北京物流信息联盟

急性上颌窦炎的超声检查

2022-06-26 06:24:16

急性上颌窦炎的超声检查

(本文是由进修医师 薄飞 和 于志英 完成的中期作业)


急性鼻-鼻窦炎(acute rhinosinusitis, ARS)定义为病程少于4周、有症状的鼻腔和鼻旁窦炎症。ARS最常见病因是与普通感冒相关的病毒性感染。仅0.5%-2.0%的病毒性鼻-鼻窦炎并发急性细菌性感染。单纯性急性病毒性鼻-鼻窦炎通常在7-10日消退。急性细菌性鼻-鼻窦炎也最常为自限性疾病,75%的患者不经治疗可在1个月恢复。极少数情况下,未进行治疗的细菌性鼻-鼻窦炎患者可能发生严重并发症。

临床表现:鼻充血和鼻塞、脓性鼻分泌物、上颌牙不适以及面部疼痛或面部受压感,当身体前曲时面部疼痛或面部受压感加重。

诊断性检查包括微生物培养、内镜检查、放射学检查。根据各种指南,急性鼻窦炎的管理中诊断主要依靠临床表现。但是,急性鼻窦炎的临床变现缺乏特异性,与其他上呼吸道感染的临床表现多有重叠,因此临床实践中需要一种简单可靠的影像学手段来提供更充足的证据。CT检查是目前公认的首选影像学检查,CT检查可以显示鼻窦内的气液平面、黏膜水肿和窦内气泡(图1)。相对于CT检查,超声具有更为便捷、无放射性的特点,如果超声检查能够对判断急性鼻窦炎有帮助,就可以作为一种简便有效的影像学手段代替相对不方便的CT检查。


1 急性上颌窦炎。显示上颌窦内的积液和粘膜增生。(图片来自网络,见图片水印)

 

鼻窦是位于面中部前部成对的含气腔。每个鼻窦都有一个独特的骨性开口,鼻窦通过此口进行引流。虽然这些结构并不是鼻部气道的一部分,但它们在鼻症状中具有重要的作用,因为涉及鼻窦的病变可能导致鼻窦口和/或鼻腔阻塞,继而引起鼻充血和梗阻症状。

上颌窦是最大的鼻窦,位于颊后方。它们大体呈三角形。顶壁为眶底,内壁为鼻腔外侧为颧骨,底壁为牙槽突和硬腭。上颌窦前后径通常为2-4cm,鼻窦积液时超声可显示鼻窦侧壁和后壁,额窦,蝶窦,筛窦超声显示困难。(图2

研究表明,超声检查对于显示急性上颌窦炎时上颌窦内的积液和粘膜增生具有较高的特异性和敏感性。由于绝大部分的急性鼻窦炎都主要累及上颌窦,因此可以将超声检查作为急性鼻窦炎的一线影像学检查来使用。相对于CT检查,尽管超声检查在ABRS诊断中的价值有高度的操作者差异性和稍差的准确性。然而鼻窦炎是机械性通气导致发热及医源性肺炎的重要隐匿性原因,因此在重症病房,对插管患者进行床边上颌窦超声检查也是筛选上颌窦炎的有效手段。我们认为超声还可以可以监测上颌窦积液量的变化。

检查方法:一般选择坐位或站立位扫查,此时上颌窦内的液体集聚于上颌窦腔的下部。探头置于鼻旁上颌骨处由上向下横断扫查(图2)。随后选择纵断扫查可以显示气液交界处。一般选择常规3-5MHz的腹部探头最佳。


2 鼻窦示意图。红色线代表超声扫查是探头放置部位


超声表现:正常上颌窦表现为由骨和窦腔内的气体构成的强回声伴有多重反射的界面,窦腔内结构不能显示(图3右)。急性鼻窦炎时,上颌窦内积液和增生的粘膜使得超声波能够穿透窦腔,清晰显示上颌窦的侧壁和后壁,纵断扫查可以显示气液交界平面(图34)。有时候还可以直接显示呈较高回声的增生的粘膜结构(图5




典型病例1 患者女,40岁,上感两周,右侧头痛及颌面部疼痛一周,黄脓涕,超声示右侧上颌窦积液


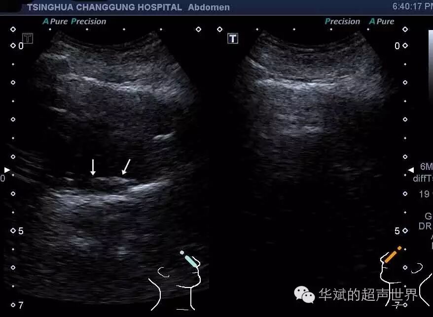
图3 急性上颌窦炎。右图为正常的左侧上颌窦声像图,窦腔内结构不能显示。左图为右侧大致呈三角形的上颌窦内积液,可以清晰显示上颌窦的侧壁和后壁(箭头)。


图4急性上颌窦炎。纵断扫查显示上颌窦内的气体和液体交界处(长箭头)。这一断面可以大致估计窦腔内的积液量的多少。

典型病例2  患者男,31岁,上感一周,鼻塞,流涕,超声示右侧上颌窦积液和增生的粘膜组织。


图5 急性上颌窦炎。右图为正常的左侧上颌窦声像图,窦腔内结构不能显示。左图为右侧上颌窦内积液,并可显示增生的粘膜结构(箭头)。







 

 

 

 

 


友情链接

Copyright © 2023 All Rights Reserved 版权所有 北京物流信息联盟