北京物流信息联盟

原发性食管恶性黑色素瘤二例

2022-07-15 10:47:47

作者:厦门大学附属中山医院消化科 范燕云 叶震世 周飞 杨晓宁 胡益群;病理科 刘争进


病例介绍(一):


患者女,64岁,因吞咽梗噎感7个月于2012年10月15日入院。


体格检查:体温36.3℃,脉搏80次/min,呼吸20次/min,血压119/71mmHg(1mmHg=0.133kPa),神志清楚,皮肤及黏膜未见黑色素斑,浅表淋巴结未触及,心肺未见异常,腹软,肝脾未触及。


颈胸部CT示:双侧颈部多发小淋巴结;食管胸下段、贲门部管壁不规则增厚,最厚处约1.4cm,密度较均匀,管腔狭窄,提示食管胸下段占位,符合食管癌。


胃镜检查(图1)示:距门齿32cm以下见片状黑色黏膜及隆起灶,贲门近胃底处可见一大小约0.8cm×l.Ocm的半球形隆起灶,胃镜诊断为食管下段、贲门黑色隆起性质待查,考虑为食管癌。


图1 胃镜检查见片状黑色黏膜及隆起灶,贲门近胃底处可见半球形隆起灶


免疫组织化学检查示:细胞角蛋白(cytokeratin,CK)阴性,S-100蛋白、黑色素瘤抗原(HMB45)阳性,病理诊断为恶性黑色素瘤。


患者及其家属拒绝手术治疗,自动出院。


病例介绍(二):


患者男,60岁,因吞咽梗噎感1个月于2012年8月16日入院。


体格检查:体温36.3℃,脉搏80次/min,呼吸20次/min,血压98/65mmHg,神志清楚,消瘦外观,皮肤及黏膜未见黑色素斑,浅表淋巴结未触及,心肺无异常,腹软,未触及肿块,肝脾未触及。


外院胃镜示:距门齿25~28cm处食管隆起凹陷性病灶,局部黏膜僵硬,管腔狭窄,胃镜尚能通过,胃镜诊断为食管中段癌。外院胃镜病理诊断为食管鱗状细胞癌。


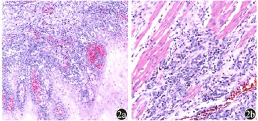
颈胸部CT示:食管胸上段占位性病变,符合食管癌改变。上消化道造影示食管上段癌。病理提示瘤细胞侵犯食管黏膜鳞状上皮,细胞异型性明显,上皮样或胖梭形,弥漫或巢状排列,浸润生长,可见色素,见图2。


图2原发性食管恶性黑色素瘤的病理学表现 苏木精—伊红染色2a 肿瘤细胞从下向上侵犯食管黏膜鳞状上皮,细胞异型性明显,上皮样或胖梭形,弥漫或巢状排列,可见色素×10 2b 肿瘤细胞侵犯食管黏膜肌层,肿瘤细胞异型性明显,上皮样或胖梭形,核仁明显,弥漫或巢状排列,浸润生长,可见色素×20


免疫组织化学检查示:黑色素瘤蛋白(组合型)、黑色素瘤抗原(HMB45)、 黑色素A、S-100蛋白均阳性,见图3。



行胸腹腔镜联合食管癌根治术,术后病理示食管溃疡型恶性肿瘤,符合恶性黑色素瘤,最终诊断为食管中段恶性黑色素瘤IIA期。术后予达卡巴嗪加重组人血管内皮抑制素注射液进行化学疗法4个周期,随访6个月未见复发及转移病灶,一般情况良好。


讨论


原发性食管恶性黑色素瘤(primary malignant melanoma of esophagus,PMME)多见于60~70岁中老年人,男女比例约为2:1,好发于食管中下1/3段,多数于腔内呈息肉样生长。吞咽困难、胸骨后不适、体质量下降为其常见症状,部分患者以黑便为主要表现,还可表现为上腹痛、呕吐等。PMME发展迅速、恶性程度高,曾有报道1例PMME患者从发现食管下段有黑色素沉着到恶变成肿瘤仅78d。50%的患者在确诊时已出现远处转移,常见的转移部位为肝脏、纵隔、食管周围淋巴结。此2例患者,1例病变位于食管下段,1例位于食管中段,均表现为不同程度的吞咽梗噎感。


PMME与其他食管肿瘤的食管钡餐造影无明显区别。PMME在胃镜下常表现为食管下2/3段色素沉着的息肉样或髓质型肿块,多数为单发,肿块表面被覆完整的黏膜上皮,可伴有溃疡形成,易出血,可呈灰白色、棕色、蓝色、黑色或黑揭色,周围可有卫星结节。在胃镜下也可表现为黏膜下肿物,超声胃镜检查有助于协助诊断并进行分期。少数肿瘤为无色素型,与食管癌等恶性肿瘤不易鉴别,病理也易误诊为分化差的鱗状细胞癌。此2例中的男性患者,外院胃镜及病理检查考虑食管鱗状细胞癌,最后手术病理才确诊。胸腹部CT可进一步描述肿瘤的位置、大小、边界、受压情况,还可了解是否存在周围组织和淋巴结的转移,正电子发射计算机断层显像(positron emission tomography,PET)可提供定性和分期诊断。


PMME的组织学生长方式多样,表现为细胞侵袭性生长。光学显微镜下可见其细胞异型性明显,大多数显示实性增生及形成肿瘤细胞巢,浸润生长,可见色素。侵袭性成分的组织学形态与皮肤的恶性黑色素瘤无法区分。肿瘤细胞胞质透亮,含有黑色素颗粒,核仁明显,不均匀增殖,多沿着黏膜基底层侧面散布生长。对于无色素的恶性色素瘤,需要根据电子显微镜或免疫组织化学检查诊断。电子显微镜下多可见不同发育阶段的黑色素体,具有特征性,可与其他肿瘤细胞鉴别。免疫组织化学检查中,恶性黑色素瘤不表达CK,S-100蛋白、黑色素瘤抗原(HMIM5)、神经特异性烯醇化酶均呈阳性,其中S-100蛋白对黑色素细胞高度敏感,几乎所有黑色素瘤表现为S-100蛋白表达阳性,但特异性差,可作为筛检工具;黑色素瘤抗原(HMB-45)敏感性差,但特异性好;两者联合可提高诊断的准确性。


手术切除是治疗PMME的首选方法。其他还包括放射、化学和免疫疗法,治疗方案的选择取决于肿瘤的大小、位置、远处转移情况和患者的一般状况。PMME最常发生血源性及淋巴性转移,因食管黏膜下静脉、淋巴引流丰富,故更易出现早期的微转移。多数患者在诊断1年内死亡,平均存活10个月,5年生存率为2.2%~4.2%。此2例中的男性患者行胸腹腔镜联合食管癌根治术后进行化学疗法,术后随访未见复发及转移病灶,一般情况良好。


综上所述,PMME无特异的临床表现和影像学特征,应增强对其的认识,将胃镜、病理和免疫组织化学检查相结合,提高诊断率。


来源:中华消化杂志


欢迎您关注“医脉通消化科”微信公众账号。如果您喜欢这篇文章,请点击右上角,弹出菜单后发送给朋友或分享到朋友圈吧^__^

友情链接

Copyright © 2023 All Rights Reserved 版权所有 北京物流信息联盟