿再扩大!

1、调压:控制、调低血压,维持血压在 120~140/80~90mmHg,维持相对高的颅内压。

2、止血:预防性应用止血药,如血凝酶(巴曲亭)。

3、镇静:对于烦躁的患者,予以镇静和镇痛。

维持相对高的颅内压,就是除非脑疝,术前、术中尽量不用脱水药

很普通的病例,术后4小时,突发脑疝,静推1瓶甘露醇,急查CT

从三通侧臂,抽不出血来。拔除引流导管,按照新的CT,从原骨孔重新置管,从新操作

远端的血清掉后,回撤导管,再液化引流

原因:术后病人烦躁、血压恶性升高,致再出血,导成血肿扩大。

不正规的操作易出并发症-出血

预防颅内感染的措施:

1、预防颅内感染的前提是严格无菌操作(包括手术器械与手术环境)。

2、术后及时换药。

3、正确、高效地掌握‘改良——立体定向软通道微创清除术’的理念与技巧,尽快的清除出血,缩短带管(引流导管)时间。

4、及时拔除或更换引流导管(引流器)。


服阿司匹林、华法令、波立维、长期大量饮酒、慢性肝病,都是昨天所说的不稳定型脑出血的危险因素。

六字方针“调压、止血、镇静”


来源:神经外科教学群 (qq群号:145316918 ) 实时转播授课内容,解答大家问题,方便大家交流学习!

友情链接

Copyright © 2023 All Rights Reserved 版权所有 北京物流信息联盟