北京物流信息联盟

【临床论着】可吸收固定板在脊髓型颈椎病前路减压融合术中的应用

2022-06-01 13:25:30

点击标题下「蓝色微信名」可快速关注


文章来源:中华骨科杂志, 2015,35(06): 602-609

作者:陈朦村 杨述华 杨操 许伟华 叶树楠 王晶 杨闻 刘先哲



摘要  

目的

探讨采用可吸收固定板的颈椎前路减压融合术的近期临床疗效。

方法

2012年10月至2013年12月,采用Smith-Robinson颈前入路椎间盘切除植骨融合可吸收板内固定术治疗脊髓型颈椎病33例,男16例,女17例;年龄36~65岁,平均(51.5±6.2)岁。单节段28例,双节段5例。手术节段:C3,4 5例,C4,5 6例,C5,6 11例,C6,7 6例,C3,4+C4,5 1例,C4,5+ C5,6 3例,C5,6+C6,7 1例。评估术前及末次随访时改良日本骨科协会(Japanese Orthopaedic Association, JOA)评分、疼痛视觉模拟评分(visual analogue scale,VAS)、颈椎病患者术后日常活动能力Odom分级,摄X线片观察植骨融合情况。术前改良JOA评分7~13分,平均(11.1±1.5)分;术前疼痛VAS评分6~9分,平均(6.8±1.1)分。

结果

所有患者均获得随访,随访时间7~20个月,平均12.1个月。末次随访时改良JOA评分(15.4±1.2)分,较术前增加,差异有统计学意义;疼痛VAS评分(1.3±0.7)分,较术前降低,差异有统计学意义。颈椎病患者术后日常活动能力Odom分级优26例、良5例、可2例,优良率93.9%(31/33)。末次随访时37个节段达到骨性融合,融合率97.4%(37/38)。术后椎间隙高度及颈椎序列均得到改善或维持,随访过程中无明显局部炎症反应。

结论

颈前路椎间盘切除植骨融合可吸收板内固定术近期疗效优良,可在一定程度上恢复椎间隙高度及颈椎序列,改善患者临床症状及生活质量,获得较高的植骨融合率。


颈椎病是指由于颈髓受压引起局部疼痛并伴四肢症状的疾病综合征,是一种伴有脊髓功能异常,导致感觉、运动、反射与排便功能障碍的退行性疾病。颈椎病手术主要有前路、后路及前后联合三种入路。患者的基本情况、临床表现、影像学特征及术者的手术习惯均可影响手术方案的选择。另外还需考虑压迫的来源及位置、压迫的节段数目、是否存在先天性椎管狭窄以及术前颈椎序列的稳定性。后路手术主要用于较多节段的减压,如先天性椎管狭窄或颈椎退变合并后纵韧带骨化症的患者,其术后神经功能的恢复主要取决于直接后路减压及脊髓向后漂移的间接作用。而前路手术可直接去除脊髓腹侧受压并稳定脊柱。

前路颈椎间盘切除融合术是颈椎手术中最常见的术式,可直接去除脊髓的腹侧受压,用椎间植骨达到稳定脊柱的目的。该手术可保留相对完整的颈椎解剖结构,术后植骨融合率高,在无内固定时单节段前路颈椎间盘切除融合术的椎间植骨融合率可达90%。配合使用前路固定板辅助固定能进一步提高椎间植骨融合率,早期改善颈椎稳定性,恢复和保持颈椎生理前曲,并降低内植物相关并发症的风险,改善术后症状,促进神经功能恢复。

前路辅助固定也并非没有任何风险。固定角度的静态锁定板可能导致轴向应力遮挡,降低椎间融合率,导致假关节形成及远期邻近节段退变。半静态和动态固定板可将更多的应力转移至椎间隙,但其相对于静态钛板是否存在明显优势仍有待验证。晚期可能发生内固定松动、断裂、脱出移位及金属对周围软组织的侵蚀作用。因此,可吸收材质的钉板系统逐渐受到关注,以多聚乳酸为基本构成的可吸收材料在植入机体一段时间后被逐渐降解吸收,避免了对脊柱生物力学和软组织的远期影响。

目前国内尚没有可吸收固定板在颈前路手术中应用的临床报道。我科于2012年在全国范围内首次开展了脊髓型颈椎病的前路减压植骨融合可吸收板内固定治疗。本文对这些病例进行回顾性分析,旨在:(1)探讨前路颈椎融合可吸收钉板系统内固定在颈椎前路减压融合术中应用的早期临床效果;(2)结合影像学测量,探讨和评估可吸收钉板系统的初始强度及稳定性;(3)分析在颈椎前路减压融合手术中应用可吸收钉板系统的操作要点及早期并发症。


资料与方法

一、一般资料

2012年10月至2014年5月我科应用颈椎前路减压融合及可吸收钉板内固定治疗脊髓型颈椎病33例,男16例,女17例;年龄36~65岁,平均(51.5± 6.2)岁。术前常规行颈椎正侧位、CT及MR检查,明确脊髓型颈椎病的诊断及定位。


纳入标准:(1)患者经过正规足疗程的保守治疗,症状无法缓解至满意水平;(2)术前影像学显示压迫主要源自脊髓腹侧的1~2节段病变,致压物位于或靠近椎间盘间隙水平;(3)椎间隙高度可,无明显融合,椎体后缘无明显骨赘形成。


排除标准:(1)术前CT显示伴连续型后纵韧带骨化;(2)术前MRI显示压迫主要来源于椎体后方或脊髓后方;(3)先天性椎管狭窄;(4)椎间隙感染、结核及肿瘤性病变。


单节段颈椎病28例,双节段5例。手术节段:C3,4 5例,C4,5 6例,C5,6 11例,C6,7 6例,C3,4 +C4,5 1例,C4,5+ C5,63例,C5,6+C6,7 1例。


术前主要症状表现为颈肩部疼痛13例,行走不稳9例,上肢及手指麻木7例,精细动作障碍4例。无截瘫及大小便失禁症状。术前改良JOA评分7~13分,平均(11.1±1.5)分;术前疼痛VAS评分6~9分,平均(6.8±1.1)分。


二、S-1™前路颈椎融合可吸收钉板系统

S-1™前路颈椎融合可吸收钉板系统(Inion,芬兰)包括可吸收板及可吸收螺钉(图1)。钉板系统采用第三代可吸收材质,为左旋乳酸、内消旋乳酸、乙醇酸和三亚甲基碳酸酯等组成的可吸收聚合物家族。可吸收板分为单、双节段板,可吸收螺钉固定可选择±5°,提供可选螺钉固定角度及单皮质固定。钉板系统具有钽标记点,方便术后成像确定位置。

图1 S-1™前路颈椎融合可吸收钉板系统:钉板系统采用第三代可吸收材质,为左旋乳酸、内消旋乳酸、乙醇酸和三亚甲基碳酸酯等组成的可吸收聚合物家族。可吸收螺钉长度可选择12~16 mm,固定可选择±5°,提供可选螺钉固定角度及单皮质固定。左图为S-1™前路颈椎融合可吸收板,右图为S-1™前路颈椎融合可吸收螺钉


三、手术方法

(一)麻醉与体位:

全身麻醉,患者仰卧位,肩部垫薄枕,头枕部垫头圈,使颈部处于过伸位,头稍转向左侧。


(二)手术入路:

沿皮纹作右颈前横切口,长约3~5 cm。采用Smith-Robinson入路,逐层切开皮肤、皮下组织、颈阔肌,自胸锁乳突肌内侧在颈血管鞘和内脏鞘之间直达颈椎椎体前方。术中经"C"型臂X线透视再次确定病变节段。


(三)病变处理:

剥离椎前筋膜和前纵韧带,显露相应节段椎体前方骨质。将Caspar撑开钉置于所需处理的上、下椎体的正中位置,使用Caspar撑开器适当撑开椎间隙。用尖刀片"十"字形切开椎间盘前部,用髓核钳摘除椎间盘内髓核,用刮匙刮除软骨终板至椎体骨皮质。切断后纵韧带,达到更加清晰的暴露与更加彻底的减压。用神经剥离子及探钩探查隐藏在椎体后缘的致压结构。以枪式椎板咬骨钳逐步咬除椎间隙后缘、椎体后缘及椎间孔处增生骨赘,彻底解除椎管内脊髓和双侧椎间孔处神经根压迫。


(四)椎间植骨:

彻底止血、冲洗,撑开椎间隙,以同种异体骨(山西奥瑞,中国)及PEEK材料椎间融合器(Inion,芬兰)做椎间植骨。


(五)试模安装:

辨认椎体中线结构,去除椎体前缘骨赘,使S-1™前路颈椎融合可吸收钉板系统试模能够与椎体腹侧贴合。安装试模,试模大小的选择与放置位置与普通钛板相同,试模塑形贴合椎体前缘。取出试模,再次冲洗并清除碎屑。



(六)假体植入:

选择与试模相同型号的S-1™前路颈椎融合可吸收板,置入已预热至70 ℃的温水中使其软化。将可吸收板与试模贴合以达到塑形,常温下冷却40~50 s恢复原有强度,放置于椎体前缘。再次确认椎间植骨情况及中线位置,位置满意后钻孔并攻入四枚可吸收螺钉(图2)。以"C"型臂X线透视确认S-1™前路颈椎融合可吸收钉板系统位置(钽标记)良好。

图2 S-1™前路颈椎融合可吸收钉板系统固定术中照片A切除椎间盘及椎体后缘增生骨赘,椎管彻底减压后椎间隙植骨B放置薄片状钛金属试模,测量所需可吸收板大小,并使之贴合椎体前缘C将以试模为模板塑形后的可吸收板放置于椎体前缘,并以四枚可吸收螺钉固定


(七)术后处理:

术后常规放置引流,逐层缝合切口。术后床边备气管切开包,24~48 h后拔除引流管,可在佩戴颈围领后离床活动。术后第7天拆线,颈围领固定4~6周。


四、随访及评估

术后第2天摄颈椎正侧位X线片评估内植物位置。术后1、3、6、12个月及以后每6个月门诊随访一次,行临床和影像学评估。


(一)临床评估

采用改良日本骨科学会(Japanese Orthopaedic Association,JOA)评分法评价颈脊髓神经功能恢复情况;疼痛视觉模拟评分(visual analogue scale,VAS)评估手术前后颈肩部疼痛的变化;采用颈椎病患者术后日常活动能力Odom分级评估患者总体恢复情况及满意度。


(二)影像学评估

常规摄颈椎正侧位及过伸过屈位X线片,对部分患者行MR检查。评估术后椎间植骨融合率、椎间内植物有无下沉或移位、颈椎序列及是否有失稳性表现、假体周围软组织炎症反应及其严重程度。


于颈椎侧位X线片测量Cobb角、椎间隙高度、手术节段上、下椎体棘突间距离、椎前软组织厚度。椎间植骨融合定义为静力位侧位X线片上手术节段的椎间植骨与椎体终板之间存在可见的骨小梁通过,同时过屈和过伸动力位X线片上手术节段上、下椎体棘突末端距离相同,即动力位X线片上不存在棘突位移。


椎间植骨或椎间内植物下沉的评估主要依靠测量上位椎体上终板到下位椎体下终板之间的距离,测量上、下终板最前缘距离和上、下终板最后缘距离之和,取平均值用以表示椎间高度。测量术前及每次随访过程中的高度并记录其变化趋势。


于侧位X线片上分别作手术节段上位椎体上终板和下位椎体下终板延长线的垂线,其交角即为Cobb角。若手术节段颈椎保持了正常生理前曲,则Cobb角记为正值;若手术节段颈椎出现或存在后凸畸形,则Cobb角记为负值。


测量术前与术后手术节段椎体前缘到食道阴影后缘的距离,即椎前软组织厚度。如若此距离增大或出现明显变化,则证明存在局部炎症反应。


五、统计学处理

应用SPSS 17.0统计软件(SPSS,美国)进行统计学处理。手术前后改良JOA评分、VAS评分及术后颈椎侧位X线片测量结果的比较采用配对设计资料t检验,检验水准α值取双侧0.05。


结果

一、手术一般情况

本组手术时间40~65 min,平均50 min;术中出血量30~100 ml,平均42 ml;术后切口引流量30~90 ml,平均54 ml。术中可吸收板在预热的70°温水中浸泡1 min即达到软化,将软化的可吸收板与试模放置在一起冷却塑形,约40~50 s即可植入体内。由于试模的塑形作用,可吸收板与椎体前缘达到个体化贴合,符合脊柱生理曲度。手术过程顺利,术中未发现椎间融合器松动、断裂或移位,可吸收板及可吸收螺钉植入过程中未发生松动、断裂或移位。


住院时间7~10 d,平均8 d。住院期间患者生命体征平稳,无患者接受紧急气管切开等抢救措施,术后切口无一例发生有依据的感染征象,所有切口均达到一期愈合,无延迟愈合或不愈合。住院期间3例患者发生一过性声音嘶哑,2例患者出院前症状已消失,1例患者出院时症状仍存在;1例患者出现吞咽困难,出院时症状仍存在。


术后第2天摄颈椎正侧位X线片未发现椎间融合器松动、断裂或移位,以标记点评估S-1™前路颈椎融合可吸收钉板系统位置未见断裂或移位。


二、临床评估

所有患者均得到随访,随访时间7~20个月,平均12.1个月。随访期间无一例发生切口感染及血肿形成等并发症。1例患者出院时存在声音嘶哑,术后1个月症状完全消失;1例患者出院时存在吞咽困难,术后1个月症状完全消失,均未采取特殊治疗。


末次随访时改良JOA评分增加至(15.4±1.2)分,与术前比较差异有统计学意义(t=14.42,P= 0.00);VAS评分降低至(1.3±0.7)分,与术前比较差异有统计学意义(t=23.09,P=0.00)。末次随访时颈椎病患者术后日常活动能力Odom分级为优26例、良5例、可2例,优良率93.9%(31/33)。


三、影像学评估

术后正侧位X线片均未见植入物松动、断裂及移位,术后植入物周围未见明显异位骨化形成。


(一)椎间融合率

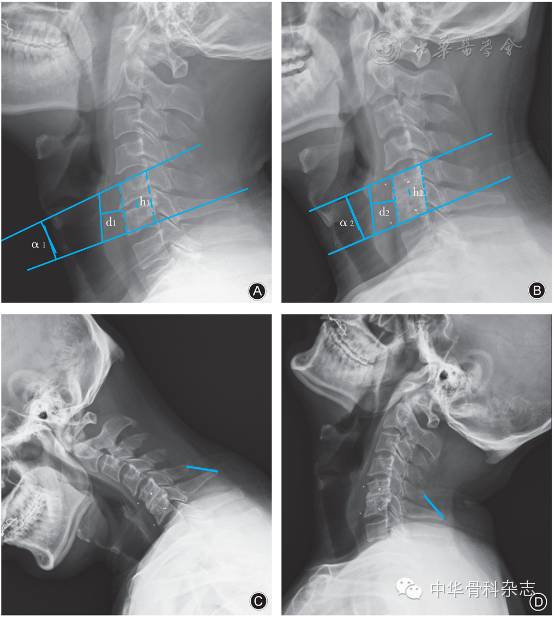
末次随访时植骨融合节段融合率达到97.4%(37/38),仅1例双节段手术患者术后7.5个月随访时仍可见C4,5节段上位椎体终板与椎间隙植骨间较为模糊的透光带(图3)。

图3 男,53岁,右上肢疼痛伴行走不稳4年,诊断为脊髓型颈椎病,行前路颈椎间盘切除融合术A术前侧位X线片示C5,6节段椎间隙狭窄,局部反弓,测量C5,6节段Cobb角(α1=-5.38°),椎间隙高度(h1=37.9 mm),椎前软组织厚度(d1=16.9 mm)B术后13个月侧位X线片示C5,6节段椎间隙骨性融合,测量C5,6节段Cobb角(α2=0.38°),椎间隙高度(h2=37.8 mm),椎前软组织厚度(d2=16.4 mm)C, D术后13个月过屈、过伸位X线片,测量C5及C6椎体棘突间距离(标线)在过屈位及过伸位相等


(二)椎间隙高度

术后6个月植骨融合节段的椎间隙高度较术前增加约2.48 mm,差异有统计学意义(t=3.67,P= 0.00);末次随访时椎间隙高度较术前增加约2.11 mm,差异有统计学意义(t=2.88 ,P=0.00,图4)。

图4 术前及术后随访时植骨融合节段的椎间隙高度变化。术后各随访时间点均较术前增加,差异有统计学意义



(三)Cobb角

术后6个月Cobb角较术前平均增加3.4°,差异有统计学意义(t=7.78 ,P=0.00);末次随访时Cobb角较术前平均增加3.2°,差异有统计学意义(t=7.15,P=0.00,图5)。

图5 术前及术后随访时植骨融合节段的Cobb角变化。术后各随访时间点均较术前增加,差异有统计学意义


(四)椎前软组织厚度

术后6个月及末次随访的椎前软组织厚度与术后第2天比较无明显变化,差异无统计学意义(t= 0.97,P=0.34;t=0.48,P=0.44,图6)。

图6 术后随访植骨融合节段的椎前软组织厚度变化。术后6个月、末次随访与术后第2天比较差异无统计学意义


讨论

通过本研究我们认为,可吸收材质钉板系统相对于传统钛板在颈椎前路手术中的应用有诸多优势。



一、可吸收钉板系统的相对强度及稳定性

脊柱稳定对椎间隙植骨融合至关重要。本组资料显示,在平均12.1个月的随访过程中,手术节段植骨融合率高达97.4%(37/38),虽然可吸收板强度相对较低,但足以保证椎间隙植骨融合,且患者临床症状改善及神经功能恢复明显。生物工程学研究表明,可吸收多聚物材质的内固定材料在术后6个月能够保持其90%的初始强度。除了强度可靠,Freeman等认为可吸收固定板表现出与钛板类似的强度以及更好的柔韧性,其可塑性使其弹性模量更接近脊柱生理状态。同时,随着降解过程的进行,可吸收板逐渐降低的强度减小了应力遮挡,使更多应力转移到植骨间隙,更进一步促进了椎间植骨融合。在Nabhan等的研究中,使用可吸收板辅助内固定组术后骨性融合率为94.6%,与钛制固定板取得的结果类似。而Aryan等报告可吸收板术后影像学显示的融合率高达98.1%,并能够保持颈椎正常生理曲度。


椎间隙高度和生理曲度的恢复和维持将降低邻近节段退变的发生率,对患者远期预后有重要意义。本组结果证实,末次随访时手术节段椎间隙高度及Cobb角均较术前变大,其差异有统计学差异;但末次随访时椎间隙高度由术后6个月平均39.76 mm下降至39.39 mm,Cobb角也由术后6个月平均4.1°下降至3.9°,表明可吸收钉板系统强度可能存在不足。Lebl等报告28.6%(4/14)的患者术后出现假关节形成,其中3例甚至出现椎间内植物移位;可吸收板组患者颈椎序列失稳和后凸畸形发生率均较使用钛板内固定组更高,且术后神经功能恢复情况较差。Bindal等报告采用可吸收板固定的假关节形成和后凸畸形发生率更高。Brkaric等报告5例因可吸收板疲劳折断及微破损而导致的早期(6~16周)内固定失败,甚至有3例最终需要接受第二次手术更换钛板。Tomasino等及Brkaric等报告在术中拧入可吸收螺钉时发生螺钉断裂现象。我们认为,虽然可吸收板随访过程中出现强度下降趋势,但仍能够维持椎间隙高度及颈椎生理序列排布,末次随访时手术节段椎间隙高度及Cobb角均较术前增加,同时患者症状明显改善,Odom分级优良率高达93.9%(31/33),未发现钉板松动断裂。手术能够达到较好的近期效果,但其远期预后仍然有待更多病例及更长随访时间的观察研究来验证。


二、可吸收钉板系统的生物相容性

新一代可吸收复合物材料主要为左旋乳酸、内消旋乳酸、乙醇酸和三亚甲基碳酸酯等,在骨科手术中应用广泛。2002年,Vaccaro等首次在颈椎手术中使用了可吸收网板,并观察到可吸收板良好的生物相容性。而Tomasino等报告以椎前软组织厚度为测量依据,在可吸收板降解过程中局部软组织未产生炎性刺激反应。


本研究中仅3例患者发生一过性声音嘶哑,1例患者出现吞咽困难,末次随访时椎前软组织厚度与术后第2天及术后6个月比较无明显差异。因此我们认为,可吸收板在短期内不会产生明显的局部炎症反应。而对长期而言,Vaccoro等以MRI为依据随访至术后32个月,未发现可吸收板在水解过程中导致软组织水肿、液体积聚等反应的证据。但Lebl等报告了2例(2/14)在术后出现持续性吞咽困难症状,其中1例甚至需要接受二次手术引流局部积液。他们认为这可能与可吸收板降解导致局部瘢痕形成有关。Tomasino等也报告2例(2/30)因术后血肿形成而需要二次手术治疗的病例。但他们同时表示,血肿形成并不能完全归因于可吸收板导致的局部炎性反应,应用传统的钛板固定也可能产生类似的情况,血肿形成与术中止血及患者个体差异关联更加明显。


三、可吸收钉板系统的透明与透射线性

可吸收钉板的透明及透射线的特点相对于传统的金属板存在诸多优势。术中放置可吸收板时可同时观察椎间融合器及固定板相对于椎体的位置,确定内植物位置的准确性 ,这一特点在使用传统金属固定板时不可能实现。另外,可吸收板在术后CT及MRI成像中不会产生伪影,有利于术后影像学资料的阅读;其特有的标记点则可在术后准确定位可吸收钉板的相对位置,在一定程度上辅助判断可吸收钉板系统是否断裂、移位。


四、可吸收钉板系统的可吸收性

理论上,前路固定板辅助固定只需在椎间完成骨性融合前提供暂时性的结构稳定性,而无论何种设计的金属固定板均会因后期的应力遮挡导致远期内固定物移位,甚至迟发性感染及软组织破坏、侵蚀。Almre等报告1例于术后18年发生内固定板移位、软组织侵蚀及食道气管瘘形成。Kapu等报告1例钛板内固定术后8年患者在进食时吐出一枚内固定螺钉。永久内固定物所造成的严重并发症广泛受到关注,部分患者甚至需要接受二次手术。


研究表明,可吸收板在术后18个月至3年完全吸收,减少了远期应力遮挡效应,也从根本上避免了不可吸收材质钉板系统所产生的各类远期并发症。本研究随访时间有限,证据不足。但Whitmore等报告了1例双节段可吸收板辅助固定手术,术后8年椎间植骨融合良好,可吸收钉板系统彻底吸收,患者症状较术前明显改善,即使在一次外伤后也未出现严重的并发症。


颈椎融合术后单节段或多节段椎体运动功能丧失,导致邻近节段椎体活动度及荷载相应增加,与融合节段相邻的椎间盘易发生继发性退行性变。二次手术中金属内固定物的取出增加了手术难度及风险,而可吸收板在体内完全吸收后避免了内固定物去除操作,减少了术中暴露,降低了手术难度及内植物取出相关并发症的发生率。


通过本研究我们认为,颈前路椎间盘切除减压植骨融合可吸收板内固定术后症状改善明显,植骨融合率高,可在一定程度上恢复椎间隙高度,改善颈椎序列,未发现明显的局部无菌性炎症反应。然而,可吸收钉板系统的可行性和有效性仍需要更多的实验研究和临床病例研究来证明。同时,本研究为回顾性研究,未设对照组,随访时间较短,病例数量有限,可吸收板是否能够降低邻近节段退变的发生率及可能产生的远期并发症也有待更深入的研究。


参考文献(略)



友情链接

Copyright © 2023 All Rights Reserved 版权所有 北京物流信息联盟