作者:北京大学人民医院核医学科 陈津川 王茜
![]()
 
病史及检查目的;
患者男性,66岁。2个月前无明显诱因出现腰部及右腿疼痛,于当地医院就诊发现镜下血尿;腹部超声示右肾积水;腰椎MRI示多发骨病变(图1);腹部CT检查示右肾盂占位并积水,考虑肾盂癌;全身骨显像见四肢长骨自关节端向骨干延伸的对称放射性浓聚(图2)。本次检查胸部X线、血常规、尿常规、血生化等多项指标均无明显异常,肿瘤标志物检查示PSA 15.42μg/L(参考值:0~4.00 μg/L)。为进一步除外恶性病变并观察病变累及范围行18F-FDG PET/ CT检查。
![]() 图1:腰椎MR (外院)
图1:腰椎MR (外院)
![]() 图2. 全身骨显像(外院)
图2. 全身骨显像(外院)
18F-FDG PET/CT检查所见:
整体观察见MIP图(图3)。主要阳性发现包括:左心房、主动脉及肺动脉主干周围可见环形、弥漫性FDG摄取(SUVmax 3.8),但相应部位平扫CT未见明确异常结构改变(图4);右肾盂扩张,内见形态不规整FDG摄取增高软组织密度肿物影(SUVmax 4.9),边缘毛糙,范围约3.6 cm×2.9 cm×3.0 cm,并包绕上段输尿管,同时见右肾盂积水(图5);四肢长骨FDG摄取对称性增高(SUVmax 3.2),自关节端向骨干伸,相应部位CT见不规则骨质硬化,其中右股骨内侧髁可见溶骨性骨质破坏(图6);脊柱及骨盆亦可见多发性质类似的骨病变(图7、8)。
 
![]()
图3. 18F-FDG MIP图
![]()
图4. 左心房、主动脉及肺动脉主干周围可见环形FDG摄取
![]()
![]()
图5. 右肾盂扩张,内见形态不规整、FDG摄取增高的软组织密度肿物影
![]()
图6. 四肢长骨对称性FDG摄取增高伴不规则骨质硬化及右股骨内侧髁溶骨性骨质破坏
![]()
图7. 脊柱多发骨病变
![]()
图8. 骨盆多发骨病变
 
检查意见:
全身骨弥漫性骨硬化伴FDG代谢增高,右肾盂FDG代谢增高软组织肿物,心房及大血管周边FDG代谢增高灶,考虑非朗格罕斯组织细胞增生症(Erdheim-Chester Disease,ECD)可能。 
 
诊断依据:
- 外院骨显像显示出ECD所具有的特征性骨骼病变影像表现。 
- 患者为老年男性,以下肢疼痛为主要症状,病变呈全身多系统累及,其临床表现可符合ECD。 
- 18F-FDG PET/CT所显示的骨骼、肾脏及心血管处病变,其CT及FDG影像表现均可符合以往相关报道。 
 
 
病理诊断:
患者于PET/CT检查后先行右肾切除术,术后病理示,肿物周围肾组织结构破坏,代之以增生的纤维组织,其间可见泡沫组织细胞、淋巴细胞和浆细胞,局部见淋巴滤泡形成;免疫组化染色:细胞角蛋白(-),波形蛋白(+),白细胞共同抗原(淋巴细胞+),CD68(+)间变性淋巴瘤激酶(-),S⁃100蛋白(-),MelanA(-),细胞增殖核抗原Ki67(10%+)。患者随后又做了右股骨穿刺活检,其组织病理检查结果示,病灶处见骨梁间大量泡沫状组织细胞及散在淋巴细胞浸润,免疫组织化学染色:细胞角蛋白(-)、CD68(+),S⁃100蛋白(-)。诊断脂质肉芽肿。
【病例相关知识】
(一)有关埃德海姆⁃切斯特病(Erdheim-ChesterDisease,ECD)
ECD又称脂质肉芽肿,是一种罕见的非朗格汉斯组织细胞增多症。发病年龄介于7-84岁之间,平均年龄为53岁,男女发病比例为3:1。该病病因及发病机制仍不明确,推测其可能为一种自身免疫性疾病。ECD以富含脂质泡沫样组织细胞侵犯组织形成脂质肉芽肿为主要病理学特点,镜下可见片状或带状的泡沫样组织细胞弥漫浸润,常伴随不同程度的纤维化和不同数量炎性细胞。免疫组化染色显示CD68+、CD1a(-)、S-100(-/+),电子显微镜下不能找到Birbeck小粒。ECD可累及骨骼、中枢神经系统、心血管系统、后腹膜及肾脏、肺等部位,临床表现多样化。2015年美国血液病年会将ECD纳入肿瘤范畴。
骨骼受累者约占96%,多为四肢长骨骨干、干骺端对称的成骨性骨质破坏,其中约一半患者可出现骨痛。X线及CT可表现为四肢长骨(下肢为主)骨干、干骺端双侧对称的弥漫性骨质硬化及骨膜炎(如图9),也可表现为溶骨性、混合性骨质破坏及中轴骨病变。ECD的全身骨显像可见四肢骨干、干骺端双侧对称性放射浓聚(如图10)。骨骼病的典型特征对疾病诊断有重要意义。
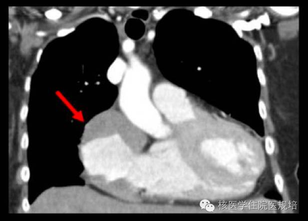
ECD心血管系统受累约占75%,以心包受累常见,导致心包增厚及心包积液。组织细胞还可浸润心肌,常表现为以右房及房室沟处假瘤样软组织浸润影(图11)。出现心肌受累者往往提示预后不良,可发生心肌重塑、瓣膜功能障碍,最终死于心力衰竭等并发症。冠脉及大血管管壁可因组织细胞浸润发生纤维化,最终出现动脉狭窄,靶器官缺血。影像上大动脉周围软组织浸润可形成“动脉鞘”,可自升主动脉至髂动脉分叉处阶段性或弥漫性累及(图12)。
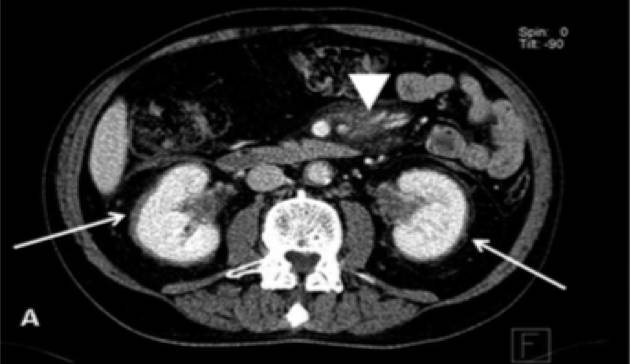
腹膜后及肾脏受累者约占68%,以肾脏受累多见。组织细胞可浸润肾窦、肾蒂、肾周脂肪间隙及输尿管等部位,导致肾脏实质受压、尿路梗阻,引起肾功能损伤。影像学常见肾周软组织浸润的“毛发肾”(图13)。
中枢神经系统及眼部受累者约为51%,临床多见中枢性尿崩、小脑共济失调、垂体功能异常及突眼等症状。影像观察可见:好发于小脑、脑桥部位的浸润性改变,表现为硬脑膜或脑膜瘤样的脑膜改变,或二者同时发生;眼部病变则常呈双侧对称的球后软组织占位。
(二)ECD的鉴别诊断
由于ECD发病率低,对该病认识不足可能导致临床误诊、漏诊,因此,了解影像学典型表现,将临床、病理及影像学相结合,有助于提高诊断准确性。
1、与朗格汉斯细胞组织细胞增多症(LCH)相鉴别:由于LCH与ECD临床表现相似,都可有骨病变,多系统损害等症状,故为临床需主要鉴别的疾病。LCH不同于ECD之处:好发于儿童;骨病变多为中轴骨溶骨性病变;免疫组织化学染色S⁃100蛋白(+)、CD1a(+)(朗格汉斯细胞分化标志),电子显微镜下可见Birbeck颗粒。
2、代谢性骨病:甲旁亢性代谢性骨病、肺性肥大性骨关节病、Paget病等代谢性骨病都可表现为四肢长骨皮质的放射性浓聚影,但各自有其影像特征,如甲旁亢骨病可见典型“黑颅征”、“领带征”“串珠肋”等,Paget病骨显像多见非对称的局灶放射性浓聚,可有骨骼变形,X线常见骨皮质增厚硬化等特征。而ECD骨显像中的典型表现为四肢长骨自关节端向骨干延伸的对称放射性浓聚,其在病变分布上与前三者有区别。而更重要的是,上述代谢性骨病临床上多有具提示意义的病史或实验室检查,且无多系统受累表现,因此,结合临床资料诊断并不困难。
小结:
ECD虽为罕见疾病,但影像表现具有特征性,认识该疾病的临床及影像表现可帮助临床早期诊断。由于骨骼为ECD的主要受累器官,全身骨显像对其诊断有重要提示作用。18F-FDG PET/CT可发现全身多系统的病变,并指导组织病理学检查部位的选取。![]() 图9. ECD患者的四肢骨X光片
图9. ECD患者的四肢骨X光片![]() 图10. ECD患者的全身骨显像
图10. ECD患者的全身骨显像![]() 图11. 右房假瘤样病变
图11. 右房假瘤样病变
![]()
图12. 大血管周围累及
本例患者尽管平扫CT未见明显结构异常,但左心房及大血管周围异常FDG摄取带在增强CT扫描下可能会更清晰地显示出相应病变。
![]()
图13. 毛发肾
 
【参考文献】
1、张利娟, 林全德, 董丽华,等. 非朗格罕斯细胞组织细胞增多症一例报告并文献复习[J].中华血液学杂志,2013,34(7):634-636.
2、赵赟赟,王茜,李原等.脂质肉芽肿18F-FDG PET/CT显像一例[J]. 中华核医学与分子影像杂志, 2015(6):500-502.
3、Mazor R D. Erdheim-Chester Disease: a comprehensive review of the literature[J]. Orphanet Journal of Rare Diseases, 2013, 8(1):1-13.
4、Umairullah L, Uzair S, Saadullah K, et al. Multisystem radiologic manifestations of Erdheim-Chester Disease:[J]. Case Reports in Radiology, 2016,2016:1-6.
5、冯欣慧, 叶志斌. Erdheim-Chester病的诊治进展[J]. 上海医学, 2008, 31(9):674-677.
6、Diamond E L, Dagna L, Hyman D M, et al. Consensus guidelines for the diagnosis and clinical management of Erdheim-Chester disease.[J]. Blood, 2014,124(4):483-92.
7、Antunes C, Graça B, Donato P. Thoracic, abdominal and musculoskeletal involvement in Erdheim-Chester disease: CT, MR and PET imaging findings.[J]. Insights into Imaging, 2014, 5(4):473-482.
![]()